Гематома после ушиба причины, способы диагностики и лечения

Дата публикации: 21.03.2019

Дата проверки статьи: 02.12.2019

Гематома — сгусток крови, образованный под кожным покровом. Она имеет красно-синий оттенок и небольшую припухлость. Возникает гематома при получении ушиба вследствие удара тупым предметом. Он вызывает разрыв кровеносных сосудов, что приводит к кровоизлиянию. Вылечить небольшую гематому можно самостоятельно дома, так как опасности она не несет. Крупное образование оказывает сильное давление на кровеносные сосуды и нарушение кровообращения. Кровоток замедляется в несколько раз и представляет особую угрозу. Чтобы избежать нежелательных последствий, необходимо обратиться к врачу.

Гематома возникает при ушибе 2 степени. Это связано с разрывом мышечной ткани, повреждением капилляров. Для травмы характерна резкая боль и ухудшение общего состояния пострадавшего.Функциональная способность поврежденной конечности заметно изменена, наблюдается частичная ограниченность подвижности.

По типу локализации образования бывают 3 видов:

  • подкожные;
  • подфасциальные;
  • межмышечные.

По типу кровоизлияния различают такие гематомы:

  • артериальные;
  • венозные;
  • смешанные.

По клинической картине образования бывают 4 видов:

  • диффузные;
  • ограниченные;
  • осумкованные;
  • пульсирующие.

По состоянию излившейся крови различают следующие гематомы:

  • свежие;
  • свернувшиеся;
  • лизированные.

Свежие образования можно обнаружить в первые часы или сутки после травмы, свернувшиеся — спустя пару дней, лизированные — через 2-3 недели. Сроки могут варьироваться в зависимости от размера гематомы, процесса свертывания и других факторов. При попадании инфекции происходит инфицирование и впоследствии нагноение.

О чем говорит гематома после ушиба

Гематома сопровождается болевыми ощущениями, появлением отека и припухлости, нарушением мышечной функциональности. Также изменяется цвет кожи в месте повреждения и повышается температура. Если произошел неполный разрыв крупных артерий, может возникать пульсация.

При появлении гематомы необходимо приложить на нее лед, затем наложить давящую повязку. Холодный компресс в первые минуты после получения травмы помогает предотвратить кровоизлияние сосудов и сократит площадь самой гематомы. Спустя 5-6 дней врач назначает тепловые процедуры. Они не только снимают болевой синдром, но и блокируют раздражающие процессы в пораженной области. Постепенно гематома изменит цвет до желто-зеленого. Во время лечения следует ограничить физическую активность и снизить нагрузку на поврежденную часть тела.

Когда нужно обращаться к врачу? К какому врачу?

К врачу следует обращаться при наличии следующих симптомов:

  • обширная гематома;
  • сильный отек;
  • повреждение кости или сустава;
  • гематома локализована на голове, животе или рядом с глазом;
  • гематома самостоятельно не проходит более 14 дней.

Лечением ушибов занимается хирург или травматолог. Для постановки диагноза врач проводит визуальный осмотр и ориентируется на клинические признаки. Гематомы внутренних органов можно обнаружить с помощью компьютерной томографии или МРТ.

Как лечить?

Если у пациента стабильное состояние, то понадобится только медикаментозное лечение. В некоторых случаях не обойтись без хирургического вмешательства. Рекомендуется не массировать ушиб и воздержаться от приема алкоголя. Это может привести к расширению сосудов и усилению кровообращения, что ухудшит состояние больного.

Медикаментозное лечение

При гематоме врач назначает средства местного воздействия. Их действие направлено на уменьшение отека мягкой ткани, уменьшения проницаемости кровеносных сосудов. Рассасывающим эффектом обладает гепариновая мазь. Наносить ее необходимо до 5 раз в сутки. Через 2-3 дня гематома полностью исчезнет.

Можно лечить гематому после ушиба гомеопатическими средствами на основе арники. Их разрешается применять даже во время беременности. Препараты гомеопатического характера способны останавливать процесс кровоизлияния, приостанавливают образование отека, оказывают тонизирующее действие на сосуды и снимают боль. Для устранения сильного болевого синдрома используют препараты на основе ибупрофена. Принимать их следует каждые 6 часов. Запрещено сочетать обезболивающие средства с антикоагулянтами.

Хирургическое лечение

При хирургическом вмешательстве врач проводит вскрытие гематомы, затем перевязывает кровоточащий сосуд или накладывает сосудистый шов. При отсутствии дополнительных осложнений гематома имеет благоприятный прогноз.

Консервативная терапия

Для ускорения оттока венозной жидкости и улучшения кровотока разрешается легкими движениями массировать место ушиба, но не в первые сутки получения травмы. В результате кровяные сгустки быстрее рассасываются, а гематома уменьшается. Полезно выполнять изотонические упражнения при ушибе. Их суть заключается в сокращении и расслаблении мышц поврежденного участка с умеренной скоростью. После занятия гимнастикой следует принять лежачее положение, расслабиться, а травмированное место разместить на возвышении. Такая мера необходима для правильной циркуляции крови и предотвращения увеличения гематомы в размерах.

Из физиопроцедур эффективными считаются лазеротерапия, магнитотерапия и УВЧ-терапия.

Важно во время лечения гематомы правильно составить рацион питания. В меню следует включить продукты, содержащие белок. К ним относятся яйца, куриная грудка, индейка, рыба и творог. Обязательно в рационе должны присутствовать продукты, обогащенные витаминами группы B. При нехватке в организме витамина B12 образуются обширные гематомы, развивается анемия и нарушается процесс свертываемости крови. Для устранения заметных гематом нужно употреблять продукты, содержащие витамин K.

Отзывы пациентов

Точность диагностики и качественное обслуживание — главные приоритеты нашей работы. Мы ценим каждый отзыв, который оставляют нам наши пациенты.

Ушиб лба

Синяк на лбу может быть совершенно безвредным, а может стать причиной серьезной травмы головы. Активный образ жизни и невнимательность не обойдутся без синяка передней части головы. Чаще всего от ударов страдают дети раннего возраста, в 90% случаев при падении ребенка ударяется голова.

Виды гематомы

Гематома образуется после сильного удара, который разрывает кровеносные сосуды и собирает кровь под кожей. Пострадавший может почувствовать легкую боль, появление припухлости и синевато-пурпурного оттенка в месте ушиба.

Гематома может быть:

  • Подкожно. Возникает при ушибе лба без повреждения поверхности эпидермиса. Постударное кровоизлияние возникает под кожей.
  • Внутримышечно. Он образуется в мышцах самой головы после травмы.

Осмотрев гематому, можно оценить состояние пострадавшего. Если повреждены только мягкие ткани, обращаться к врачу не нужно. Повод для беспокойства — фрагментация на месте ушиба или визуальные изменения лобной кости, свидетельствующие о переломе. В этом случае необходимо срочное посещение хирурга-травматолога.

Ушиб лба: причины

Для того, чтобы на лбу появилась шишка, достаточно упасть с высоты, близкой к росту человека. На голове много кровеносных сосудов и даже легкий удар по лбу, особенно у детей, приводит к образованию гематомы.

Шишки на лбу появляются в результате давления на мягкие ткани и особенно часто встречаются у детей.

Шишка также может появиться при длительном давлении на мягкие ткани. При этом образуется плотное плотное, слегка болезненное образование красноватого цвета. Постепенно место ушиба становится бледно-желтым.

Ушиб лба: симптомы гематомы

Наиболее частые симптомы гематомы — это появление шишки и покраснение места ушиба. Они не опасны для жизни, быстро исчезают и не требуют специального стационарного лечения.

Тревожными симптомами гематомы являются:

  • тошнота, рвота;
  • сильная головная боль;
  • головокружение;
  • нарушение координации движений;
  • трудности в разговоре;
  • изменения размера зрачка;
  • темные круги и пятна на глазах.

Если вы заметили какие-либо тревожные симптомы, немедленно обратитесь к врачу. Ушиб лба может сопровождаться сотрясением мозга или внутричерепным, внутренним кровоизлиянием в мозг. В этом случае для получения точной и подробной информации лучше всего пройти МРТ головного мозга.

Первая помощь при ушибе лба

При ушибе передней части головы правильная и своевременная первая помощь предотвратит образование обширной гематомы. Сразу после удара необходимо осмотреть голову. Если пострадавший чувствует лишь легкую боль в месте ушиба, первую помощь можно оказать самостоятельно, без участия медицинского персонала.

  • Уложите пострадавшую в постель, она должна отдыхать.
  • Если заметны ссадины, их следует обработать дезинфицирующими средствами (хлоргексидином или перекисью водорода). Человека с синяками или глубокими травмами следует отвезти к врачу и, возможно, зашить.
  • Плотно перевяжите голову.
  • Обеспечьте приток свежего воздуха в комнату.
  • Приложите холодный компресс к месту ушиба. Это может быть лед, завернутый в марлю, металлическая ложка, смоченный водой носовой платок. Держите его в холодном состоянии в течение 20 минут, а затем сделайте перерыв на полчаса. Такую процедуру нужно проводить несколько дней. Холод помогает остановить кровотечение и уменьшить отек мягких тканей.

Каждое изменение состояния пострадавшего в худшее — повод обратиться к врачу.

Лечение шишки на лбу

Если после синяка на лбу не возникло никаких осложнений, шишку можно лечить в домашних условиях. Пострадавший госпитализирован с симптомами сотрясения мозга и внутримозгового кровоизлияния. Для лечения опухоли можно использовать лечебные мази и методы народной медицины. Как правило, использование лечебных средств не допускается.необходимо.

Холодный компресс для снятия отечности — первая помощь при ушибе лба

В первые дни лечение опухоли заключается в остановке кровотечения и уменьшении отека мягких тканей с помощью холода. Тогда необходимо ускорить процесс рассасывания, что позволяет быстрее удалить шишку.

Обширные гематомы удаляются врачом в больнице путем изгиба с помощью специальных игл для сбора лишней жидкости из мягких тканей после кровотечения.

Ушиб лба: лекарственные мази

Хорошо от последствий кровотечения помогают бороться следующие мази:

  1. «Троксевазин».
  2. «Лиотон».
  3. Гепатриновая мазь.

Гомеопатическое средство — Траумель С.

Народная медицина

Лекарственные мази следует наносить на ушибленный лоб несколько раз в день. Также избавиться от опухоли можно с помощью народной медицины.

  • Ускорить процесс рассасывания опухоли на лбу можно следующими проверенными временем методами:
  • Приложите листья платана к опухоли в мелко нарезанном или измельченном виде на 10 минут.
  • Смешайте воду и спирт в равных количествах, смочите марлю и приложите к опухоли на 15 минут. Этот компресс рекомендуется применять через 2 дня после травмы.
  • Утром на полчаса, а вечером прикладывать к комку компресс из натертого на мелкой терке сырого картофеля.
  • Капустный лист нашинковать и отварить в молоке. Слегка охладить до тепла, завернуть в салфетку и использовать по часу 2 раза в день.

Убрать шишку на лбу поможет йодная сетка.

Компресс из сырого картофеля, натертого на мелкой терке, хорошо помогает от синяков на лбу.

Особенности лечения у детей

Можно заранее приготовить кубики льда с петрушкой, они помогут снять отек в случае сильного ушиба лба. Для этого налейте воду на листья растения, заморозьте и используйте по мере необходимости.

У малыша будет синяк и шишка на лбу даже после небольшого синяка. Однако травмы в возрасте до 3 лет могут быть опасными, поскольку череп ребенка еще не прочен и не может защитить мозг от шока. После травмы нужно внимательно следить за ребенком.

Если он теряет сознание, у него нарушение координации, рвота и сильная головная боль, то следует вызвать скорую помощь.

Если травма не доставляет ребенку особого дискомфорта, то на ушибленный лоб нужно прикладывать холод и при необходимости вводить обезболивающее (Панадол, Ибуфен). Не беспокойтесь, пока ваш малыш еще счастлив и активен.

Для лечения гематом у ребенка можно использовать мазь «Айболит». Состав препарата безопасен для детей, изготовлен на основе пчелиного воска. Синяк нужно смазывать мазью каждое утро и вечер.

Гематома мягких тканей

Гематома мягких тканей — это полость, образовавшаяся в результате травмы и заполненная кровью или сгустками. Возникает при излитии крови в ткани из поврежденного сосуда. Представляет собой плотное или флуктуирующее опухолевидное образование, болезненное при пальпации, сопровождающееся отеком и изменением цвета кожи. При глубоком расположении проявляется нарушением формы и локальным увеличением объема пораженного участка. Патология диагностируется на основании жалоб, данных анамнеза и внешнего осмотра. В сомнительных случаях назначается ультрасонография. Лечение — местные консервативные мероприятия, в тяжелых случаях показано вскрытие, дренирование.

Общие сведения

Гематома мягких тканей — распространенное патологическое состояние в современной травматологии. Может выявляться в области конечностей, лица или туловища, быть небольшой или обширной, располагаться подкожно, внутримышечно, подфасциально, под слизистой оболочкой. Мелкие поверхностные гематомы чаще обнаруживаются в области пальцев рук, обширные скопления крови — в зоне нижних конечностей (голени и бедра). Небольшие образования нередко рассасываются самостоятельно. При попадании инфекции наблюдается нагноение. Патология диагностируется у всех групп населения, отмечается некоторое преобладание людей с высоким уровнем физической активности (детей, молодых мужчин).

Причины

Гематомы могут обнаруживаться при любых видах травматических повреждений (автодорожных, производственных, падениях с высоты и пр.), но наиболее распространенной причиной их образования является бытовая травма. Патология обычно возникает после прямого удара при ушибе, может формироваться вследствие интенсивного сдавления, разрыва сосуда при переломах, вывихах и других повреждениях. Предрасполагающими факторами, увеличивающими вероятность развития данного состояния, являются заболевания, сопровождающиеся нарушениями со стороны свертывающей системы крови и повышенной хрупкостью сосудистой стенки.

Патогенез

В основе механизма формирования гематомы мягких тканей лежит разрыв кровеносного сосуда без наличия раны, реже — при небольшой ране (обычно колотой). Интенсивное локальное травматическое воздействие при ушибе, повреждение костным отломком, резкое противоестественное смещение одних анатомических структур относительно других при переломе или вывихе становится причиной нарушения целостности сосудистой стенки. Кровь под давлением вытекает и «раздвигает» ткани, формируя полость.

Часть крови пропитывает ткани, поэтому в дальнейшем наблюдаются цикличные изменения цвета кожных покровов, обусловленные распадом эритроцитов с образованием гематоидина и гематосидерина. Вначале место повреждения становится багровым или багрово-синюшным, позже приобретает зеленоватый, а затем желтоватый оттенок. При глубоких гематомах цвет кожи может оставаться неизмененным.

В последующем гематома либо рассасывается, либо длительно сохраняется, претерпевая ряд последовательных изменений, завершающихся рубцеванием. При вскрытии свежих образований кровь алая, вязкая, густая, иногда желеобразная, что объясняется активностью факторов свертывания. Позже в полости обнаруживаются либо старые сгустки, либо темная жидкая лизированная кровь. При опорожнении застарелых гематом сгустки могут быть твердыми, образовывать цельную массу, плохо отделяться от окружающих тканей, что связано с начавшимся процессом рубцевания и перерождения в фиброзную ткань. Инфицированные полости заполнены серозным или гнойным содержимым.

Классификация

Систематизация осуществляется по нескольким признакам. Целью деления на группы является оценка тяжести патологии, выбор лечебной тактики, определение необходимости проведения хирургического вмешательства и наиболее вероятного прогноза. В клинической практике различают следующие виды гематом:

  • По локализации. Гематомы могут быть расположены под кожей, в подслизистом слое, под фасцией, в толще мышечной ткани. Наиболее крупные полости локализуются внутри мышц или подфасциально (между мышцей и фасцией), что обусловлено богатым кровоснабжением и эластичностью скелетной мускулатуры.
  • По состоянию сосуда. Пульсирующие гематомы формируются при повреждении сосуда большого калибра, отличаются отсутствием тромба в зоне повреждения, возможностью свободного движения крови из полости образования в полость сосуда и обратно. Непульсирующие гематомы обнаруживаются при нарушении целостности мелких и средних сосудов, дефект стенки которых быстро закрывается тромбом.
  • По состоянию излившейся крови. Несвернувшиеся (свежие) гематомы выявляются в первые часы или дни после травмы, свернувшиеся — спустя несколько суток, лизированные (заполненные старой кровью, неспособной к свертыванию) — через несколько недель. Указанные сроки могут колебаться в зависимости от активности факторов свертывания, размера образования и иных обстоятельств. При проникновении инфекции наблюдается инфицирование, позже — нагноение.
  • По отношению к тканям. При развитии диффузных гематом процесс пропитывания тканей кровью преобладает над процессом их «раздвигания», полость небольшая или отсутствует. При формировании ограниченных образований ткани пропитаны незначительно, основная масса излившейся крови находится в полости. Осумкованные гематомы определяются в отдаленные сроки, характеризуются наличием слоя плотной соединительной ткани, отделяющей полость от окружающих структур.
  • По степени тяжести. Легкие гематомы возникают примерно через сутки после травматического эксцесса, чаще рассасываются самостоятельно. Образования средней тяжести формируются в течение 3-5 часов, требуют проведения консервативных или оперативных мероприятий. Тяжелые повреждения диагностируются через 1-2 часа после травмы, являются показанием для вскрытия и дренирования.

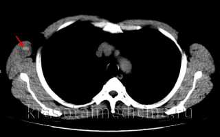
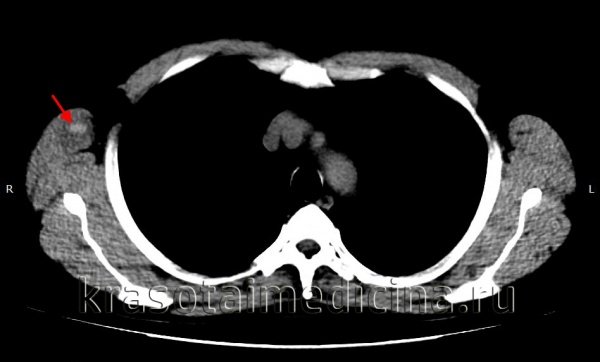
image

КТ ОГК. Гиперденсное скопление крови в толще мышечного массива грудной стенки справа, окруженное зоной отека.

Симптомы

Первыми проявлениями патологии становятся боль и местный отек. Характерным отличием гематомы от других травм мягких тканей на ранней стадии является более выраженная ограниченность припухлости, отсутствие постепенного перехода от отечных структур к неизмененным. В последующие часы отек начинает распространяться. Болезненность усиливается, движения ограничиваются из-за боли. Пациенты предъявляют жалобы на ощущение давления или напряжения в пораженной зоне. При поверхностном расположении гематомы кожа становится синюшно-багровой. При глубокой локализации полости может выявляться локальная гиперемия кожных покровов, иногда цвет кожи не изменяется.

При пальпации на начальном этапе флуктуация обычно отсутствует, определяется уплотнение и резкая болезненность. После формирования ограниченной полости, содержащей жидкую кровь, выявляется положительный симптом зыбления. Вначале пораженная область при ощупывании напряженная, после спадания отека плотность тканей может снижаться. При благоприятном течении припухлость постепенно уменьшается в размере и исчезает, при неблагоприятном — сохраняется в течение длительного времени, вызывает болезненность при движениях.

Осложнения

Основным возможным негативным последствием гематомы мягких тканей является ее нагноение с образованием абсцесса. Осложнение чаще обнаруживается при сопутствующих повреждениях кожных покровов. При попадании инфекционных агентов в полость образования болевой синдром усиливается, отмечается локальная гиперемия и гипертермия, присоединяются симптомы общей интоксикации. В отдельных случаях возможно распространение гнойного процесса с формированием флегмоны или развитием сепсиса.

Диагностика

Диагностика осуществляется врачом-травматологом. При отсутствии признаков поражения костей и суставов дополнительные исследования обычно не требуются, диагноз выставляется с учетом данных анамнеза (наличие свежей травмы с характерным механизмом), жалоб больного и результатов физикального обследования. При глубоко расположенных гематомах для оценки тяжести повреждения и дифференцировки с ушибом может назначаться УЗИ мягких тканей. При сопутствующем поражении твердых структур выполняется рентгенография соответствующего сегмента. Кроме ушиба дифференциальную диагностику иногда приходится проводить с переломами, надрывами связок и мышц, реже — с синдромом позиционного сдавления, острым миозитом, ишемией при тромбозе сосуда мелкого или среднего калибра и некоторыми другими состояниями, сопровождающимися плотным локальным отеком.

image

КТ головного мозга. Гематома периферических мягких тканей левой теменной области

Лечение гематомы мягких тканей

Лечение обычно осуществляется амбулаторно, тактика определяется тяжестью процесса и временем с момента травмы. При свежих повреждениях конечности придают возвышенное положение, прикладывают холод (грелку с холодной водой, пакеты со льдом, завернутые в полотенце), накладывают давящую повязку для уменьшения кровотечения. После организации небольших образований назначают УВЧ, применяют теплые грелки для ускорения рассасывания. Небольшие поверхностно расположенные гематомы вскрывают в условиях травмпункта. При крупных и глубоких полостях, появлении признаков инфицирования показана госпитализация в травматологическое отделение, вскрытие и дренирование на фоне антибиотикотерапии. При неинфицированных гематомах после вскрытия рекомендовано тугое бинтование для устранения полости и ускорения заживления.

Прогноз и профилактика

Прогноз обычно благоприятный. Большинство гематом рассасывается самостоятельно в течение 2-3 недель. Средний срок нетрудоспособности после вскрытия полости составляет около 2 недель, исходом становится полное выздоровление. При отсутствии лечебных мероприятий возможно образование массива фиброзной ткани (рубца) с формированием внешнего дефекта. При наличии инфекции сроки лечения и прогноз могут колебаться, зависят от тяжести процесса. Профилактика включает предотвращение травм и раннее обращение за медицинской помощью при получении повреждений.

Литература:

  1. Debjit B., Rishab B., Darsh G., Parshuram R., Sampath K. P. K. Gastroretentive drug delivery systems- a novel approaches of control drug delivery systems. Research Journal of Science and Technology;10(2): 145–156. DOI: 10.5958/2349-2988.2018.00022.0.
  2. Pund A. U., Shandge R. S., Pote A. K. Current approaches on gastroretentive drug delivery systems. Journal of Drug Delivery and Therapeutics. 2020; 10(1): 139–146. DOI: 10.22270/jddt.v10i1.3803.
  3. Renouard, «Histoire de la medicine» (П., 1948).
  4. https://cmrt.ru/simptomy/gematoma-posle-ushiba/.
  5. https://mdc51.ru/ushib-lba.html.
  6. https://www.KrasotaiMedicina.ru/diseases/traumatology/hematoma.
  7. А.В. Ланцова, Е.В. Санарова, Н.А. Оборотова и др. Разработка технологии получения инъекционной лекарственной формы на основе отечественной субстанции производной индолокарбазола ЛХС-1208 // Российский биотерапевтический журнал. 2014. Т. 13. № 3. С. 25-32.
  8. М.П. Киселева, З.С. Смирнова, Л.М. Борисова и др. Поиск новых противоопухолевых соединений среди производных N-гликозидов индоло[2,3-а] карбазолов // Российский онкологический журнал. 2015. № 1. С. 33-37.
  9. Renouard, «Histoire de la medicine» (П., 1948).
  10. ОФС.1.2.1.2.0003.15 Тонкослойная хроматография // Государственная фармакопея, XIII изд.

Ссылка на основную публикацию
Похожее