Гематома

Скопление сгустков или жидкой крови в мягких тканях тела, образовавшееся из-за разрыва кровеносных сосудов, называют гематомой. Самой распространенной разновидностью патологии является обычный синяк. Однако это понятие включает намного более тяжелые и сложные случаи, которые нельзя оставлять без квалифицированной медицинской помощи. Кровь, вытекающая из сосуда, раздражающе действует на окружающие его ткани, следствием чего становится появление болезненных ощущений, отека тканей и других признаков развивающегося воспаления. Кроме того, гематома сдавливает расположенные рядом с ней ткани или органы, что может привести к развитию осложнений.

Общие сведения

Основной причиной гематом являются ушибы — закрытые повреждения мягких тканей, полученные вследствие удара или падения. Сильный удар приводит к разрыву стенки мелких кровеносных сосудов, из-за чего кровь сквозь места прорывов начинает вытекать в подкожную клетчатку, мягкие ткани или полости организма. Гематомы образовываются в разных частях тела — на конечностях, туловище и даже на голове. Помимо ушибов, причинами гематом становятся интенсивные сдавления и растяжения тканей при вывихах или переломах.

Повреждения небольшого размера, как правило, не требуют никакого лечения и рассасываются самостоятельно в течение нескольких дней. При образовании обширных гематом существует риск попадания инфекции и развития нагноения. Наиболее часто гематомы образуются у представителей младших возрастных групп — детей, подростков и молодежи, которым присуща высокая физическая активность. Еще одной «группой риска» являются люди с повышенной хрупкостью сосудистой стенки, а также с нарушениями свертываемости крови.

Почему гематома меняет цвет

Медики выделяют три отдельные стадии гематомы, через которые она должна пройти, прежде чем полностью исчезнуть. Каждая из них характеризуется определенным цветом кожи, сквозь которую просвечивает кровоизлияние.

  1. Появление синяка. Сразу после ушиба мягких тканей ощущается резкая боль, участок кожи в поврежденном месте становится багрово-красным и напухает из-за отека тканей, затем красный цвет постепенно сменяется синим. Красный цвет придают эритроциты, содержащие большое количество гемоглобина. Спустя несколько часов гемоглобин начинает разрушаться, и место ушиба синеет. Из-за отека и воспаления ткани в поврежденном месте повышается температура.
  2. Позеленение. Спустя два-три дня отек и температура уменьшаются, состояние тканей более-менее нормализуется, однако сохраняются незначительные болевые ощущения при надавливании. Синий оттенок кожи понемногу переходит в зеленоватый цвет.
  3. Пожелтение. Примерно к пятому дню отек полностью проходит, остатки гемоглобина распадаются и выводятся из тканей. Место ушиба становится желтоватым, затем приобретает обычный цвет.

Визуальные симптомы гематом наиболее хорошо заметны в случаях, когда излияние крови происходит в подкожном слое. Если же сгусток образуется в более глубоких слоях мягких тканей, то снаружи заметна лишь небольшая, но болезненная припухлость. Такие образования намного более опасны, поскольку процесс протекает незаметно и может сопровождаться осложнениями.

Виды повреждений

Чем быстрее образуется гематома, тем тяжелее протекает выздоровление. Травмы этого рода подразделяют на:

  • легкие, развивающиеся в течение суток, сопровождающиеся слабыми болезненными ощущениями и не требующим специального лечения;
  • средней тяжести, для появления которых требуется не более 5-6 часов, сопровождающиеся заметной припухлостью и болью, ухудшающие двигательную функцию конечности;
  • тяжелые, образующиеся в течение 2 часов после ушиба, сопровождающиеся нарушением функций конечности, острой болью и заметной припухлостью.

Лечение гематом среднего и тяжелого типа должно проводиться под наблюдением врача, чтобы исключить возможные негативные последствия травмы.

Кроме тяжести повреждения, существуют и другие критерии классификации гематом:

  • по глубине расположения — под кожей, под слизистой оболочкой, в толще мышечной ткани, под фасцией и т.д.;
  • по состоянию разлитой крови — несвернувшиеся (свежие), свернувшиеся и лизированные (заполненные старой кровью, которая не способна к свертыванию);
  • по характеру распространения крови — диффузные (кровь пропитывает ткань и быстро распространяется), полостные (кровь скапливается в полости между тканями) и осумкованные (с течением времени полость, заполненная кровью, окружается «сумкой» из соединительной ткани);
  • по состоянию сосуда — пульсирующие (кровь свободно выливается из сосуда и втекает обратно) и непульсирующие (разрыв сосуда быстро запечатывается тромбом).

Практически всегда кровоизлияние представляет опасность для здоровья, поэтому для ликвидации его последствий нужно сразу после травмы обратиться за врачебной помощью.

Методы обследования

Для диагностики гематом необходимо обратиться к травматологу. При локализации кровоизлияния глубоко в мышечной ткани, суставах либо внутренних органах визуальный осмотр дает слишком мало информации, чтобы врач мог объективно оценить тяжесть поражения и степень опасности травмы. В таких ситуациях больному назначают:

  • УЗИ поврежденной части тела, органа или сустава;
  • рентгенографию поврежденной части тела;
  • КТ или МРТ;
  • пункцию (прокол специальной иглой) сустава или органа, в котором предположительно скопилась кровь.

По результатам обследования врач назначает соответствующие процедуры.

Как убрать гематомы?

После установления характера и особенностей гематомы лечение назначают в соответствии с полученной информацией:

  • назначают процедуры УВЧ;
  • проводят хирургическое вскрытие для удаления скопившихся сгустков и промывания полости;
  • госпитализируют пациента в хирургическое отделение для вскрытия и дренирования с последующей терапией антибиотиками.

Сроки восстановления зависят от масштабов поражения, наличия или отсутствия инфекции и других факторов.

Часто возникающие вопросы

Как избавиться от гематомы народными методами?

Народные средства помогают только при небольших и неопасных поверхностных повреждениях. Для ускорения рассасывания к синяку можно прикладывать компресс из размятого капустного листа, смешанную с вазелином бодягу, смоченные в растворе мумие тампоны. При глубоко расположенных или обширных повреждениях необходимо обратиться к врачу.

Чем опасна гематома?

Наибольшую опасность для здоровья, а иногда и для жизни представляют гематомы, образующиеся в глубине тканей, внутри органов или суставов. Крупное кровоизлияние опасно возможным развитием инфекции, воспалением и нагноением. При повреждении сустава может развиться бурсит, синовит или гемартроз, результатом чего становится инвалидность. Кровь в полости брюшины приводит к перитониту. Гематомы головного мозга приводят к нарушению функций этого органа с тяжелыми последствиями в виде ухудшения когнитивных функций, паралича частей тела и др.

Как лечить гематому в первые часы после травмы?

Сразу после ушиба необходимо оказать пострадавшему первую помощь: приложить к травмированному месту лед, затем туго забинтовать поврежденную конечность, чтобы перекрыть вытекание крови в ткани. Повязка не должна оставаться дольше двух часов. За это время необходимо добраться до травмпункта, где пациент получит необходимую профессиональную помощь.

Не нашли ответа на свой вопрос?

Наши специалисты готовы проконсультировать вас по телефону:

Гематома мягких тканей

Гематома мягких тканей — это полость, образовавшаяся в результате травмы и заполненная кровью или сгустками. Возникает при излитии крови в ткани из поврежденного сосуда. Представляет собой плотное или флуктуирующее опухолевидное образование, болезненное при пальпации, сопровождающееся отеком и изменением цвета кожи. При глубоком расположении проявляется нарушением формы и локальным увеличением объема пораженного участка. Патология диагностируется на основании жалоб, данных анамнеза и внешнего осмотра. В сомнительных случаях назначается ультрасонография. Лечение — местные консервативные мероприятия, в тяжелых случаях показано вскрытие, дренирование.

Общие сведения

Гематома мягких тканей — распространенное патологическое состояние в современной травматологии. Может выявляться в области конечностей, лица или туловища, быть небольшой или обширной, располагаться подкожно, внутримышечно, подфасциально, под слизистой оболочкой. Мелкие поверхностные гематомы чаще обнаруживаются в области пальцев рук, обширные скопления крови — в зоне нижних конечностей (голени и бедра). Небольшие образования нередко рассасываются самостоятельно. При попадании инфекции наблюдается нагноение. Патология диагностируется у всех групп населения, отмечается некоторое преобладание людей с высоким уровнем физической активности (детей, молодых мужчин).

Причины

Гематомы могут обнаруживаться при любых видах травматических повреждений (автодорожных, производственных, падениях с высоты и пр.), но наиболее распространенной причиной их образования является бытовая травма. Патология обычно возникает после прямого удара при ушибе, может формироваться вследствие интенсивного сдавления, разрыва сосуда при переломах, вывихах и других повреждениях. Предрасполагающими факторами, увеличивающими вероятность развития данного состояния, являются заболевания, сопровождающиеся нарушениями со стороны свертывающей системы крови и повышенной хрупкостью сосудистой стенки.

Патогенез

В основе механизма формирования гематомы мягких тканей лежит разрыв кровеносного сосуда без наличия раны, реже — при небольшой ране (обычно колотой). Интенсивное локальное травматическое воздействие при ушибе, повреждение костным отломком, резкое противоестественное смещение одних анатомических структур относительно других при переломе или вывихе становится причиной нарушения целостности сосудистой стенки. Кровь под давлением вытекает и «раздвигает» ткани, формируя полость.

Часть крови пропитывает ткани, поэтому в дальнейшем наблюдаются цикличные изменения цвета кожных покровов, обусловленные распадом эритроцитов с образованием гематоидина и гематосидерина. Вначале место повреждения становится багровым или багрово-синюшным, позже приобретает зеленоватый, а затем желтоватый оттенок. При глубоких гематомах цвет кожи может оставаться неизмененным.

В последующем гематома либо рассасывается, либо длительно сохраняется, претерпевая ряд последовательных изменений, завершающихся рубцеванием. При вскрытии свежих образований кровь алая, вязкая, густая, иногда желеобразная, что объясняется активностью факторов свертывания. Позже в полости обнаруживаются либо старые сгустки, либо темная жидкая лизированная кровь. При опорожнении застарелых гематом сгустки могут быть твердыми, образовывать цельную массу, плохо отделяться от окружающих тканей, что связано с начавшимся процессом рубцевания и перерождения в фиброзную ткань. Инфицированные полости заполнены серозным или гнойным содержимым.

Классификация

Систематизация осуществляется по нескольким признакам. Целью деления на группы является оценка тяжести патологии, выбор лечебной тактики, определение необходимости проведения хирургического вмешательства и наиболее вероятного прогноза. В клинической практике различают следующие виды гематом:

  • По локализации. Гематомы могут быть расположены под кожей, в подслизистом слое, под фасцией, в толще мышечной ткани. Наиболее крупные полости локализуются внутри мышц или подфасциально (между мышцей и фасцией), что обусловлено богатым кровоснабжением и эластичностью скелетной мускулатуры.
  • По состоянию сосуда. Пульсирующие гематомы формируются при повреждении сосуда большого калибра, отличаются отсутствием тромба в зоне повреждения, возможностью свободного движения крови из полости образования в полость сосуда и обратно. Непульсирующие гематомы обнаруживаются при нарушении целостности мелких и средних сосудов, дефект стенки которых быстро закрывается тромбом.
  • По состоянию излившейся крови. Несвернувшиеся (свежие) гематомы выявляются в первые часы или дни после травмы, свернувшиеся — спустя несколько суток, лизированные (заполненные старой кровью, неспособной к свертыванию) — через несколько недель. Указанные сроки могут колебаться в зависимости от активности факторов свертывания, размера образования и иных обстоятельств. При проникновении инфекции наблюдается инфицирование, позже — нагноение.
  • По отношению к тканям. При развитии диффузных гематом процесс пропитывания тканей кровью преобладает над процессом их «раздвигания», полость небольшая или отсутствует. При формировании ограниченных образований ткани пропитаны незначительно, основная масса излившейся крови находится в полости. Осумкованные гематомы определяются в отдаленные сроки, характеризуются наличием слоя плотной соединительной ткани, отделяющей полость от окружающих структур.
  • По степени тяжести. Легкие гематомы возникают примерно через сутки после травматического эксцесса, чаще рассасываются самостоятельно. Образования средней тяжести формируются в течение 3-5 часов, требуют проведения консервативных или оперативных мероприятий. Тяжелые повреждения диагностируются через 1-2 часа после травмы, являются показанием для вскрытия и дренирования.

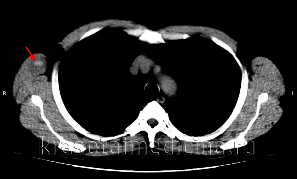
image

КТ ОГК. Гиперденсное скопление крови в толще мышечного массива грудной стенки справа, окруженное зоной отека.

Симптомы

Первыми проявлениями патологии становятся боль и местный отек. Характерным отличием гематомы от других травм мягких тканей на ранней стадии является более выраженная ограниченность припухлости, отсутствие постепенного перехода от отечных структур к неизмененным. В последующие часы отек начинает распространяться. Болезненность усиливается, движения ограничиваются из-за боли. Пациенты предъявляют жалобы на ощущение давления или напряжения в пораженной зоне. При поверхностном расположении гематомы кожа становится синюшно-багровой. При глубокой локализации полости может выявляться локальная гиперемия кожных покровов, иногда цвет кожи не изменяется.

При пальпации на начальном этапе флуктуация обычно отсутствует, определяется уплотнение и резкая болезненность. После формирования ограниченной полости, содержащей жидкую кровь, выявляется положительный симптом зыбления. Вначале пораженная область при ощупывании напряженная, после спадания отека плотность тканей может снижаться. При благоприятном течении припухлость постепенно уменьшается в размере и исчезает, при неблагоприятном — сохраняется в течение длительного времени, вызывает болезненность при движениях.

Осложнения

Основным возможным негативным последствием гематомы мягких тканей является ее нагноение с образованием абсцесса. Осложнение чаще обнаруживается при сопутствующих повреждениях кожных покровов. При попадании инфекционных агентов в полость образования болевой синдром усиливается, отмечается локальная гиперемия и гипертермия, присоединяются симптомы общей интоксикации. В отдельных случаях возможно распространение гнойного процесса с формированием флегмоны или развитием сепсиса.

Диагностика

Диагностика осуществляется врачом-травматологом. При отсутствии признаков поражения костей и суставов дополнительные исследования обычно не требуются, диагноз выставляется с учетом данных анамнеза (наличие свежей травмы с характерным механизмом), жалоб больного и результатов физикального обследования. При глубоко расположенных гематомах для оценки тяжести повреждения и дифференцировки с ушибом может назначаться УЗИ мягких тканей. При сопутствующем поражении твердых структур выполняется рентгенография соответствующего сегмента. Кроме ушиба дифференциальную диагностику иногда приходится проводить с переломами, надрывами связок и мышц, реже — с синдромом позиционного сдавления, острым миозитом, ишемией при тромбозе сосуда мелкого или среднего калибра и некоторыми другими состояниями, сопровождающимися плотным локальным отеком.

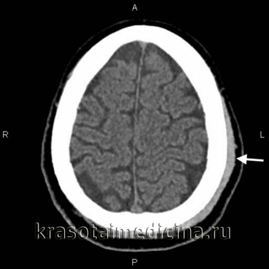
image

КТ головного мозга. Гематома периферических мягких тканей левой теменной области

Лечение гематомы мягких тканей

Лечение обычно осуществляется амбулаторно, тактика определяется тяжестью процесса и временем с момента травмы. При свежих повреждениях конечности придают возвышенное положение, прикладывают холод (грелку с холодной водой, пакеты со льдом, завернутые в полотенце), накладывают давящую повязку для уменьшения кровотечения. После организации небольших образований назначают УВЧ, применяют теплые грелки для ускорения рассасывания. Небольшие поверхностно расположенные гематомы вскрывают в условиях травмпункта. При крупных и глубоких полостях, появлении признаков инфицирования показана госпитализация в травматологическое отделение, вскрытие и дренирование на фоне антибиотикотерапии. При неинфицированных гематомах после вскрытия рекомендовано тугое бинтование для устранения полости и ускорения заживления.

Прогноз и профилактика

Прогноз обычно благоприятный. Большинство гематом рассасывается самостоятельно в течение 2-3 недель. Средний срок нетрудоспособности после вскрытия полости составляет около 2 недель, исходом становится полное выздоровление. При отсутствии лечебных мероприятий возможно образование массива фиброзной ткани (рубца) с формированием внешнего дефекта. При наличии инфекции сроки лечения и прогноз могут колебаться, зависят от тяжести процесса. Профилактика включает предотвращение травм и раннее обращение за медицинской помощью при получении повреждений.

Отличие ушиба от перелома

Дата публикации: 21.03.2019

Дата проверки статьи: 07.05.2020

Часто в результате падений или при занятиях спортом человек получает ушиб. В тяжёлых случаях требуется консультация врача для избежания осложнений. Однако под симптоматикой ушиба может скрываться перелом костных тканей. Клиническая картина у данных повреждений схожая, но требует разного лечения. Если своевременно не определить характер травмы, увеличивается риск возникновения осложнений. Требуется знать отличия ушиба от перелома и когда следует обращаться с травмой к врачу.

Ушиб, как и перелом, возникает при нарушении техники безопасности на производстве или во время занятий спортом, падения, удара тупым предметом. Главный провоцирующий фактор в данной ситуации — воздействие какой-либо силы. Переломы также могут случаться при ослабленности костной ткани. Привести к хрупкости кости могут различные заболевания, например остеопороз, доброкачественные или злокачественные опухоли. Чаще переломы диагностируют в области нижних и верхних конечностей.

О чём говорит ушиб или перелом

Перелом подразумевает разрушение костной ткани, которое сопровождается смещением поражённой области. Возникает при воспалительном процессе, в результате удара. При отсутствии помощи больному осколки кости могут повредить мягкие ткани, что вызовет дополнительные травмы. В редких случаях возможен паралич, объясняется повреждение нервных клеток осколками костной ткани. Ушиб же подразумевает поражение мягких тканей закрытого типа. Часто исчезают самостоятельно, без использования медикаментозных средств и других методов терапии.

Разновидности ушибов и переломов

Ушибы врачи классифицируют в зависимости от тяжести повреждений:

  • первая степень подразумевает незначительные повреждения, болезненные ощущения практически отсутствуют. Ушиб не требует помощи врача, заживает самостоятельно в течение недели;
  • вторая степень сопровождается выраженным болевым синдромом, характеризуется повреждением мышечной ткани, у пациента отмечают выраженную отёчность;
  • третья степень подразумевает повреждение сухожилий и связок;
  • наиболее тяжелая степень — четвертая, ушиб нарушает функционирование органов, несёт угрозу здоровью человека.

Переломы имеют следующую классификацию:

  • патологический, подразумевает разрушение костных тканей под воздействием различных заболеваний, пациент даже не замечает перелом;
  • травматический, разрушительный для кости процесс начинается после воздействия мощной силы.

Врачи разделяют переломы на открытые и закрытые:

  • закрытый перелом редко можно увидеть, отсутствует деформация кожных покровов;
  • открытый перелом подразумевает проникновение в поражённый участок инфекции.

Как отличить ушиб от перелома

Изначально трудно определить, какой именно характер повреждения получил человек. Основные признаки ушиба — болезненные ощущения, покраснение поражённой области, отёчность. Болевой синдром при ушибе первой степени исчезает в течение нескольких минут, образуется синяк. При других разновидностях ушиба врачи отмечают стойкий болевой синдром, возможно повреждение внутренних структур. В случае ушиба головы возможны головные боли. Перелом имеет схожую симптоматику, однако существует несколько отличий:

  • при разрушении костной ткани болезненные ощущения не стихают на протяжении нескольких часов, при ушибе болевой синдром постепенно становится меньше;
  • при переломе отёчность появляется через 48 — 72 часа, при ушибе гематома образуется сразу;
  • при нарушении целостности кости больной не может двигать поражённой областью из-за появления сильных болезненных ощущений, например пациент не может выпрямить ногу;
  • в случае смещения кости повреждённая конечность в некоторых случаях деформируется.

Что делать при ушибе, когда и к какому врачу обращаться?

Изначально требуется определить характер травмы и тяжесть повреждений. При поражении верхней или нижней конечности проверяют её работоспособность. При незначительной травме требуется приложить к место ушибу лёд. Таким образом удастся остановить кровотечение. Самостоятельно применять обезболивающие препараты не рекомендуется. Противопоказано использование аспирина, который усиливает кровотечение. При сильном ушибе требуется наложить давящую повязку, далее требуется доставить пострадавшего к ортопеду-травматологу для последующего осмотра и составления курса терапии. Стационарное лечение требуется при ушибах 3 или 4 степени, а также при повреждении поясницы, головы, органов дыхания или живота.

При переломе больному требуется принять обезболивающее средство, обездвижить поражённый участок при помощи шины, остановить кровотечение при его наличии. Пострадавшему требуется обратиться в травматологическое отделение больницы.

Как лечить

Методика лечения ушиба зависит от тяжести повреждения. При поражении первой или второй степени использование медикаментозных средств не требуется. В других случаях используют лекарственные препараты. При переломе изначально проводят обезболивание и вправление кости, затем больному накладывают гипс, возможно использование лекарств для стимуляции заживления костной и мягкой тканей.

Медикаментозное лечение

При наличии сильного болевого синдрома используются обезболивающие препараты в виде таблеток и мазей. В случае повреждения пальца на нижней конечности рекомендуется ограничить подвижность поражённой области.

При переломе после вправления кости больному назначают нестероидное противовоспалительное средство, прописывают обезболивающее, антибактериальный препарат.

Хирургическое лечение

При серьёзном переломе возможно оперативное вмешательство. Врачи сводят кость при помощи специальных средств, например спицами и трубками.

Консервативная терапия

После вправления кости при переломе накладывают гипс. После снятия гипса рекомендуется пройти курс физиотерапии, которая ускоряет процесс восстановления кости, уменьшает риск возникновения спаек. Для восстановления подвижности больному составляют курс лечебной гимнастики.

Отзывы пациентов

Точность диагностики и качественное обслуживание — главные приоритеты нашей работы. Мы ценим каждый отзыв, который оставляют нам наши пациенты.

Литература:

  1. Moustafine R. I., Bobyleva V. L., Bukhovets A. V., Garipova V. R.,Kabanova T. V., Kemenova V. A., Van den Mooter G. Structural transformations during swelling of polycomplex matrices based on countercharged (meth)acrylate copolymers (Eudragit® EPO/Eudragit® L 100-55). Journal of Pharmaceutical Sciences. 2011; 100:874–885. DOI:10.1002/jps.22320.
  2. Daremberg, «Histoire des sciences médicales» (П., 1966).
  3. Sprengel, «Pragmatische Geschichte der Heilkunde».
  4. https://www.medicina.ru/patsientam/zabolevanija/gematoma/.
  5. https://www.KrasotaiMedicina.ru/diseases/traumatology/hematoma.
  6. https://cmrt.ru/stati/kak-lechit/otlichie-ushiba-ot-pereloma/.
  7. Haeser, «Handbuch der Gesch. d. Medicin».
  8. Wise, «Review of the History of Medicine» (Л., 1967).

Ссылка на основную публикацию
Похожее