Www.travm.info Травматология Крупнейший медицинский портал, посвященный повреждениям человеческого организма

Как ушиб, так и перелом пальца являются весьма распространенными травмами, которые встречаются в любом возрасте и в различных ситуациях. В преимущественном количестве клинических случаев подобные повреждения не оказываются слишком опасными для здоровья человека.

В тоже время это зависит от своевременности примененного лечения, для чего необходимо знать, как отличить ушиб пальца от перелома. Таким образом, возможно избежать как более серьезных последствий, так и опасных для человеческого здоровья осложнений.

Фото: процедура диагностики различных повреждений пальцев рук и ног

Как и одна, так и другая травма может быть спровоцирована, как бытовыми факторами, так происходить во время занятий спортом. Кроме того, данное повреждение нередко случается при автомобильных катастрофах. Отсутствие правильного диагноза может привести к выбору неправильного лечения, поэтому необходимо знать, как отличить ушиб пальца от перелома с помощью внешних симптоматических признаков.

Перед тем, как отличить сильный ушиб от перелома пальца, стоит уделить внимание общим симптоматическим проявлениям, которые характерны для всех возможных видов повреждений пальцев.

В данном случае идет речь о:

  • сильных болезненных ощущениях;
  • ощущении тяжести передвижения;
  • локализированном покраснении места полученного удара.

Характерные особенности поврежденного пальца

Для того, чтобы понять, как ушиб пальца отличить от перелома, следует обратить внимание на то, что перелом является нарушением целостной структуры костной ткани или надкостницы.

В тоже время ушиб определяется в современной медицине в качестве относительного повреждения мягких тканей, что локализируются в области ударенного пальца (это могут ткани кожного покрова, подкожной клетчатки и мышц). Таким образом, основная отличительная черта связана с видимостью произошедшего нарушения: с визуальной стороны целостность и кожи, и самой кости фаланг остается нормальной.

Следует отметить, что переломы встречаются краевые, поперечно-зубчатые, винтообразные без наличия смещенных отломков, а также открытые. Естественно, что более сложным становится задание, как отличить ушиб пальца ноги от перелома, поскольку чаще всего за ушиб можно принять перелом закрытого вида, когда фрагменты поврежденной кости остаются несмещенными.

Основные характеристики для отличия ушиба от нарушения целостности кости фаланг

Говоря о выраженной симптоматике нарушенной целостности кости ноги или руки в области ударенного пальца, необходимо подчеркнуть, что она отличается наличием:

  • интенсивной болью, которая не стихает не только непосредственно после произошедшего удара, но и по прошествии нескольких часов;
  • постоянной нарастающей отечностью и образованием выраженных кровоподтеков (гематом), хотя в единичных случаях отеки могут полностью отсутствовать;
  • усиленными болезненными ощущениями при попытках двигать травмированной конечностью;
  • при наличии смещенных костных элементов поврежденный палец остается в деформированном состоянии (укороченном или удлиненном), что свидетельствует о произошедшем переломе;
  • патологической подвижности и крепитации, которые позволяют понять, как определить перелом или ушиб пальца ноги, повышая риск повреждения соседних сосудов и нервов;
  • кровоточивости, которая характерна для открытых видов нарушенной целостности кости;
  • наличии симптома осевой нагрузки, когда при стуках по местах выше травмы боль в области полученного удара значительно усиливается.

Образование гематом как главный симптом произошедшего ушиба пальца

Для того, чтобы научиться, как определить ушиб или перелом пальца руки, необходимо учитывать характерные особенности ушиба, которые являются не слишком многочисленными.

В данном случае это:

  1. Боль, которая через несколько часов после полученного удара становится более слабой.
  2. Отечность, которая имеет способность нарастать, но при возвышенном положении конечности может уменьшиться.
  3. Нарушенная подвижность суставов соседних к месту удара, что спровоцировано отечностью и болью.

В основном диагностика полученной травмы состоит в изучении симптоматических характеристик и последующего рентгенологического обследования. Несмотря на это, даже без подтверждения рентгеновским снимком врач, как и неспециалист в этой области способен установить предварительный диагноз.

Благодаря следующей таблице можно с точностью понять, чем отличается перелом пальца от ушиба:

Симптом Как проявляется в случае перелома и ушиба, общие и отличительные особенности
Болезненность Перелом отличается интенсивными болезненными ощущениями. Она не может утихнуть со временем или благодаря отсутствию движений. Пальпация провоцирует только усиление боли.

Интенсивность боли при переломах и ушибах пальцев

В случае с ушибами болезненные ощущения сильные, но со временем уменьшается или совсем полностью исчезает.

Отечность В большинстве случаев локализация удара начинает отекать через несколько дней, что является одной из основных причин несвоевременного обращения пациента за квалифицированной медицинской помощью.

Формирование отеков в области полученного повреждения

Что касается ушибов, то главное отличие перелома от ушиба пальца ноги заключается в мгновенном образовании значительного отека в области удара. В тоже время он может полностью исчезнуть или уменьшиться в течении двенадцати часов после времени полученной травмы.

Деформация Неправильная форма или положение поврежденного пальца является одним из наиболее ярких симптомов нарушенной целостности. Из-за деформации палец становится визуально укороченным или удлиненным, поэтому его сравнение с нормальным пальцем позволяет определиться, идет ли речь о переломе или же об ушибе.

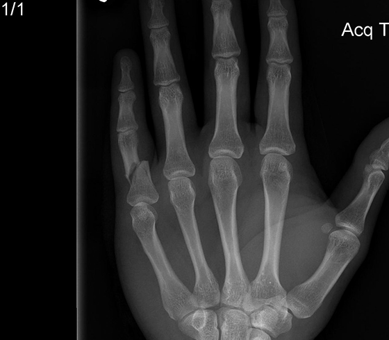
Рентгенологический снимок со смещенными фрагментами кости пальца

Что касается ушиба, то размеры поврежденного пальца остаются в рамках нормы, не учитывая отечности области полученного удара.

Подвижность Возможность двигать травмированной стопой является одним из основных факторов, чем отличается ушиб пальца ноги от перелома. Если в случае перелома человеку сложно двигаться и самостоятельно добираться до больницы, то при ушибе сохраняется способность нормального передвижения.

Крепитация и патологическая подвижность при повреждении пальца

Таким образом, чтобы предварительно определиться с видом повреждения пальца на ноге или руке, необходимо уделить внимание характеру болезненных ощущений, наличию отечности, локализированных кровоподтеков, а также возможности пострадавшего осуществлять движения травмированной верхней или нижней конечностью.

Несмотря на это, только квалифицированный специалист может точно определить характер произошедшего повреждения. В настоящее время сделать это удается с помощью различных дополнительных методов диагностики, среди которых чаще всего используются рентгенография и компьютерная томография.

Применение этих диагностических процедур обеспечивает возможность изучить все анатомические особенности полученного повреждения (наличие травмированных соседних сосудов и тканей, смещенных фрагментов кости фаланги ударенного пальца).

Рекомендованная первая помощь и лечение переломов и ушибов пальцев

Следует уделить внимание тому, что даже в случае незначительного подозрения на подобную травму верхней или нижней конечности видео в этой статье рекомендует обеспечить покой поврежденной области. Сделать это возможно с помощью специально наложенной шины, которая защищая ее от повторных смещений костных фрагментов, гарантирует ее неподвижное положение.

В первые минуты после полученного повреждения место удара нужно обезболить. Наиболее эффективными в таких случаях окажутся обезболивающие медикаментозные препараты. В случае их отсутствия инструкция рекомендует прикладывание холода к месту полученной травмы, что позволяет добиться сокращения сосудов.

Если идет речь о нарушенной целостности, то оставить конечность в покое до приезда медицинской помощи позволит избежать повторного смещения отломков поврежденной кости. В случае с ушибом первая медицинская помощь под видом холода и покоя в течение нескольких часов позволит уменьшить или же полностью устранить главные симптомы произошедшей травмы.

Идет речь о болевом шоке, а также формировании интенсивной отечности в течение первых часов после произошедшего удара.

Прикладывание холода как метод борьбы с болевым шоком во время травмы

Если сломанный палец на руке или ноге нуждается в обязательном продолжительном лечении, то бороться с ушибом оказывается намного проще. Соответственно и цена лечения перелома является более высокой по сравнению с методами устранения последствий случившегося ушиба.

Даже наличие кровеносных сгустков (гематом) в области полученного удара не является серьезной причиной для использования хирургического метода лечения, поскольку они имеют тенденцию рассасываться самостоятельно. Таким образом, в большинстве случаев операции не являются необходимыми и обязательными для успешного и полноценного восстановления поврежденной кости.

Важно! В соответствии с общей статистикой чаще всего встречаются ушибы, чем переломы. Что же касается локализации травм, то они скорее повреждают мизинцы на руках или ногах. Объяснить данную особенность возможно с помощью анатомических особенностей их структуры.

Нарушенная целостность кости фаланги любого пальца верхней или нижней конечности нуждается в сопоставлении смещенных элементов. Проводить данную медицинскую процедуру необходимо после введения анестетического медикаментозного средства местного действия.

Такая операция называется репозицией и позволяет восстановить нормальное положение всех поврежденных из-за удара структур пальца. Если имеет место угловая деформация, тогда более эффективной оказывается процедура, когда палец вытягивается за последнюю фалангу.

Использование фиксирующей повязки для сохранения нормального положения пальца

Для закрепления положения поврежденного пальца в естественном и правильном состоянии пациенту приходится носить специальную гипсовую повязку после перелома в течение трех — четырех недель. В данном случае стоит обратить внимание на то, что метод лечения зависит, в первую очередь, от вида произошедшего повреждения.

Так, если имеет место вовлеченность соседних суставов лучше всего поддается лечению с помощью методомостеосинтеза. Этот метод базируется на использовании компрессионно-дистракционного аппарата, способного обеспечить надежную фиксацию травмированного пальца.

В тоже время соседние пальцы и суставы остаются полностью подвижными, что помогает избежать нежелательных последствий лечения, связанных с длительным неподвижным состоянием во время лечения.

В тоже время восстанавливаться после ушибов намного проще, чем в случае с переломами пальцев. В первую очередь, следует ограничить конечность и сам травмированный палец в движениях. К тому же, эффективными оказываются специальные мази противовоспалительного действия.

Для получения скорейшего эффекта квалифицированными травматологами рекомендуются физиотерапевтические процедуры, которые следует проходить на регулярной основе.

Рекомендации к эффективному восстановлению после травмы пальца

Важно! В редких случаях такие ушибы сопровождаются отторжением ногтевой пластины, что связано с наличием внутреннего кровоподтека. В современной медицине рекомендуется постоянная обработка поврежденной области, что позволяет ногтю полностью отрасти в течение нескольких месяцев.

При этом стоит помнить, что болезненные ощущения все-таки могут присутствовать при существенных нагрузках на область повреждения.

Как отличить ушиб от перелома пальца руки?

Получить травму пальца довольно легко, достаточно проявить неосторожность в быту или на работе. Многие люди не относятся серьезно к данным повреждениям, считая, что это просто небольшой ушиб, однако это неправильно. Оказывается, за простым ушибом может скрываться перелом, ведь признаки этих повреждений практически одинаковы. Как же отличить данные травмы? Давайте разбираться.

Ушиб пальца руки

Ушиб — травма не слишком серьезная. Возникает она, как правило, вследствие удара о тупой предмет или же при падении с незначительной высоты. Чаще всего не происходит нарушение кожных покровов, и нет опасности для организма.

image

При сильном ушибе человек может испытывать нестерпимую боль, тогда как легкие травмы практически незаметны. Симптоматика данной травмы зависит от степени ее тяжести и включает в себя такие признаки:

  1. Образование припухлости в месте получения повреждения.
  2. Изменение цвета пальца (он может покраснеть или посинеть).
  3. Боль при попытке пошевелить пальцем.
  4. Образование гематомы, которая может быть светло-синего или черного цвета.

Сильный ушиб имеет несколько иные, более ярко выраженные симптомы:

  • Нестерпимая боль.
  • Невозможность пошевелить травмированным пальцем.
  • Неестественная подвижность поврежденного пальца.
  • Внешняя деформация.
  • Нарушение кожных покровов и кровотечение.
  • Трещина в кости.

image

Перелом пальца руки

Это гораздо более серьезное повреждение, чем простой ушиб. При этом нарушается целостность костей и есть риск неправильного срастания пальца. Такие, казалось бы, разные травмы не так уж просто отличить, при получении повреждения человек испытывает схожие симптомы, и порой без медицинского обследования очень сложно определить, что именно происходит с пальцем.

image

Переломы могут привести к необратимым последствиям, особенно это касается переломов большого пальца — в этом случае человек на время полностью теряет трудоспособность. Такие переломы к счастью встречаются довольно редко, наиболее распространенный вид повреждения — перелом мизинца.

Получить данное повреждение можно даже при незначительном ударе или неловком падении. Очень часто ломают пальцы спортсмены, особенно волейболисты и баскетболисты. Последствия могут быть довольно неприятными — кость может срастись неправильно, из-за чего палец будет плохо справляться со своими функциями. При получении даже незначительной травмы не стоит откладывать визит к врачу.

image

К общим симптомам и признакам данного вида повреждения относят:

  1. Боль в месте повреждения, которая усиливается при движении или нажатии на верхушку пальца.
  2. Отек и покраснение.
  3. Повышение температуры кожных покровов в месте получения повреждения.
  4. Ограниченность движений.

Признаки, по которым можно сделать вывод о наличии перелома следующие:

  • Наличие раны, из которой видны костные обломки (при открытом переломе).
  • Изменение формы кости и ее укорочение.
  • Неестественная подвижность.
  • Хруст при движении.
  • Заметное нарушение целостности при пальпации.

Перелом или ушиб?

При получении повреждения пальца очень трудно определить перелом это или ушиб. Большинство симптомов очень похожи, а опухоль и сильная боль не дает полноценно прощупать больную область. Часто даже врачи не могут быть уверенны в правильности поставленного диагноза. При визуальном осмотре они ориентируются на наличие признаков, указывающих на перелом.

При данном повреждении основные симптомы будут выражены более ярко. Во время диагностики важно определить, как усиливается болезненность при нагрузке вдоль оси поврежденного пальца. Этот небольшой тест поможет врачу заподозрить перелом.

Визуальное обследование не дает 100% результата. Подтвердить диагноз может только рентгеновский снимок. Именно это и предложат сделать пострадавшему сразу же после осмотра.

image

Исключение составляет открытый перелом пальца или перелом со смещением. В этом случае даже человек далекий от медицины может правильно определить диагноз.

Если при получении травмы возникло подозрение на перелом, нужно иммобилизовать руку и сразу же обратиться к врачу.

Лечение

Сразу же после получения травмы необходимо приложить к поврежденной области что-то холодное. Это может быть завернутый в марлю лед или любой холодный предмет. Холод снимет отек и покраснение. Можно также подставить поврежденную область под струю холодной воды. Важно, чтобы напор из крана не был слишком сильным, это может вызвать усиление боли. Слишком долго охлаждать поврежденную область не рекомендуется, это может привести к повреждению кожного покрова.

Необходимо иммобилизовать поврежденный палец с помощью эластичного бинта или шины, сделанной из обычной шариковой ручки и бинта. В таком состоянии пострадавшего необходимо отправить в больницу для постановки точного диагноза.

Ушибы можно прекрасно лечить в домашних условиях. Для этого нужно обеспечить полный покой данной части тела. Лучше всего некоторое время походить с повязкой из эластичного бинта. Поврежденную область можно мазать специальными обезболивающими и противовоспалительными мазями, такими как троксевазин. Данные препараты снимают боль и отек, способствуют быстрому заживлению и снижают вероятность возникновения воспалительного процесса.

При повреждении кожного покрова необходимо обработать травмированный участок йодом или перекисью водорода. Это предотвратит воспаление и окажет обеззараживающий эффект.

При сильном ушибе необходимо наблюдать за состоянием ногтевой пластины. В случае ее почернения следует еще раз обратиться к врачу — возможен процесс отторжения ногтя.

Процесс заживления длится около двух недель. При сильных болях можно принимать обезболивающие препараты (но-шпа, кетанов).

Лечение перелома более сложное и длительное. В зависимости от степени тяжести полученной травмы оно может проводиться несколькими способами:

  1. Закрытая репозиция.
  2. Открытая репозиция.
  3. Скелетное вытяжение.

При закрытом переломе со смещением костей применяют закрытую репозицию. В мягкие ткани возле травмированной области вводится анестетик (лидокаин). После того как анестезия подействует врач вправляет кости. Палец нужно тянуть по его оси и сгибать все суставы до образования угла 120 градусов.

Затем необходимо надавить на угол перелома с целью поставить кость на место. После данной процедуры накладывается гипсовая повязка (при этом палец остается частично согнутым). Пациенту рекомендуется держать руку в приподнятом положении в течение 2-3 дней.

Метод открытой репозиции применяется при сложных открытых или оскольчатых переломах, а также в случае неправильного срастания костей. Это оперативное вмешательство, проводящееся под общим наркозом. В процессе операции врач скрепляет кости при помощи спиц или шурупов. Затем пациенту накладывают гипс или аппарат Елизарова. После операции назначаются обезболивающие и противовоспалительные препараты.

При оскольчатых переломах со смещением может проводиться скелетное вытяжение. Данный метод используют в случае, когда невозможно вправить кость без оперативного вмешательства. Пациенту накладывают гипс, а напротив травмированного пальца прикрепляют проволоку с крюком. Шелковые нити проводят через ногтевые фаланги и прикрепляют к крюку. В таком состоянии легче провести репозицию обломков костей. После процедуры пациенту назначают анальгетики, антибиотики и противовоспалительные препараты.

Литература:

  1. Wise, «Review of the History of Medicine» (Л., 1967).
  2. Sprengel, «Pragmatische Geschichte der Heilkunde».
  3. Ковнер, «Очерки истории M.».
  4. https://Travm.info/diagnostika/differencialnaya/kak-otlichit-ushib-palca-ot-pereloma-385.
  5. https://sustavos.ru/kak-otlichit-ushib-ot-pereloma-palca-ruki/.
  6. З.С. Смирнова, Л.М. Борисова, М.П. Киселева и др. Противоопухолевая активность соединения ЛХС-1208 (N-гликозилированные производные индоло[2,3-а]карбазола) // Российский биотерапевтический журнал 2010. № 1. С. 80.
  7. Renouard, «Histoire de la medicine» (П., 1948).

Ссылка на основную публикацию
Похожее