Центр туберкулеза и заболеваний легких

При расспросе больного следует обращать особое внимание на боль в груди, кашель, кровохарканье, одышку, лихорадочное состояние, потливость и потерю в весе. Имеют значение и жалобы на расстройства со стороны других органов, как потеря аппетита, поносы, общая нервная возбудимость.

Необходимо помнить, что туберкулез может протекать под маской другого заболевания, например гриппа, затянувшегося или рецидивирующего, или атипичной пневмонии. Поэтому при расспросе больного необходимо уделить особое внимание часто повторяющимся заболеваниям органов дыхания: пневмонии, бронхиту, экссудативному плевриту, гриппу.

При дальнейшем расспросе больного следует выяснить наследственное отягощение в семье, контакт с туберкулезными больными, социальные условия жизни больного (жилище, питание, условия труда).

Б о л ь – в области грудной клетки – одно из самых наиболее частых проявлений легочного туберкулеза. Чаще всего вызываются сопутствующими воспалительными изменениями в плевре. Боли локализуются между лопатками, под ними, в боковых отделах грудной клетки, в области плечевого пояса. Характер болей – ноющие, грызущие, колющие, усиливающие при дыхании, особенно при кашле, не постоянные по своей интенсивности. Эти боли присущи почти всем формам туберкулеза, поскольку плевра постоянно вовлекается в процесс.

К а ш е л ь – также один из наиболее постоянных симптомов туберкулеза легких. В отдельных случаях даже тяжелые формы могут протекать без кашля (так называемые сухие формы). Кашель бывает “плевральный “, в связи с раздражением плевры, “бронхитический “ или легочной, зависящий от воспалительных изменений в бронхах и легких Кашель может быть сухим и влажным. Наблюдаются самые разнообразные переходы от редкого покашливания, до сильных приступов, сопровождающихся рвотой. Параллелизма между тяжестью легочного процесса и силой кашля не имеется. Большие количества мокроты характерны для наличия полостей.

О д. ы ш к а – при легочном туберкулезе обусловливается:

1) уменьшением дыхательной поверхности легких при развитии в них туберкулезного процесса;

2) нарушением сердечной деятельности при церротических процессах из – за смещения сердца;

3) влиянием токсических продуктов, действующих на дыхательный центр или нервную систему. Она обычно имеет место при более распространенных изменениях в легких.

Нередко первым проявлением туберкулеза легких является л е г о ч н о е к р о в о х ар к а н ь е. Кровохарканья проходят вследствие нарушения целостности легочных сосудов, а именно при казеозном распаде легочной ткани с повреждением сосудов или при разрыве стенки расширенного сосуда в каверне. Легочное кровотечение встречается приблизительно в 30% всех случаев туберкулеза легких. У некоторых больных кровохаркания повторяются через различные промежутки времени. Кровотечения могут быть источником образования аспирационной пневмонии и дальнейшего прогрессирования процесса путем бронхогенной диссеминации.

Л и х о р а д к а – Многообразие форм и течения легочного туберкулеза определяет изменчивый, непостоянный характер температурной кривой. Полного параллелизма между температурой и распространением и характером процесса не существует. Для определения форм все же удается выделить характерные кривые:

1) Для тяжелых прогрессирующих процессов с распадом легочной ткани и образованием каверн характерна гектическая температура (разница между утренней и вечерней иногда доходит до 3 – 5*).

2) При тяжелых хронических процессах температурная кривая неправильного типа, обуславливается сменой различных фаз в течении болезни (обострение, затихание, снова обострение и т.д.)

3) Высокая температура постоянного типа характерна для периода высыпания бугорков и возникновения экссудативных пневматических очагов.

4) Хронический легочной туберкулез часто протекает с субфебрильной температурой или даже без температуры. Важно знать, что в течение туберкулеза всякий побьем температуры может указывать на новое обострение. Физическое напряжение, сильные раздражения могут вызывать подскоки температуры даже при стационарных процессах. У больных туберкулезом женщин отмечаются предменструальные повышения температуры.

Лихорадка у туберкулезных больных сопровождается обычно потами. В одних случаях отмечается небольшая потливость, в других – профузные поты, так что приходится в течение ночи несколько раз менять белье. Профузные поты большей частью сопутствуют гектической температуре, изнуряют больного, лишают его сна.

П о х у д а н и е. При прогрессирующем заболевании больной резко худеет. Исчезновение жира и атрофия мышц создают картину habitus phthisicus (phthisis – чахотка; этим словом иногда обозначают и саму болезнь). Это прогрессирующее падение в весе объясняется действием на обмен веществ продуктов туберкулезных бацилл и распадом легочной ткани, отсутствием аппетита, плохим пищеварением, рвотой, бессонницей.

При некоторых формах туберкулеза легких с преобладанием фиброза даже при далеко зашедших процессах больные при хорошем уходе сохраняют в течение многих лет хороший вес. Потеря в весе обычно означает ухудшение процесса. Колебания в весе у туберкулезных больных – важный прогностический признак.

Нам важно ваше мнение! Был ли полезен опубликованный материал? Да | Нет

Описание заболевания легких

Данные ВОЗ за последние несколько лет показывают, что в год под заражение легких туберкулезом попадают около 9 миллионов человек, а около 3 миллионов – умирают от осложнений этого недуга. Почему-то в обществе принято полагать, что такому заболеванию чаще всего подвержены люди с неблагополучной судьбой, малообеспеченные и проживающие в антисанитарных условиях. Но исследования показывают, что, никакие слои общества, социальные группы, народы и страны не застрахованы от подобных медицинских случаев.

Кроме этого, туберкулез легких может поразить ребенка, взрослого, пожилого человека, мужчину или женщину. Именно этим и объясняется широта распространения заболевания. Возбудителем патологического инфицирования является бактерия – mycobacterium, которая имеет две разновидности:

  1. mycobacterium tuberculosis – микобактерия туберкулеза, или человеческий вид, поражающая человека в городской и другой местности, где нет домашних животных крупного рогатого скота;
  2. mycobacterium bovis – микобактерии Бови, или бычий вид, которые поражают человека в селах и там, где имеется скот и другие домашние животные.

Распространяется заболевание обычно аэрогенным (передачей через воздух с частицами пыли) или капельно-воздушным путем (чихание, кашель). Реже можно обнаружить факторы распространения путем тесного контакта (через кожу, шерсть животных), алиментарного (механического попадания внутрь через пищу зараженного мяса), трансплацентарный (от матери к плоду внутри нее).

Мудрая система функционирования и защиты органов в теле человека может охранять также и дыхательные пути, однако, она заметно ослабевает при частых воспалениях или особенно каких-либо хронических заболеваниях, а потому есть риск заболеть туберкулезом. Поэтому так необходима грамотная профилактика туберкулеза. Процессы, происходящие внутри дыхательных органов, характерны следующими особенностями, которые отражают путь микобактерии, ее развитие внутри легких:

Формы, признаки и симптомы туберкулеза

Это заболевание, по сравнению, например, с бронхитом, имеет довольно внушительную классификацию своих разновидностей и видов, которые называются формами туберкулеза. Чтобы точно определить динамику развития заболевания и признаки туберкулеза, а также его остановку и лечение, необходимо определиться, к какой разновидности принадлежит медицинский случай. К самым часто диагностируемым и выявленным исследователями формам относятся следующие типы заболевания:

Закрытая и открытая форма – в зависимости от этапов развития болезни туберкулез может быть открытым (заразным, передающимся по воздуху людям, стоящим рядом) или закрытым (незаразным, не передающимся воздушно-капельным путем). При закрытом туберкулезе больной кашляет и чихает, но при этом не выделяет микробов вокруг себя.

Диссеминированный – показывает множество воспалений в легких. Очаги локализуются в разных местах, а потому и заболевание подразделяется на лимфобронхогенный и гематогенный туберкулез.

Милиарный – разделяется между собой также на:

  • тифоидный, сопровождающийся лихорадкой и интоксикацией;
  • легочный, который ярко показывает дыхательную недостаточность и интоксикацию;
  • менингиальный – менингит, менингоэнцефалит.

Ограниченный или очаговый – количество воспалительных очагов немногочисленно, занимать может 1 или 2 сегмента в обоих легких. Характерен наименьшим проявлением симптомов.

Инфильтративный – воспалительные очаги сопровождаются также и некрозными процессами в легких, что приводит к распаду или рассасыванию легочных тканей.

Казеозная пневмония – по типу острого казеозного распада легочных тканей. Проявляется болезнь таким образом, что тяжело больной диагностируется со сложным лейкоцитозом, обильными катаральными образованиями в легких и бактериовыделением.

Туберкулема – различного типа заполненные каверны, на рентгене видны как округлые тени. Они бывают прогрессирующего, регрессирующего характера.

Кавернозный – диагностируется при обнаружении сформированного каверна (ложбина, впадина, ямочка) в легочных тканях.

Помимо этих форм, существуют также еще и фиброзно-каверные, цирротические туберкулезы, а также – плевриты. Большая часть этих форм может проявлять признаки общего характера. Туберкулез симптомы показывает следующие:

  • апатия, вялость, слабость, сонливость;
  • головокружение;
  • нарушения сна – бессонница;
  • потеря хорошего аппетита;
  • ночная потливость;
  • бледность кожных покровов;
  • резкое и заметное похудение;
  • постоянная температура тела (37 градусов).

Симптомы туберкулеза

Методы лечения туберкулеза и профилактические способы

Для диагностики заболевания используются следующие методы и способы:

  • рентген легких – флюорография, рентгенография;
  • рентгеноскопия;
  • томография;
  • общий анализ крови;
  • микробиологическая диагностика на выявление наличия бактерий;
  • генетические исследования.

Туберкулез лечение приемлет только с подачи квалифицированного лечащего врача, а не полуграмотного студента или непрофессионального лекаря народной медицины. Это серьезное заболевание, которое оставляет и серьезные последствия при неправильном лечении. При сильнейшем поражении легких инфекцией могут применяться химиопрепараты и операции, а при остальных формах – назначаются сильные иммуностимулирующие медикаменты, дыхательная гимнастика.

Туберкулез — инфекционное заболевание, вызываемое несколькими разновидностями кислотоустойчивых микобактерий (род Mycobacterium) (устаревшее название — палочка Коха). Устаревшее название туберкулёза лёгких — чахотка (от слова чахнуть), в древней Руси называлась сухотная.

Туберкулез легких — инфекционное заболевание, характеризующееся образованием в пораженных тканях очагов специфического воспаления и выраженной общей реакцией организма. Во многих экономически развитых странах, в частности в России, значительно снизились заболеваемость туберкулезом и смертность от него. В соответствии с информацией ВОЗ, около 2 миллиардов людей, треть общего населения Земли, инфицировано туберкулезом. В настоящее время туберкулёзом ежегодно заболевает 9 миллионов человек во всём мире, из них 3 миллиона умирают от его осложнений. Отмечено, что заболеваемость туберкулёзом зависит от неблагоприятных условий (тюрьмы), а также от индивидуальных характеристик организма человека (например, от группы крови). Существует несколько факторов, вызывающих повышенную восприимчивость человека к туберкулёзу, одним из наиболее значимых в мире стал СПИД.

Первичное инфицирование микобактериями туберкулеза и скрытое течение туберкулёзной инфекции. Первичное заражение человека МБТ обычно происходит аэрогенным путем. Другие пути проникновения — алиментарный, контактный и трансплацентарный — встречаются значительно реже. Система дыхания защищена от проникновения микобактерий мукоцилиарным клиренсом (выделение бокаловидными клетками дыхательных путей слизи), Нарушение мукоцилиарного клиренса при остром и хроническом воспалении верхних дыхательных путей, трахеи и крупных бронхов, а также под воздействием токсических веществ делает возможным проникновение микобактерий в бронхиолы и альвеолы, после чего вероятность инфицирования и заболевания туберкулёзом значительно увеличивается.

Микобактерии задерживаются в органах с наиболее развитым микроциркуляторным руслом (лёгкие, лимфатические узлы, корковый слой почек, эпифизы и метафизы трубчатых костей, ампуллярно-фимбриональные отделы маточных труб, увеальный тракт глаза). Поскольку возбудитель продолжает размножаться, а иммунитет ещё не сформировался, популяция возбудителя значительно увеличивается. При ослаблении иммунитета возникает угроза активизации сохранившейся популяции МБТ и заболевания туберкулёзом. Приобретенный иммунитет к МБТ снижается при СПИДе, сахарном диабете, язвенной болезни, злоупотреблении алкоголем и длительном применении наркотиков, а также при голодании, стрессовых ситуациях, беременности, лечении гормонами или иммунодепрессантами. В целом риск развития туберкулёза у впервые инфицированного человека составляет около 8 % в первые 2 года после заражения, постепенно снижаясь в последующие годы.

Диагностика. Лабораторные методы диагностики — материал полученный при бронхоскопии; исследования плевральной жидкости; биопсия плевры, легкого; микроскопия мокроты; генетические методы бактериальной диагностики (метод полимеразной цепной реакции (ПЦР), серологические методы;

Рентгенологические методы — рентгеноскопия; рентгенография; томография; флюорография; компьтерная томография.

Трахеобронхоскопия, торакоскопия (плевроскопия);

Трансбронхиальная биопсия (прямым показанием для ее проведения является наличие патологии в главных, долевых, сегментарных или субсегментарных бронхах); трансторакальная игловая биопсия; плевральная пункция и пункционная биопсия плевры.

Лечениемедикаментозное; хирургическое лечение туберкулёза легких (удаление пораженной части легкого).

Профилактика. В целях профилактики необходимо проведение следующих мероприятий:

  • проведение профилактических и противоэпидемических мероприятий адекватных сложившейся крайне неблагополучной эпидемиологической ситуации по туберкулезу.
  • раннее выявление больных и выделение средств на лекарственное обеспечение. Это мероприятие сможет также уменьшить заболеваемость людей, вступающих в контакт в очагах с больными.
  • проведение обязательных предварительных и периодических осмотров при поступлении на работу в животноводческие хозяйства, неблагополучных по заболеванию туберкулезом крупного рогатого скота.
  • увеличение выделяемой изолированной жилой площади больным, страдающим активным туберкулезом и проживающим в многонаселенных квартирах и общежитиях.
  • своевременнее проведение (до 30 дней жизни) первичной вакцинации новорожденным детям.

image

Туберкулез легких – это инфекционная патология, вызываемая бациллой Коха, характеризующаяся различными в клинико-морфологическом отношении вариантами поражения легочной ткани. Многообразие форм туберкулеза легких обусловливает вариабельность симптоматики. Наиболее типичны для туберкулеза легких респираторные нарушения (кашель, кровохарканье, одышка) и симптомы интоксикации (длительный субфебрилитет, потливость, слабость). Для подтверждения диагноза используются лучевые, лабораторные исследования, туберкулинодиагностика. Химиотерапия туберкулеза легких проводится специальными туберкулостатическими препаратами; при деструктивных формах показано хирургическое лечение.

МКБ-10

image

Общие сведения

На сегодняшний день туберкулез легких представляет не только медико-биологическую, но и серьезную социально-экономическую проблему. По данным ВОЗ, туберкулезом инфицирован каждый третий житель планеты, смертность от инфекции превышает 3 млн. человек в год. Легочный туберкулез является самой частой формой туберкулезной инфекции. Удельный вес туберкулеза других локализаций (суставов, костей и позвоночника, гениталий, кишечника, серозных оболочек, ЦНС, глаз, кожи) в структуре заболеваемости значительно ниже.

image

Причины

Специфическими агентами, обусловливающими инфекционную природу заболевания, служат микобактерии туберкулеза (МБТ). В 1882г. Роберт Кох впервые описал основные свойства возбудителя и доказал его специфичность, поэтому бактерия получила имя своего первооткрывателя – палочка Коха. Микроскопически микобактерии туберкулеза имеют вид прямой или слегка изогнутой неподвижной палочки, шириной 0,2-0,5 нм и длиной 0,8-3 нм.

Отличительной чертой МБТ является их высокая устойчивость к внешним воздействиям (высоким и низким температурам, влажности, воздействию кислот, щелочей, дезинфектантов). Наименьшую стойкость возбудители туберкулеза легких демонстрируют к солнечному свету. Для человека опасность представляют туберкулезные бактерии человеческого и бычьего типа; случаи инфицирования птичьим типом микобактерий крайне редки.

Основной путь заражения при первичном туберкулезе легких – аэрогенный: от больного открытой формой человека микобактерии распространяются с частичками слизи, выделяемыми в окружающую среду при разговоре, чихании, кашле; могут высыхать и разноситься с пылью на значительные расстояния. В дыхательные пути здорового человека инфекция чаще попадает воздушно-капельным или пылевым путем.

Меньшую роль в инфицировании играют алиментарный (при употреблении зараженных продуктов), контактный (при использовании общих предметов гигиены и посуды) и трансплацентарный (внутриутробный) пути. Причиной вторичного туберкулеза легких выступает повторная активация ранее перенесенной инфекции либо повторное заражение.

Однако попадание МБТ в организм не всегда приводит к заболеванию. Факторами, на фоне которых туберкулез легких развивается особенно часто, считаются:

  • неблагоприятные социально-бытовые условия
  • курение и другие химические зависимости
  • недостаточное питание
  • иммуносупрессия (ВИЧ-инфекция, прием глюкокортикоидов, состояние после трансплантации органов)
  • силикоз
  • сахарный диабет
  • ХПН
  • онкологические заболевания и др.

В группе риска по развитию туберкулеза легких находятся мигранты, заключенные, лица, страдающие наркотической и алкогольной зависимостью. Также имеет значение вирулентность инфекции и длительность контакта с больным человеком.

Патогенез

При снижении местных и общих факторов защиты микобактерии беспрепятственно проникают в бронхиолы, а затем в альвеолы, вызывая специфическое воспаление в виде отдельных или множественных туберкулезных бугорков или очагов творожистого некроза. В этот период появляется положительная реакция на туберкулин — вираж туберкулиновой пробы. Клинические проявления туберкулеза легких на этой стадии часто остаются нераспознанными. Небольшие очажки могут самостоятельно рассасываться, рубцеваться или обызвествляться, однако МБТ в них длительно сохраняются.

Классификация

Первичный туберкулез легких — это впервые развившаяся инфильтрация легочной ткани у лиц, не имеющих специфического иммунитета. Диагностируется преимущественно в детском и подростковом возрасте; реже возникает у лиц старшего и пожилого возраста, которые в прошлом перенесли первичную инфекцию, закончившуюся полным излечением. Первичный туберкулез легких может принимать форму:

  • первичного туберкулезного комплекса (ПТК)
  • туберкулеза внутригрудных лимфоузлов (ВГЛУ)
  • хронически текущего туберкулеза.

Вторичный туберкулез легких развивается при повторном контакте с МБТ или в результате реактивации инфекции в первичном очаге. Основные вторичные клинические формы представлены:

Отдельно различают кониотуберкулез (туберкулез, развивающийся на фоне пневмокониозов), туберкулез верхних дыхательных путей, трахеи, бронхов; туберкулезный плеврит. При выделении больным МБТ в окружающую среду с мокротой говорят об открытой форме (ВК+) туберкулеза легких; при отсутствии бацилловыделения – о закрытой форме (ВК–). Также возможно периодическое бацилловыделение (ВК±).

Течение туберкулеза легких характеризуется последовательной сменной фаз развития:

  • 1) инфильтративной
  • 2) распада и обсеменения
  • 3) рассасывания очага
  • 4) уплотнения и обызвествления.

Симптомы туберкулеза легких

Первичный туберкулезный комплекс сочетает в себе признаки специфического воспаления в легком и регионарный бронхоаденит. Может протекать бессимптомно или под маской простудных заболеваний, поэтому выявлению первичного туберкулеза легких способствуют массовые скрининги детей (проба Манту) и взрослых (профилактическая флюорография).

Чаще возникает подостро: больного беспокоит сухой кашель, субфебрилитет, утомляемость, потливость. При острой манифестации клиника напоминает неспецифическую пневмонию (высокая лихорадка, кашель, боль в груди, одышка). В результате лечения происходит рассасывание или обызвествление ПТК (очаг Гона). В неблагоприятных случаях может осложняться казеозной пневмонией, образованием каверн, туберкулезным плевритом, милиарным туберкулезом, диссеминацией микобактерий с поражением почек, костей, мозговых оболочек.

Признаки туберкулезной интоксикации включают отсутствие аппетита, снижение массы тела, утомляемость, бледность кожи, темные круги под глазами. На венозный застой в грудной полости может указывать расширение венозной сети на коже грудной клетки. Данная форма нередко осложняется туберкулезом бронхов, сегментарными или долевыми ателектазами легких, хронической пневмонией, экссудативным плевритом. При прорыве казеозных масс из лимфоузлов через стенку бронхов могут формироваться легочные очаги туберкулеза.

Клиническая картина очагового туберкулеза малосимптомна. Кашель отсутствует или возникает редко, иногда сопровождается выделением скудной мокроты, болями в боку. В редких случаях отмечается кровохарканье. Чаще больные обращают внимание на симптомы интоксикации: непостоянный субфебрилитет, недомогание, апатию, пониженную работоспособность. В зависимости от давности туберкулезного процесса различают свежий и хронический очаговый туберкулез легких.

Течение очагового туберкулеза легких относительно доброкачественное. У больных с нарушенной иммунной реактивностью заболевание может прогрессировать в деструктивные формы туберкулеза легких.

Клиническая картина инфильтративного туберкулеза легких зависит от величины инфильтрата и может варьировать от нерезко выраженных симптомов до острого лихорадочного состояния, напоминающего грипп или пневмонию. В последнем случае отмечается выраженная высокая температура тела, ознобы, ночная потливость, общая слабость. Со стороны органов дыхания беспокоит кашель с мокротой и прожилками крови.

В воспалительный процесс при инфильтративной форме туберкулеза легких часто вовлекается плевра, что обусловливает появление болей в боку, плеврального выпота, отставание пораженной половины грудной клетки при дыхании. Осложнениями инфильтративного туберкулеза легких могут стать казеозная пневмония, ателектаз легкого, легочное кровотечение и др.

Может манифестировать в острой (милиарной), подострой и хронической форме. Тифоидная форма милиарного туберкулеза легких отличается преобладанием интоксикационного синдрома над бронхолегочной симптоматикой. Начинается остро, с нарастания температуры до 39-40 °С, головной боли, диспепсических расстройств, резкой слабости, тахикардии. При усилении токсикоза может возникать нарушение сознания, бред.

При легочной форме милиарного туберкулеза легких с самого начала более выражены дыхательные нарушения, включающие сухой кашель, одышку, цианоз. В тяжелых случаях развивается острая сердечно-легочная недостаточность. Менингеальной форме соответствуют симптомы поражения мозговых оболочек.

Подострое течение диссеминированного туберкулеза легких сопровождается умеренной слабостью, понижением работоспособности, ухудшением аппетита, похуданием. Эпизодически возникают подъемы температуры. Кашель продуктивный, не сильно беспокоит больного. Иногда первым признаком заболевания становится легочное кровотечение.

Хронический диссеминированный туберкулез легких при отсутствии обострения бессимптомен. Во время вспышки процесса клиническая картина близка к подострой форме. Диссеминированный туберкулеза легких опасен развитием внелегочного туберкулеза, спонтанного пневмоторакса, тяжелых легочных кровотечений, амилоидоза внутренних органов.

Характер течения кавернозного туберкулезного процесса волнообразный. В фазу распада нарастают интоксикационные симптомы, гипертермия, усиливается кашель и увеличивается количество мокроты, возникает кровохарканье. Часто присоединяется туберкулез бронхов и неспецифический бронхит.

Фиброзно-кавернозный туберкулез легких отличается формированием каверн с выраженным фиброзным слоем и фиброзными изменениями легочной ткани вокруг каверны. Протекает длительно, с периодическими обострениями общеинфекционной симптоматики. При частых вспышках развивается дыхательная недостаточность II-III степени.

Осложнениями, связанными с деструкцией легочной ткани, являются профузное легочное кровотечение, бронхоплевральный свищ, гнойный плеврит. Прогрессирование кавернозного туберкулеза легких сопровождается эндокринными расстройствами, кахексией, амилоидозом почек, туберкулезным менингитом, сердечно-легочной недостаточностью – в этом случае прогноз становится неблагоприятным.

Является исходом различных форм туберкулеза легких при неполной инволюции специфического процесса и развитии на его месте фиброзно-склеротических изменений. При пневмоциррозе бронхи деформированы, легкое резко уменьшено в размерах, плевра утолщена и нередко обызвествлена.

Изменения, происходящие при цирротическом туберкулезе легких, обусловливают ведущие симптомы: выраженную одышку, тянущую боль в груди, кашель с гнойной мокротой, кровохарканье. При обострении присоединятся признаки туберкулезной интоксикации и бацилловыделение. Характерным внешним признаком пневмоцирроза служит уплощение грудной клетки на стороне поражения, сужение и втянутость межреберных промежутков. При прогрессирующем течении постепенно развивается легочное сердце. Цирротические изменения в легких необратимы.

Представляет собой инкапсулированный казеозный очаг, сформировавшийся в исходе инфильтративного, очагового или диссеминированного процесса. При стабильном течении симптомы не возникают, образование выявляется при рентгенографии легких случайно. В случае прогрессирующей туберкуломы легкого нарастает интоксикация, появляется субфебрилитет, боль в груди, кашель с отделением мокроты, возможно кровохарканье. При распаде очага туберкулома может трансформироваться в кавернозный или фиброзно-кавернозный туберкулез легких. Реже отмечается регрессирующее течение туберкуломы.

Диагностика

Диагноз той или иной формы туберкулеза легких выставляется врачом-фтизиатром на основании совокупности клинических, лучевых, лабораторных и иммунологических данных. Для распознавания вторичного туберкулеза большое значение имеет подробный сбор анамнеза. Для подтверждения диагноза проводится:

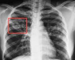
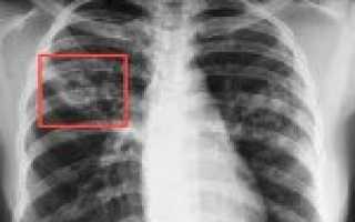
  • Лучевая диагностика.Рентгенография легких является обязательным диагностической процедурой, позволяющей выявить характер изменений в легочной ткани (инфильтративный, очаговый, кавернозный, диссеминированный и т. д.), определить локализацию и распространенность патологического процесса. Выявление кальцинированных очагов указывает на ранее перенесенный туберкулезный процесс и требует уточнения данных с помощью КТ или МРТ легких.
  • Анализы. Обнаружение МБТ достигается неоднократным исследованием мокроты (в т. ч. с помощью ПЦР), промывных вод бронхов, плеврального экссудата. Но сам по себе факт отсутствия бацилловыделения не является основанием для исключения туберкулеза легких. Современные иммунологические тесты позволяют выявить туберкулезную инфекцию почти со 100%-ной вероятностью. К ним относятся QuantiFERON и Т-спот. ТБ.
  • Туберкулинодиагностика. К методам туберкулинодиагностики относятся диаскин-тест, пробы Пирке и Манту, однако сами по себе данные методы могут давать ложные результаты. Иногда для подтверждения туберкулеза легких приходится прибегать к пробному лечению противотуберкулезными препаратами с оценкой динамики рентгенологической картины.

По результатам проведенной диагностики туберкулез легких дифференцируют с пневмонией, саркоидозом легких, периферическим раком легкого, доброкачественными и метастатическими опухолями, пневмомикозами, кистами легких, абсцессом, силикозом, аномалиями развития легких и сосудов. Дополнительные методы диагностического поиска могут включать бронхоскопию, плевральную пункцию, биопсию легкого.

Лечение туберкулеза легких

Во фтизиатрической практике сформировался комплексный подход к лечению туберкулеза легких, включающий медикаментозную терапию, при необходимости — хирургическое вмешательство и реабилитационные мероприятия. Лечение проводится поэтапно: сначала в тубстационаре, затем в санаториях и, наконец, амбулаторно. Режимные моменты требуют организации лечебного питания, физического и эмоционального покоя.

  • Противотуберкулезная терапия. Ведущая роль отводится специфической химиотерапии с помощью препаратов с противотуберкулезной активностью. Для терапии различных форм туберкулеза легких разработаны и применяются 3-х, 4-х и 5-тикомпонентные схемы (в зависимости от количества используемых препаратов). К туберкулостатикам первой линии (обязательным) относятся изониазид и его производные, пиразинамид, стрептомицин, рифампицин, этамбутол; средствами второго ряда (дополнительными) служат аминогликозиды, фторхинолоны, циклосерин, этионамид и др. Способы введения препаратов различны: перорально, внутримышечно, внутривенно, эндобронхиально, внутриплеврально, ингаляторно. Курсы противотуберкулезной терапии проводят длительно (в среднем 1 год и дольше).
  • Патогенетическая терапия. При туберкулезе легких включает прием противовоспалительных средств, витаминов, гепатопротекторов, инфузионную терапию и пр. В случае лекарственной резистентности, непереносимости противотуберкулезных средств, при легочных кровотечениях используется коллапсотерапия.
  • Хирургическое лечение. При соответствующих показаниях (деструктивных формах туберкулеза легких, эмпиеме, циррозе и ряде др.) применяются различные оперативные вмешательства: кавернотомию, торакопластику, плеврэктомию, резекцию легких.

Профилактика

Профилактика туберкулеза легких является важнейшей социальной проблемой и приоритетной государственной задачей. Первым шагом на этом пути является обязательная вакцинация новорожденных, детей и подростков. При массовых обследованиях в дошкольных и школьных учреждениях используется постановка внутрикожных туберкулиновых проб Манту. Скрининг взрослого населения осуществляется путем проведения профилактической флюорографии.

Читайте также:

Ссылка на основную публикацию
Похожее