Травмы органов мошонки

Травмы органов мошонки — повреждение яичек, придатков яичек, семенных канатиков, вызванное воздействием различных травмирующих факторов. Травмы органов мошонки сопровождаются резкой болью, болевым шоком, образованием гематомы и отека мошонки, иногда — открытыми ранами, выпадением яичка, разрывом и отрывом мошонки. Диагностика травм мошонки и ее органов проводится с помощью УЗИ, диафаноскопии, МРТ, ревизии органов мошонки. В зависимости от вида травмы лечение повреждений органов мошонки может включать удаление гематомы, остановку кровотечения, противошоковую терапию, резекцию яичка, орхиэктомию или эпидидимэктомию, сшивание семявыносящего протока и др.

Общие сведения

Травмы органов мошонки — анатомические или функциональные повреждения мужских половых органов, расположенных в мошонке, возникающие при воздействии внешних механических, химических, температурных, электрических и прочих факторов. В структуре повреждений мочеполовой системы травмы органов мошонки занимают около 25%. Среди пострадавших 80% составляют пациенты молодого и среднего возраста. В урологии и андрологии травмы органов мошонки часто сочетаются с травмами полового члена. Учитывая высокую распространенность травм органов мошонки среди мужчин репродуктивного возраста, вопросы оказания качественной медицинской помощи имеют большое медико-социальное значение.

Классификация травм органов мошонки

По характеру повреждения (наличию нарушения целостности кожи) различают закрытые (тупые, подкожные) и открытые травмы. Обе группы травм могут протекать без повреждения органов мошонки или с их заинтересованностью (повреждением яичка, придатка, семенного канатика). К закрытым травмам относятся ушиб и ущемление мошонки. В мирное время закрытые повреждения мошонки встречаются в 6-8 раз чаще, чем открытые.

По этиологии открытые травмы органов мошонки могут быть колотыми, резаными, укушенными, огнестрельными (слепыми или сквозными, пулевыми или осколочными, с наличием или без инородного тела в мошонке) и пр. Особо тяжелый вид открытого повреждения представляет травматическая ампутация мошонки. По наличию или отсутствию сочетания с травмами других органов повреждения мошонки могут быть изолированными либо сочетанными. Чаще всего травмы органов мошонки сочетаются с ранениями уретры, мочевого пузыря, прямой кишки, костей таза, мягких тканей бедер, что требует привлечения к их лечению не только урологов, но также проктологов и травматологов.

image

Травмы органов мошонки

Причины травм органов мошонки

На долю тупых травм органов мошонки приходится почти 80% всех случаев повреждений данной анатомической области. Непосредственными причинами закрытых повреждений мошонки и ее органов выступают избиение, ДТП, травмы в быту или на производстве, при занятиях спортом (единоборствами, велоспортом, конным спортом и др.). Чаще всего закрытые травмы являются следствием прямого удара по мошонке. Повреждающим фактором может выступать сдавление мошонки при сексуальных контактах, завалах в шахтах, при авариях, землетрясениях и других катастрофах. Хронические травмы органов мошонки, связанные с вибрацией, тряской, перегреванием, могут привести к нарушению сперматогенеза (олигоспермии, астенозооспермии, азооспермии).

Термические травмы органов мошонки могут включать ожоги кипятком, паром, горячими предметами, химическими веществами, отморожения. Ноже­вые и огнестрельные ранения, приводящие к открытой травме органов мошонки, встречаются в 5% случаев. Укушенная травма может быть нанесена как животным, так и сексуальным партнером.

Симптомы травм органов мошонки

Закрытые травмы мошонки

При закрытых травмах органы мошонки могут оставаться интактными или повреждаться в той или иной степени. Среди повреждений встречаются ушибы, вывих и разрыв яичка и придатка, травмы семенного канатика.

Рыхлость соединительной ткани и обильная васкуляризация мошонки способствуют тому, что закрытые травмы практически во всех случаях протекают с образованием гематом. Кровоизлияния в мошонку могут иметь поверхностный характер либо сопровождаться массивной геморрагической инфильтрацией, распространяющейся на ткани полового члена, промежности, передней стенки живота, внутренней поверхности бедер. Вследствие кровоподтека мошонка приобретает багрово-синий, иногда сине-черный цвет, значительно увеличивается в размерах на стороне повреждения.

Закрытые травмы органов мошонки (в особенности яичка и придатка) характеризуются острой интенсивной болью, нередко — явлениями болевого шока. При разрыве оболочек яичка возникает интравагинальное кровоизлияние — гематоцеле; мошонка напряжена, яичко не пальпируется. При дислокации (вывихе яичка) может произойти его перекрут в области семенного канатика или смещение (ложный крипторхизм). Вывих яичка может быть паховым, лобковым, промежностным, абдоминальным. Закрытые травмы семенного канатика встречаются редко, поскольку данное анатомическое образование хорошо защищено. Обычно при повреждениях происходит ушиб семенного канатика, сдавление гематомой больших размеров.

Вследствие повреждений органов мошонки может развиться посттравматический орхит и эпидидимит, флегмона и гангрена мошонки, атрофия паренхимы яичка и бесплодие. Травмы органов мошонки в значительной мере повышают риск развития рака яичка.

Открытые травмы мошонки

Открытые повреждения мошонки практически во всех случаях сопровождаются травматическим шоком. Характерен выраженный болевой синдром, кровотечение (как наружное, так и внутреннее). При ранениях семенного канатика кровотечение из раны может быть весьма опасным. Пострадавший может находиться в состоянии коллапса или обморока. Объективно определяется адинамия, бледность и влажность кожных покровов, слабый частый пульс, артериальная гипотония. Вследствие отека и имбибиции рыхлой ткани кровью мошонка увеличивается в размерах.

При зияющих ранах мошонки может наблюдаться выпадение яичка. Открытые повреждения мошонки могут приводить к ранениям белочной оболочки яичка, отрыву части яичка, его раздроблению, полному отрыву, повреждению придатка. Травматическая ампутация мошонки протекает с явлениями травматического шока, выраженной кровопотерей. В области промежности имеется рана с остатками кожи мошонки, кровоточащими сосудами семенного канатика.

Диагностика травм органов мошонки

Травматическое повреждение органов мошонки не должно оставаться без внимания уролога, андролога, хирурга, травматолога, поскольку от полноты диагностики и оказания медицинской помощи зависит репродуктивное и общее здоровье мужчины. Предварительный вид травмы и степень повреждения устанавливается на основании жалоб, анамнеза, осмотра и пальпации мошонки.

Методом первичного инструментального обследования выступает УЗИ органов мошонки, позволяющее диагностировать гематоцеле, сотрясение или разрыв яичка, наличие инородного тела в тканях мошонки. УЗДГ сосудов мошонки позволяет оценить перфузию яичка и обнаружить сосудистые повреждения. Для распознавания характера закрытых травм информативная МРТ. Интравагинальную гематому необходимо отличать от водянки оболочек яичка (гидроцеле). Поскольку пункция оболочек яичка при травмах крайне нежелательна, с дифференциальной целью целесообразно использовать диафаноскопию мошонки.

Лечение травм органов мошонки

Лечение травм мошонки может носить консервативный или оперативный характер. При неосложненных повреждениях мошонки проводится симптоматическая терапия (противовоспалительные, антибактериальные, обезболивающие, гемостатические средства). В первые часы после получения травмы показано местное охлаждение мошонки, иммобилизация путем наложения давящей повязки или суспензория. Через 3-4 суток для скорейшего рассасывания подкожных кровоизлияний назначаются тепловые физиопроцедуры: соллюкс, УВЧ, парафинотерапия.

При вывихе осуществляется закрытая мануальная или хирургическая репозиция яичка, которая при необходимости дополняется подкожной орхипексией. При наличии обширных и глубоких посттравматических гематом осуществляется их дренирование. Открытая ревизия органов мошонки позволяет удалить нежизнеспособные ткани, ушить разрывы, произвести резекцию яичка, по показаниям — выполнить орхиэктомию или эпидидимэктомию, осуществить низведение яичка в мошонку.

Открытые повреждения требуют выполнения ПХО ран мошонки, вскрытия оболочек яичка, удаления гематомы, остановки кровотечения; проведения ревизии яичка, придатка и семенного канатика. В зависимости от выявленного повреждения может проводиться восстановление целостности или перевязка семявыносящего протока, удаление яичка или придатка. При отрыве мошонки с сохранением яичек, висящих на семенных канатиках, их погружают в специально сформированные «карманы» под кожей бедра, а через несколько недель переносят в формируемую из кожного лоскута мошонку. Пациентам с травматической ампутацией яичек показана трансплантация яичка или имплантация искусственного яичка. При укушенных ранах больным вводится вакцина от бешенства; при других открытых повреждениях — противостолбнячная и противогангренозная сыворотка.

Прогноз и профилактика травм органов мошонки

Основная опасность травм органов мошонки заключается в полном нарушении половой и репродуктивной функции, приводящем к тяжелому переживанию мужчиной своего состояния. Неблагоприятному прогнозу способствуют массивные повреждения органов мошонки, позднее обращение за медицинской помощью, не позволяющие выполнить органосохраняющие операции, посттравматические осложнения. Профилактика травм органов мошонки требует соблюдения осторожности в быту и на производстве, защиты промежности при занятиях спортом и т. д. Пациенты, перенесшие травму мошонки, должны находиться под динамическим наблюдением уролога-андролога для своевременного выявления отклонений в функционировании мочеполовой системы.

Травма мошонки на УЗИ (лекция на Диагностере)

Повреждение мошонки может быть от прямого удара, сдавления, при колото-резанных или огнестрельных ранениях. УЗИ позволяет оценить характер повреждений и жизнеспособность тканей.

Закрытая травма мошонки: кровоизлияние в кожу (кровоподтек); скопление крови меж оболочек мошонки (гематома); ушиб, раздавливание, разрыв или размозжение яичка и придатка.

Открытая травма мошонки: раны кожного покрова (порезы, разрывы, ожоги); проникающие раны без повреждения яичек; проникающие раны с разной степенью повреждения яичек.

Гематома меж оболочек мошонки на УЗИ

При ушибах и ущемлениях мошонки очень часто образуются массивные кровоподтёки. При этом излившаяся кровь скапливается в стенке мошонки, не проникая глубже наружной семенной фасции. Кожа мошонки приобретает багрово-синюю, иногда почти чёрную окраску; при пальпации определяется умеренная болезненность, инфильтрированные кровью ткани имеют тестоватую консистенцию, но через стенку мошонки часто удаётся прощупать яичко, его придаток и семенной канатик. Боли вскоре сменяются чувством тяжести и напряжения в мошонке. Большие гематомы мошонки вскрывают и освобождают от крови.

На УЗИ гематома меж оболочек мошонки в острый период выглядит как почти анэхогенное образование, часто с неровным контуром, заключенное между мясистой и влагалищной оболочками мошонки. Со временем содержимое становится неоднородным за счет появления нитей фибрина и сгустков в виде перегородок. В процессе организации гематома уменьшается и из ее содержимого исчезает жидкостной компонент, а на УЗИ в месте травмы визуализируется объемное образование неравномерно повышенной эхогенности, часто с кальцификатами. В случае нагноения гематомы образуется абсцесс.

Нажимайте на картинки, чтобы увеличить.

Фото. Мужчина 25-ти лет получил прямой удар в пах во время занятий спортом. На УЗИ стенка мошонки утолщена, меж оболочек мошонки почти анэхогенное бессосудистое образование (стрелка). Диагноз: Гематома мошонки (острый период).
image
Фото. «Созревая» гематома мошонки теряет жидкостный компонент и становится неравномерно гиперэхогенной (стрелка).
image

Гематоцеле или гидроцеле на УЗИ

До 25% пациентов после травмы мошонки страдают гидроцеле. Жидкость скапливается между листками влагалищной оболочки яичка, из-за чего мошонка становиться больших размеров, но яичко не прощупывается. При травме между листками влагалищной оболочки может скапливаться кровь — гематоцеле. Выраженное гематоцеле может развиться даже без повреждения яичка. Так как кожа мошонки тонкая, просвечивание особой лампой позволяет определить — что там — кровь или воспалительная жидкость.

На УЗИ гематоцеле в остром периоде выглядит как почти почти анэхогенное скопление жидкости меж листками влагалищной оболочки. Со временем содержимое становиться неоднородным за счет нитей фибрина и сгустков.

При остром гидро- и гематоцеле из-за внешнего давления на сосуды снижается приток крови к яичкам, что ошибочно можно принять за перекрут. Наличие большого гидро- и гематоцеле требует хирургического обследования.

Ушиб придатка и яичек на УЗИ

Повреждения яичка и придатка вызывают сильную боль, нередко сопровождаются рвотой, судорогами, обмороком, шоком. Часто имеет место увеличение объема мошонки, напряжённость, непальпируемое яичко.

Изолированное поражение придатка яичка при травме — это редкость. Как правило, придаток и яичко травмируются сообща. В остром периоде ушиб яичка на УЗИ выглядит как очаг пониженной эхогенности в паренхиме; повреждение внутреннего слоя белочной оболочки (teca vasculosa) может привести к локальному ослаблению кровотока и сегментарному инфаркту.

Фото. А — На УЗИ придаток яичка увеличен, неоднородный, при ЦДК кровоток усилен. Подобная УЗИ-картина может соответствовать инфекционно-воспалительному процессу в придатке яичка. Однако, пациент указывает, что дискомфорт в области мошонки появился после ушиба. Вероятно, изменения в придатке яичка связаны с травмой. Б — На УЗИ придаток яичка увеличен, в головке небольшая гетерогенная зона, вероятно, гематома; между висцеральным и париетальным листком вагинального отростка почти анэхогенное содержимое с гиперэхогенными перегородками, вероятно, гематоцеле.

Разрыв и размозжение яичка на УЗИ

При травме целостность яичка может быть частично нарушена. На УЗИ выявляется линейный гипоэхогенный тяж, который пересекает паренхиму яичка; контуры яичка четко очерчены; белочная оболочка не повреждена, часто гематоцеле. Если кровоток в паренхиме яичка не нарушен, такие травмы лечат консервативно.

Неровный контур, прерывистая белочная оболочка, пролабирование паренхимы в серозную полость и гематоцеле указывают на разрыв яичка. Разрыв белочной оболочки почти всегда приводит к нарушению кровотока в сегменте или во всем яичке, что связано с повреждением teca vasculosa. В случаях размозжения яичка визуализируются отдельные его фрагменты, разделенные участками кровоизлияния. При отсутствии кровотока яичко или его часть удаляют. Нежизнеспособные фрагменты со временем замещаются фиброзной гиперэхогенной тканью.

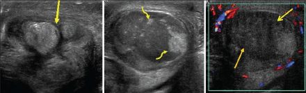
Фото. А — Мужчина 24-х лет после тупой травмы левого яичка. На УЗИ яичко неоднородной эхоструктуры, с неровным контуром, нарушенной белочной оболочкой, пролабирование паренхимы (звездочка); анэхогенный ободок, вероятно, гематоцеле вследствие разрыва яичка. Б, В — На УЗИ контур яичка неровный, белочная оболочка нарушена, пролабирование паренхимы (стрелки), гематоцеле, в части яичка кровоток не определяется. Диагноз: разрыв яичка, гематоцеле, сегментарный инфаркт.
Фото. Мужчина 26-ти лет после тупой травмы мошонки. На УЗИ контур яичка неровный, белочная оболочка нарушена, паренхима пролабирует (толстая стрелка), вероятно, разрыв яичка; яичко гипоэхогенное, кровоток не определяется (стрелки), что указывает на инфаркт; небольшие гиперэхогенные зоны (волнистые стрелки) — это сохранная паренхима.
image

В случаях проникающей травмы в пределах мошонки можно увидеть инородные тела, осколки шрапнели, газ. Металлические обломки и инородные тела, как правило, гиперэхогенные очаги с затенением позади, в то время как газ внутри мошонки — это мелкоточечный гиперэхогенные фокусы.

Сильный внезапный удар может вывихивать яичко из мошонки под кожу живота, промежности, бедра, а также под кожу полового члена. Удар может протолкнуть яичко через паховый канал в брюшную полость. Вывих может сочетаться с повреждением сосудов семенного канатика и другими видами травматического поражения.

Берегите себя, Ваш Диагностер!

Ушиб мошонки

Что такое ушиб мошонки

Ушиб мошонки — это закрытое повреждение органов и тканей мошонки.

Заболевание также известно как

На английском данная патология называется bruise of the testicles/scrotum.

Причины

Причина ушиба мошонки — травма. Типичные примеры травмы включают ушиб области гениталий в результате падения, удара или даже сидения на одном из яичек. Мастурбация или половой акт также могут привести к ушибу мошонки.

Кто в группе риска

  • Мужчины, занимающиеся контактными видами спорта.
  • Мужчины, попавшие в ДТП.
  • Мужчины, чья работа связана с постоянной вибрацией или тряской.

Как часто встречается

Ушиб мошонки — самая частая травма в урологической практике.

Симптомы

  • Острая боль в момент ушиба.
  • Отек мошонки.
  • Чувство напряжения в мошонке.
  • Изменение цвета мошонки.
  • Тошнота вследствие сильной боли.

Диагностика заболевания

Опрос и осмотр

При опросе врач выясняет обстоятельства получения травмы, наличие травм мошонки в прошлом. Необходимо выяснить, отмечалось ли нарастание гематомы, повышение температуры, болезненное мочеиспускание, не отмечал ли больной кровянистые либо иные выделения из полового члена.

При осмотре выявляется гематома, которая может достигать больших размеров, цвет мошонки может меняться от багрового до синюшного, при выраженной гематоме пальпация яичек будет невозможна. Пальпация также может быть затруднена вследствие выраженного болевого синдрома.

Лабораторное обследование

Для постановки диагноза лабораторного обследования не требуется. При необходимости оперативного вмешательства выполняют общий анализ крови, коагулограмму и биохимический набор крови.

Функциональная, лучевая и инструментальная диагностика

  • Ультразвуковое исследование мошонки с доплерографией. Позволяет оценить состояние яичек, их кровоток — сильный ушиб мошонки может привести к отрыву яичек либо к перекруту, при неосложненном ушибе кровоток яичек сохранен.
  • Диафаноскопия мошонки. Просвечивание мошонки позволяет дифференцировать гематому и гидроцеле. Скопление крови при гематоме не пропускает световые лучи.
  • МРТ мошонки. К данному исследованию прибегают в ситуациях, когда подозревается сочетанная травма.

Лечение

Цели лечения

  • Устранение боли и отек.
  • Удаление гематомы.
  • Профилактика осложнений.

Образ жизни и вспомогательные средства

Прикладывание льда сразу после получения травмы позволит уменьшить отек и выраженность гематомы. При наличии внутреннего кровотечения при нарушении целостности сосудов холод позволит уменьшить кровопотерю.

Рекомендовано приподнятное положение мошонки. Пациенту следует лежать на спине, колени по возможности согнуть и прижать к грудной клетке.

Лекарства

  • Нестероидные противовоспалительные препараты.
  • Анальгетики.

Процедуры

Пункция гематомы мошонки. При сильных ушибах может нарушаться целостность сосудов, кровь выходит в полость мошонки. Небольшие гематомы могут рассасываться самостоятельно, большие требуют врачебного вмешательства, размер гематомы устанавливается по данным УЗИ. Показание к пункции гематомы — нарастание ее объема, размер более 5 см.

Хирургическое лечение

К хирургическому лечению прибегают в случаях осложненных ушибов мошонки, которые сопровождаются разрывом яичка и гематоцеле — скоплением крови между оболочками яичка. Если размер гематоцеле в три раза превышает размер здорового яичка, это является показанием к экстренному оперативному вмешательству.

Возможные осложнения

  • Гематома мошонки.
  • Гематоцеле.
  • Отрыв яичка.
  • Перекрут яичка.
  • Вторичное инфицирование.

Профилактика

Профилактика ушиба мошонки заключается в ношении защиты при игре в контактные виды спорта.

После ушиба необходимо тщательно контролировать состояние мошонки — при ухудшении общего самочувствия, нарастании напряжения, усилении отека мошонки необходимо незамедлительно обратиться за врачебной помощью.

Прогноз

Большинство ушибов проходят самостоятельно и не вызывают осложнений. При осложненном ушибе прогноз зависит от своевременности обращения за врачебной помощью.

Какие вопросы нужно задать врачу

  • Какие методы лечения существуют?
  • Как понять, что необходимо показаться врачу?

Список использованной литературы

  1. Randhawa H, Blankstein U, Davies T. Scrotal trauma: A case report and review of the literature. Can Urol Assoc J. 2019;13(6 Suppl4):S67-S71. doi:10.5489/cuaj.5981.
  2. Smith, D. R., Tanagho, E. A., McAninch, J. W., & Lue, T. F. (2013). Smith and Tanagho’s general urology. New York: McGraw-Hill medical.
  3. Аляев Ю.Г., Глыбочко П.В., Пушкарь Д.Ю. Урология. Российские клинические рекомендации. М.: ГЕОТАР-Медиа. 2015, с. 145-150.

Литература:

  1. ОФС.1.2.1.1.0003.15 Спектрофотометрия в ультрафиолетовой и видимой областях // Государственная фармакопея, XIII изд.
  2. Мирский, «Хирургия от древности до современности. Очерки истории.» (Москва, Наука, 2000, 798 с.).
  3. Bangun H., Aulia F., Arianto A., Nainggolan M. Preparation of mucoadhesive gastroretentive drug delivery system of alginate beads containing turmeric extract and anti-gastric ulcer activity. Asian Journal of Pharmaceutical and Clinical Research. 2019; 12(1):316–320. DOI: 10.22159/ajpcr.2019.v12i1.29715.
  4. https://www.KrasotaiMedicina.ru/diseases/zabolevanija_andrology/scrotal-trauma.
  5. https://diagnoster.ru/uzi/lektsii/travma-moshonki/.
  6. https://diseases.helzy.ru/muzhskaya-polovaya-sistema/ushib-moshonki.html.
  7. Guardia, «La Médecine à travers les âges».
  8. Мустафин Р. И., Протасова А. А., Буховец А. В., Семина И.И. Исследование интерполимерных сочетаний на основе (мет)акрилатов в качестве перспективных носителей в поликомплексных системах для гастроретентивной доставки. Фармация. 2014; 5: 3–5.
  9. Frédault, «Histoire de la médecine» (П., 1970).
  10. Мирский, «Хирургия от древности до современности. Очерки истории.» (Москва, Наука, 2000, 798 с.).

Ссылка на основную публикацию
Похожее