Страдаешь от вывиха плеча? Есть решение!

Есть неуверенность в руке, страх вывихнуть в неподходящий момент? Например за рулем либо на ответственной работе, рискуя своей жизнью и жизнью окружающих! Не нужно ждать чуда, данная проблема сама по себе не вылечится, нужно оперироваться!

Получите онлайн консультацию у нашего специалиста прямо сейчас! Вы можете задать любой интересующий вас вопрос. Для более точного ответа прикрепите результаты МРТ

Онлайн-консультация

Благодаря анатомическому строению сустав может совершать самые разнообразные движения в любых плоскостях, подвержен травмированию, а наиболее частой травмой становится вывих плеча.

Сустав имеет шаровидную форму. Образован суставной впадиной лопатки и головкой плечевой кости. При этом важно отметить, что площадь суставной поверхности лопатки значительно меньше площади головки плечевой кости. Если представить яблочко (головка плеча), которое катается по тарелочке (суставная впадина лопатки), то яблочко очень большое, а тарелочка очень маленькая (отношение 1Х4).

Значительно повышает стабильность головки во впадине лопатки суставная губа, которая увеличивает площадь контакта головки плеча с лопаткой.

Последствия привычного вывиха плеча

Длительный привычный вывих плеча приводит к износу хряща в суставе и артрозу. Постепенно усиливается боль после нагрузок, а иногда и в покое.

Симптомы вывиха плечаКак определить вывих?

Наиболее часто случаются передние вывихи плеча в результате травмы или падения. Реже бывают задние вывихи плеча в результате прямой травмы боковой поверхности плеча или во время эпилептического припадка.

Мультинаправленная нестабильность плеча у пациента с гипермобильностью и двухсторонней дисплазией суставных впадин лопаток

Чем сопровождается вывих плечаПроверь себя!

  • 1. Болевыми ощущениями в месте травмы, которые связаны с изменениями, произошедшими в соседних с суставом тканях, а также мышцах, сухожилиях и т. д. Также боль вызывает и растяжение капсулы;
  • 2. Утерей чувствительности в области кисти, предплечья или плеча, что связано со сдавливанием нервов головкой плечевой кости, смещенной в результате травмы;
  • 3. Скованностью в движениях, т. к. изменение положения головки плечевой кости в суставе влияет на величину естественной амплитуды;
  • 4. Деформацией в области плечевого сустава.

Диагностика вывиха плечаЧто необходимо для диагностирования?

Для постановки предварительного диагноза достаточно рентгенографии. Для диагностики повреждений мягких тканей необходимо выполнить МРТ, перед операцией необходимо сделать КТ сустава.

На фото нижи- дефект Банкарта и Хилла-Сакса в положении вывиха.

image

Лечение вывиха плечаКак правильно лечить вывих?

После определения диагноза вправление вывиха плеча осуществляется под анестезией. Чем лучше анестезия и глубже релаксация — тем лучше. Будет нанесено меньше повреждений мягким тканям во время вправления.

Когда вывих плечевого сустава вправлен, рука фиксируется в слинге (простая косынка) на несколько недель для обеспечения состояния покоя.

Лечение привычного вывиха плеча — оперативный. Артроскопическая операция Латарже самая надежная операция на данный момент времени.

Операция Laterjet

Более подробно узнать о данной операции вы можете в этой статье

Итак, у вас уже не первый вывих, вы все делали правильно: носили гипс, косынки, слинги, закачивали руку — не помогло. Вывих случается, когда его не ждешь, и иногда во сне.

Вывих плеча. Предоперационный тест

В видеоролике представлена картина хронической нестабильности плеча. Головка плечевой кости нестабильна в суставной впадине лопатки, постоянно находится в переднем подвывихе. После релаксации мышц головка плеча свободно вправляется в нормальное положение незначительным усилием, но после прекращения нагрузки самостоятельно вывихивается в порочное положение. Цель операции — стабилизировать головку в центре суставной впадины лопатки.

Костно-пластическую операцию Latarjet при вывихе плеча я выполняю полноостью артроскопически.

Первая перевязка поле артроскопической операции Латарже.

В видеоролике представлена первая перевязка пациента после операции. Небольшие проколы кожи, малая травматичность, умеренная боль, возможность движения рукой с первых суток после операции являются неоспоримым преимуществом артроскопической техники вмешательства перед стандартным открытым способом.

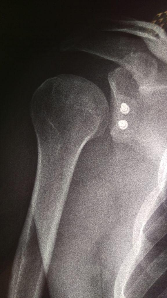
36 дней после артроскопической операции Латарже.

36 дней после артроскопической операции Латарже.

image

После Latаrjet, первая перевязка

image

После Latаrjet, рентгеновский контроль — положение костного блока идеальное

Читайте такжеДополнительные материалы по теме

  • Повреждение Банкарта
  • Операция Латарже
  • HAGL-повреждения.

Получите онлайн консультацию у нашего специалиста прямо сейчас! Вы можете задать любой интересующий вас вопрос. Для более точного ответа прикрепите результаты МРТ

Онлайн-консультация

Вывих плеча

Вывих плеча — это полное смещение головки плечевой кости относительно суставной впадины лопатки. Может произойти совместно с переломом шейки или головки плечевой кости, переломом суставной впадины и др. повреждениями. Характеризуется болью, отеком, деформацией и отсутствием движений в плечевом суставе. Уточнение диагноза вывиха плеча проводят с использованием рентгенографии, в отдельных случаях дополнительно назначают КТ или МРТ. Лечение вывиха плеча включает его закрытое или открытое вправление, ношение повязки Дезо, реабилитацию при помощи ЛФК и массажа.

Общие сведения

Вывих плеча — распространенная травма. Вывихи плеча составляют более 50% от общего числа вывихов и 3% от всех травматических повреждений. Такая высокая частота патологии обусловлена особенностями анатомического строения и большим объемом движений в плечевом суставе. Плечевой сустав образован плоско-вогнутой суставной поверхностью лопатки, в которую на четверть входит шаровидная головка плечевой кости. Головка удерживается на месте за счет так называемой вращательной манжеты плеча — связок, мышц и капсулы сустава.

image

Вывих плеча

Причины

Как правило, травматический вывих плеча возникает в результате непрямой травмы — падения на отведенную или поднятую руку. Капсула плечевого сустава разрывается, головка плеча смещается в направлении разрыва. В отдельных случаях причиной переднего вывиха плеча становится прямой удар сзади, а причиной заднего вывиха — прямой удар спереди в область плечевого сустава.

Классификация

В зависимости от этиологии в травматологии и ортопедии выделяют первичные (травматические), произвольные, врожденные, привычные и патологические вывихи плеча.

  • Привычный вывих плеча развивается в результате недостаточного восстановления вращательной манжеты плеча после травматического вывиха.
  • Патологический вывих может возникнуть вследствие поражения тканей плечевого сустава при опухолях, остеомиелите, туберкулезе, остеохондропатии, остеодистрофии и т. д.

Вывих плеча может сочетаться с переломом головки, анатомической или хирургической шейки плеча, отрывом малого или большого бугорка плечевой кости, переломом суставной впадины, акромиального или клювовидного отростков лопатки, повреждением расположенных рядом сухожилий, сосудов и нервов. При сочетании вывиха с другой травмой говорят об осложненном вывихе плеча. В зависимости от направления смещения головки плечевой кости выделяют передние, задние и нижние вывихи плеча. Чаще всего (3/4 случаев) встречается передний вывих плеча. Второе место по частоте занимает нижний вывих плеча (около 20%).

Симптомы вывиха плеча

Рентгенография при вывихе плеча

Травматические вывихи плечевой кости сопровождаются резкой болезненностью в месте повреждения, деформацией области плечевого сустава (сустав становится угловатым, впалым, вогнутым). Движения в суставе невозможны. При попытке пассивных движений определяется характерное пружинящее сопротивление.

При переднем вывихе плеча головка смещается вперед и вниз. Рука находится в вынужденном положении (отведена в сторону или согнута, отведена и развернута кнаружи). При пальпации головка плечевой кости не обнаруживается на обычном месте, может прощупываться в передних отделах подмышечной впадины (при передненижних вывихах) или ниже клювовидного отростка лопатки. Передние и передненижние вывихи плеча иногда сопровождаются отрывом большого бугорка плечевой кости, переломом клювовидного или акромиального отростков лопатки.

При нижнем вывихе плеча головка смещается в подмышечную впадину. В подмышечной впадине проходят сосуды и нервы. Если головка сдавливает сосудисто-нервный пучок, возникает онемение кожи и паралич мышц в области, которую иннервирует сдавленный нерв. Для заднего вывиха плеча характерно смещение головки в сторону лопатки.

Диагностика

Для уточнения диагноза вывих плеча, определения возможных сопутствующих повреждений плечевой кости и лопатки проводится рентгенологическое исследование в двух проекциях. В некоторых случаях застарелого вывиха плеча требуется проведение МРТ плечевого сустава.

image

Рентгенография плечевого сустава. Вывих головки правой плечевой кости из суставной ямки.

Лечение вывиха плеча

Первая помощь заключается в иммобилизации поврежденного сустава при помощи повязки Дезо или лестничной шины. Травматический вывих плеча сопровождается резкой болью, для уменьшения которой пациенту вводят ненаркотические (анальгин) или наркотические (промедол) анальгетики. Следует учитывать, что, чем больше времени прошло с момента травмы, тем труднее будет вправить плечо, поэтому больного нужно как можно раньше доставить к травматологу-ортопеду в травмпункт или травматологическое отделение.

При поступлении в область плечевого сустава вводят местный анестетик. Под местной анестезией проводят закрытое устранение вывиха плечевого сустава. Используется способ Джанелидзе, Кохера, Гиппократа, Мухина-Кота. Иногда под местным обезболиванием вывих плеча вправить не удается. Невозможность вправления может быть обусловлена ущемлением мягких тканей или относительно большой давностью вывиха. В таких случаях вывих вправляют под наркозом. Если сустав не удается вправить без операции, проводится открытое вправление с последующей фиксацией спицей или лавсановыми швами.

После вправления вывиха плеча накладывают повязку Дезо на срок 3-4 недели. Как только головка плеча занимает положенное ей место, боли резко уменьшаются и через несколько суток могут исчезнуть, однако повязку сохраняют для обеспечения сращения поврежденных мягких тканей. После заживления капсулы плеча повязку снимают, назначают физиотерапевтические процедуры и лечебную гимнастику для разработки сустава.

Прогноз и профилактика

При своевременном вправлении вывиха и соблюдении рекомендаций врача прогноз обычно благоприятный. При преждевременном самовольном снятии повязки в отдаленном периоде часто наблюдается привычный вывих плеча. Первичная профилактика заключается в предупреждении травматизма, вторичная — в строгом следовании врачебным рекомендациям, обеспечении неподвижности сустава на срок, необходимый для полного заживления поврежденных структур.

Литература

1. Атлас травматических вывихов/ М.И. Синило

2. Повреждения костей и суставов/ А.В. Каплан

3. Травматология и ортопедия/ Ю.Г. Шапошников

4. Травматология и ортопедия/ под ред. Н.В. Корнилова

Код МКБ-10

S43.0

Вывих плеча — лечение в Москве

Задний вывих плеча

Привычный вывих плеча или нестабильность плечевого сустава занимает умы врачей с давних времен. Эта проблема часто приводит к значительному снижению качества жизни пациента. Исторически сложилось так, что внимание ученых больше сфокусировано на лечении и совершенствовании техники операций при переднем привычном вывихе плеча. Связано это с тем, что задняя нестабильность или задний вывих плеча имеет значительно меньшее распространение.

По статистке это соотношение примерно 90 к 10 процентам в пользу переднего вывиха и передней нестабильности плеча. Несмотря на это, от болевого синдрома в плечевом суставе, основной причиной которого стала его задняя нестабильность, страдает много спортсменов и просто активных молодых людей.

В этой статье мы расскажем Вам о задней нестабильности плеча, ее основных видах и симптомах, способах диагностики и лечения, в том числе с использованием малоинвазивной хирургии.

Анатомия плечевого сустава

+

По сравнению с остальными суставами человеческого организма плечевой сустав характеризуется наибольшим объемом движений. Благодаря этому человек может свободно перемещать свою руку в пространстве в любых направлениях.

Плечевой сустав состоит из головки плечевой кости и суставной впадины лопатки (гленоида).

Площадь суставной впадины лопатки значительно меньше, чем головки плечевой кости. По этой причине гленоид сам по себе лишь в небольшой степени может обеспечить стабильность сустава. По краю гленоида имеется суставная губа, которая как бы углубляет суставную впадину, увеличивая тем самым стабильность сустава.

Три основные связки между головкой плеча и лопаткой, как «канаты», натягиваются и удерживают сустав от вывиха при экстремальных движениях рукой и расслабляются при обычной активности. Сбалансированная работа мышц ротаторной манжеты так предохраняет головку плечевой кости от вывиха при движениях.

Определенная роль в стабилизации сустава принадлежит также и его капсуле. При заднем вывихе или подвывихе капсула растягивается, что отражается в дальнейшем на стабильности сустава. Увеличение объема капсулы сустава может предрасполагать к рецидивам вывихов и подвывихов в суставе.

ПРИЧИНЫ ЗАДНЕГО ВЫВИХА ПЛЕЧА

+

В зависимости от того в каком направлении смещается головка плеча при вывихе или подвывихе, нестабильность бывает передняя, задняя, многоплоскостная и.т.д. Задняя нестабильность плечевого сустава встречается реже, чем передняя, примерно в 10-12 процентов случаев.

Основной причиной задней нестабильности и заднего вывиха плеча являются врожденные анатомические особенности строения костей и связок плечевого сустава.

Задняя стенка капсулы сустава достаточно тонкая и слабая, поэтому при любом смещении головки кзади легко растягивается. Ослабление капсулы приводит к постоянному неконтролируемому подвывиху головки плеча кзади при определенных видах движений, например, маховых.

При заднем вывихе, причиной которого стала непосредственно травма, повреждается суставная губа. Задняя губа отрывается от края суставной впадины, в результате чего уменьшается площадь и глубина гленоида и соответственно снижается стабильность в суставе.

К тому же при движениях, оторванная губа ущемляется между головкой плеча и гленоидом и вызывает боль. Характерной чертой этого вида нестабильности является быстрое развитие у пациента артроза плечевого сустава.

Основные симптомы задней нестабильности это боль и чувство опасения вывиха. Дискомфорт у пациента вызывают такие обыденные движения, как открывания двери или бросание, метание какого-либо предмета. Иногда пациент при подвывихе чувствует характерный щелчок в плече. Боль у пациентов с нестабильностью чаще тупая и появляется при определенных видах движений.

Некоторые пациенты могут самостоятельно продемонстрировать вывих врачу. Острый задний вывих, произошедший впервые в результате травмы, крайне болезное состояние, которое требует незамедлительного лечения в условиях больницы.

Диагностика задней нестабильности

+

Для правильной оценки вида и типа нестабильности, а также определения с тактикой лечения врач проводит тщательный сбор анамнеза заболевания и подробный клинический осмотр.

Обычно, рассказывая об истории заболевания, пациент хорошо помнит и подробно описывает свой первичный вывих, даже если он произошел очень давно. При первичном заднем вывихе часто имеет место самопроизвольное его вправление, без помощи врачи. В первый раз задний вывих может происходить, как в результате высокоэнергетичной травмы (ДТП, падении с высоты), поднятии штанги, так и просто при броске мяча или поднятии руки выше головы, например, при попытке взять что-либо с верхней полки.

В некоторых случаях задняя нестабильность проявляется только болями в суставе, без выраженных вывихов. Во время клинического осмотра врач обследует плечевой сустав, оценивает объем движений, силу мышц, а также его стабильность.

Для воспроизведения нестабильности, уточнения локализации боли и подтверждения диагноза, врачом используется несколько основных провокационных тестов. Если при проведении тестов возникает у пациента дискомфорт или боль в плече, можно заподозрить тот или иной вид нестабильности.

На рентгенограммах увидеть растянутую капсулу сустава или отрыв задней губы невозможно. Для этого используется магнитно-резонансная томография (МРТ).

При заднем вывихе плеча, на передней поверхности плеча иногда образуется небольшой перелом, который называется Маклафина. Наличие подобного перелома на рентгене, МРТ или КТ позволяет врачу заподозрить у пациента заднюю нестабильность плечевого сустава. Стоит отметить, что чем больше дефект кости при переломе Маклафина, тем больше вероятность рецидива заднего вывиха. Это связано с тем, что дефект кости уменьшает площадь контакта головки плеча и гленоид, в связи с чем, соответственно, снижается стабильность всего сустава.

При МРТ исследовании можно также выявить сопутствующие патологические изменения связок, ротаторной манжеты, а также разрывы суставной губы. Отрыв задней суставной губы от гленоида по примеру переднего повреждения Банкарта иногда называют задний Банкарт.

Лечение заднего вывиха плеча

+

Консервативное лечение после острого заднего вывиха обычно состоит из периода иммобилизации гипсом и ортезом в течении трех недель и последующей реабилитации. Основная цель лечения после снятия гипса или ортеза это укрепление и восстановление баланс мышц окружающих плечевой сустав.

Пациента обучают контролю над движениями, стараются исключить из жизни такие движения которые могут привести к вывиху или подвывиху в плечевом суставе. К сожалению, у молодых активных пациентов частота рецидивов после первого вывиха несмотря на проводимое лечение может достигать 90 процентов.

Безуспешность консервативного лечения является показанием к операции. На необходимость хирургического лечения задней нестабильность указывают такие ее проявления как боль при движениях над головой, подвывихи в суставе, чувство опасения и предчувствия вывиха, которое не удалось устранить после консервативного лечения.

Существуют открытые и артроскопические операции по поводу задней нестабильности сустава. В настоящее время артроскопическая хирургия считаются золотым стандартом в лечении задней нестабильности плечевого сустава.

Артроскоп это оптический прибор который вводится в полость плечевого сустава через прокол кожи. Изображение с артроскопа передается на мониторы в операционной. Через дополнительные проколы в плечевой сустава вводятся специальные инструменты, которыми производятся различные манипуляции внутри сустава.

Безусловными преимуществом артроскопических вмешательств на плечевом суставе является возможность более полного и детального осмотра полости сустава, выявление сопутствующих повреждений ротаторной манжеты и сухожилия бицепса в ходе операции, менее выраженный болевой синдром после операции и лучший косметический эффект.

Суть операции заключается в малоинвазивном восстановлении оторванной задней суставной губы в комбинации с натяжением капсулы сустава.

Для операции используются специальные фиксаторы (анкеры) они необходимы для прикрепления оторванных частей губы и капсулы сустава к гленоиду. Анкеры обеспечивают прочную фиксацию губы к кости на время ее сращения. Анкеры бывают рассасывающиеся (биодеградирующие) и не рассасывающиеся. Биодеградация анкеров происходит в течении нескольких лет.

Анкеры погружаются в кость, внутри них проходят прочные нити. Нитями прошивают губу и капсулу и подтягивают к кости. Число анкеров зависит от размера дефекта, их требуется обычно от двух до трех.

Открытые операции на данный момент показаны пациентам с крупным костным дефектом головки плечевой кости Маклафлина. В этих случаях операции по рефиксации губы и капсулы будут неэффективны. К счастью таких пациентов немного. Операция проводится через мини доступ, производится костная пластика дефекта и фиксация винтами.операция при привычном вывихе плеча

После операции пациентам обычно рекомендуют использовать ортез в течении 4-6 недель. Через неделю после операции начинают гимнастику направленную на постепенное восстановление объема движений в суставе. Швы снимают через 12-14 дней. Сроки возвращения к занятиям спортом обычно составляют примерно 8-10 месяцев.

ПОЧЕМУ ВАМ НЕОБХОДИМО ЛЕЧИТЬСЯ У НАС

+

Если у Вас есть проблемы с суставами. Если каждое движение причиняет боль. Мы сможем Вам помочь. Клиника оснащена современным медицинским оборудованием, которое позволяет успешно выполнять широкий спектр хирургических вмешательств на костях и суставах.

Большинство операций на суставах в клиники выполняются эндоскопически, то есть методом мини разрезов. Клиника оснащена специальными послеоперационными палатами, в которых анестезиологи осуществляют наблюдение и лечение пациентов после крупных операций.

Однако в клинике проводятся не только высокотехнологичные хирургические вмешательства, но и активно применяются консервативные методы лечения и реабилитации пациентов без операций.

Для пациентов в клинике создана максимально комфортная обстановка. Одно и двухместные палаты оборудованы специальными ортопедическими кроватями. Врачи нашей клиники профессионалы своего дела, для которых Ваше здоровье основной приоритет. Записывайтесь и приходите на консультацию в нашу клинику уже сегодня, и мы обязательно Вам поможем.

ВИДЕО С ОПЕРАЦИИ ПО ПОВОДУ НЕСТАБИЛЬНОСТИ ПЛЕЧЕВОГО СУСТАВА

+

Возможно лечение по квотам!

Первичная консультация врача травматолога-ортопеда, к.м.н. — 2000 рублей

  • Изучение истории заболевания и жалоб пациента
  • Клинический осмотр
  • Выявление симптомов заболевания
  • Изучение и интерпретация результатов МРТ, КТ и рентгенограм, а также анализов крови
  • Установление диагноза
  • Назначение лечения

Повторная консультация врача травматолога — ортопеда, к.м.н. — бесплатно

  • Анализ результатов исследований, назначенных во время первичной консультации
  • Постановка диагноза
  • Назначение лечения

Артроскопический шов суставной губы — 79000 рублей

  • Пребывание в клинике
  • Анестезия под наркозом
  • Артроскопия плечевого сустава с швом суставной губы
  • Расходные материалы
  • Импланты (Smith and Nephew, Mitek)

* Анализы для операции в стоимость не входят

Прием врача травматолога — ортопеда, к.м.н. после операции — бесплатно

  • Клинический осмотр после операции
  • Просмотр и интерпретация результатов рентгенограмм, МРТ, КТ после операции
  • Рекомендации по дальнейшему восстановлению и реабилитации
  • Внутрисуставное введение препарата гиалуроновой кислоты (при необходимости)
  • Снятие послеоперационных швов

Литература:

  1. Sprengel, «Pragmatische Geschichte der Heilkunde».
  2. Renouard, «Histoire de la medicine» (П., 1948).
  3. М.П. Киселева, З.С. Шпрах, Л.М. Борисова и др. Доклиническое изучение противоопухолевой активности производного N-гликозида индолокарбазола ЛХС-1208. Сообщение II // Российский биотерапевтический журнал. 2015. № 3. С. 41-47.
  4. https://sustav.pro/%D0%B2%D1%8B%D0%B2%D0%B8%D1%85-%D0%BF%D0%BB%D0%B5%D1%87%D0%B0/.
  5. https://www.KrasotaiMedicina.ru/diseases/traumatology/shoulder-dislocation.
  6. https://xn—-7sbahghg9bhvbcaodkwfh.xn--p1ai/%D0%B1%D0%BB%D0%BE%D0%B3/%D0%B7%D0%B0%D0%B4%D0%BD%D0%B8%D0%B9-%D0%B2%D1%8B%D0%B2%D0%B8%D1%85-%D0%BF%D0%BB%D0%B5%D1%87%D0%B0/.
  7. М.П. Киселева, З.С. Шпрах, Л.М. Борисова и др. Доклиническое изучение противоопухолевой активности производного N-гликозида индолокарбазола ЛХС-1208. Сообщение I // Российский биотерапевтический журнал. 2015. № 2. С. 71-77.
  8. З.С. Смирнова, Л.М. Борисова, М.П. Киселева и др. Доклиническое изучение противоопухолевой активности производного индолокарбазола ЛХС-1208 // Российский биотерапевтический журнал. 2014. № 1. С. 129.
  9. З.С. Смирнова, Л.М. Борисова, М.П. Киселева и др. Доклиническое изучение противоопухолевой активности производного индолокарбазола ЛХС-1208 // Российский биотерапевтический журнал. 2014. № 1. С. 129.

Ссылка на основную публикацию
Похожее