Соль при молочнице во рту

Казалось бы, кандидоз ротовой полости в основном встречается у грудных детей ввиду незрелости их иммунной системы, но при совокупности некоторых патологических факторов может возникать и у людей более старшего возраста. Так давайте же подробно разберем, как и чем лечить молочницу во рту у взрослых.

Однако для начала небольшое вступление. Молочница в полости рта – инфекционное заболевание, вызываемое дрожжеподобными грибами из рода Кандида, которые в норме обитают в здоровом организме и не вызывают никаких жалоб. Среди взрослого населения кандидоз рта чаще всего поражает женский пол, курящих мужчин и пожилых людей, которые пользуются зубными протезами или имеют ослабленный иммунитет.

Способы лечения молочницы во рту у взрослого человека

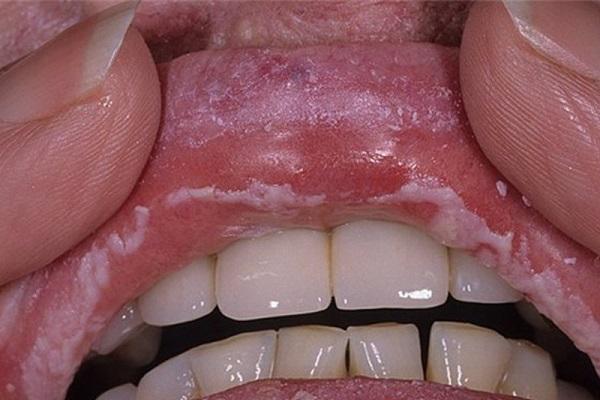
Как правило, диагноз уже можно выставить по наличию характерных клинических проявлений, как на приведенных ниже фото: беловатые густые творожистые налеты на коже губ, эпителии языка, внутренней поверхности щек; чувство жжения и мучительный зуд; при снятии налетов на слизистых оболочках образуются слегка кровоточащие эрозии.

image

image

Молочница на губах у взрослых может быть спровоцирована рядом причин. Для выяснения конкретной потребуются: проведение ряда дополнительных анализов, консультации смежных специалистов (инфекционист, стоматолог, иммунолог).

Базисные способы и методы лечения заключаются в следующем:

  • Целенаправленное лечение патологии, которая спровоцировала развитие кандидоза. К примеру, при сахарном диабете должна быть достигнута компенсация углеводного обмена, при воспалительных и дистрофических поражениях зубов и десен – соблюдение личной гигиены, отказ от курения и сладостей, своевременное лечение болезни.
  • В основе лечения лежит прием системных препаратов, обладающих противогрибковым действием. Чаще всего используют антибиотики имидазолового и полиенового ряда.
  • Для уменьшения выраженности местных симптомов назначаются топические лекарственные средства в виде мазей, аэрозолей и растворов.
  • Оправдано применение в комплексной терапии и народных методов лечения. Многие травяные отвары и настойки обладают противовоспалительным и антимикотическим эффектом. Как правило, эти рецепты доступны каждому человеку.
  • Наряду с лечением главного заболевания следует придерживаться особой диеты (исключить алкоголь, мучное и кондитерские изделия), тщательно соблюдать правила личной гигиены, принимать препараты с иммуномодулирующим действием.

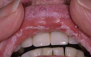
Терапия кандидоза на языке

image Лечение молочницы на языке у взрослых подразумевает комбинацию лекарственных средств местного и системного действия с рецептами из народной медицины.

В первую очередь, пациент на время лечения должен отказаться от продуктов, которые провоцируют и усугубляют течение молочницы. Дрожжи, сахаросодержащие продукты, алкоголь, соусы и кофе исключаются полностью из пищевого рациона.

Кроме регулярной чистки зубов при кандидозе показано полоскание либо самостоятельная обработка пораженных участков содовым раствором. Благодаря его использованию удаляются грибковые налеты, и осуществляется санация ротовой полости.

Так как кандидоз во взрослом возрасте протекает на фоне ослабленного иммунитета, островки налетов могут образовываться и в пищеварительной трубке, и в органах половой системы.

Поэтому терапия должна начинаться с системно действующих средств:

Для местной обработки полости рта используют антисептические и противогрибковые растворы, мазевые аппликации:

  1. Полоскание с 2% раствором борной кислоты необходимо повторять каждые три часа на протяжении 10 дней.
  2. Комбинированные растворы в виде Гевалекса, Тантум-Верде также помогут избавиться от местных симптомов такого заболевания, как молочница на языке у взрослых.
  3. Хорошим эффектом обладают аппликации с 1% Клотримазолом, 0,5% Декаминовой мазью. Процедуру выполняют дважды в день, как минимум, в течение одной недели.

В качестве полосканий используют такие варианты народных средств:

  • Соки из моркови и калины. В их составе находится значительное количество витаминов из разных групп, фитонцидов и эфирных масел. Курс терапии не меньше месяца.
  • Отвары из ромашки, чистотела и березовых почек.
  • Настойка из календулы (перед полосканием чайную ложечку настойки необходимо развести в одном стакане воды).
  • Мед также удаляет кандидозные налеты. Для этого 4 раза за день необходимо рассасывать во рту по одной чайной ложке меда. Курс может длиться 20-25 дней.

Лечение молочницы на губах

image Кроме поражения слизистых оболочек, молочница может локализоваться на коже губ и на их красной кайме.

Подход к системным препаратам аналогичный таковому при лечении кандидоза на языке.

А вот среди местно действующих средств есть некоторые различия:

  1. Для устранения ангулярного хейлита и дрожжевых заед используют Нистатиновую или 5% Левориновую мази. Наносить их следует ватными палочками на пораженную зону 3-4 раза в день, курсом не менее 7 дней.
  2. Красную кайму губ можно обрабатывать анилиновыми растворами: бриллиантовым зеленым или фукорцином, к примеру. Процедуры выполняются дважды (вечером и утром) в день на протяжении 10 дней.

Лечение молочницы на губах возможно и с помощью народных рецептов:

  • Аппликации с маслом алоэ, облепихи или шиповника. Сложенную в шесть слоев марлю пропитывают выбранным маслом и прикладывают к пораженной зоне на 15 минут. Повторять процедуру надобно ежедневно на протяжении двух недель. В структуру этих масел входят вещества с выраженным заживляющим, обезболивающим и иммуностимулирующим действиями.
  • Эрозивные поверхности и участки налетов можно смазывать соком из лука, полыни или чеснока. Улучшение наступает уже спустя неделю, но лечение следует продолжить, как минимум, до 14-21 дня.
  • Масло душицы содержит в себе железо, кальций, органические кислоты, витамины C и A, которые способствуют скорейшему уничтожению грибков. Наносить масло следует на пораженную кожу трижды в день.

Чем еще можно побороть грибок во рту?

Существует еще несколько эффективных и недорогих методов избавления от кандидоза, о которых мало кто знает.

Кроме приведенных антисептических растворов, травяных отваров, полость рта можно полоскать обычным раствором Метрогила, который используют для внутривенных инфузий. Приобрести данное средство можно в любой аптеке за небольшие деньги. Полощут рот им 5-6 раз в день на протяжении 7 или 10 дней.

Мощным противомикотическим действием обладает смесь Нистатина и витамина цианокобаламина. Для ее приготовления необходимо растолочь одну таблетку Нистатина, после чего добавить ее в одну ампулу витамина B12. Полученной смесью обрабатывают ротовую полость от 2-х до 5 раз в сутки.

image Молочница во рту — серьёзный повод для расстройства. По мнению многих из нас, это заболевание — прерогатива детишек первого года жизни. Однако молочница во рту у взрослых последние годы регистрируется всё чаще.

Возбудитель

Молочница во рту включает себя несколько видов недуга, вызванного единственными представителями грибковой флоры — штаммами гриба Кандида. Дрожжевая Candida с удовольствием поселяется в полостях, выстланных слизистой оболочкой, а также там, где сформирована плотная сеть кровеносных сосудов. Тепло и влага — лучшая среда для его размножения и жизнедеятельности.

Разновидности кандидозного гриба, как правило, не выпускают спор (микроскопические половые клетки), а распространяются простым делением, захватывая новые территории быстро формирующимися колониями. Грибок паразитирует в организме человека, нанося урон здоровью. Токсины, вырабатываемые им, могут попасть в кровь и вызвать заражение внутренних органов.

Пути передачи

Кандидоз ротоглотки антропофильная (только среди людей), опасная и весьма контагиозная инфекция, передаваемая через общие предметы гигиены, посуду, поцелуи, сигареты, косметику, т.е. везде, где возможно соприкосновение с заражённой поверхностью. Хвори подвержены оба пола, независимо от возраста.

Заразным кандидоз ротовой полости при определённых условиях становится уже через пару суток после контакта. Но, этот процесс индивидуален. У некоторых молочница во рту проявляется только спустя 2-3 недели.

Хотим заметить, что не подозревающие о заболевании родители, часто становятся разносчиками заразы для своих малолетних чад, облизывая соску или ложку.

Факторы, способствующие распространению

Для возникновения и разрастания микоза существует множество причин:

  • ослабление работы иммунной системы, обусловленное сезонными ОРВИ, климатическими особенностями (переохлаждение, перегревание), частыми стрессовыми ситуациями;
  • непосредственное взаимодействие с заболевшими или носителями;
  • хроническое течение соматических заболеваний (желудочно-кишечного тракта, нервно-психических расстройств, болезни желез внутренней секреции, крови);
  • онкология и терапевтические мероприятия, связанные с её лечением;
  • пожилой либо подростковый возраст (гормональный сбой);
  • период вынашивания плода;
  • скудный и однообразный рацион питания;
  • стоматологическая патология: кариозные полости, пульпит, микротравмы, неправильный уход за зубными протезами;
  • недостаточное соблюдение правил личной гигиены (пользование одной зубной щёткой и косметическими средствами, грязные руки, недостаточно обработанные или некачественные продукты);
  • индивидуальная лекарственная и пищевая непереносимость;
  • тяжёлые инфекции половой сферы (сифилис, гонорея, трихомоноз), ВИЧ-инфекция, туберкулёз;
  • самолечение гормонами и противомикробными препаратами;
  • зависимости: алкоголизм, пьянство, табакокурение, наркомания и токсикомания, переедание, голодание, интернет-зависимость и прочее.

Формы и симптомы

Если быть точными то, ко всему списку болезней, вызванных дрожжеподобными кандидами, применим общий медицинский термин — ротоглоточный кандидоз.

К нему относятся:

При этом молочница во рту одновременно имеет схожие и отличительные черты, а сливаясь в общий очаг, вызывает осложнения.

  1. Грибковый стоматит. В легкой и средней степени тяжести касается: слизистых зева, языка, уголков рта. Различают 4 формы: гипертрофическую, эрозивно-язвенную, псевдомембранозную и атрофическую. Им присущи:
  • краснота и уплотнение тканей;
  • воспаление и отёк;
  • кислый запах изо рта;
  • налёт, напоминающий манную или рисовую крупу белого или желтоватого оттенка, наличие плёнок, мокнутий, трещин, язвочек;
  • присоединение бактериальной инфекции;
  • повышение t°С до 38-39;
  • невозможность употребления пищи;
  • зуд и нарушение сна;
  • увеличение лимфатических узлов в области шей, за ушами.

В тяжелой стадии (обычно у хронических больных) кандидоз во рту переходит на органы глотки – гланды, голосовые связки. Аналогично развивается кандидоз полости рта при вич, минуя лёгкое течение. Сильная интоксикация при полном отсутствии иммунитета овладевает кровотоком, отягощая процесс общим заражением – сепсисом. Для пациентов, имеющих такой диагноз, хворь приводит к летальному исходу.

  1. Кандидозный тонзиллит (ангина). Микотические поселения захватывают обе миндалины, заднюю стенку глотки, мягкое нёбо, слизистые щек, спинку языка. Симптоматика схожа с заурядной ангиной, но протекает значительно тяжелее, с трудом излечивается полностью, переходя из подострой и острой в хроническую форму:
  • царапающая боль при глотании, першение, изменение вкуса;
  • температура — начинается с 37,2-37,5°С, а через 2-3-е суток 39-39,5°С;
  • гиперемия, небольшая отёчность, легкий белесый налет, который при затягивании становится творожистым, беспрепятственно удаляется марлевым шариком;
  • кислое дыхание и быстрая утомляемость;
  • иногда заложенность ушей.

У взрослых часто никак не проявляет себя. У деток наступает быстро и агрессивно с расстройством стула, обезвоживанием, ухудшением общего состояния.

  1. Хейлит (заеды). Чаще всего формируется как осложнение уже имеющейся молочницы. Признаки недуга похожи на герпес носогубного треугольника, но этиология совершенно другая. Рассеивание грибка-паразита в складках рта приводит к сухости кожи и появлению трещинок и пузырьков. Они становятся входными воротами для бактерий. Нагноения проявляются в виде зудящих корок, которые так и хочется содрать. Грязные руки, недостаточные гигиенические процедуры усиливают поражение. Отмечается болезненность, зуд и периодически возникающие кровотечения в результате расчесов.
  2. Грибковый фарингит. Страдают стенки глотки, гланды, слизистые гортани, которые покрываются специфическим крупяным налётом. Характерна осиплость голоса и неприятный кисловатый запашок. Затянувшись, вызывает внутренние и наружные абсцессы, гингивит, глоссит.

Диагностика

Важно! От качества проведенного распознавания болезни напрямую зависит правильность назначаемых терапевтических мероприятий.

Лечение молочницы во рту дело ответственное. В решение данного вопроса, особенно важно знать какой врач лечит кандидоз ротовой полости. Не будет ошибкой обратиться к стоматологу, врачу общей практики (терапевту), дерматологу. Главное, чтобы вы не занимались самолечением и не опоздали.

Если вы уже начали лечиться самостоятельно, на приём к доктору нужно придти без признаков использования лекарств, дабы была понятна общая картина.

  • осмотр больного;
  • сбор жалоб и отягощающих факторов;
  • сдачу анализов в лаборатории: крови, мочи, мазков либо соскобов из пораженных участков;
  • по необходимости консультирование узкими специалистами.

Как и чем лечить молочницу во рту

Похожесть проявлений грибковой инфекции в полости рта диктует определенный список мероприятий для всех разновидностей заболеваний, который предполагает комплекс медикаментозного и физиотерапевтического лечения, а также вспомогательные методы народной медицины.

Противогрибковые средства — наиважнейшая часть. С их помощью организм должен побороть кандиду, избавиться от присоединяющейся гнойной микрофлоры. И наконец, восстановить силы для регенерации без последствий. Приведём примеры эффективных и популярных препаратов в таблице.

Наименование (действующее вещество), форма выпуска Способ применения Дозировка Цена
Микофлюкан, дифлюкан, флукостат, микосист (флуконазол) в капсулах по 50-150мг Принимаются по инструкции внутрь, в соответствии с местом базирования грибка и степенью тяжести. Противопоказан беременным и кормящим грудным молоком женщинам. Детям назначается только с 5 лет.

Целую капсулу ежедневно проглатывают целиком, запивая стаканом воды. Желательно в одинаковый временной промежуток. Некоторые средства рассчитывают относительно массы тела (от 6 мг в первый день, после до 3мг/кг).

К сожалению, пилюли могут вызывать много побочных явлений: судороги, головную боль, бессонницу, снижение аппетита и нарушение вкуса, запор, зуд и т.п. Отпускаются без рецепта.

В форме мази рекомендуется малышам. Тонким слоем двухкратно в сутки распределяется по поверхности в течение не менее 21 дня либо до полного выздоровления.

50-100 мг однократно в сутки (максимум 400 мг) 14-30 дней. Для профилактики — 100-200mg ежесуточно до снижения риска инфицирования. Зависит от количества в упаковке от 33-500 российских рублей.
Амфотерицин В, в таблетках и флаконах по 10 мл (поршкообразный) Сильное и высокоэффективное лекарство широкого спектра. Угнетает не только дрожжевые, но и плесневелые грибы. Препарат можно приобрести только по рецепту, так как у него много побочных действий и особенностей взаимодействия с другими веществами.

Порошок для внутривенных инъекций надо использовать в разведении с глюкозой или физраствором медленно, т.е. через капельницу. Желательно в условия стационара и с осторожностью, начиная с 1 мг активного вещества. Реакцию наблюдаем 20-30 мин во избежание осложнений. Манипуляцию проводят до четырёх раз в сутки.

Таблетированный вариант употребляют поле еды. Прописывают детям старше 14 лет и взрослым по 200 (максимальная доза 500 тыс. единиц) два раза в день. Оптимальный курс — 21-28 дней. Если этого недостаточно лечение проводят повторно, но спустя 5-7 дней. 40-150 рос. руб.
Нистатин, таблетки в оболочке (250-500 000 ед.), капсулы и тёмная мазь в тубе по 15-30 граммов Разрушая целостность клеточной мембраны, интенсивно противостоит распространению микоза. Запивают большим количеством воды, невзирая на питание.

Для удобства у детей содержимое капсул растворяют в кипячёной воде. Суспензией обрабатывают области с патологией ватной палочкой, возможны полоскания. Минимальный курс – 2 недели.

Не терпит взаимосвязи с клотримазолом, подавляя его.

Нельзя дамам в период вынашивания пода и кормления грудью, лицам, страдающим почечной недостаточностью и острыми нарушениями в работе желудочно-кишечного тракта.

Все версии можно получить без рецепта.

Взрослым: по 2-4 таб. трижды-четырежды в сутки, детям — 0,5 табл. 4 раза.

Наружно – с утра и перед сном, втирая маленькими порциями 7-10 суток.

Таблеточки – 35-160р., мазь – 60-90 р.
Пимафуцин (натамицин), аналог: нистатин и альфа-нормикс. Крем – 30гр. и таблетки – 20 шт. Кроме анитигрибкового обнаруживает фунгицидное действие (против спор). Иногда вначале терапии появляется понос и тошнота, затем состояние нормализуется. Применяется всеми категориями пациентов, включая беременных и грудничков. В аптеках продаётся в свободном доступе. 1-2 раза в день, курс – неделя для таблеток.

Кремом смазывают – от 2 до 4-х раз в сутки до излечения (индивидуально).

от 240 рублей
Интраконазол, капсулированный препарат по 100 мг. Активно убивает многочисленные штаммы грибов за полмесяца-месяц. С осторожность выписывают сердечникам, а также людям с заболеваниями, связанными с пониженной кислотностью желудка. Детская доза рассчитывается врачом, остальным по 1т х1р в день, за период — 15 дн. 243р.
Тетраборат натрия (бура) 20% раствор, флакончик из темного стекла вместимостью 30-50 мл Не дает грибку прикрепляться к слизистой, замедляя размножение. Союз борной кислоты и глицерина — супер антисептик, бактериостатик. Способствует быстрому заживлению и восстановлению тканей. Нет противопоказаний. Жидкость аккуратно распределяют по зараженным местам ватно-марлевым шариком или шпателем, закрученным в лоскутик бинта. Подходит даже младенцам. Наносится 2-6 раз за сутки. 26-35 рублей

Болезненность, снижение защитных сил, нагноения и кровотечения, расстройства сна и аппетита сопровождают микотическое заражение. От этих симптомов помогают освободиться дополнительные средства и методы:

  • Обезболивающие и жаропонижающие. Анальгин, ибупрофен, найз, нимесулид, темпалгин, парацетамол, ацетилсалициловая кислота (аспирин).
  • В качестве полосканий и чаев врачи советуют пользоваться отварами и настоями из травяных сборов: цветков календулы, ромашки и зверобоя, коры дуба, соцветий череды, листьев крапивы, которые готовятся в домашних условиях. Лучше использовать аптечное сушьё.
  • Антибиотики. Амоксициллин, тетрациклин, ципрофлокацин и др.
  • Противозудные (антигистаминные). Тавегил, пипольфен, дибазол, кларотадин, зиртек, фенистил. Местно – растворы: гексорал и хлоргексидин.
  • Антисептики. При наружном использовании – гель холисал, водный 2% раствор пищевой соды, фурацилина и марганцево-кислого калия, перекись водорода, мирамистин.
  • Витамины. Это могут быть витаминные комплексы с минералами в виде шипучих, драже, конфеток и т.п., а также отдельные витамины: А, Е, С (аскорбинка).
  • По назначению доктора бывает необходимым прибегнуть к услугам физиотерапевтических процедур, например: ингаляциям и УФО (ультрафиолетовое облучение, ещё называют тубус-кварц).
  • Сбалансированная, свежеприготовленная, механически щадящая диета, богатая бифидо и лактобактериями, которые смогут восстановить пищеварение и оживить индивидуальную микрофлору после приёма такого объёма сильнодействующих препаратов. Температура и консистенция блюд должна соответствовать протёртому столу №1 диетического питания, исключающего: свежий хлеб; жирные сорта мяса и рыбы и бульоны из них; соленые продукты и соль; жареное; острое; газировку и сладости.

Кандида – это дрожжевой гриб, который постоянно находится на слизистой желудочно-кишечного тракта, ротовой полости. В результате стрессовых ситуаций или приёма лекарственных препаратов равновесие микрофлоры становится неустойчивым. Это приводит к неконтролируемому росту грибка и появлению молочницы во рту.

О том, какими симптомами она сопровождается и как вылечить заболевание у взрослых, читайте далее.

Причины появления молочницы во рту

Кандидоз ротовой полости – распространённое заболевание. Очень часто человек даже не подозревает, что является носителем грибка Кандида.

Его стремительное размножение происходит под влиянием некоторых факторов:

  • длительный приём антибиотиков, цитостатиков или глюкокортикостероидов;
  • авитаминоз или гиповитаминоз, недостаток железа в организме;
  • нарушенные углеводный или жировой обмены;
  • сахарный диабет, проблемы со щитовидной железой, функциями яичников;
  • заболевания желудочно-кишечного тракта, мочеполовой или репродуктивной систем в хронической форме;
  • злокачественные новообразования, СПИД;
  • механическое повреждение мягких тканей дёсен;
  • кариес, нарушение слюноотделение, киста, пародонтит;
  • отсутствие регулярной чистки акриловых протезов;
  • алкогольные напитки, табачные изделия; плохая экология;
  • частые стрессы, переутомление.

Справка! Сама по себе молочница ротовой полости появиться не может. Она является последствием нарушения или ослабления защитных свойств организма.

Подробнее о заболевании:

Как проявляется заболевание

Кандидоз имеет несколько разновидностей, которые отличаются друг от друга течением и этиологией. Но они имеют один общий признак – кремово-белый налёт в ротовой полости.

Рыхлые и плотные пятнышки локализуются на миндалинах, языке, внутренней поверхности щёк.

Простой способ определить кандиду в домашних условиях:

Форма заболевания Симптоматика
  • покраснение и отёк языка;
  • появление белого или коричневого налёта;
  • жжение, умеренная боль,
  • нарушенная речь из-за опухшего языка;
  • неприятный запах изо рта;
  • повышенное слюноотделение;
  • небольшие язвы и трещины на языке;
  • изменение вкусовых ощущений;
  • гиперемия и сухость слизистой рта.
  • образование плотного и толстого налёта на спинке языка;
  • со временем налёт становится жёлтого цвета и спаивается со слизистой оболочкой;
  • сухая слизистая;
  • жжение;
  • появление болей при употреблении кислой и острой пищи;
  • при насильственном удалении на месте бляшек появляются эрозии.
  • трещинки в уголках губ, их сухость;
  • боль и жжение во время еды;
  • покраснение слизистой;
  • складки твёрдого нёба заполняются налётом;
  • затрудняется глотательный рефлекс

Все виды кандидозной молочницы у взрослых сопровождается появлением привкуса металла, иногда может подняться температура или начаться интоксикация организма. Больной жалуется на плохое самочувствие, быструю утомляемость.

Внимание! Хронический кандидоз обостряется при любых инфекционных заболеваниях, снижении иммунитета. Он может затронуть не только ротовую полость, но и пищевод.

Диагностика заболевания

Выявление молочницы начинается со сбора устного анамнеза пациента. Он должен подробно рассказать врачу-стоматологу, когда появились первые признаки, что его беспокоит, присутствуют ли сопутствующие заболевания.

После осмотра ротовой полости больного отправляют на сдачу общего анализа крови, чтобы определить уровень глюкозы. Микроскопическое исследование слизистой ротовой полости и биохимию проводят для подтверждения возбудителя заболевания. Для этого с поверхности языка берут соскоб. Перед процедурой примерно за три часа не рекомендуется есть или чистить зубы.

Диагностика должна быть направлена на выявление причины, спровоцировавшей заболевание. Только в этом случае можно грамотно составить схему лечения. В этом случае при необходимости пациента могут направить на консультацию к эндокринологу или дерматологу.

Какой врач лечит кандидоз:

Лечение

Терапия молочницы во рту должны проводиться комплексно и последовательно.

В первую очередь назначают препараты, которые способны бороться с грибком. Больному необходимо повысить иммунитет, избавиться от дисбактериоза.

Врач дерматовенеролог о лечении молочницы во рту у взрослых и детей:

На ранних стадиях заболевания терапия заключается в приёме таблеток для рассасывания:

  1. Дифлюкан принимают при поражениях грибком не только кожного покрова, слизистых, но и внутренних органов. Дозировка препарата не должна превышать одной капсулы в сутки. Примерно через день можно заметить снижение симптоматики заболевания. Если молочница стала последствием сниженного иммунитета, Дифлюкан можно принимать в течение месяца в качестве профилактики.
  2. Леворин или Нистатин принимают четыре раза в день после каждого приёма пищи. Курс лечения составляет примерно две недели. На пятый день лечения можно заметить уменьшение белого налёта в ротовой полости, затягивание ранок и трещин слизистой.
  3. Флуканазол характеризуется биодоступностью и высокой эффективностью. К тому же препарат не имеет противопоказаний: его можно принимать беременным женщинам и детям после пяти лет. Таблетки выпивают по две штуки в день в течение двух недель.

Важно! Назначать приём препаратов должен только лечащий врач после полного обследования и выявления причин. Любое лекарственное средство может вызвать аллергическую реакцию, поэтому пациент должен находиться под присмотром специалистов.

На любых стадиях кандидоза эффективны гели, мази и растворы для полоскания. Связано это с тем, что препараты оказывают непосредственное воздействие на поражённые участки ротовой полости.

  1. Раствор Кандид можно не имеет ограничений в использовании. Он оказывает разрушительное действие на синтез эстрогена, который входит в состав мембраны грибка. Ватную палочку пропитывают в растворе и обрабатывают поражённые участки слизистой рта. Процедуру необходимо проводит не меньше трёх раз в сутки.
  2. Миконазол втирают в поражённые участки дважды в день. Курс лечения иногда длится до шести недель. На это влияет тяжесть заболевания и симптоматика.
  3. С помощью зелёнки, Люголя обрабатывают слизистую несколько раз в день. Раствор Фурацилина используют снятия творожного налёта. Для этого им пропитывают ватный диск и протирают поверхность щёк, языка.

Противогрибковые мази и растворы получили большую популярность. В отличие от таблеток они оказывают воздействие на грибок за короткое время. К тому же они не способны нанести вреда внутренним органам.

Как лечить молочницу у мужчин и женщин:

Средства народной медицины оказывают положительное воздействие на грибковое поражение, но только при совместном лечении с медикаментозными препаратами:

  1. Сухие цветки календулы залить стаканом кипятка на час. Отвар принимают каждый день в течение недели вместо чая. Уже через два дня спадёт отёк, площадь поражения слизистой налётом уменьшится.
  2. Головку чеснока измельчить и полученной кашицей обрабатывать поражённые участки три раза в день. Кроме этого, в ежедневный рацион можно дополнительно включить один зубчика.
  3. Клюквенный или морковный соки оказывают противобактериальное воздействие. Каждый день нужно выпивать по ½ стакана около месяца. При необходимости можно дополнительно протирать слизистую рта.
  4. Ватный диск пропитывают в масле алоэ, шиповника или облепихи. Компресс накладывают на двадцать минут ежедневно.
  5. Для лечения молочницы во рту можно использовать натуральный мёд. Перед процедурой аккуратно удаляют налёт марлей, пропитанной в содовом растворе. После этого чайную ложечку продукта держат во рту до полного рассасывания.

Особенности лечения у мужчин и женщин

Терапия при грибковом поражении слизистой рта как у мужчин, так и у женщин одинакова. В обоих случаях она должны быть направлена на борьбу с возбудителем, поднятие иммунитета и устранение сопутствующих заболеваний.

Особое внимание при лечении необходимо уделить беременным или кормящим женщинам. Некоторые препараты могут нанести вред здоровью малыша. Поэтому курс лечения должен проводить только лечащий врач. Заниматься в этом случае самолечением не стоит.

Разбор клинического случая молочницы во рту у мужчины:

Диета при молочнице во рту

Для скорейшего выздоровления очень важно правильно питаться. Больному стоит отказаться от продуктов, которые содержат дрожжи, специй и от острой пищи. Не рекомендуется употреблять газированные и алкогольные напитки.

Пока полностью не исчез белый налёт на слизистых ротовой полости предпочтение лучше отдать сокам, травяному чаю, кашам, орехам, слабым мясным бульонам и молочной продукции.

Соблюдение строгой диеты как таковое не является способом лечения. При правильно подобранной терапии оно поможет быстрому выздоровлению.

Препараты данной группы способствует поддержанию иммунитета, улучшению состояния больного. Для этого прописывают Аскорбиновую кислоту. Пиридоксин и Тиамин. При приёме антибиотиков они восстанавливают микрофлору кишечника.

Возможные осложнения

При отсутствии грамотного лечения молочница во рту способна спровоцировать появление более серьёзных заболеваний:

  • грибковое поражение слизистой желудка и кишечника;
  • проблемы с органами дыхания, в некоторых случаях пневмония;
  • воспаление оболочек головного мозга;
  • заражение крови.

Внимание! Если во время беременности женщина переболела кандидозом ротовой полости, то это может привести к развитию менингита и сепсиса у новорожденного.

Профилактика

Чтобы предотвратить появлением заболевания, необходимо придерживаться нескольких советов специалистов:

  • ежедневно проводить гигиеническую обработку ротовой полости;
  • вовремя лечить заболевания ЖКТ;
  • своевременное лечение кариеса или гнойного пульпита;
  • пропивать курс витаминов весной и осенью.

Молочница в ротовой полости у взрослых чаще всего возникает на фоне пониженного иммунитета или поражениях зубной эмали. Поэтому очень важно своевременно проводить обследования у специалистов и проходить курс лечения.

119334, г. Москва, ул.Ленинский проспект, 41/2, эт. 2

Читайте также:

Ссылка на основную публикацию
Похожее