Снимки туберкулеза легких после операции

Остаточные изменения в легких после выздоровления от туберкулеза

В результате лечения может произойти полное и бесследное исчезновение туберкулезных бугорков, которое сопровождается отрицательными туберкулиновыми реакциями. Такой исход возможен при заболевании небольшой давности, при так называемых свежих процессах, протекающих без обширного казеозного некроза в центре воспаления. Эти формы истинного заживления встречаются довольно редко. У большинства больных (95—96%) излечение связано с обязательным развитием в легочной ткани остаточных изменений.

Под остаточными изменениями следует понимать различные образования в легочной ткани, которые сохраняются к моменту клинического излечения у лиц, получавших антибактериальные препараты, а также при спонтанном излечении туберкулезного процесса.

Следует различать малые остаточные изменения в легких и плевре: небольшой фиброз, рубцовые изменения, единичные петрификаты менее 1 см в диаметре, единичные, четко очерченные очаги, плевральные наслоения и большие остаточные изменения: выраженный пневмосклероз, единичные или множественные петрификаты диаметром 1 см и более, множественные четко очерченные очаги на фоне пневмосклероза, крупные длительно существующие плотные очаги, цирроз (карнификация легкого с цирротической его трансформацией), образование обширных плевральных сращений.

Различие остаточных изменений по величине и протяженности, по характеру анатомо-гистологических структур в значительной степени определяет возможность реактивации туберкулезного процесса. Лица, находящиеся под наблюдением в VII группе диспансерного учета, являются в настоящее время одним из основных источников пополнения контингентов больных активными формами туберкулеза легких. Это связано с эндогенной реактивацией туберкулеза.

Актуальной задачей современной терапии туберкулеза является совершенствование методов лечения для достижения клинического выздоровления с минимальными остаточными изменениями. Длительная комплексная антибактериальная терапия приводит к формированию минимальных остаточных изменений и более полноценным видам заживления, снижая в дальнейшем возможный риск рецидива туберкулеза.

Наилучший результат достигается при свежем и своевременно выявленном очаговом процессе. Свежие очаги полностью исчезают, вокруг более старых очагов ликвидируется перифокальное воспаление; хуже или совсем не подвергаются обратному развитию фиброзные изменения и инкапсулированные очаги.

Остаточные изменения в виде единичных очагов на фоне Рубцовых изменений и множественные очаги отмечаются у больных, у которых процесс имел определенную давность и большую распространенность.

При инфильтративно-пневмоническом туберкулезе легких наиболее частыми остаточными изменениями являются очаги уплотнения и фиброз. Более быстрое и полное рассасывание туберкулезного инфильтрата отмечается у больных с лекарственно-чувствительными микобактериями туберкулеза по сравнению с больными, выделяющими преимущественно устойчивые штаммы микобактерий. Для туберкулом легких характерно длительное течение туберкулезного процесса, что обусловливается стабильностью изменений в легочной ткани.

При фиброзно-кавернозном туберкулезе легких полного рассасывания патоморфологических изменений не наблюдается. Возможно образование единичных очагов на фоне умеренных индуративных изменений. При излечении фиброзно-кавернозного туберкулеза легких остаточные изменения имеют выраженный характер с преобладанием явлений пневмо-склероза и фиброза.

После законченной эффективной антибактериальной терапии в течение определенного времени продолжается инволюция остаточных изменений. Сохраняющиеся в легочной ткани специфические изменения продолжают уменьшаться, несмотря на прекращение прямого воздействия антибактериальных препаратов, что обусловлено благоприятными иммунобиологическими сдвигами в организме под влиянием проведенного лечения, обусловливающими повышение общей и местной тканевой резистентности. В специфических фокусах меняется клеточный состав, нарастают процессы фиброза и гиалиноза, оставшиеся участки казеозного некроза продолжают частично рассасываться, отграничиваться и уплотняться до наступления кальцинации. Крупные фокусы уменьшаются, индурируются или превращаются в небольшие очаговые образования. Даже фаза обызвествления в отдельных случаях не является окончательной. Она сменяется фазой растворения отложившихся в очагах солей кальция. Динамика неактивных туберкулезных изменений с течением времени становится положительной в связи с происходящими в них обменными процессами, приводящими к обезвоживанию и уплотнению. Антибактериальное и общеукрепляющее лечение ускоряет эти процессы и снижает потенциальную активность туберкулезных изменений. В этом отношении особо важную роль приобретают повторные противорецидивные курсы антибактериальной терапии, которые не только способствуют предупреждению рецидивов туберкулезного процесса, но и позволяют максимально уменьшить остаточные изменения в легких.

Лица, находящиеся в III группе диспансерного учета больных с неактивным туберкулезом органов дыхания, в зависимости от величины и характера остаточных изменений делятся на две подгруппы: с большими остаточными изменениями (подгруппа А) и с малыми остаточными изменениями (подгруппа Б). Лица с большими остаточными изменениями в этой группе диспансерного наблюдения находятся от 3 до 5 лет, с малыми остаточными изменениями — до 1 года. При больших остаточных изменениях с наличием отягощающих факторов, ослабляющих сопротивляемость организма, обязательно проведение в весенне-осеннее время противорецидивного лечения туберкулостатическими препаратами в амбулаторных или (по показаниям) в санаторных условиях. В группировке контингентов, обслуживаемых противотуберкулезными учреждениями, введена с 1974 г. VII группа диспансерного наблюдения. Эта группа лиц с повышенным риском рецидива и заболевания туберкулезом, в подгруппу А которой входят лица с большими остаточными изменениями, переведенные из III группы диспансерного наблюдения, и с малыми остаточными изменениями при наличии отягощающих факторов. Наблюдение за ними в диспансере проводится пожизненно, с обязательным ежегодным посещением диспансера и полным клинико-рентгенологическим обследованием. В отношении их должны проводиться общие оздоровительные мероприятия, направленные на повышение резистентности к туберкулезу. В этой группе возможно проведение курсов химиопрофилактики при появлении факторов, ослабляющих резистентность организма.

Туберкулез — это заболевание, которое для многих звучит как приговор. Другие считают, что эта болезнь возникает только у неблагополучных людей. Однако туберкулез легких — это излечимое заболевание, которое получает все большее распространение в наши дни среди всех слоев населения. Поэтому важно знать, как выглядит туберкулез на снимке и как его отличить от других патологий, поражающих легкие.

Что можно увидеть при помощи флюорографии

Данный способ диагностики очень распространен для раннего выявления патологии легких. Это рентгенологический метод, который заключается в отражении рентгеновских лучей от тканей внутренних органов. Ткани разной плотности по-разному способны отражать излучение, что и дает возможность увидеть их на снимке.

Что показывает флюорография легких? С ее помощью можно увидеть такие изменения органов грудной клетки:

  • нарушения структуры тканей легкого;
  • воспаление паренхимы легкого;
  • наличие новообразований;
  • болезни сердца и сосудов;
  • очаги туберкулеза легких;
  • разрастание соединительной ткани в легких;
  • наличие полостей: кисты, абсцесса (гнойной полости);
  • профессиональные заболевания дыхательной системы, связанные с накоплением в легких пыли или других вредных выбросов (пневмокониоз, антракоз, саркоидоз).

image

Показания к флюорографии

Этот диагностический метод используется как в профилактических целях (один раз в год), так и при определенных недугах:

  • выяснение причины кашля, болей в грудной клетке, одышки;
  • подозрение на наличие воспаления легких (пневмонии);
  • наличие патологии сердца и сосудов (атеросклероз, аневризма аорты, патология сердечных клапанов);
  • контакт с больным туберкулезом;
  • подозрение на инфицирование ВИЧ;
  • поиск инородных тел в дыхательных путях и верхних отделах желудочно-кишечного тракта.

Противопоказания к флюорографии и рентгену

Хотя выявление очагов туберкулеза на рентгене — наиболее информативный способ диагностики данного заболевания, рентгенологическое обследование связано с лучевой нагрузкой, а поэтому к его проведению есть ряд противопоказаний:

  • возраст ребенка до 15 лет;
  • тяжелое состояние больного, при котором его невозможно транспортировать в рентген-кабинет;
  • беременные женщины, особенно в период первого триместра, так как тогда происходит формирование органов ребенка;
  • женщины в период лактации;
  • дыхательная недостаточность с тяжелым течением.

Отличия флюорографии и рентгена

При необходимости обследовать органы дыхательной системы у многих возникает вопрос о том, что выбрать: флюорографию или рентген легких.

Флюорография — более дешевый способ, так как для его проведения нужно меньшее количество пленки. Кроме того, для ее проявления не нужно использовать специальные приборы, снимки проявляются сразу же на пленке. Ввиду своей высокой доступности флюорография получила широкое распространение при профилактических осмотрах.

image

Однако она не так точна и информативна, как рентген. Поэтому для постановки точного диагноза и контроля над заболеванием в динамике необходимо провести рентгенографию органов грудной клетки. Еще один плюс рентгена — меньшая лучевая нагрузка, поэтому при необходимости рентген-диагностики беременным и детям назначается именно этот метод.

Как проявляется патология легких на рентгене

При развитии патологического процесса в легочной ткани наиболее характерный рентгенологический симптом — наличие тени в легком. Поэтому у многих может возникнуть вопрос по поводу затемнения в легких на флюорографии. Что это обозначает?

Затемнение может быть тотальным (покрывать всю легочную ткань) и локальным (занимать небольшой участок). Тотальное затемнение представляет собой тень белого света без четких контуров, занимающую большую часть легких. Она может быть как одно-, так и двусторонней.

Ограниченную тень рентгенологи подразделяют на очаг и инфильтрат. Очаг имеет диаметр до 10 мм, а инфильтрат — более 10 мм. Инфильтрат не имеет четких контуров и чаще всего возникает при пневмонии (воспалении легких), плеврите (воспалении плевры — оболочки, окружающей легкое).

При ответе на вопрос о том, что это — затемнение легких на флюорографии, стоит также отдельно выделить симптом одиночной округлой тени. Как правило, она представляет собой очаг размером 10-15 мм и может появляться при таких заболеваниях:

  • туберкулема;
  • периферическая опухоль;
  • абсцесс;
  • киста;
  • аневризма артерии (мешкообразное выпячивание ее стенки).

Множественные округлые тени могут быть проявлением того, как выглядит туберкулез на снимке. Также они характерны для раковых метастазов в легкие.

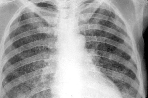
Виды туберкулеза

То, как выглядит туберкулез на рентгеновских снимках, непосредственно определяет вид этого заболевания.

Выделяют следующие рентгенологические типы туберкулеза:

  • инфильтративный;
  • кавернозный;
  • фиброзно-кавернозный;
  • диссеминированный;
  • цирротический;
  • первичный туберкулез.

image

Инфильтративная форма

Это наиболее распространенная форма туберкулеза, которая встречается более чем в 60 % случаев. Она характеризуется распространенным некрозом (гибелью) ткани легкого. В зависимости от того, что показывает флюорография легких, выделяют несколько подтипов инфильтративного туберкулеза:

  • круглый инфильтрат — затемнение овальной или округлой формы в верхних отделах легких, чаще всего под ключицей;
  • облаковидный инфильтрат — тень однородной структуры с неровными границами;
  • краевой инфильтрат — тень имеет форму треугольника, вершина которого направлена к корню легкого;
  • дольковый инфильтрат — представляет собой группу слившихся очагов различной плотности;
  • лобит — тень больших размеров, охватывающая целую долю легкого, имеет неоднородную структуру.

image

Кавернозная форма

Кавернозный туберкулез на рентгене характеризуется наличием полостей, или каверн. Они образуются при некрозе и распаде легочной ткани. При продолжительном течении заболевания вокруг полости разрастается соединительная ткань, тогда возникает другая форма туберкулеза — фиброзно-кавернозная.

Все каверны при туберкулезе можно поделить на несколько групп в зависимости от их структуры:

  • капсулированные — полость имеет стенку из трех слоев (капсулу);
  • санированные — полости не содержат гноя и остаются после выздоровления;
  • эластические — полости имеют нагноение внутри, а их стенка состоит из двух слоев;
  • фиброзные — образование соединительнотканной оболочки вокруг, что свидетельствует о переходе в следующую форму.

На рентгене кавернозный тип туберкулеза выглядит следующим образом:

  • белая округлая тень (затемнение), в центре которой определяется черная легочная ткань (просветление);
  • четкие контуры тени;
  • возможно наличие так называемой дорожки к корню легкого.

Наиболее частая локализация каверн — верхние отделы легких, под ключицей.

image

Фиброзно-кавернозная форма

Является свидетельством хронического туберкулезного процесса. Происходит деформация ткани легкого и верхних дыхательных путей (трахеи, бронхов). При таком течении заболевания характерно чередование обострений (с кашлем, кровохарканьем, одышкой) и ремиссии, когда больного ничего не беспокоит.

Описание снимков туберкулеза при фиброзно-кавернозной форме имеет следующие особенности:

  • полость с более толстой и ярко выраженной стенкой, чем при кавернозном туберкулезе;
  • смещение трахеи в сторону образования каверны;
  • деформация легочного рисунка;
  • размещение полостей в верхних отделах.

image

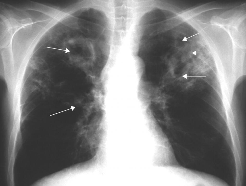
Диссеминированная форма

Эту форму туберкулеза можно поделить на острую, подострую и хроническую. Как правило, развивается остро со стремительным распространением туберкулезных палочек по всему организму.

Выделяют еще одну классификацию в зависимости от способа распространения микобактерий:

  • гематогенное — на рентгене проявляется более крупным размеров очагов, находящихся в верхних отделах легких;
  • лимфогенное — очаги среднего размера, размещенные преимущественно в нижних отделах;
  • лимфобронхогенное — характерно одностороннее поражение в нижних отделах легкого.

То, как выглядит туберкулез на снимке, зависит как от характера его распространения, так и от остроты процесса. Наиболее характерный подтип диссеминированного туберкулеза — милиарный туберкулез. Он представляет собой острую, чаще всего гематогенную инфекцию.

Ниже перечислены основные его признаки на рентгене:

  • большое количество мелких очагов, несколько миллиметров в диаметре;
  • очаги равномерно распространены по всему легочному полю;
  • иногда очаги сливаются;
  • корни легких несколько приподняты;
  • иногда объем легочной ткани становится меньше.

Цирротическая форма

Данный вид туберкулезного процесса отличается масштабным разрушением легочной ткани и разрастанием на ее месте соединительных волокон.

На рентгене цирротическая форма проявляется следующим образом:

  • массивное затемнение высокой плотности, выглядит как ярко-белая тень;
  • уменьшение объема пострадавшего легкого;
  • пористый вид легочного рисунка в нижних отделах;
  • смещение корня легкого и тени органов средостения в больную сторону.

image

Первичный туберкулез

Эта форма туберкулеза поражает детей или пожилых людей. Выделяют три подтипа:

  • туберкулез невыясненной локализации;
  • туберкулез внутригрудных лимфатических узлов;
  • первичный туберкулезный комплекс.

При первом подтипе, несмотря на наличие симптоматики, изменения в легких на рентгене выявить не удается. Поэтому необходимо дальнейшее обследование для выяснения локализации патологического процесса.

При втором подтипе поражаются лимфатические узлы средостения: парабронхиальные, парааортальные, паратрахеальные. То, как выглядит туберкулез на снимке, напрямую зависит от локализации пораженных лимфатических узлов:

  • характерно расширение корня легкого с размытыми краями;
  • возможно наличие неоднородности полей легкого.

Первичный туберкулезный комплекс определяется на рентгене при наличии таких трех признаков:

  • «дорожка», которая идет к корню легкого (лимфангит);
  • расширение корня, связанное с воспалением лимфатического узла (лимфаденит);
  • очаг высокой плотности в ткани легкого, возникающий при отложении солей кальция (очаг Гона).

Дифференциальная диагностика туберкулеза

Как правило, при постановке диагноза туберкулеза с помощью рентгена необходимо уметь отличать его от рака легкого и пневмонии. Часто разницы на снимках пневмонии и туберкулеза, особенно при инфильтративной форме, практически нет. Однако есть и некоторые отличия. Пневмония обычно представляет собой одностороннее поражение, в то время как туберкулез в большинстве случаев поражает легочную ткань с двух сторон.

Кроме того, инфильтрат при пневмонии локализуется в нижних отделах, а при туберкулезе — в верхних. Инфильтрат более выражен при туберкулезе, часто имеются очаги деструкции, диссеминации.

Также нужно отметить, отличается ли на снимках рак от туберкулеза. Иногда сделать это довольно сложно, особенно при очаговых формах туберкулеза. Поможет в этом ряд следующих признаков:

  • раковая тень интенсивна, с более размытыми контурами;
  • тень при раке в большинстве случаев имеет однородную структуру;
  • рост туберкулезного процесса, если нет диссеминации, ограничен плеврой, а поэтому не прорастает в соседние доли легкого;
  • рак может разрастаться на соседние доли.

Диагностика туберкулеза при помощи рентгена достаточно сложна, и только врач может поставить окончательный диагноз и назначить эффективное лечение. Ведь туберкулез — это не приговор!

image

Открытие антибиотиков в середине XX века совершило прорыв в лечении туберкулеза. При этом операция на легких при туберкулезе сохраняет свою востребованность. Она проводится в условиях специализированных стационаров строго по показаниям.

Показания к проведению операции

Хирургическое лечение туберкулеза применяется во всем мире. Отношение фтизиатров к методу не всегда однозначно. Большинство специалистов прибегает к подобной тактике, когда нет эффекта от химиотерапии или возникает угрожающее жизни состояние.

С появлением эндоскопической хирургии врачи стали шире использовать метод для диагностики и для лечения. Специалисты рассматривают возможность подключения операции к лечению туберкулеза:

  1. Продолжается выделение микобактерий туберкулеза на фоне длительного лечения противотуберкулезными препаратами.
  2. Резистентные к химиотерапии штаммы возбудителя. При подборе тройной, четверной и даже пятерной комбинаций нет улучшения.
  3. Периодически открывающиеся легочные кровотечения в виде кровохаркания.
  4. Нарушение лимфотока. Чаще возникает при поражении туберкулезом лимфатических узлов средостения.
  5. Нагноительные процессы в виде эмпиемы, не поддающиеся консервативному лечению. Сохраняется интоксикация. Нет положительной динамики на рентгене на фоне проводимой химиотерапии.
  6. Выявление округлых изменений на рентгеновских снимках. Необходимо исключение онкопатологии.

По жизненным показаниям операция при туберкулезе проводится в случаях:

  1. Обширные легочные кровотечения. Возникают при расплавлении бактериями туберкулеза стенок сосудов. Вмешательство проводят в режиме скорой помощи.
  2. Нарушение целостности плевральной полости – пневмоторакс. 100% срочной операции требует напряженный клапанный вид.
  3. Процесс, поражающий одно легкое, продолжающий прогрессировать на фоне химиотерапии.

Современное ведение неосложненных форм туберкулеза консервативное. Широкий выбор антимикробных препаратов позволяет в 80% случаев добиться излечения.

Плановые показания к хирургическому лечению:

  • переход процесса в цирротический или кавернозный туберкулез;
  • периодически возникающие примеси свежей крови в отходящей мокроте;
  • периодически возникающий пневмоторакс;
  • нагноительные процессы в плевральной полости – эмпиема плевры или панцирный плеврит;
  • диагностированная казиома.

Возможность проведения операции и связанные с этим риски оцениваются индивидуально. Операция на легких запрещена:

  1. При выявлении первичного туберкулеза в начале терапии. Операционное вмешательство вызывает распространение процесса.
  2. При проведении туберкулиновых тестов нет кожной чувствительности к туберкулину. Туберкулез при этом подтвержден другими методами диагностики. Плановое хирургическое вмешательство не даст результата из-за выраженного угнетения иммунитета.
  3. Недостаточность внутренних органов (сердечная, почечная, печеночная, дыхательная) третьей степени. После перенесенного инфаркта миокарда или острого гепатита операция разрешена только через полгода.

Подготовка пациента к операции

Операционная подготовка включает в себя ряд обязательных обследований и процедур.

Перед плановой операцией больной сдает:

  • общий анализ крови, обязательно развернутый, с определением числа эритроцитов, лейкоцитарной формулы, тромбоцитов и гемоглобина.
  • общий анализ мочи;
  • биохимический анализ крови с показателями работы печени и почек;
  • тесты на сифилис, ВИЧ и гепатиты;
  • проходят ЭхоКГ сердца с обязательной фиксацией фракции выброса левого желудочка;
  • ЭКГ при наличии изменений показано холтеровское мониторирование;
  • консультация профильных специалистов при наличии сопутствующей патологии.

За 48 часов до операции рекомендуют есть легкоусваиваемую пищу, за 12 часов до вмешательства кормление прекращают и делают очистительную клизму.

Разновидности операций

Хирургические методы лечения туберкулеза применяют в лечебных и диагностических целях. Вид операции зависит от объема вмешательства.

  1. Удаление легкого при туберкулезе (резекция).
  2. Удаление плевры (плеврэктомия) или корней легкого.
  3. Удаление туберкуломы легких.
  4. Диагностическая биопсия. Материал берется из легочной ткани или лимфатических узлов. Сегодня для этого используется малоинвазивная хирургия. Биопсия проводится бронхоскопически.

Резекция бывает нескольких видов. Возможно удаление части легкого. Речь идет об экономной резекции, когда вырезают часть сегмента или доли органа. Полная резекция легкого при туберкулезе – пульмонэктомия – проводится при распространенном процессе.

Если в воспаление вовлечена плевра, удаляют оба органа – плевропульмонэктомия.

Представляет собой вариант резекции по удалению доли. Правое легкое состоит из 3 долей, левое из 2. Операция относится к щадящей, сохраняющей орган. Проводят в случае локального воспаления, не затрагивающего соседние доли. Часто это операция по удалению туберкуломы.

Полное удаление одного легкого. Операция технически сложная. Восстановление длительное. Выполняется в крайних случаях для спасения жизни пациенту.

Торакопластика – удаления ребер. Объем грудной полости сокращается. Легкое уменьшается в объеме, кавернозные полости спасаются.

Это вариант паллиативного хирургического лечения. Применяется при нагноении крупных каверн или плевритах с уровнем жидкости выше 10 ребра. Формируется искусственное отверстие в грудной клетке – стома. Через нее откачивают жидкость, включая гнойное отделяемое. При необходимости заливаются лекарственные противомикробные растворы.

Каверна – это полость в легком. Она уменьшает поверхность легочной ткани, участвующей в газообмене. Периодически нагнаивается. Из-за склерозированных стенок каверны любые антибиотики плохо проникают в полость. Крупные и гигантские каверны дренируют, откачивают экссудат и промывают растворами антибиотиков. При частом воспалении полости показана сегментэктомия.

Рецидив туберкулеза легких с вовлечением плевры приводит к формированию спаек. Это отложение фибрина между листками плевры. Множественные спайки уменьшают объем грудной полости, не дают легкому раскрыться на вдохе. Возникает дыхательная недостаточность. Спайки иссекают хирургически.

После того как их удалили, жизненная емкость легких на вдохе восстанавливается.

Легкое может также сжиматься воспаленными загрудинными лимфоузлами. Иссечение гипертрофированных узлов восстанавливает дыхательную функцию органа.

Послеоперационный период

После операции туберкулеза легких пациент переводится в отделение интенсивной терапии. С помощью приборов круглосуточно ведется контроль работы сердца, легких, почек. После выхода из наркоза и при нормальном функционировании органов на 2-5 сутки больного переводят в общую палату.

Обязательно строго выполнять все назначения врача:

  • медикаментозная терапия;
  • дыхательная гимнастика;
  • рекомендации по возможности самостоятельно садиться и вставать с кровати.

Это ранний послеоперационный период.

Пациент выписывается под наблюдение участкового фтизиатра. Чтобы избежать рецидива туберкулеза легких, необходимо продолжение лечения дома. Повторно пройти курс рекомендуют через полгода после операции.

Грудная клетка богата нервными окончаниями. Особенно чувствительны межреберные нервы. Первые 48-72 часа после операции назначают наркотические анальгетики. После удаления туберкуломы болевые ощущения могут сохраняться до нескольких месяцев:

  • больно делать глубокий вдох;
  • при перемене погоды или пальпации болит послеоперационный шов.

Все осложнения после операции делят на ранние и поздние.

К ранним относят:

  • острую дыхательную или сердечную недостаточность;
  • тромбоэмболию;
  • послеоперационную пневмонию;
  • послеоперационный сепсис;
  • нагноение раны с формированием свищей.

Последствия ранних осложнений могут вызывать угрозу для жизни.

Риск повторно заболеть или заразиться наиболее высок в группах риска, при гиперергической реакции Манту.

Инвалидность при туберкулезе легких после операции присваивается всем пациентам.

Реабилитация после операции длительная. Ранняя послеоперационная начинается с дыхательной гимнастики. Больному разрешают поворачиваться на кровати на бок, садиться, вставать. Физическая нагрузка строго дозирована.

После операции на легком требуется комплексный подход, включающий лечебную физкультуру, массаж, физиопроцедуры. Для полноценного восстановления рекомендуют санаторно-курортное лечение в профильных санаториях.

Лечебная гимнастика под контролем инструктора, массаж, индивидуально подобранный курс физиотерапии дают быстрое выздоровление. Обязательны прогулки. Их продолжительность рассчитывается в зависимости от физического состояния больного. В санаториях есть маршруты с вымеренным километражем. Больной сам фиксирует пройденное за день расстояние. При этом количество пройденных километров постепенно увеличивается.

Природотерапия, консультации психолога и общение с пациентами, которые восстанавливаются после операции, позволяют быстрее социализироваться.

Не все пациенты могут попасть в санаторий. Возможно прохождение реабилитации в диспансере или поликлинике по месту жительства. Перечень необходимых процедур назначает лечащий врач.

Во многих городах сейчас открываются реабилитационные центры при противотуберкулезных диспансерах. Отзывы пациентов о таких центрах положительные. Специалисты-реабилитологи, оборудованные залы ЛФК, аппараты для физиопроцедур позволяют пройти восстановление под наблюдением врача.

Хирургическое лечение туберкулеза легких – метод, который позволяет спасти жизнь больному, купировать процесс и добиться полного выздоровления, соблюдая назначения и рекомендации.

Туберкулёз лёгких относится к социальным заболеваниям, который принимает всеобъемлющие масштабы в различных средах, в том числе и благополучных в эпидемическом отношении. Чтобы диагностировать туберкулёз, проводятся скрининговые обследования населения — флюорография. При подозрительном флюорографическом снимке врачи проводят дополнительное исследование. Более точно определяется туберкулёз на рентгене, который назначается пациентам с подозрением на заражение.

Зачем требуется рентгеновское исследование при туберкулёзе

Флюорографическое обследование проводится среди масс населения ежегодно. Лучевая нагрузка при цифровом виде диагностики не большая — 0,02-0,05 мЗВ. Рентгеновское исследование обладает гораздо большим излучением, и назначают пациентам при видимых патологиях грудной клетки.

Почему назначают рентген при туберкулёзе? Флюорографическое исследование не даёт полную картину о состоянии здоровья больного. Поэтому при получении снимка врачи направляют на дополнительную диагностику.

Туберкулёз лёгких протекает в нескольких формах:

  • интоксикация;
  • поражение внутригрудных лимфоузлов;
  • первичный комплекс.

При туберкулёзной интоксикации и поражении лимфатических узлов визуализировать патологию на снимке трудно, хотя другие методы диагностики, например, Диаскинтест, будут подтверждать наличие возбудителя туберкулёза в организме. Чтобы найти локализацию поражения и подтвердить диагноз врачам требуется более информативное исследование, нежели флюорография. Поэтому выбор делается в пользу рентгеновской диагностики.

Показания к рентгену при туберкулёзе

Прямым показанием к проведению исследования является подозрение врача на туберкулёз у пациента. Врачебные предположения строятся на ряде признаков:

  • длительный приём антибактериальных препаратов для лечения лёгочных патологий, который не дал положительных результатов;
  • у пациента сохраняются внешние неблагоприятные признаки заболевания — постоянный кашель, слабость, субфебрильная температура тела, одышка, потеря веса, усиленное потоотделение, депрессия, бессонница;
  • положительная проба Манту у детей — показатель говорит о наличии заболевания в том случае, если по сравнению с прошлогодним исследованием папула увеличилась более чем на шесть миллиметров.

При наличии одного или нескольких признаков врачи предпочитают направлять пациента на рентгеновское исследование. Только при своевременной диагностике туберкулёза есть возможность вылечиться и оградить организм от осложнений, которые провоцирует болезнь.

Разница между флюорографией и рентгеном

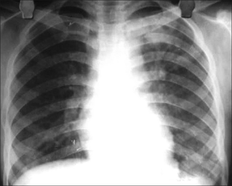
Существенной разницы между флюорографическим исследованием и рентгеном нет, поскольку изображение при обеих видах исследования получается путём прохождения лучей сквозь тело человека.

image Рентген. (В двух проекциях)

Различия состоят в том, что рентген имеет большую степень излучения и информативность, нежели флюорография. Не рекомендовано делать флюорографию без показания чаще одного раза в год. Исключение составляют отдельные категории населения, которые работают в больницах, школах, призываются на воинскую службу. Рентгеновское исследование большую дозировку, поэтому назначается исключительно по показаниям, например, если результаты флюорографии вызывают подозрение на туберкулёз.

Противопоказания к рентгену

image Рентгеновское исследование органов грудной клетки имеет противопоказания ввиду того, что лучи могут вызвать аномальные мутации в клетках. Противопоказания к процедуре:

  • возраст исследуемого до пятнадцати лет;
  • наличие беременности;
  • открытые раны грудной клетки;
  • пневмоторакс;
  • тяжёлое состояние пациента.

Проведение исследования с контрастным веществом также имеет противопоказания. Среди них — аллергическая реакция на вводимое контрастное вещество, активный туберкулёз, патологии щитовидки, осложнения в работе почек и печени, диабет. В таком случае врачи заменяют рентгеновское исследование на ультразвуковую диагностику или магнитно-резонансную томографию.

Как часто разрешено делать рентген

Основной принцип рентгенографического исследования — проведение диагностики строго по показаниям. Несмотря на длительное использование рентгеновских лучей, их влияние на организм ещё не изучено, но уже установлено, что лучи оказывают канцерогенное действие. Конечно, спровоцировать рак одно облучение не может, поэтому врачи без опасений назначают рентген пациентам.

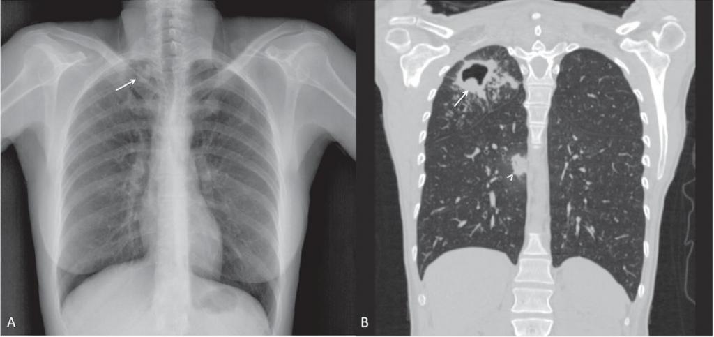
Признаки туберкулёза на снимке

При проведении рентгена лёгких с туберкулёзом на снимке видят признаки развития заболевания различных форм. Например:

  • при туберкулёзе лимфатических узлов будет расширен корень лёгких (структуры, входящие в понятие корень), контуры поражённого лёгкого плохо визуализируются, структура органа неоднородная. О наличии или ранее перенесённом туберкулёзе говорят кальцинаты — очаги обызвествления, когда организм самостоятельно борется с возбудителем инфекции;
  • при диссеминированном туберкулёзе отмечаются множественные тёмные очаги, они маленькие по размеру и в диаметре не превышают двух миллиметров. Края очагов чёткие, расположены по всему лёгкому, способны к слиянию;
  • очаговый туберкулёз характеризуется несколькими участками небольшого размера (до двух сантиметров в диаметре), имеющими округлую или овальную форму. А также склонны к слиянию в крупные образования;
  • инфильтративный туберкулёз на снимке лёгких выглядит белыми множественными очагами, имеющими неровные края. Консистенция каждого очага — одинаковая. Располагаются в верхних долях лёгких, образуя дорожку к лёгочному корню;
  • казеозная пневмония — одна из тяжёлых форм туберкулёза. Снимок показывает обширные тёмные пятна. На ранней стадии имеют одинаковую гомогенную структуру, а при распаде пятна приобретают собственные более и менее интенсивно окрашенные участки;
  • кавернозный туберкулёз — очаговое поражение с распадом из центра повреждённой полости. Отображается очаговым затемнением со светлым центром, имеется дорожка к корню лёгкого;
  • диссеминированный плеврит — множественные очаги поражения по всему лёгкому. Имеют чёткие края и не сливаются друг с другом, диаметр около двух-трёх миллиметров, могут обнаруживаться одновременно в нескольких долях лёгкого. image Синдром уплотнения. Очаг низкой и средней плотности. Туберкулез.

Наличие кальцинатов (петрификатов)

Кальцификаты в лёгких представляют собой участки поражения лёгочной ткани, ограниченные кальциевыми образованиями, своеобразными капсулами. Внешне выглядят как шрамы различного размера. Их замечают при прохождении флюорографического обследования. Кальцификаты не являются опасными для здоровья человека.

Причины появления кальцификатов:

  • ранее перенесённый туберкулёз;
  • пневмония;
  • глистные инвазии;
  • инородные тела, попавшие в бронхи;
  • метастазы или первичная онкология;
  • нарушение метаболизма кальция в организме.

Врачи знают, как выглядят кальцинаты на снимке, поэтому при наличии пристально рассматривают результат исследования, пытаясь найти причину появления. При необходимости назначаются дополнительные исследования (например, на паразитов).

Что означает изменённый корень лёгкого

  • туберкулёзное повреждение лёгких или лимфатических узлов;
  • воспаление лёгких;
  • воспаление бронхов;
  • астма;
  • злокачественное поражение лимфоузлов;
  • патологии работы сердца;
  • обструктивная болезнь;
  • раковое поражение лёгочной ткани.

Чтобы поставить чёткий диагноз, понадобятся дополнительные исследования органов грудной клетки.

Преимущества цифрового рентгена

На сегодняшний день делают цифровую диагностику. Она имеет несколько преимуществ:

  • цифровой рентген подаёт меньшую дозу излучения, а значит не так вреден, как плёночная съёмка;
  • делается гораздо быстрее — изображение сразу же появляется на мониторе;
  • врач продуктивно работает с результатами, например, увеличивает отдельные области на мониторе для рассмотрения;
  • результат цифровой рентгенограммы при туберкулёзе сохраняют на внешний носитель и оперативно передают по электронной почте в другое лечебное учреждение.

Компьютерная томография при туберкулёзе

При невозможности сделать рентген врачи прибегают к цифровой томографии. Компьютерное исследование является одной из разновидностей рентгена, при этом получают изображение в виде послойных снимков. Изображение трёхмерное, помогает точно локализовать повреждения в лёгких. Среди преимуществ:

  • высокая точность снимков;
  • быстрые сроки получения результата;
  • возможность оценить сосуды в лёгких;
  • удобство использования и хранения результатов.

Изобретение компьютерной томографии позволяют пользоваться этим методом, поскольку недостатки на сегодняшний день устранены, например, нечёткость получаемого изображения. Лучевая нагрузка на организм человека велика, а результативность обнаружения признаков туберкулёза намного превосходит рентген.

image Самый вредный метод диагностики

Томосинтез

Принцип действия томосинтеза основывается на покадровой съёмке, за короткий промежуток времени аппарат делает 90 снимков. Это даёт возможность рентгенологам разглядеть патологии при туберкулёзе, не прибегая к КТ. Преимущества томосинтеза перед КТ:

Дозировка облучения

Ввиду того что рекомендованные годовые дозы облучения, врачи учитывают дозировку, которую получит пациент при рекомендованном исследовании.

При проведении цифровой рентгенографии дозировка не превышает 0,1 мЗВ, а цифровая флюорография даёт дозу облучения ровно в половину меньше, чем рентген. Большую лучевую нагрузку даёт компьютерная томография — 4-11 мЗВ.

Рентгеновское исследование органов грудной клетки незаменимо при постановке диагноза туберкулёза лёгких. Рентген помогает врачам видеть ту картину, которую не даёт флюорография, поэтому врачи используют такое исследование для уточнения диагноза и конкретизации состояния здоровья пациента.

Видео

Читайте также:

Ссылка на основную публикацию
Похожее