Паразитарная пневмония у собак

Пневмония у собак или воспаление легких, очень часто становится причиной воспаления бронхов. Такое заболевание носит название бронхопневмония. Чаще всего пневмония несет угрозу для жизни животного, при этом, причиной заболевания чаще всего становится попадание инфекции. Лечение пневмонии у собак должен проводить только опытный специалист, после осмотра и проведения необходимых анализов. Заниматься самолечением животного не рекомендуется. Так как болезнь быстро прогрессирует и требует немедленного лечения.

image

Классификация болезни пневмония у собак

Пневмонию принято классифицировать, в зависимости от возбудителя инфекции:

  1. Грибковая. Вызванная грибками Cryptococcus очень сложно поддается лечению. Во время устранения заболевания большую роль играет иммунная система животного.
  2. Вирусная (вирус чумы).
  3. Паразитарная. Может возникать при наличии гельминтов, а также личинок, которые в процессе перемещения попадают в легкие.
  4. Бактериальная. Чаще всего возникает у щенков, чей иммунитет еще не укрепился. А также, в случаях длительных перевозок. Бактериальная инфекция считается мгновенной, так как бактерии очень быстро попадают в дыхательные пути. Вследствие чего наступает бронхопневмония у собак. Поэтому особое внимание следует уделять маленьким щеночкам и взрослым собакам, которые находятся в зоне риска и больше подвержены заболеванию.

Симптоматика

Очень часто симптомы пневмонии зависят от общего состояния животного. Можно выделить несколько симптомов, которые чаще всего встречаются у собак, а именно:

  • Тяжелое и быстрое дыхание.
  • Кашель.
  • Животное подавленно и без эмоционально.
  • Возможно повышение температуры тела, иногда лихорадка.
  • Серый оттенок слизистых.
  • Учащенный пульс.
  • Возможен насморк и другие признаки гриппа.

Если состояние животного стабильно, можно наблюдать небольшой кашель с мокротой. Если состояние ухудшается, собака совершенно не активна, отказывается от еды. Если поражены оба легких, собаке сложно лежать, если только одно, собака постоянно будет ложиться на противоположную сторону.

Важно! Если вы заметили хоть малейшие признаки заболевания, лучше немедленно обратиться к специалисту. Если состояние животного в критическом положении, собаке необходима вентиляция легких, так как недостаток кислорода может стать причиной летального исхода.

image

Есть несколько критериев оценки состояния животного:

  1. Стабильное. У животного может быть сильный кашель, при этом отличная активность и аппетит. В таком случае, собаке положено домашнее лечение.
  2. Нестабильное состояние, которое требует стационарного лечения. Собака вялая, не активная, отказывается от еды. При этом может постоянно лежать на одном боку. Также, животное в период пневмонии не позволяет дотрагиваться до себя, особенно там, где легкие.
  3. Критичное состояние. Животное требует использования дополнительного кислорода и вентиляции легких. В этом случае для собаки должно быть постоянное наблюдение. В каждом отдельном случае, животному необходимо определенное лечение.

Стадии и развитие пневмонии. Диагностика

Первая стадия

На этой стадии симптомов практически нет, или же они слабо выражены. Длиться этот период до 5 дней, после чего переходит в следующую стадию.

Вторая стадия

Длиться стадия не дольше 10 дней, при этом есть все симптомы, которые свойственны пневмонии. Именно в это время животное необходимо показать ветеринару. Этот период позволяет полностью устранить заболевание, не нарушая работу остальных органов животного.

Завершающая стадия

Если быстро распознать симптомы на завершающей стадии наступает излечение или значительное улучшение состояния животного. Если лечение не проводилось, скорее всего, наступит летальный исход. Кроме этого заболевание может быть легким, средним, тяжелым или сверхтяжелым. От этого и зависит лечение и симптоматика. Также, патологический процесс может быть разделен на:

  • острый;
  • подострый;
  • хронический.

При этом хроническая пневмония может развиваться из-за попадания инородных тел или жидкостей. Это еще называют аспирационной пневмонией.

image

Диагностика пневмонии начинается из рентгена. Это позволяет увидеть, какая часть легких поражена, и критичность ситуации. Также необходимо сдать общий анализ крови. Это позволяет увидеть причину заболевание, возможное наличие аскарид и личинок в организме животного и непосредственно в самих легких. Так как причин появления пневмонии множество, важно обращаться за помощью к опытному специалисту, который будет учитывать не только результаты анализа крови, симптоматику, но также обратит внимание на возраст животного и наличие породных особенностей.

Лечение пневмонии легких у собаки

В зависимости от того, когда была проведена диагностика, зависит лечение. Чтобы устранить пневмонию у животного применяют комплексное лечение

1.Терапия антибиотиками. Если же животное находится на стационарном лечении, делают инъекции антибиотиков. Действие в большей степени направлено на то, чтобы устранить бактерии. Если же нужно воздействовать на гной и выведение мокроты, врач назначает комбинацию антибиотиков, которые в комплексе могут устранить все симптомы. Перед использованием антибиотиков, врач в обязательном порядке должен провести тест на чувствительность, для этого на анализ берется трахеальнный смыв, а саму процедуру проводят под снотворным. Кроме этого, результаты анализа используют для гистологии бронхов. Это важно для дальнейшего лечения.

2. Использование физиотерапии. Использование этой методики выбирается для каждого животного индивидуально. Физиопроцедуры, или массаж, помогают выводить мокроту и улучшать состояние пациента. Это нужно делать не менее 4 раз в день, пока у собаки есть кашель.

3. При тяжелой форме пневмонии, животному будет назначена кислородотерапия. Вентиляция легких используется в том случае, когда состояние критическое.

4. Использование капельниц. Этот метод используется, когда у животного есть признаки рвоты, отдышки. При этом собака отказывается от питания и сильно ослаблена. Такое лечение также проводится в стационаре. Такое лечение не рекомендуют проводить в домашних условиях.

Заболевание, которое вызвано попаданием инородных тел в дыхательные пути. Такой вид пневмонии редко встречается у собак, чаще у лошадей и крупных животных. Если же в дыхательные пути попали инородные тела (чаще всего это корм или лекарственный препарат), может развиться гнойное воспаление в бронхах или легочной ткани. При этом, аспирационная пневмония отличается тем, что животное может погибнуть вследствие удушения.

Диагностирование проводиться по мере очищения и промывания желудка, после зондирования пищевода. Такие меры проводят под наркозом, после устранения инородных тел, их изымают на анализ. Симптомы аспирационной пневмонии. Симптомы наступают очень быстро.

У животного начинается характерный кашель, когда попадают инородные тела. За несколько часов собака может сильно хрипеть и задыхаться. При этом может наступить сердечная недостаточность, а летальный исход может случиться всего за несколько часов.

image

Лечение нужно проводить в экстренном режиме. И после извлечения инородных тел, животному дают антибиотики и лекарственные препараты. При этом помещают в специальное помещение, где хорошая вентиляция. Чтобы устранить сердечную недостаточность используют средства для поддержания работы сердца, в составе которых кофеин и камфорное масло.

Дабы избежать этого заболевания, нужно внимательно использовать лекарственные средства, а также следить за питанием животного. Стоит помнить о том, что даже если аспирационная пневмония появляется у собак крайне редко, она требует незамедлительного обращения к специалисту.

Уход за животным дома

Если удалось быстро распознать признаки пневмонии и начать лечение, после стационара в домашних условиях также нужно соблюдать некоторые меры предосторожности, чтобы полностью излечить животное и не допустить перехода болезни в хроническое состояние. Для этого нужно:

  • Не допускать длительных прогулок и пребывания на улицу в сырую холодную погоду.
  • Массаж постукиванием (около 4 раз в день), а также незначительные физические нагрузки, чтобы полностью устранить мокроту в легких.
  • Постоянное выведение мокроты. При этом нежелательно использовать кашлевые супрессоры.
  • Использование антибиотиков строго по инструкции и назначению врача. Не менять дозировку.
  • Постоянное наблюдение у врача и проведение дополнительного рентгена.
  • Использование всех рекомендаций врача и строгое их соблюдение.

Если возникла пневмония у собаки, симптомы ее не всегда можно быстро распознать. Но если вы увидели даже незначительное изменение поведения своего четвероногого лучше обращаться к ветеринару. Это позволит быстро диагностировать заболевание и правильно назначить лечение.

Пневмония – заболевание тяжелое и может стать причиной летального исхода, чтобы такого не произошло, нужно придерживаться рекомендаций врача. И хоть лечение очень часто приносит положительный результат, сама пневмония сильно влияет на общее состояние животного и может вызывать другие хронические заболевания.

На сколько опасна пневмония у собак? Пневмония характерна не только для человека. С таким весьма неприятным заболеванием так же может столкнутся и собака. Чаще всего от подобной болезни страдают кобели — это примерно 60% случаев обращения в ветеринарный центр. Так же известным фактом является то, что именно кобели умирают от пневмонии. Для того что бы не пропустить данную болезнь следует быть в курсе возможных симптомов, а также необходимо владеть информацией, как лечить данную напасть.

image

Пневмония у собак бывает разных видов

Это заболевание знакомо многим людям как воспаление легких. Хотя на самом деле пневмония у собак является не чем иным как сильно запущенным бронхитом. Болезнь редко возникает сама по себе. Наиболее остро это состояние развивается в легочной ткани. Пневмония у собак имеет достаточно размытые симптомы, которые очень легко спутать с другими болезнями дыхательных путей. Именно поэтому так важно обратиться за помощью к ветеринарному врачу, который сможет правильно идентифицировать болезнь.

    Грибковая. Данное воспаление провоцирует грибок, который носит название Cryptococcus neoformans. Этот вид пневмонии достаточно трудно вылечить. Паразитарная. Личинки нематод являются истинными провокаторами данного заболевания, ведь их развитие проходит непосредственно в легких, что взывает сильное повреждение внутренних органов. Вирусная. Развивается исключительно при вирусной чуме. Бактериальная пневмония. Вспыхивает как правило из-за инфекций которые влекут вместе с собой бронотрахеит.

    Эту болезнь необходимо контролировать при помощи доктора, так же своевременно принимать лекарство и сдавать анализы, особенно это актуально для бактериальной формы болезни.

    Чем провоцируется пневмония у собак

    В жизни собаки может произойти множество разных факторов, которые значительно облегчат жизнь бактериям. Их великое множество:

    • вспомните, не получало ли животное травму верхней части туловища, где находятся самые важные и хрупкие органы;
    • хирургическое вмешательство в легочной зоне;
    • сбой работы метаболизма, такие заболевания как диабет или уремия;
    • предыдущие не долеченные инфекции;
    • сбой сбалансированного питания, ощутимый дефицит белка;
    • ослабленный иммунитет;
    • недостаточность иммуноглобулина А;
    • коматозное состояние, либо воздействие анестезирующего препарата;
    • применение специфичных медикаментозных лекарств, таких как дигоксин или аспирин;
    • последствия химиотерапии при лечении рака;
    • дискинезия и гипоплазия трахеи.

    Все эти факторы могут спровоцировать возникновение пневмонии, дать толчок возникновению болезни. Именно поэтому в период восстановления нужно особо внимательно следить за здоровьем пушистого любимца.

    image

    Воспаление легких у собак симптомы

    Пневмония или по другому воспаление легких у собак имеют определенные симптомы. Важно знать их и проявить бдительность:

    • питомец тяжело дышит;
    • странные звуки которые издает животное;
    • вялое, подавленное состояние;
    • температура стремительно повышается, учащается пульс;
    • падает масса тела;
    • возможна стремительная потеря влаги из-за температуры;
    • характерный насморк;
    • при внимательном осмотре можно будет заметить, что внутри полости рта десна, щеки и язык стали сероватого оттенка;
    • лабораторные исследования отображают возросшее количество лейкоцитов в крови собаки.

    Конечно же хозяин может увидеть самостоятельно только внешние признаки болезни. Для всего остального потребуется помощь ветеринарного врача и его консультация.

    Пневмония у собак: как должна проводиться диагностика

    Конечно, такой серьезный диагноз не должен ставится без должного обследования. Как говорилось выше, пневмония имеет схожие симптомы с другими болезнями, а потому стоит исключить например:

    • ринит;
    • посторонний предмет в бронхах;
    • фарингит;
    • трахеобронхит;
    • синусит;
    • тонзилит;
    • легочный абсцесс.

    Также ветеринарный врач обычно производит лабораторные исследования мочи и крови, лабораторные тесты, делают выводы по внешнему виду и диагностическим тестам, такие как бронхоскопия, биопсия и исследование каловых масс.

    Все лечение должен назначать и контролировать лечащий врач, который наблюдает собаку и знает ее давно. Тем не менее есть общие правила, соблюдая их можно значительно ускорить выздоровление своего любимца:

    Любые изменения в симптоматике стоит немедленно обсудить со специалистом.

    В настоящее время бешеный ритм жизни не оставляет хозяевам времени на поход к ветеринару, но симптомы легочной болезни игнорировать ни в коем случае нельзя. Ну а пневмония у собак требует немедленного вмешательства ветеринарного врача, поскольку это является серьезным осложнением после перенесенной болезни.

    Почему пневмония у собак лучше всего лечится на дому

    Пневмония у собак так же, как и любое другое заболевание, довольно остро реагирует на стресс и может только ухудшится если, например, собака окажется в ветеринарном центре, пусть и самом современном. Лучше всего лечение и обследование осуществлять на дому. Именно тут можно с толком и расстановкой оказать животному медицинскую помощь, в которой тот так нуждается, для оказания помощи у нас есть все необходимое:

    • Стерильный одноразовый инструмент.
    • Современные пробирки, которые помогут сохранить биоматериал свежим долгое время.
    • Портативный УЗИ, ЭКГ аппарат, который так необходим для исследований.
    • Добрый взгляд и сильный руки ветеринарного врача.

    image

    • ратолог;
    • ЛОР;
    • отоларинголог;
    • невролог;
    • нефролог;
    • дерматолог;
    • хирург;
    • стоматолог;
    • гинеколог.

    image Пневмония (Pneumonia) – воспаление легкого. Болеют все породы собак и всех возрастов. По характеру распространения патологического процесса в легких пневмонии делятся на лобарные (очаговые, дольчатые) и лобулярные (очажковые, дольковые). Лобарные пневмонии характеризуются относительно быстрым распространением воспалительного процесса с охватом всего легкого или отдельных долей .

    Виды пневмоний

    Пневмонию у собак могут вызывать различные возбудители: вирусы, грибки, бактерии и паразиты. В зависимости от возбудителя пневмонии бывают:

    • Вирусные пневмонии развивается в результате осложнения чумы плотоядных, аденовироза собак, хламидиоз собак, микоплазмоз.
    • Бактериальные пневмонии. Часто развивается как результат осложнения бронхотрахеита, трахеита, а также в результате попадания инородного тела в гортань и бронхи собаки (кашель у собак).
    • Паразитарная пневмония. Данная пневмония вызывается глистами у собак, когда происходит попадание в легочную ткань личинок и червей глист.
    • Протозойная пневмония (токсоплазмоз).
    • Грибковая пневмония. Возбудителем пневмонии является грибок, приводящий к развитию криптококкоза.

    Из собак в большей степени пневмонией страдают охотничьи собаки. Особенно тяжело пневмония протекает у щенков, а также у старых собак.

    По типу образующегося экссудата пневмония может быть гнойной, серозной, фибринозной.

    Причины пневмоний у собак

    При попадании в дыхательные пути болезнетворных микроорганизмов (стрептококков, стафилококков, микоплазм, хламидий и других) у собак развивается пневмония.

    При нормальной резистентности организма собаки, организм успешно справляется с ними. Но стоит только ослабить иммунитет у собаки, данные микроорганизмы активизируют свою деятельность и проникают в легочную ткань. Ослабление резистентности организма у собак бывает в результате действия ряда предрасполагающих факторов:

    • Перепады температуры. Прогулки с собаками в зимнее время, особенно для гладкошерстных пород должны быть короткими.
    • Плохие условия содержания собаки (сырость и сквозняки).
    • Некачественное и неполноценное кормление (недостаток белков, жиров, углеводов, витаминов, макро – и микроэлементов.).
    • Контакты с инфицированными собаками.
    • Травмы в области грудной клетки.
    • Слабость иммунной системы (недостаточность в организме иммуноглобулина).
    • Болезни связанные с нарушением процессов метаболизма в организме (диабет, уремия).
    • Применение некоторых лекарственных препаратов (аспирин, дигоксин).
    • Инфекционный трахеобронхит.
    • Хронический синусит, фарингит и тонзиллит.

    Особенности развития пневмонии у собак

    Течение пневмонии у собак, в не зависимости от форм и причин, имеет три стадии:

    • Первичная стадия заболевания длиться в среднем пять дней. Пневмония в этой стадии имеет слабо выраженные признаки. Общее состояние собаки чаще удовлетворительное.
    • Вторичная стадия- продолжается не более 10 дней. В этой стадии происходит бурное проявление всех симптомов пневмонии.
    • Заключительная стадия. В этой стадии происходит либо выздоровление собаки, либо ее гибель в результате необратимых изменений в легочной ткани.

    Течение пневмонии у собак бывает легким, средним и тяжелым. Воспаление у собаки может быть острым и хроническим.

    Острое течение пневмонии может быть вызвано — травматическим повреждением дыхательных путей и грудной клетки, отеком легких, заполнением легких жидкостью или кровью, ожогом дыхательных путей в результате вдыхания собакой дыма или химических паров, резкого переохлаждения собаки.

    Патогенез. Под воздействием неблагоприятных факторов, приводящих к воспалению бронхов и легочных долек, их отеку, венозному застою в капиллярной сети. Барьерная функция эпителия бронхов снижается, создаются условия для развития условно- патогенной микрофлоры. В просвете бронхов и альвеол скапливается экссудат, образуются местные очаги ателектазов, в которых может размножаться гнойная микрофлора с образованием очагов абсцедирования и некроза. На фоне воспаления нарушаются окислительно – восстановительные процессы и обмен веществ, приводящие к расстройству трофики, крово- и лимфообразования и функции бронхов и легочных альвеол. В начальных стадиях болезни возникает серозное, серозно-катаральное или катаральное воспаление. В результате всасывания из очагов воспаления в кровь и лимфу токсинов и продуктов распада наблюдается интоксикация организма, расстройство газообмена из-за уменьшения дыхательной поверхности легких, снижается степень насыщения органов и тканей.

    Симптомы пневмонии у собаки

    Пневмония у собаки сопровождается:

    • Кашлем. Больная собака очень громко кашляет, испытывая при этом сильную боль. В дальнейшем кашель у собаки становиться приглушенным и мягким.
    • Резкое повышение температуры тела. Собака отказывается от еды, однако при этом из-за жажды охотно пьет воду.
    • Лихорадка. Происходит чередование высокой и нормальной температуры тела у собаки. Лихорадка изматывает собаку. У собаки пропадает аппетит (анорексия).
    • Обезвоживание.
    • Учащение пульса (тахикардия).
    • Одышка и затрудненное дыхание. Видимые слизистые оболочки синюшны, язык высунут из пасти.
    • Собаке трудно лежать на стороне пораженного легкого.

    При аускультации легких отмечаем крупно- средне и мелкопузырчатые хрипы. При перкуссии легких очаг притупления.

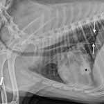
    Диагноз. Диагноз на пневмонию ветеринарный специалист клиники ставит комплексно на основании симптомов болезни, проведения лабораторного исследования крови и мочи. Общий анализ крови дает нейтрофильный лейкоцитоз с сдвигом влево, количество эритроцитов и гемоглобина уменьшается. В обязательном порядке больной собаке делается рентгенография и рентгеноскопия легких, на рентгенограмме видны участки затемнения. Рентгенологическое обследование грудной клетки должно проводиться в двух проекциях. Для исключения пневмоний паразитарного происхождения проводят исследование кала на гельминты.

    Дифференциальный диагноз. Пневмонию у собаки необходимо дифференцировать от – бронхита, трахеобронхита, воспаления слизистой носа (насморк у собак), фарингита, тонзиллита, синусита, абсцесса легкого.

    Лечение при пневмонии. Больной собаке назначается диета с повышенным содержанием белков и энергии. Лечение пневмонии собак, особенно при тяжелой форме, желательно проводить в стационаре ветеринарной клиники. Если такая возможность отсутствует, то лечение под наблюдением ветеринарного специалиста проводится в домашних условиях. Курс лечения проводят в течение 2-х недель.

    Главной задачей при лечении пневмонии является стабилизация их состояния и как можно более полное избавление организма от возбудителя болезни.

    Проводится курс антибиотикотерапии, при которой оказывается прямое воздействие на причину приведшую к пневмонии. Перед применением антибиотика в ветеринарной лаборатории проводят выделение культуры микроорганизма из мокроты (методом посева на питательные среды для выявления возбудителя заболевания и определяют его чувствительность к тому или иному антибиотику). При лечении применяют антибиотики широкого спектра действия, в том числе современные цефалоспоринового ряда. При этом на грамм – позитивные кокки – действует гентамицин, ампициллин, амоксициллин, амоксилав, флемоксин,солютаб, хлорамфеникол, триметоприм – сульфадиазин, цефалоспорины первого поколения (цефотаксим, цефтриаксон), а также макролиды (сумамед, вильпрафен). Грам- негативные палочки — амикацин,тетрациклин, гентамицин, канамицин, хлорамфеникол, доксициклин. Анаэробные бактерии – ампициллин, амоксициллин, пенициллин, клиндамицин и цефалоспорины второго и третьего поколения.

    Микоплазменные и хламидийные пневмонии у собак лечат антибиотиками тетрациклинового ряда – доксициклин, макролидами — сумамед, вильпрафен, и фторхинолонами- офлоксацин, ципрофлоксацин.

    Легионеллезные пневмонии лечат макролидами и фторхинолонами.

    Пневмонии вызванные кишечной палочкой лечат в основном антибиотиками цефалоспоринового ряда.

    Курс лечения антибиотиками при не осложненных видах пневмоний должен продолжаться не менее 10дней. Лечение микоплазменных, хламидийных и легионеллезных пневмоний даже при хорошем состоянии собаки должен быть не менее месяца.

    Перед тем как начать применять антибиотики в ветеринарных клиниках проводят тест на аллергическую чувствительность организма собак к ним.

    Физиотерапия. Данная процедура проводится с целью стимулирования лучшего отделения мокроты из легких. Из данных процедур ветспециалисты проводят массаж грудной клетки. Массаж делается до тех пор, пока у собаки наблюдается кашель.

    При дыхательной недостаточности, которая у собак бывает при тяжелой пневмонии, назначается кислородотерапия.

    При диарее, рвоте, одышке и голодании в условиях стационара больной собаке проводиться инфузионная терапия, путем введения регидратационных растворов, капельницы вводятся собаке внутривенно.

    При улучшении общего состояния собаки ее нельзя выводить на улицу. Так как в противном случае такая прогулка может вызвать у собаки рецидив болезни или резкое ухудшении состояния животного.

    Нельзя лечить кашель супрессорами. Периодически необходимо проводить особый массаж путем постукивания несколько раз в день. Необходимо регулярно проводить рентгенологические исследования грудной клетки.

    Профилактика пневмонии. Профилактика пневмонии должна строиться на предупреждении причин, которые могут вызвать у собаки пневмонию.

    Владельцы животного должны проводить своевременное лечение болезней, которые могут спровоцировать у собаки пневмонию. Устранять участки хронической инфекции в организме собаки. Проводить укрепление иммунной системы организма собаки. Не допускать контактов с больными пневмонией животными. Проводить своевременную вакцинацию собак против вирусных инфекции имеющих распространение в Вашем регионе.

    Пневмония относится к тяжелым недугам, требующим госпитализации собаки. Она часто имеет стремительное развитие и тяжелое течение, так, что даже профессиональная ветеринария иногда не в силах справиться с болезнью. Здесь исключительно важна дифференциальная диагностика, поскольку симптомы начальной стадии воспаления легких можно спутать с признаками острого респираторного заболевания, протекающего гораздо легче и без трагических последствий. Именно поэтому любой хозяин должен быть информирован о том, как проявляется данная болезнь и как лечить заболевшего питомца, ведь просвещен, значит — вооружен. Рассмотрим, что такое пневмония, и каковы правила борьбы с ней.

    Механизм заболевания

    Пневмония представляет собой воспаление нижних дыхательных путей, протекающее с вовлечением всех структур легочной ткани, включая альвеолы (полости легких, участвующие в дыхательном процессе). Она может иметь различный (но преимущественно, инфекционный) характер, а также является осложнением многих заболеваний дыхательной системы.

    Механизм течения болезни довольно прост: возбудитель, проникнув в дыхательные пути, вызывает воспаление на альвеолах. При наличии сниженного бронхолегочного барьера происходит передача инфекции через альвеолярные перегородки. Продуктом обширного воспалительного процесса при пневмонии обычно является экссудат, тип которого соответствует разновидности заболевания.

    В итоге процесс питания кровеносных сосудов кислородом, в котором участвуют альвеолы, нарушается, вызывая гипоксию. При прогрессировании болезни присоединяется дыхательная, а затем и сердечная недостаточность. Если проводимый курс лечения неэффективен, состояние пациента становится тяжелым, болезнь прогрессирует, вызывая дальнейшее ухудшение. В таком случае возможен летальный исход.

    Группу риска по заболеванию составляют собаки, имеющие хронические инфекционные заболевания, врожденные нарушения развития дыхательной системы, а также животные, имеющие серьезные иммунодефицитные состояния. Очень часто развивается пневмония у ослабленных и истощенных собак. Входят в группу риска и животные, несущие службу и живущие на улице (охотничьи, сторожевые, ездовые). Особенно подвержены щенки и пожилые собаки.

    Этиология заболевания

    В зависимости от этиологии пневмония может носить инфекционный или неинфекционный характер.

    Инфекционная пневмония чаще имеет бактериальную или вирусную природу. Она может развиваться как первичное или вторичное заболевание на фоне гриппа, бронхита, трахеита или ангины. В зависимости от этого, возбудителями инфекционной пневмонии являются:

    • грамположительные микроорганизмы (стафилококки, стрептококки, пневмококки);
    • грамотрицательные микроорганизмы (энтеробактерии, кишечная палочка, протей);
    • микоплазмы (возбудители микоплазмоза);
    • вирусы (герпеса, гриппа, парагриппа, чумки вирусного типа);
    • грибковые инфекции;
    • паразиты (личинки токсокары, анкилостомы, филярий).

    Заражение животных происходит в основном воздушно-капельным, контактным или гематогенным путями:

    • посредством контакта с больными животными;
    • через зараженный корм, грязную посуду, фекалии больных животных;
    • через зараженную кровь и лимфу.

    Воспаление легких неинфекционной этиологии у собаки имеет причиной попадание в полость легких посторонних агентов неинфекционного характера, а именно:

    1. Аспирационная пневмония у собак возникает после вдыхания посторонних частиц, инородных тел (пылевой взвеси, мелкого мусора), а также при попадании в дыхательные пути содержимого ротовой полости или желудка.
    2. Посттравматическая пневмония является реакцией организма на нарушение целостности грудной клетки.
    3. Послеоперационная пневмония имеет причиной осложнения после хирургических вмешательств.
    4. Воздействие токсических веществ на дыхательную систему может обернуться токсической пневмонией.
    5. Аллергическая пневмония. Сбой в работе иммунной системы имеет одним из симптомов воспаление легочной ткани.

    Виды пневмоний по характеру воспалительного процесса

    По характеру воспалительного процесса выделяют два вида пневмонии: катаральную и крупозную.

    1. Катаральная пневмония (или бронхопневмония). Наиболее распространенный вид болезни. Воспалительный процесс распространяется на ткань бронхов и альвеолы, и имеет очаговый характер. Может развиваться как осложнение респираторных заболеваний. Очаговая пневмония имеет менее угрожающие симптомы и лечение ее поэтому может проводиться в домашних условиях (но под контролем врача).
    2. Крупозная пневмония у большинства собак протекает остро. Она представляет собой самостоятельное заболевание. Поражает все легкое или значительную его часть. Характеризуется образованием инфильтрата в альвеолах, что может вести к отеканию ткани бронхов. Эта форма пневмонии ведет к нарушениям дыхательного процесса, поэтому требует госпитализации. В большинстве своем, она малозаразна.

    В ходе болезни в просвете бронхов и альвеол образуется альвеолярный экссудат. Его состав определяется видом воспалительного процесса в легких:

    • Гнойный экссудат характерен для осложненных форм пневмонии при присоединении гноеродных микроорганизмов.
    • Серозный экссудат представляет собой прозрачную жидкость, имеет белковый состав, содержащий лейкоциты и образуется при катаральной форме пневмоний.
    • Фибринозный экссудат выпотевает во время крупозных воспалений нижних дыхательных путей. Он содержит фибриноген (особый белок), что свидетельствует о повышенной проницаемости сосудов.

    Особенности течения болезни

    Существует несколько стадий развития заболевания:

    • Первичная стадия (при крупозном воспалении она носит название стадии прилива или активной гиперемии) длится до 3 суток. Возбудитель, проникает в легочную ткань, вызывая воспаление. Сосуды органа переполняются кровью, начинается выделение экссудата в альвеолярные пространства.
    • Вторичная стадия (стадия красного, а затем, серого опеченения). Может продолжаться до двух недель. Уплотняется ткань легкого (принимая консистенцию печени), в результате чего резко нарушается поступление кислорода в кровяное русло. В альвеолярный экссудат выпотевают эритроциты, а затем и лейкоциты. Клинические признаки проявляются наиболее остро. Интоксикация достигает своего пика.
    • Заключительная стадия. При благоприятном исходе восстанавливается нормальная структура ткани легких, происходит разжижение экссудата.

    В зависимости от типа возбудителя, состояния защитных сил собаки и других факторов, болезнь может протекать по-разному. Различают три степени тяжести течения:

    1. Легкая. Отсутствие интоксикации. Незначительное повышение температуры. Наличие небольшого очага воспаления.
    2. Средняя. Умеренная интоксикация. Температура может быть повышена незначительно, но наблюдается довольно активное образование экссудата.
    3. Тяжелая. Сильная интоксикация. Может наблюдаться потеря сознания. Температура тела критически высокая. Идет активная инфильтрация. Собака очень слаба, часто дышит. Возможно развитие осложнений.

    Провоцирующие факторы

    Каждый вид пневмонии имеет свои факторы риска, которые могут спровоцировать начало болезни.

    Факторами риска инфекционных форм заболевания являются такие обстоятельства:

    • частые переохлаждения;
    • осложнения первичных инфекций: гриппа, чумки, трахеита;
    • хронические воспалительные заболевания верхних дыхательных путей;
    • ослабление иммунитета в силу недостаточной выработки организмом иммуноглобулина А;
    • неполноценный рацион, недостаток витаминов и минеральных элементов;
    • несоблюдение гигиенических условий содержания животных (использование грязной посуды, содержание больных и животных в одном вольере и так далее);
    • отсутствие своевременной дегельминтизации;
    • употребление в пищу продуктов с грибковыми поражениями (плесенью).
    • Травмы и переломы грудной клетки провоцируют травматическую пневмонию.
    • Послеоперационный период часто осложняется воспалительным процессом в лëгких из-за вынужденной неподвижности в течение длительного времени.
    • Аспирация рвотных масс в дыхательные пути при многократной рвоте может спровоцировать аспирационную пневмонию.
    • Проживание в районах с плохой экологией (при наличии рядом химических производств) чревато токсической формой недуга.
    • Длительное применение некоторых лекарств, химиотерапия, могут спровоцировать токсическую пневмонию.

    Симптомы заболевания

    Симптомы начальной стадии недуга очень похожи на признаки любого респираторного заболевания, поэтому многие хозяева не обращают на них внимания. Им кажется, что у собаки нет ничего серьезного. Но такие признаки, как небольшое повышение температуры, теплый, сухой нос, озноб и лихорадка, могут проявиться позже грозными симптомами крупозной пневмонии:

    • сильная лихорадка;
    • одышка;
    • кашель с прожилками крови;
    • явные признаки кислородного голодания, синюшная окраска губ;
    • отсутствие аппетита, потеря веса;
    • гипертония, учащение пульса;
    • сильная интоксикация;
    • угнетение дыхательной функции.

    Очаговая пневмония развивается чаще, как осложнение острых респираторных инфекций или гриппа. Она сопровождается субфебрильной или фебрильной температурой, сухим или влажным кашлем, сильной слабостью. При прослушивании определяются жесткое дыхание, хрипы, крепитация (скрип) над очагом воспаления.

    После прослушивания и перкуссии (простукивания) области легких, доктор назначает рентген грудной клетки. Это наиболее информативный метод диагностирования пневмонии. Затемнение и усиленный легочный рисунок на снимке, позволит определить наличие процесса в легких, его вид и величину поражения органа.

    Не менее важен и биохимический анализ крови. По состоянию крови можно определить степень воспаления, а также вид и причину пневмонии. Анализ мокроты помогает определить вид возбудителя.

    Расшифровку полученных результатов анализов может сделать только профессионал, поэтому грамотная медицинская помощь в лечении пневмонии необходима. Кроме того, болезнь обязательно надо дифференцировать от других заболеваний верхних и нижних дыхательных путей:

    • острого тонзиллита;
    • бронхита и трахеобронхита;
    • ринита, синусита;
    • абсцесса легкого;
    • опухолевых заболеваний легких и тканей, их окружающих.

    Состояние пациента при пневмонии

    Метод лечения подбирается с учетом состояния пациента. Различают три вида состояний при пневмонии:

    1. Стабильное состояние может сопровождаться довольно сильными пульмонологическими симптомами, но общее самочувствие собаки в этот момент близко к норме: у нее не нарушен аппетит, она проявляет нормальную физическую активность. В этом случае животное после посещения ветеринара и получения рекомендаций по лечению, можно лечить амбулаторно.
    2. Нестабильное. Помимо пульмонологических проявлений, значительно повышена температура, собака вялая, отказывается от еды. В этом случае животное должно постоянно находиться под врачебным контролем в стационаре.
    3. Критичное. К другим признакам воспаления легких присоединяются симптомы острой нехватки кислорода и нарушения сердечной деятельности. Животному необходима реанимация, заключающаяся в искусственной вентиляции легких и поддержании жизнедеятельности организма.

    Лечение болезни

    Лечение пневмонии у собак предпочтительнее проводить в стационаре, поскольку только там оно будет полным и всеобъемлющим.

    • Основной метод лечения пневмонии — антибиотикотерапия. Используют антибиотики широкого спектра действия, дающие эффект при любом виде возбудителя или комплекс, включающий несколько видов препаратов. Это антибиотики пенициллинового ряда (Ампициллин, Гентамицин), тетрациклины (Доксициклин). Их назначают в таблетированной или инъекционной форме.
    • Физиотерапия. Ее назначают при стихании острого воспаления. В большинстве случаев — это УВЧ-прогревания, электрофорез, а также специальный массаж грудной клетки, позволяющий избежать застоя мокроты, скапливания альвеолярного экссудата и отека легких.
    • Искусственная вентиляция легких и кислородотерапия незаменимы в тяжелых случаях.
    • Инфузионная терапия тоже возможна лишь в условиях стационара. Она применяется, если животное сильно истощено, и не в состоянии самостоятельно поддерживать жизнедеятельность организма: находится в состоянии крайнего истощения или обезвоживания.

    Уход в домашних условиях и восстановление

    В домашних условиях нужно все усилия направить на то, чтобы укрепить ослабленный болезнью организм:

    • Продолжать давать антибиотики по схеме, предложенной лечащим врачом.
    • На некоторое время отменить прогулки, чтобы исключить возможные переохлаждения и простуды, начало которых чревато рецидивом.
    • Нельзя подавлять кашлевой рефлекс препаратами, воздействующими на кашлевой центр мозга, чтобы не спровоцировать застой мокроты в легких.
    • Самостоятельно делать регулярный массаж грудной клетки, чтобы улучшать отхождение мокроты у собаки.
    • В назначенное время приводить питомца на контрольные обследования.
    • Составить полноценный рацион, который поможет в короткие сроки восстановить ослабленные силы.
    • Дополнительно проводить витаминотерапию. Обычно собаке прописывают витаминные комплексы с повышенным содержанием витаминов А, С и группы В.

    Способы профилактики

    Основные профилактические мероприятия направлены на поддержание хорошей физической формы и иммунитета животного. Это означает:

    • Не допускать переохлаждений, беречь от простудных и вирусных заболеваний верхних дыхательных путей.
    • Вовремя вакцинировать и проводить дегельминтизацию.
    • Не допускать контактов с больными животными.
    • Следить за полноценным и сбалансированным питанием. Собака должна получать все необходимые ее возрасту витамины и микроэлементы.
    • Собаке полезны умеренные физические нагрузки.

    В том случае, если собака получает хороший уход и грамотное лечение, прогноз заболевания чаще благоприятный. Современный опыт лечения пневмонии довольно богат и позволяет справиться даже с тяжелой формой недуга.

    Читайте также:

    Ссылка на основную публикацию
    Похожее