Кора дуба при кандидозе полости рта

Дубовая кора – натуральное средство, способное избавить от разнообразных заболеваний.

У него нет противопоказаний, использовать кору дуба можно во время беременности, при кормлении грудью, во время лечения маленьких деток.

При всех преимуществах, хорошо помогает кора дуба при молочнице, от которой страдает большое количество женщин.

Состав дубовой коры

Кора дуба отличается наличием вяжущих, противогрибковых, противовоспалительных и антисептических действий. Она имеет в составе микроэлементы, содержит огромное количество органических кислот, до 20% дубильных веществ, сахар, пектины, кварцетин и остальные компоненты.

Противопоказания дубовой коры

image Дубовая кора представляет собой противогрибковое средство, хорошо помогающее от молочницы. Однако, если кандидоз влагалища находится в запущенной стадии, то использование такого средства вряд ли будет эффективным. Достигнуть высоких положительных результатов при лечении кандидоза можно при начальной форме данного заболевания.

В редких случаях у человека может наблюдаться аллергическая реакция на кору дуба, что нужно брать во внимание перед началом терапии. Рекомендуется попробовать маленькую дозу, если реакция организма будет нормальной, то это свидетельствует об отсутствии аллергии. Использовать кору дуба при менструации категорически запрещено.

Если спустя некоторое время после лечения корой дуба никаких улучшений не наблюдается, необходимо заменить средство другим, более эффективным.

Лечебное действие

Кора дуба позволяет избавиться от молочницы благодаря губительному действию на грибок кандида, который становится причиной появления кандидоза. С ее помощью избавляются от воспалительных процессов и снимают отечность. Дубовая кора способна образовать пленку на стенках влагалища, в результате никакие болезнетворные микроорганизмы не смогут проникнуть.

Дубовая кора представляет собой отличный антисептик, с ее помощью можно достигнуть уничтожение патогенной микрофлоры, не затрагивая полезную. А как раз в результате нарушения баланса микроорганизмов у женщины наблюдается развитие молочницы.

Лечение дубовой корой при беременности

Во время беременности при наличии молочницы возможно использовать кору дуба, делать это можно только в качестве подмывания. Делать с помощью отвара сидячие ванночки запрещено, не рекомендуется использовать кору в качестве средства для спринцевания. Не следует лечиться исключительно одной корой дуба, отвар может использоваться только в виде вспомогательного средства.

Использование дубовой коры при лактации

Молочница встречается у женщин в период кормления грудью. Женщинам в этот период запрещено принимать медикаментозные препараты для лечения молочницы.

В таком случае дубовая кора может оказаться прекрасным вариантом замены большинства синтетических препаратов. Противопоказаний к использованию дубовой коры во время кормления грудью нет, поэтому использовать такое средство во время лактации можно без опаски.

Способы применения и рецепты

image Такое лекарственное средство можно быстро и просто приготовить в домашних условиях. В данном случае рекомендуется лишь соблюдать правила антисептики и асептики до и после проведения лечения. Приготовить лекарство от молочницы на основе коры дуба можно несколькими способами.

Рецепт № 1 . Это простой и легкий в применении и исполнении вариант для лечения кандидоза. Для его приготовления рекомендуется купить в аптеке дубовую кору, залить кипятком одну столовую ложку состава, после чего дать ему настояться около тридцати минут. Далее подождите пока настой остынет до комнатной температуры. Теперь берем простой ватный диск, смачиваем его в настое и протираем участки половых органов, пораженных молочницей.

Рецепт № 2 . Уже на протяжении многих лет женщинам известна методика спринцевания. Для этого придется кипятить дубовую кору около 15 минут, после чего впрыскивать во влагалище небольшими порциями полученный отвар на протяжении нескольких раз в день.

Будьте внимательны, чтобы не переусердствовать со спринцеваниями, они способствуют вымыванию собственной и полезной микрофлоры.

В большинстве случаев, при лечении кандидоза рекомендуется сочетать отвар дубовой коры с другими лекарственными травами (чайным деревом, зверобоем, ромашкой). Такой способ позволяет быстрей и эффективней избавиться от грибковой инфекции.

Можно ли использовать только дубовую кору?

image Посещение гинеколога нельзя назвать приятным занятием, поэтому некоторые девушки принимают решение лечиться самостоятельное.

Это совершенно неправильно. Гинеколог должен подтвердить наличие у пациентки именно молочницы. Доктор берет анализы, чтобы определить истинную причину появления кандидоза.

В индивидуальном порядке назначается комплексное лечение. Большинство гинекологов назначает самостоятельно отвар коры дуба для проведения спринцеваний. После курса терапии рекомендуется сдать повторные анализы, чтобы убедиться в эффективности лечения.

Проведение лечения в домашних условиях только усугубляет ситуацию, затягивая болезнь и усугубляя симптомы. Это опасно для женщин в период беременности, так как это может негативно сказаться на развитии плода, вызывая врожденные патологии или становясь причиной выкидыша.

Вывод

Дубовая кора является эффективным средством против молочницы, но не забывайте, что это лекарство, которое запрещено принимать бесконтрольно. Любые препараты, в том числе и народные средства должны назначаться лечащим врачом, основываясь на данных, полученных в результате сдачи анализов.

Казалось бы, кандидоз ротовой полости в основном встречается у грудных детей ввиду незрелости их иммунной системы, но при совокупности некоторых патологических факторов может возникать и у людей более старшего возраста. Так давайте же подробно разберем, как и чем лечить молочницу во рту у взрослых.

Однако для начала небольшое вступление. Молочница в полости рта – инфекционное заболевание, вызываемое дрожжеподобными грибами из рода Кандида, которые в норме обитают в здоровом организме и не вызывают никаких жалоб. Среди взрослого населения кандидоз рта чаще всего поражает женский пол, курящих мужчин и пожилых людей, которые пользуются зубными протезами или имеют ослабленный иммунитет.

Способы лечения молочницы во рту у взрослого человека

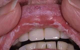
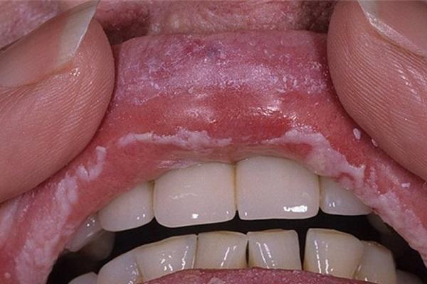
Как правило, диагноз уже можно выставить по наличию характерных клинических проявлений, как на приведенных ниже фото: беловатые густые творожистые налеты на коже губ, эпителии языка, внутренней поверхности щек; чувство жжения и мучительный зуд; при снятии налетов на слизистых оболочках образуются слегка кровоточащие эрозии.

image

image

Молочница на губах у взрослых может быть спровоцирована рядом причин. Для выяснения конкретной потребуются: проведение ряда дополнительных анализов, консультации смежных специалистов (инфекционист, стоматолог, иммунолог).

Базисные способы и методы лечения заключаются в следующем:

  • Целенаправленное лечение патологии, которая спровоцировала развитие кандидоза. К примеру, при сахарном диабете должна быть достигнута компенсация углеводного обмена, при воспалительных и дистрофических поражениях зубов и десен – соблюдение личной гигиены, отказ от курения и сладостей, своевременное лечение болезни.
  • В основе лечения лежит прием системных препаратов, обладающих противогрибковым действием. Чаще всего используют антибиотики имидазолового и полиенового ряда.
  • Для уменьшения выраженности местных симптомов назначаются топические лекарственные средства в виде мазей, аэрозолей и растворов.
  • Оправдано применение в комплексной терапии и народных методов лечения. Многие травяные отвары и настойки обладают противовоспалительным и антимикотическим эффектом. Как правило, эти рецепты доступны каждому человеку.
  • Наряду с лечением главного заболевания следует придерживаться особой диеты (исключить алкоголь, мучное и кондитерские изделия), тщательно соблюдать правила личной гигиены, принимать препараты с иммуномодулирующим действием.

Терапия кандидоза на языке

Лечение молочницы на языке у взрослых подразумевает комбинацию лекарственных средств местного и системного действия с рецептами из народной медицины.

В первую очередь, пациент на время лечения должен отказаться от продуктов, которые провоцируют и усугубляют течение молочницы. Дрожжи, сахаросодержащие продукты, алкоголь, соусы и кофе исключаются полностью из пищевого рациона.

Кроме регулярной чистки зубов при кандидозе показано полоскание либо самостоятельная обработка пораженных участков содовым раствором. Благодаря его использованию удаляются грибковые налеты, и осуществляется санация ротовой полости.

Так как кандидоз во взрослом возрасте протекает на фоне ослабленного иммунитета, островки налетов могут образовываться и в пищеварительной трубке, и в органах половой системы.

Поэтому терапия должна начинаться с системно действующих средств:

Для местной обработки полости рта используют антисептические и противогрибковые растворы, мазевые аппликации:

  1. Полоскание с 2% раствором борной кислоты необходимо повторять каждые три часа на протяжении 10 дней.
  2. Комбинированные растворы в виде Гевалекса, Тантум-Верде также помогут избавиться от местных симптомов такого заболевания, как молочница на языке у взрослых.
  3. Хорошим эффектом обладают аппликации с 1% Клотримазолом, 0,5% Декаминовой мазью. Процедуру выполняют дважды в день, как минимум, в течение одной недели.

В качестве полосканий используют такие варианты народных средств:

  • Соки из моркови и калины. В их составе находится значительное количество витаминов из разных групп, фитонцидов и эфирных масел. Курс терапии не меньше месяца.
  • Отвары из ромашки, чистотела и березовых почек.
  • Настойка из календулы (перед полосканием чайную ложечку настойки необходимо развести в одном стакане воды).
  • Мед также удаляет кандидозные налеты. Для этого 4 раза за день необходимо рассасывать во рту по одной чайной ложке меда. Курс может длиться 20-25 дней.

Лечение молочницы на губах

Кроме поражения слизистых оболочек, молочница может локализоваться на коже губ и на их красной кайме.

Подход к системным препаратам аналогичный таковому при лечении кандидоза на языке.

А вот среди местно действующих средств есть некоторые различия:

  1. Для устранения ангулярного хейлита и дрожжевых заед используют Нистатиновую или 5% Левориновую мази. Наносить их следует ватными палочками на пораженную зону 3-4 раза в день, курсом не менее 7 дней.
  2. Красную кайму губ можно обрабатывать анилиновыми растворами: бриллиантовым зеленым или фукорцином, к примеру. Процедуры выполняются дважды (вечером и утром) в день на протяжении 10 дней.

Лечение молочницы на губах возможно и с помощью народных рецептов:

  • Аппликации с маслом алоэ, облепихи или шиповника. Сложенную в шесть слоев марлю пропитывают выбранным маслом и прикладывают к пораженной зоне на 15 минут. Повторять процедуру надобно ежедневно на протяжении двух недель. В структуру этих масел входят вещества с выраженным заживляющим, обезболивающим и иммуностимулирующим действиями.
  • Эрозивные поверхности и участки налетов можно смазывать соком из лука, полыни или чеснока. Улучшение наступает уже спустя неделю, но лечение следует продолжить, как минимум, до 14-21 дня.
  • Масло душицы содержит в себе железо, кальций, органические кислоты, витамины C и A, которые способствуют скорейшему уничтожению грибков. Наносить масло следует на пораженную кожу трижды в день.

Чем еще можно побороть грибок во рту?

Существует еще несколько эффективных и недорогих методов избавления от кандидоза, о которых мало кто знает.

Кроме приведенных антисептических растворов, травяных отваров, полость рта можно полоскать обычным раствором Метрогила, который используют для внутривенных инфузий. Приобрести данное средство можно в любой аптеке за небольшие деньги. Полощут рот им 5-6 раз в день на протяжении 7 или 10 дней.

Мощным противомикотическим действием обладает смесь Нистатина и витамина цианокобаламина. Для ее приготовления необходимо растолочь одну таблетку Нистатина, после чего добавить ее в одну ампулу витамина B12. Полученной смесью обрабатывают ротовую полость от 2-х до 5 раз в сутки.

Лечение кандидоза полости рта включает в себя общие и местные способы терапии. Перед составлением схемы лечения врачи назначают пациентам комплекс лабораторных анализов, которые позволяют установить тип возбудителя и выбрать подходящее лекарство, к которому он будет неустойчив.

Терапия нарушения отличается для каждого пациента в зависимости от его возраста, симптомов кандидоза и индивидуальных реакций на определенные компоненты препаратов. Для устранения признаков проблемы терапевтические мероприятия обычно назначаются в комплексе. Они включают в себя местную обработку поврежденных слизистых, укрепление иммунитета, применение средств народной медицины и соблюдение диеты. Рассмотрим подробнее каждую методику борьбы с кандидозом ротовой полости.

Без проведения точного обследования невозможно точно установить причину появления грибкового заболевания. Даже при явных признаках кандидозного стоматита врач назначит больному серию анализов.

Основное исследование, результаты которого обязательно должны учитываться при составлении схемы лечения, – биохимический анализ крови. На патологический процесс указывает высокое количество лейкоцитов в биологической жидкости и снижение гемоглобина.

Также специалисты обращают внимание на уровень сахара в крови, чтобы исключить сахарный диабет как возможную причину развития молочницы во рту. Для получения достоверного результата необходимо сдавать анализ через 12 часов после последнего приема пищи. Показатель сахара в крови здорового взрослого человека составляет от 5 до 6,1 единиц.

Еще один важный анализ для определения типа возбудителя патологии – соскоб со слизистых оболочек для дальнейшей ПЦР-диагностики. ДНК фрагменты патологических клеток сравниваются с имеющейся базой.

Общее лечение

Общая терапия кандидоза ротовой полости включает в себя обязательный прием медикаментов этиологического и симптоматического воздействия. Для борьбы с возбудителем кандидоза (грибком Кандида) используют следующие виды лекарственных средств:

  • Полиеновые антибиотики (Нистатин, Леворин), применяемые до 6 раз на протяжении 2 недель. Улучшение самочувствия обычно наблюдается на 5-й день терапии. Если лечение полиеновыми антибиотиками не принесло результата, то в схему терапии включают таблетки (Амфоглюкамин) или инъекции Амфотерицина. Препараты принимаются 2 раза в день на протяжении 14 дней.
  • Имидазолы в дозировке от 50 до 100 мг в день курсом до 20 суток. Точная доза препаратов устанавливается врачом в зависимости от возраста пациента и тяжести протекающего у него недуга.

Для борьбы с кандидозом ротовой полости также используются противомикробные и противопаразитарные средства:

  • Дифлюкан – по 50-100 мг дважды в сутки минимум 1 неделю;
  • Низорал – 200 мг в сутки на 2-3 недели лечения;
  • декаминоваая карамель для рассасывания – 2 штуки в сутки на протяжении 14 дней.

На протяжении 30 дней врачи рекомендуется прием Глюконата кальция, который также способствует укреплению иммунной системы. Устранить проявления аллергических реакций, вызванных грибками, можно с помощью антигистаминных средств – Супрастина, Пипольфена, Димедрола.

На начальных стадиях развития кандидоза больным может быть рекомендована специальная вакцина, которая предупреждает распространение грибков по организму. С такой же целью в схему лечения вводится препарат Метилурацин, Пентоксин. Они стимулируют выработку гамма-глобулинов и лейкоцитов – клеток, отвечающих за борьбу с возбудителями заболеваний.

Лечение кандидоза слизистых нередко подкрепляют современными методиками борьбы с возбудителем. Эти способы позволяют сократить частоту обострения патологии. Подобный результат достигается благодаря коррекции работы иммунитета и использованию физиотерапевтических методик воздействия на пораженные грибком участки слизистых.

Первый шаг осуществляется путем приема иммуномодуляторов перорально или их введения внутримышечно. Препараты для поддержания защитных сил организма:

Исследования, проведенные в 2012 году, доказали, что иммуномодуляторы позволяют сократить риск обострения хронических грибковых заболеваний в 3 раза.

Местное лечение

Для местной обработки ротовой полости используются те средства, которые не проникают в общий кровоток. Они тормозят развитие грибка и устраняют острые симптомы кандидоза:

  • Лизоцин и Лизобакт с бактерицидными свойствами.
  • Препараты на основе йода: раствор Люголя и Йоддицирин.
  • Нистатиновая и Левориновая мазь (назначаются в случае образования заед в области губ).
  • Аниловые красители – раствор бриллиантовый зеленый, Фукорцин.

Во время местной обработки пораженных слизистых рта также важно уделять внимание качественной гигиене зубов. Желательно на время прекратить ношение съемных зубных протезов и ортодонтических систем. При наличии кариозных очагов на эмали потребуется визит к стоматологу.

Местное лечение кандидоза слизистой также включает в себя регулярное проведение полосканий. Используемые противогрибковые препараты уменьшают количество образовавшегося налета и смягчают симптоматику нарушения. С этой целью используют:

  • раствор буры (2%);
  • раствор борной кислоты;
  • раствор пищевой соды (1 ч. л. на стакан воды);
  • раствор Йодинола.

Процедуру осуществляют через каждые 2-3 часа и после приема пищи. Курс полосканий антибактериальными растворами составляет 1-2 недели. При необходимости длительность лечения увеличивают до исчезновения признаков острого кандидоза ротовой полости.

Народные средства

При длительном течении молочницы во рту медикаментозное лечение подкрепляют использованием нетрадиционных средств. Перед использованием каждого из них желательно проконсультироваться со стоматологом. Уменьшить выраженность жжения и ускорить регенерацию ран, появившихся в результате грибкового заболевания, позволят эфирные масла:

  • кедровое;
  • пихтовое;
  • лавандное;
  • чайного дерева;
  • эвкалиптовое.

Масла используются для полоскания ротовой полости. Для этого в 1 стакан воды добавляют 5-7 капель масла и проводят 3-5 процедур в день. Лечение не прекращают и после того, как исчезнет симптоматика кандидоза. Полоскания продолжают еще несколько дней после этого.

Быстрее вылечить микоз позволяют овощные и ягодные соки. В их состав входят ценные микроэлементы, которые обладают антисептическими и противовоспалительными свойствами. Среди наиболее ценных при лечении кандидоза видов соков следует выделить:

Сок потребляют 3 раза в день или используют продукт для обработки слизистых рта до 5 раз в сутки. Продолжительность использования овощных и ягодных соков – не менее 7 дней.

Для приготовления отваров 1 с. л. любого растительного сырья заливают 1 стаканом кипятка и выдерживают 1-2 часа. Полоскания народным средством выполняют 5 раз в день в течение 10 суток.

Травы, обладающие выраженным эффектом против грибков Кандида:

Лекарство можно готовить из одного растительного ингредиента или смешивать несколько целебных трав. В последнем случае эффект от применения отвара будет более выраженным.

Другой нетрадиционный способ борьбы с молочницей – применение аппликаций. Перед процедурой желательно очистить слизистые от белого налета во рту. Предварительная процедура повысит эффективность терапии кандидоза аппликациями.

Народные средства, подходящие для проведения аппликаций ротовой полости:

  • Мед. Продукт наносят тонким слоем на пораженные участки и выдерживают его во рту до полного растворения. Он характеризуется мощным противовоспалительным и бактерицидным свойством. Использовать мед не рекомендуется при повышенной температуре и для детей младше 3-х лет.
  • Масло облепихи или шиповника. Марлевую салфетку смачивают в маслах и прикладывают к проблемному участку на 5 минут с кратностью 3 раза в день. Количество нанесения может быть увеличено при тяжелом течении молочницы.

Длительность борьбы с заболеванием с помощью аппликаций составляет до 2 недель. После исчезновения симптоматики терапию следует продолжить, чтобы предупредить рецидив кандидоза ротовой полости.

Диета

Важная часть лечения молочницы во рту у взрослых и детей– соблюдение диеты. Мучные продукты, сладости и копчености усугубляют течение заболевания и проводят к распространению грибков Кандида на обширные участки слизистых. Во время острой стадии патологии врачи советуют больным потреблять только теплую и измельченную до пюреобразной консистенции пищу. Запрещенные продукты исключают из рациона на 3 месяца с момента полного исчезновения симптоматики молочницы.

Список разрешенных и запрещенных при кандидозе ротовой полости продуктов представлен в таблице:

Запрещено Разрешено
Кондитерские изделия Крупы
Кислые фрукты Выпечка, не содержащая дрожжей
Дрожжи Овощи
Кафе, чай Зелень
Соусы: майонез, кетчуп, горчица Кисломолочные изделия
Жирные сорта рыбы и мяса Льняное и оливковое масло
Копчености Сухофрукты
Соления Семечки и орехи
Алкоголь Нежирные виды мяса и рыбы

Диета не способна самостоятельно устранить обострившуюся молочницу, но позволит ускорить выздоровление взрослых и детей.

Недельный рацион для больных молочницей ротовой полости:

Окончательное меню для больных составляет врач, учитывая симптоматику и течение кандидоза ротовой полости.

Лечение детей

Дети при появлении признаков кандидоза не могут спокойно спать и нормально питаться. Родителям не рекомендуется самостоятельно удалять налет с поверхности пораженных структур у ребенка, так как это может привести к еще более неприятным последствиям, чем кандидоз.

Схема лечения заболевания у малышей выглядит следующим образом:

  • Местная обработка поврежденных слизистых структур. Белый налет обрабатывается слабым раствором марганцовки 3 раза в день. Необходимо следить за концентрацией средства, так как ярко-розовый раствор может стать причиной ожога обрабатываемой поверхности.
  • Использование содового раствора для борьбы с кандидозом у грудничков. Для этого 1 ч. л. сухого вещества растворяют в стакане воды и используют для протирания поврежденных структур.
  • Обработка поврежденных участков липовым медом. Малышам можно наносить продукт на пустышку.

Чем лечить микоз ротовой полости детям старшего возраста? Для борьбы с признаками кандидозного стоматита назначается ряд медикаментов:

  • Кандид – препарат для местного использования в виде раствора (суточная норма 20-30 капель);
  • Нистатин – до 3-х лет назначают 250 тыс. ед. препарат, после 3-х лет – 500 тыс. ед.

Во время терапии патологии детям также следует придерживаться определенного рациона с исключением газированных напитков, сладостей, покупных соков и грубой пищи. Малышам нужно регулярно обрабатывать пустышку, чтобы избежать распространения инфекции в организме.

Чего нельзя делать

Некоторые действия могут ухудшить течение кандидозного стоматита. К запрещенным мероприятиям относится:

  • Прием антибиотиков. Средства данной группы способны воздействовать только на бактерии. Использовать препараты разрешается только при вторичном инфицировании проблемных участков слизистых, но их прием обязательно должен быть согласован с врачом.
  • Соблюдение низкокалорийной диеты. Недостаток полезных витаминов и микроэлементов приводит к тому, что у организма не хватает сил для борьбы с возбудителем кандидозной инфекции. Единственное ограничение, которого следует строго придерживаться во время лечения, – отказ от углеводсодержащей пищи.
  • Самостоятельное прерывание курса терапии. Курс лечения и его схема назначается врачом только после выявления вида грибка в организме. Сокращенный курс приема препаратов грозит переходом кандидоза из острой в хроническую стадию.
  • Смена препаратов. Нельзя заменять средства, назначенные врачом аналогами с более низкой ценой. Каждое лекарство подбирается врачом индивидуально, исходя из результатов лабораторных анализов.
  • Отказ от приема сильнодействующих медикаментов. Некоторые формы кандидоза требуют использование гормонов и иммунодепрессантов. Их исключение из схемы терапии может привести к повторному рецидиву молочницы через короткое время.

Во время борьбы с кандидозом также важно пролечивать хронические заболевания, которые являются пусковым толчком для активации грибка в организме. Терапия запущенных форм патологии проводится долго и трудно, нередко с использованием глюкокортикостероидов и успокоительных средств. Поэтому проще заняться профилактикой кандидоза или его грамотным лечением на ранних стадиях развития.

На сайте Медицина и здоровье: причины, симптомы и лечение заболеваний, народные средства

Рубрики

Вылечить кандидоз ротовой полости и желудка можно, лишив грибок питания, восстановив слизистую, укрепив иммунитет. Народная медицина в лечении кандидоза желудка и ротовой полости предлагает следующие варианты.

После сна каждое утро при кандидозе ротовой полости следует очищать аккуратно слизистую от белого налета и рот прополаскивать синим йодом, бурой или содой. При кандидозе желудка — съедать два-три зубчика чеснока. Если в чистом виде желудок чеснок не принимает, можно пить сок чеснока свежеприготовленный в смеси с морковным (на 50-100 миллилитров морковного сока столовая ложка чесночного) или съедать натертую смесь моркови и чеснока (среднюю морковку на 2-3 зубчика чеснока).

Возбудителя кандидоза убивает аллицин чеснока. Поэтому перед едой следует 4 раза за день есть чеснок и обязательно на ночь (за день 12-15 зубчиков). Приучайте организм к чесноку малыми дозами, доводя постепенно до лечебной дозировки.

Лечение кандидоза народными средствами

При совмещении свежей чесночной кашицы с настоем молочного гриба в лечении кандидоза получается потрясающий результат. Средство можно пить по стакану 3-4 раза за день и на ночь, а можно 3-4 раза за день по 30-40 минут держать во рту. Желательно после приема чеснока ничего не есть, не пить 30-40 минут. А в это время во рту полезно держать какой-либо противогрибковый отвар, настой.

Противогрибковое народное средство для лечения кандидоза желудка и ротовой полости. Столовую ложку смеси шалфея, порошка коры дуба, золотарника, полыни, порошка почек осины или черного тополя (в равных долях) залить стаканом кипятка, на водяной бане греть 15 минут, остудить до теплого состояния. Настой этот можно пить по 30-50 миллилитров, только не тот, который во рту держали. Один и тот же раствор трудно держать 30-40 минут. Поэтому выплевывайте, набирайте другую порцию настоя. Суммарно по времени выходить должно 30-40 минут. После чего завтракайте.

Кушать лучше всего цельные каши на воде или молоке с зеленью, овощами, сыром, но без меда, сухофруктов, сахара. Следует полностью исключить на время лечения кандидоза сахар с сахаросодержащими продуктами — любимым лакомством грибка. Еду подслащивать придется только стевией и солодкой.

После любой пищи прополаскивайте ротовую полость любым противогрибковым раствором, синим йодом, бурой или содой. Затем смажьте слизистую настоем семени льна, зверобойным или облепиховым маслом либо просто подложите под язык.

Если слизистые кишечника и желудка также воспалены, принесут пользу обволакивающие слизи, противовоспалительные и смягчающие масла, принимаемые внутрь через 2 часа после пищи либо до нее.

Нельзя при кандидозе ротовой полости пользоваться зубной пастой с антибактериальным эффектом более 2 недель. Лучше перед чисткой в детскую пасту добавить порошок нужных трав (лопуха, чистотела, аира, шалфея, бархатцев, пижмы) или морской соли.

Большую помощь при кандидозе ротовой полости и желудка окажут яблочный уксус, морской или чайный грибы, применяемые внутрь и в виде полосканий, что поможет нормализовать кислотность, увеличит количество полезных бактерий (как понизить кислотность).

Незаменим шалфей, имеющий в составе целый набор антигрибковых соединений. Настой шалфея (на 2 стакана кипятка столовая ложка с верхом) пить 4 раза за день по половинке стакана.

Отлично при кандидозе желудка и ротовой полости помогают настойки из почек черного тополя, осины, свежей кожуры плодов черного ореха (на водке 1:10). Настойки принимать 3-4 раза за день от чайной ложки до столовой.

Содержащийся в чернике, клюкве, жимолости, голубике, ирге арбутин, значительно улучшает при кандидозе ротовой полости и желудка качество жизни. В сезон как можно больше ешьте эти ягоды. Развитию кандидоза желудка препятствуют любые виды капусты и почти все листовые овощи. Самое важное — без необходимости не применяйте антибиотики и остальные лекарства, действующие губительно на полезную микрофлору желудочно-кишечного тракта. Держитесь подальше от продуктов с красителями, консервантами, другой химией. Не мойте посуду химическими средствами.

Старайтесь поселить на постоянное жительство в свой организм как можно больше полезных микроорганизмов. Для этого включайте в рацион овсяной кисель, квашеные овощи, кисломолочные продукты (домашнюю простоквашу, молочный гриб), а также приготовленные из сыворотки и целебных трав различные ферментные напитки. Можете воспользоваться рецептом, предложенным врачом Изотовым — овсяной кисель — рецепт.

Он легко готовится, очень хорош для наведения порядка в желудочно-кишечном тракте. До плечиков в трехлитровую стеклянную банку засыпать горстку неочищенного овса и геркулес, залить кипяченой охлажденной водой со стаканом свежего кефира. Горлышко банки завязать четырьмя слоями марли. Для брожения оставить на 2-3 суток при комнатной температуре. Процедить в емкость через сито, промывая водой, для отстаивания оставить на сутки. Внизу образуется белый концентрат киселя, сверху — прозрачная жидкость. Концентрат хранить в холодильнике (не дольше 2 недель), воду слить.

Приготовление киселя. Взять концентрат, развести по вкусу водой (до состояния каши или жидкого киселя), держать на огне, постоянно помешивая, до закипания. Кисель пить или есть с овощами, зеленью, фруктами, солью, маслом и в теплом виде. Овсяный кисель в лечебных целях используют как отдельное блюдо, не совмещая с рыбой, мясом, бульонами.

Кандидоз желудка и ротовой полости лечится долго, поскольку разворачивают свою активную деятельность грибки только при дисбактериозе и ослабленном иммунитете, когда баланс микроорганизмов нарушен (дисбактериоз кишечника — симптомы). На лечение кандидоза желудка уходит 1-2 года. Улучшение здоровья наступает существенно раньше – через 6 месяцев. Иммунитет зависим от работы желудочно-кишечного тракта. Восстановив иммунитет, можно постепенно избавиться и от многих других заболеваний.

Читайте также:

Ссылка на основную публикацию
Похожее