Киста головного мозга паразитарной этиологии

Паразитарные кисты – полостные образования в тканях и органах, которые формируются вокруг тела паразита, проходящего определённую стадию развития. Заболевания, связанные с образованием таких кист, протекают длительно, вызывают тяжелое поражение органов, могут привести к серьезным осложнениям и даже смерти человека.

Причины заражения паразитами

Изначально заражение гельминтами происходит в результате нарушения правил личной гигиены во время работы со шкурой животных или бытового контакта с шерстью, при употреблении немытых овощей и ягод. Личинки попадают через рот в кишечник. Если иммунная система человека их не уничтожила, они перемещаются в кровоток и разносятся по всему организму (в первую очередь в печень). Наиболее часто паразитарные кисты формируются при заражении эхинококком и альвеококком.

Эхинококкоз

Эхинококкоз – хроническое паразитарное заболевание, возникающее в результате заражения организма личинками ленточного гельминта Echinococcus granulosus.

Поражаются разные органы и ткани. По статистике чаще всего кисты образуются в печени и лёгких, реже в селезенке, головном мозге, почках, глазах и других тканях, где есть удобная среда для продолжения жизни. Для эхинококка характерно образование одной капсулы, внутри которой могут быть еще несколько пузырей. Долгое время заболевание остается незамеченным, т.к. кисты растут на протяжении многих лет. Их размер может варьировать от 1 см до 20 см в диаметре.

В клинической картине паразитарных заболеваний часто присутствуют общие симптомы: слабость, утомляемость, аллергические реакции, потеря веса, температура. Когда киста достигает определенного размера, при котором нарушается нормальная работа органа, появляются локальные симптомы:

  • При поражении печени: боль в правом подреберье, механическая желтуха, диспепсия.
  • При поражении легких: боль за грудиной, кашель, одышка.
  • При поражении головного мозга: головные боли, рвота, судороги, парезы и параличи, очаговые симптомы, в зависимости от положения кисты.
  • При поражении почек: тупые боли в пояснице, гематурия, воспаления почек, нарушения мочеиспускания.
  • При поражении селезенки: боль в левом подреберье, диспепсия, нарушения проходимости кишечника.

Клинические проявления заболевания многообразны и зависят не только от локализации процесса, но и от реакции иммунной системы организма и скорости роста кисты. Общепринято выделять три стадии заболевания: латентную (без каких-либо проявлений), неосложненную (общие и локальные симптомы), осложнённую (при отсутствии лечения).

Альвеококкоз

Альвеококкоз — тяжелое прогрессирующее заболевание, вызванное попаданием в организм личинки цестоды Echinococcus multilocularis. Характеризуется формированием в печени множественных кист, которые способны распространяться и в другие органы. Принципиальное отличие кист при альвеококкозе заключается в их строении. Они не имеют общей капсулы и растут инвазивно, способны распространятся в соседние органы и ткани через протоки и сосуды. Пузырьки мелкие до 5 мм в диаметре образуют большие узлы, которые могут вырасти до 15 см. Стадии заболевания и клинические проявления схожи с эхинококкозом.

Со временем в центре узла начинается процесс распада, и появляются несколько узлов с некротизированным содержимым. В следствие инвазивного роста кист, альвеококкоз имитирует злокачественное новообразование.

Осложнения

Нелеченые паразитарные кисты имеют следующие тяжелые осложнения:

  1. Инфицирование и нагноение кисты. Характеризуется резким подъемом температуры, симптомами интоксикации, сильными болями в месте локализации кисты. Дальнейший прорыв гнойной кисты приводит к анафилактическому шоку и высокому риску смерти.
  2. При больших эхинококковых кистах есть риск их разрыва в результате травмы или резкого движения. Это может привести к потере сознания и острой аллергической реакции. Если случается прорыв кисты в желчный проток, то возникает его закупорка с симптомами печеночной колики. Кисты могут прорываться в разные полости и органы (брюшную, плевральную, желудок и другие), что сопровождается разными клиническими симптомами.
  3. При альвеококкозе узлы способны прорастать в желчные протоки, вызывая механическую желтуху, и в сосуды, приводя к серьезному нарушению кровообращения.

Осложнения паразитарных кист угрожают развитием тяжелой органной патологии и наступлением смерти человека. Такие случаи требуют незамедлительной госпитализации.

Диагностика

Установление диагноза на этапе заражения и латентной стадии затруднено. Большинство пациентов обращаются за помощью только при появлении симптомов или на стадии осложнений. Для постановки диагноза оцениваются данные эпидемиологической обстановки, анамнеза, клинических проявлений, анализов крови, мочи, биохимических параметров. Расположение кист возможно определить с помощью ультразвукового исследования, компьютерной томографии, рентгенологического исследования (в некоторых случаях), иммунологического анализа крови (определения антител к гельминтам).

Лечение

Современная медикаментозная терапия оказывает угнетающее действие на паразитов. Она назначается совместно с оперативным лечением или как самостоятельное лечение в случае невозможности удаления кист.

Хирургический способ – основной метод борьбы с эхинококкозом и альвеококкозом. Основная задача хирурга – удаление всех паразитарных узлов. Существуют разные варианты операций от малоинвазивной хирургии до резекции части органа. Объем хирургического вмешательства определяется врачом с учетом всех полученных данных.

Паразитарные кистозные полости провоцируются глистами, которые в человеческом организме проходят определенные стадии развития. Альвеококки и эхинококки попадают в желудочно-кишечный тракт с грязными руками, на которых могут содержаться яйца паразита.

Причины паразитарных кист головного мозга

Небольшой ленточный червь – эхинококк живет в желудочно-кишечном тракте волков, собак. Переносчиками альвеококка являются домашние животные.

Размеры кистозных полостей определяются разновидностью нозологии – рацемозный, солитарный. Небольшие размеры одиночных очагов (до 6 см) характерны для последней стадии заболевания.

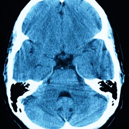
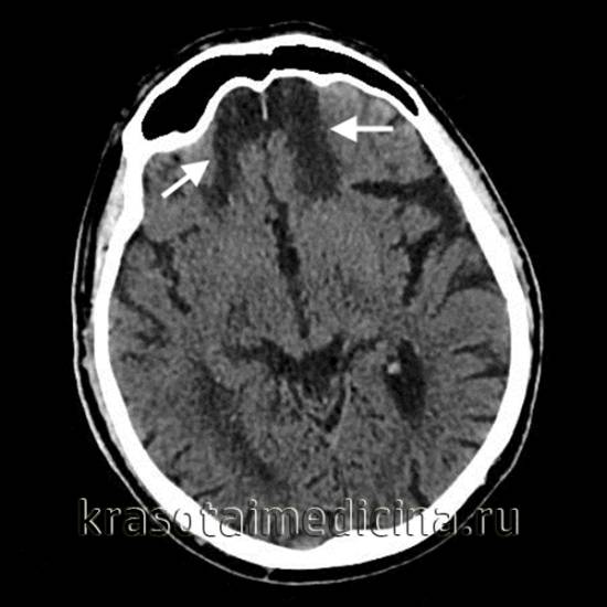
image

Киста на компьютерной томограмме

Рацемозная форма сопровождается образованием множества гроздевидных пузырей внутри церебральной структуры. Полости имеют соединительнотканную капсулу. Вокруг образований находится соединительнотканная оболочка.

Клинические симптомы эхинококковой кисты:

  1. Гипертензионный синдром с повышением давления;
  2. Головные боли;
  3. Застой дисков зрительного нерва;
  4. Головокружение;
  5. Рвота;
  6. Эпилептические припадки;

Анализ крови выявит повышение числа эозинофилов. Эхинококкоз имеет хроническое волнообразное течение с периодами ремиссий и обострений.

Альвеолярный эхинококкоз – сопровождается образованием многокамерных кистозных полостей мозга, печени, легких. Некоторые литературные источники указывают вероятность развития первичной опухоли на месте паразитарного поражения печеночных тканей.

Личиночная форма болезни характеризуется формированием множественных узлов-конгломератов с наличием центральной части темной, густой массы.

Заболевание у человека представляют исключительно личиночная стадия альвеококкоза (Alveococcus multilocularis). Особенность кистозных разрастаний при паразитозе – рост мелких пузырьков наружу (у эхинококка кисты прогрессируют внутрь).

Основные симптомы эхинококкоза

Стадии сопровождаются бессимптомным и осложненным проявлением. Стартовый этап длится до десяти лет. Затем возникают клинические признаки. Основные симптомы эхинококковых кист:

  • Кожный зуд;
  • Нарушение аппетита;
  • Механическая желтуха;
  • Тяжесть правого подреберья;
  • Горечь во рту;
  • Хроническая почечная недостаточность;
  • Головные боли;
  • Нарушение подвижности;
  • Неврологические расстройства;
  • Психозы.

Для альвеолярного эхинококкоза характерен летальный исход.

Чем опасна киста

Опасность мозговой кисты зависит от размеров образования. Чем крупнее полость, тем более выражена степень компрессии тканей. Сопутствующие последствия – кровоизлияния, гнойные абсцессы.

Крупные кисты (от 5 см) сопровождаются осложнениями:

  • Судорожные припадки эпилепсии;
  • Сенсорные галлюцинации;
  • Гипертензивный синдром;
  • Головные боли;
  • Отек диска зрительного нерва;
  • Очаговая неврологическая симптоматика – нарушение координации движений, парезы конечностей.

Проявление неспецифичны – у каждого человека проявляются индивидуально.

Диагностика альвеококковых и эхинококковых кист

Во время сбора информации нужно выяснить наличие контакта с домашними животными, проживания в эндемичных очагах. Важно своевременно выявить признаки аллергических реакций – частая кожная сыпь, эозинофиллия крови.

Ранняя диагностика проводится лабораторными методами:

  • Иммунологические реакции (РИА, РИГА);
  • Способ Казони;
  • Эозинофиллия;
  • Полимеразная цепная реакция (ПЦР).

Ранние стадии кистообразования показывает МРТ с контрастом или без него. КТ мозга при кисте верифицирует крупные полости с утолщенной стенкой.

Другие методы определения эхинококковых и альвеококковых полостей:

  • Допплерография;
  • УЗИ;
  • Спленопортография;
  • Артериография;
  • Лапароскопия диагностическая;
  • Сцинтиграфия.

Компьютерная и магнитно-резонансная томография назначается с целью определения последствий, изменений в голове на фоне паразитарных инфекций.

Представляет собой объемное внутричерепное образование, которое представляет собой полость, заполненную жидкостью.

Причины

К факторам, способным вызывать формирование врожденной кисты мозга, относят любые неблагоприятные воздействия на плод в антенатальном периоде. Развитие данной патологии может провоцировать фетоплацентарная недостаточность, внутриутробные инфекции, прием беременной медикаментозных средств с тератогенным действием, резус-конфликт, кислородное голодание плода. Врожденные кисты и другие аномалии развития головного мозга могут возникнуть в случае развитие плода в условиях внутриутробной интоксикации, обусловленной наркоманией, алкоголизмом и никотиновой зависимостью будущей матери, а также при наличии у нее хронических декомпенсированных заболеваний.

Приобретенная киста возникают на фоне черепно-мозговых травм, родовых травм новорожденного, воспалительных заболеваний, острого нарушения мозгового кровообращения. Иногда кисты имеют паразитарную этиологию, например, при эхинококкозе, церебральной форме тениоза, парагонимозе.

Кисты ятрогенной этиологии могут являться осложнением хирургического вмешательства на головном мозге. Иногда дегенеративные и дистрофические процессы в головном мозге могут сопровождаться замещением церебральных тканей кистой.

В отдельную группу входят факторы, которые могут спровоцировать увеличение в размерах уже имеющегося интракраниального кистозного образования. Такими триггерами могут выступать травмы головы, нейроинфекции, гидроцефалия, воспалительные внутричерепные процессы, сосудистые нарушения, например, инсульт, а также затруднение венозного оттока из полости черепа.

Симптомы

Дебют заболевания происходит с развития признаков интракраниальной гипертензии. Больные страдают от постоянных головных болей, ощущения подташнивания, не связанного с приемом пищи, чувства давления на глазные яблоки, снижения работоспособности. Пациенты жалуются на нарушение сна, шум или ощущение пульсации в голове, незначительную тугоухость, головокружения, мелкоразмашестый тремор, обмороки, расстройство зрения, проявляющееся снижением остроты зрения, возникновением двоения в глазах, сужением зрительных полей, появлением фотопсии или зрительных галлюцинаций. В случае развития высокой внутричерепной гипертензии у больного может возникать повторяющаяся рвота.

Иногда киста головного мозга манифестирует впервые возникшими эпилептическими пароксизмами, за которыми следуют повторные эпиприступы. В большинстве случаев пароксизмы носят первично-генерализованный характер, имеют вид абсансов или фокальной джексоновской эпилепсии. Возникновение очаговой симптоматики наблюдается гораздо реже, чем общемозговые проявления. В зависимости от локализации кистозного образования его симптомы могут включать геми- и монопарезы, сенсорные расстройства, мозжечковую атаксию, стволовые симптомы.

Серьезными осложнениями кист головного мозга является разрыв образования, сдавление головного мозга, развитие окклюзионной гидроцефалии, разрыва сосуда с кровоизлиянием в кисту, формирование стойкого эпилептогенного очага. У детей кисты, могут сопровождаться развитием выраженной внутричерепной гипертензией или эписиндромом, что может вызывать у ребенка задержку психического развития с формированием олигофрении.

Диагностика

Постановка диагноза происходит на основании клинической симптоматики имеющейся у пациента и данных неврологического статуса. При подозрении наинтракраниальное объемное образование для проверки слуха и зрения пациент направляется на консультацию отоларинголога и офтальмолога, ему назначается аудиометрия, визиометрия, периметрия и офтальмоскопия, на которой при выраженной гидроцефалии отмечаются застойные диски зрительных нервов. Повышенное внутричерепное давление диагностируется при помощи эхо-энцефалографии, а наличие эпилептических пароксизмов является показанием к проведению электроэнцефалографии. Также для визуализации образования, определения его локализации и размеров пациенту назначается ультразвуковое исследование или магниторезонансная томография.

Лечение

Консервативное лечение малоэффективно. Полное устранение кисты головного мозга возможно только хирургическим путем. Однако многие кисты не требуют активного лечения, так как имеют небольшие размеры и не предрасположены к увеличению. Такие образования нуждаются в постоянном динамическом наблюдении посредством использования компьютерной или магниторезонансной томографии. Нейрохирургического лечения требуют кисты, сопровождавшиеся симптомами гидроцефалии, прогрессивно увеличивающиеся в размерах, осложненные разрывом, кровотечением или сдавлением мозга. Выбор хирургической тактики в каждом конкретном случае проводится индивидуально.

Профилактика

В связи с тем, что приобретенная киста головного мозга в большинстве случаев является одним из вариантов разрешения инфекционных, сосудистых, воспалительных и посттравматическихинтракраниальных процессов, ее профилактикой является своевременное и корректное лечение указанных заболеваний.

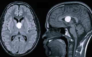
image

Киста головного мозга — объемное внутричерепное образование, представляющее собой наполненную жидкостью полость. Часто имеет скрытое субклиническое течение без увеличения размеров. Проявляется в основном симптомами внутричерепной гипертензии и эпилептическими пароксизмами. Возможна очаговая симптоматика, соответствующая расположению кисты. Диагностируется по результатам МРТ и КТ мозга, у детей грудного возраста — по данным нейросонографии. Лечение проводится при прогрессирующем росте кисты и развитии осложнений, состоит в хирургическом удалении или аспирации кисты.

МКБ-10

image image

Общие сведения

Киста головного мозга — локальное скопление жидкости в оболочках или веществе головного мозга. Киста малого объема, как правило, имеет субклиническое течение, выявляется случайно при нейровизуализирующем обследовании мозга. Киста большого объема из-за ограниченности внутричерепного (интракраниального) пространства приводит к внутричерепной гипертензии и сдавлению окружающих ее мозговых структур. Клинически значимый размер кист значительно варьирует в зависимости от их локализации и компенсаторных возможностей. Так, у детей раннего возраста, за счет податливости костей черепа зачастую наблюдается длительное латентное течение кист без признаков выраженной ликворной гипертензии.

Киста головного мозга может обнаруживаться в различные возрастные периоды: от новорожденности до пожилого возраста. Следует отметить, что врожденные кисты чаще проявляются в среднем возрасте (обычно в 30-50 лет), чем в детстве. Согласно общепринятой в клинической неврологии практике в отношении замерших или медленно прогрессирующих кист малого объема применяется наблюдательно-выжидательная тактика ведения.

image

Классификация кисты головного мозга

В зависимости от места расположения выделяют арахноидальную и внутримозговую (церебральную) кисту. Первая локализуется в мозговых оболочках и образуется за счет скопления цереброспинальной жидкости в местах их врожденной дупликатуры или спаек, сформировавшихся в результате различных воспалительных процессов. Вторая располагается во внутренних структурах головного мозга и формируется на участке погибшей в результате различных патологических процессов мозговой ткани. Отдельно выделяют также кисту шишковидной железы, кисту сосудистого сплетения, коллоидную и дермоидную кисты.

Все мозговые кисты по своему генезу классифицируются на врожденные и приобретенные. К исключительно врожденным относятся дермоидная и коллоидная киста головного мозга. В соответствии с этиологией среди приобретенных кист различают посттравматические, постинфекционные, эхинококковые, постинсультные.

Причины кисты головного мозга

Факторами, провоцирующими формирование врожденной кисты мозга, являются любые неблагоприятные воздействия на плод в антенатальном периоде. К ним относят фетоплацентарную недостаточность, внутриутробные инфекции, прием беременной лекарственных средств с тератогенным эффектом, резус-конфликт, гипоксию плода. Врожденные кисты и другие аномалии развития головного мозга могут возникнуть, если развитие плода происходит в условиях внутриутробной интоксикации при наркомании, алкоголизме, никотиновой зависимости будущей матери, а также при наличии у нее хронических декомпенсированных заболеваний.

Приобретенная киста формируется вследствие черепно-мозговой травмы, родовой травмы новорожденного, воспалительных заболеваний (менингита, арахноидита, абсцесса головного мозга, энцефалита), острых нарушений мозгового кровообращения (ишемического и геморрагического инсульта, субарахноидального кровоизлияния). Она может иметь паразитарную этиологию, например, при эхинококкозе, церебральной форме тениоза, парагонимозе Киста ятрогенного происхождения может сформироваться как осложнение операций на головном мозге. В ряде случаев различные дистрофические и дегенеративные процессы в головном мозге также сопровождаются замещением церебральных тканей кистой.

Отдельную группу составляют факторы, способные спровоцировать увеличение размеров уже имеющегося интракраниального кистозного образования. Подобными триггерами могут выступать травмы головы, нейроинфекции, воспалительные внутричерепные процессы, сосудистые нарушения (инсульты, затруднение венозного оттока из полости черепа), гидроцефалия.

Симптомы кисты головного мозга

Наиболее характерна манифестация мозговой кисты с симптомов интракраниальной гипертензии. Пациенты жалуются на практически постоянную цефалгию, ощущение подташнивания, не связанное с едой, чувство давления на глазные яблоки, понижение работоспособности. Могут отмечаться нарушения сна, шум или ощущение пульсации в голове, расстройства зрения (падение остроты зрения, двоение, сужение зрительных полей, появление фотопсий или зрительных галлюцинаций), легкая тугоухость, атаксия (головокружения, шаткость, дискоординация движений), мелкоразмашистый тремор, обмороки. При высокой внутричерепной гипертензии наблюдается повторяющаяся рвота.

В ряде случаев киста головного мозга дебютирует впервые возникшим эпилептическим пароксизмом, за которым следуют повторные эпиприступы. Пароксизмы могут носить первично-генерализованный характер, иметь вид абсансов или фокальной джексоновской эпилепсии. Очаговая симптоматика наблюдается гораздо реже общемозговых проявлений. В соответствии с локализацией кистозного образования она включает геми- и монопарезы, сенсорные расстройства, мозжечковую атаксию, стволовые симптомы (глазодвигательные расстройства, нарушение глотания, дизартрию и др.).

Осложнения

Осложнением кисты может являться ее разрыв, окклюзионная гидроцефалия, сдавление головного мозга, разрыв сосуда с кровоизлиянием в кисту, формирование стойкого эпилептогенного очага. У детей кисты, сопровождающиеся выраженной внутричерепной гипертензией или эписиндромом, могут обуславливать задержку психического развития с формированием олигофрении.

Отдельные виды кист головного мозга

Арахноидальная киста чаще имеет врожденный или посттравматический характер. Расположена в мозговых оболочках на поверхности мозга. Наполнена цереброспинальной жидкостью. По некоторым данным, до 4% населения имеют арахноидальные кисты головного мозга. Однако клинические проявления наблюдаются лишь в случае большого скопления жидкости в кисте, что может быть связано с продукцией ликвора выстилающими полость кисты клетками. Резкое увеличение размеров кисты угрожает ее разрывом, приводящим к смертельному исходу.

Киста шишковидной железы (пинеальная киста) — кистозное образование эпифиза. Отдельные данные свидетельствуют о том, что до 10 % людей имеют малые бессимптомные пинеальные кисты. Кисты диаметром более 1 см отмечаются намного реже и могут давать клиническую симптоматику. При достижении значительных размеров, киста шишковидной железы способна перекрывать вход в водопровод мозга и блокировать ликвороциркуляцию, обуславливая окклюзионную гидроцефалию.

Коллоидная киста составляет около 15-20% внутрижелудочковых образований. В большинстве случаев располагается в передней области III желудочка, над отверстием Монро; в отдельных случаях — в IV желудочке и в районе прозрачной перегородки. Наполнение коллоидной кисты отличается большой вязкостью. Основу клинических проявлений составляют симптомы гидроцефалии с приступообразным нарастанием цефалгии при определенных положениях головы. Возможны поведенческие расстройства, снижение памяти. Описаны случаи возникновения слабости в конечностях.

Киста сосудистого сплетения образуется при заполнении цереброспинальной жидкостью пространства между отдельными сосудами сплетения. Диагностируется в различном возрасте. Клинически проявляется редко, в отдельных случаях может давать симптоматику внутричерепной гипертензии или эпилепсии. Зачастую кисты сосудистых сплетений выявляются по данным акушерского УЗИ на 20-й неделе беременности, затем они самостоятельно рассасываются и примерно к 28-й неделе внутриутробного развития уже не обнаруживаются на УЗИ.

Дермоидная киста (эпидермоид) является аномалией эмбрионального развития, при которой клетки, дающие начало коже и ее придаткам (волосам, ногтям), остаются внутри головного мозга. Содержимое кисты наряду с жидкостью представлено элементами эктодермы (волосяными фолликулами, сальными железами и т. п.). Отличается происходящим после рождения быстрым увеличением в размерах, в связи с чем подлежит удалению.

Диагностика

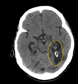
Клиническая симптоматика и данные неврологического статуса позволяют неврологу заподозрить наличие интракраниального объемного образования. Для проверки слуха и зрения пациент направляется на консультацию отоларинголога и офтальмолога; проводится аудиометрия, визиометрия, периметрия и офтальмоскопия, на которой при выраженной гидроцефалии отмечаются застойные диски зрительных нервов. Повышенное внутричерепное давление можно диагностировать при помощи эхо-энцефалографии. Наличие эпилептических пароксизмов является показанием к проведению электроэнцефалографии. Однако, опираясь лишь на клинические данные, невозможно верифицировать кисту от гематомы, абсцесса или опухоли головного мозга. Поэтому при подозрении на объемное образование мозга необходимо применение нейровизуализирующих методов диагностики.

image

Использование УЗИ позволяет выявить некоторые врожденные кисты еще в период внутриутробного развития, после рождения ребенка и до закрытия его большого родничка диагностика возможна при помощи нейросонографии. В дальнейшем визуализировать кисту можно посредством КТ или МРТ головного мозга. Для дифференцировки кистозного образования от опухоли мозга эти исследования проводят с контрастированием, поскольку в отличие от опухоли, киста не накапливает в себе контрастное вещество. Для лучшей визуализации кистозной полости возможно введение в нее контраста путем пункции кисты. В отличие от МРТ, КТ головного мозга дает возможность судить о вязкости содержимого кисты по плотности ее изображения, что учитывается при планировании хирургического лечения. Основополагающее значение имеет не только установление диагноза, но и непрерывное наблюдение за кистозным образованием для оценки изменения его объема в динамике. При постинсультном генезе кисты дополнительно прибегают к сосудистым обследованиям: дуплексному сканированию, УЗДГ, КТ или МРТ сосудов головного мозга.

Лечение кист головного мозга

Консервативная терапия малоэффективна. Лечение возможно только хирургическим путем. Однако большинство кист не нуждаются в активном лечении, поскольку имеют малый размер и не прогрессируют в размере. В отношении их проводится регулярное динамическое наблюдение при помощи МРТ- или КТ-контроля. Нейрохирургическому лечению подлежат кисты, клинически проявляющиеся симптомами гидроцефалии, прогрессивно увеличивающиеся в размере, осложненные разрывом, кровотечением, сдавлением мозга. Выбор метода операции и хирургического подхода осуществляется на консультации нейрохирурга.

В случаях тяжелого состояния пациента с расстройством сознания (сопор, кома) в экстренном порядке показано наружное вентрикулярное дренирование для уменьшения внутричерепного давления и сдавления мозга. В случае развития осложнений в виде разрыва кисты или кровоизлияния, а также при паразитарной этиологии кисты хирургическое вмешательство выполняется с целью радикального иссечения кистозного образования; хирургическим доступом является трепанация черепа.

В остальных случаях операция носит плановый характер и осуществляется преимущественно эндоскопическим способом. Преимуществом последнего является малая травматичность и укороченный восстановительный период. Для его осуществления необходимо лишь фрезевое отверстие в черепе, через которое выполняется аспирация содержимого кисты. С целью предупреждения повторного скопления жидкости в кистозной полости производится ряд отверстий, соединяющих ее с ликворными пространствами мозга, или осуществляется кистоперитонеальное шунтирование. Последнее предполагает имплантацию специального шунта, по которому жидкость из кисты поступает в брюшную полость.

В послеоперационном периоде проводится комплексная реабилитационная терапия, в которой при необходимости принимают участие нейропсихолог, врач ЛФК, массажист, рефлексотерапевт. Медикаментозная составляющая включает рассасывающие средства, препараты, улучшающие кровоснабжение и метаболизм головного мозга, противоотечные и симптоматические медикаменты. Параллельно с целью восстановления мышечной силы и чувствительной функции, адаптации пациента к физическим нагрузкам, проводится физиотерапия, ЛФК, массаж, рефлексотерапия.

Прогноз

Клинически незначимая замершая киста головного мозга в большинстве случаев сохраняет свой непрогрессирующий статус и никак не беспокоит пациента в течение жизни. Своевременно и адекватно проведенное хирургическое лечение клинически значимых кист обуславливает их относительно благоприятный исход. Возможен остаточный умеренно выраженный ликворно-гипертензионный синдром. В случае формирования очагового неврологического дефицита он может иметь стойкий резидуальный характер и сохраняться после проведенного лечения. Эпилептические пароксизмы зачастую проходит после удаления кисты, но затем часто возобновляются, что обусловлено формированием спаек и другими изменениями прооперированной области мозга. При этом вторичная эпилепсия отличается резистентностью к проводимой антиконвульсантной терапии.

Профилактика

Поскольку приобретенная киста головного мозга зачастую является одним из вариантов разрешения инфекционных, сосудистых, воспалительных и посттравматических интракраниальных процессов, то ее профилактикой является своевременное и корректное лечение указанных заболеваний с применением нейропротекторной и рассасывающей терапии. В отношении врожденных кист профилактикой служит охранение беременной и плода от влияния различных вредоносных факторов, корректное ведение беременности и родов.

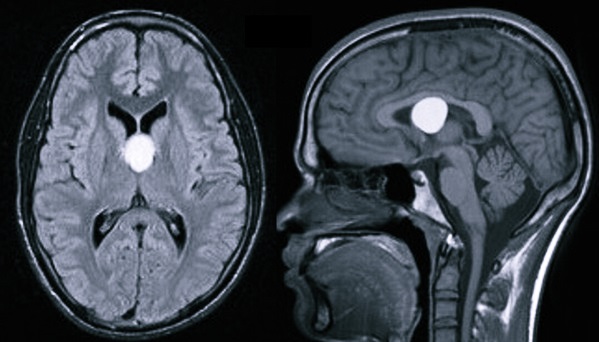
image

Киста головного мозга – довольно опасный для человека диагноз, после установления которого необходимо строго соблюдать все предписания и рекомендации лечащего врача. Если заболевание было выявлено на ранних стадиях и пациент выполняет все указания, то в большинстве случаев удается предотвратить проявление нежелательных осложнений. Кистообразная опухоль может находиться в любом месте черепной коробки: именно от этого в большей мере и зависят развитие патологии и особенности лечения.

Что это такое?

Киста в головном мозге – это объемное доброкачественное образование внутри черепной коробки, которое имеет вид полости, заполненной жидкостью. Нередко оно имеет скрытое субклиническое течение, не сопровождающееся постепенным увеличением габаритов. В основном подозрение на появление кисты внутри головы возникает, если человек страдает эпилептическими пароксизмами либо внутричерепной гипертензией. Одной из особенностей данного заболевания головного мозга является то, что у значительной доли пациентов проявляются симптомы, соответствующие очагу образования кисты – это означает, что для диагностики достаточно всего лишь КТ и МРТ, а также нейросонографии для обследования новорожденного младенца или уже подросшего ребенка.

Многие современные нейрохирурги утверждают, что при правильном подходе к лечению локальное скопление жидкости во внутримозговом веществе либо оболочках не представляет слишком большой опасности ни для взрослого пациента, ни для ребенка.

image

Маленькие по размеру образования обычно отличаются субклиническим течением и поэтому их выявляют совершенно случайно путем нейровизуализирующего обследования головы. Если же киста имеет достаточно большие объемы, то из-за ограниченного интракраниального пространства она может стать причиной развития внутричерепной гипертензии, впоследствии чего произойдет сильное сдавливание соседних мозговых структур.

Клинически значимые размеры этого доброкачественного образования значительно варьируются и зависят от места его возникновения, а также компенсаторных возможностей кисты. Например, у маленького ребенка черепные кости более податливые, за счет чего латентное течение заболевания на протяжении долгого времени не сопровождается выраженной ликворной гипертензией.

Диагностировать образование можно в самые разные периоды человеческой жизни: начиная с рождения и заканчивая пожилым возрастом. Одна из специфических особенностей болезни заключается в том, что даже врожденная киста в голове у взрослого пациента чаще всего обнаруживается после достижения им 30-50-летнего возраста, а не в младенчестве.

Классификация

Кисты, которые образуются внутри оболочек головного мозга, разделяют на несколько видов по месту их локализации:

  1. Арахноидальные – это заполненные жидкостью пазухи, возникающие между двумя соседними мозговыми оболочками;
  2. Внутримозговые – доброкачественные опухоли, месторасположением которых является толща тканей левого или правого полушария головного мозга.

Кроме того, специалисты классифицируют кисты и по происхождению:

  • Врожденные – следствие значительного нарушения внутриутробного развития плода. Также распространенной причиной болезни в данном случае может стать гибель большей части тканей мозга из-за внутриродовой асфиксии;
  • Приобретенные – этот вид кисты развивается, как правило, вследствие получения различных травм головы, сильных кровотечений либо воспалительных процессов, имеющих разную природу.

image

Еще одна классификация основана на особенностях тканей, из которых была сформирована обнаруженная киста:

  1. Арахноидальная – киста, напоминающая небольшое сферическое образование, внутри которого находится спинномозговая жидкость. Следует отметить, что женщины страдают от нее гораздо реже, чем мужчины. Если опухоль не увеличивается со временем, то врачи не проводят пациенту оперативное вмешательство: осуществляется только регулярное наблюдение с целью выявления возможных изменений. В противном случае нельзя пренебрегать хирургическим методом удаления образования.
  2. Киста коллоидального типа – она представляет собой доброкачественное образование, развитие которого начинается еще при формировании центральной нервной системы (ЦНС). Обычно заболевание протекает без каких-либо симптомов до той поры, пока не достигнет критических параметров. После этого начинается блок оттока жидкости, которая проходит через головной мозг, и зачастую развивается гидроцефалия. В таких условиях назначается срочная операция, чтобы убрать опасную опухоль.
  3. Дермоидальную кисту еще нередко называют дермоидом – это аномалия развития человеческого головного мозга, при котором зародышевые клетки, предназначающиеся для формирования тканей лобной, височной и других частей фронтальной стороны лица, продолжают оставаться между спинным и головным мозгом. Тут поможет только хирургия.
  4. Эпидермоидная (эпидермоид) – разновидность кисты, характерной особенностью которой является формирование из зародышевых клеток, требующихся человеку для развития кожи, ногтей и волос. Избавиться от нее с помощью медикаментозных средств невозможно, необходим лишь хирургический способ устранения этого сплетения;
  5. Пинеальная киста – шишковидное тело, которое может иметь разные размеры. Ее диагностируют примерно у 1-4% пациентов. Характерным симптомом заболевания является возникновение достаточно сильной головной боли в случае поднятия глаз кверху, но у большинства людей киста не вызывает дискомфорта.

Причины возникновения

К факторам, которые оказывают влияние на появление врожденной кисты головного мозга, относятся практически все неблагоприятные воздействия на плод в антенатальный период беременности. Наиболее распространенными причинам развития болезни называют следующие:

  1. Проникновение в кровь плода различных внутриутробных инфекций;
  2. Фетоплацентарная недостаточность;
  3. Если женщина в период вынашивания ребенка принимала лекарственные препараты, которые оказывают тератогенное действие;
  4. Резус-конфликт;
  5. Гипоксия плода;
  6. Травма во время родов;
  7. Если внутриутробное развитие ребенка происходило в условиях отравления наркотическими средствами, никотином либо спиртными напитками;
  8. Если у будущей матери диагностировали хроническую декомпенсированную болезнь.

Киста приобретенного типа имеет другие причины развития:

  1. Получение черепно-мозговой травмы в любом возрасте;
  2. Нанесение достаточно сильного удара в затылочную и теменную область;
  3. Перенесение разных заболеваний воспалительной этиологии, к которым относятся арахноидит, энцефалит, менингит, а также абсцесс головного мозга;
  4. Ряд острых нарушений внутримозговой циркуляции крови, наступающих после приступа геморрагического либо ишемического инсульта, церебрального паралича тела, субарахноидального кровоизлияния в мозг;
  5. Постинсультное осложнение;
  6. Лакунарный инсульт и инфаркт мозга;
  7. Субэпидермальная ишемия;
  8. Постгеморрагическое осложнение.

Нередко приобретенная опухоль имеет паразитарное происхождение (при парагоминозе, эхинококкозе, церебральном тениозе).

Врачи выделяют тип образования с ятрогенным происхождением. Фактором, вызывающим его, называют послеоперационные осложнения. Кроме того, в голове могут протекать дегенеративные либо дистрофические процессы, провоцирующие замещение кистой церебральных тканей.

  1. Различные нейроинфекции;
  2. Всевозможные травмы головы разной степени тяжести;
  3. Протекание воспалительных процессов внутри черепной коробки, вне зависимости от их природы;
  4. Развитие гидроцефалии;
  5. Сосудистые нарушения, включая инсульт и ухудшение венозного оттока из черепной полости.

Симптомы заболевания

Киста головного мозга зачастую имеет следующие симптомы:

  1. Часто повторяющиеся и продолжительные приступы головной боли;
  2. Регулярные головокружения;
  3. Внутри черепной коробки ощущается сильная пульсация в левом и правом полушарии, которая практически всегда мучает пациента;
  4. Мешает полноценно жить чувство давления, а также распирания в голове;
  5. Заметное ухудшение координации движений всех частей тела;
  6. Нарушение слуха и появление постороннего шума в ушах;
  7. Ухудшение зрения, которое может проявляться размытостью объектов и их раздвоением;
  8. Возникновение галлюцинаций;
  9. Значительное снижение уровня чувствительности поверхности кожных покровов;
  10. Паралич;
  11. Парез верхних и нижних конечностей;
  12. Развитие рассеянного склероза;
  13. Базальный пневмосклероз;
  14. Аневризма кровеносных сосудов;
  15. Довольно частые эпилептические припадки;
  16. Выраженный тремор верхних и нижних конечностей;
  17. Частые потери сознания;
  18. Приступы тошноты, обычно сопровождающиеся рвотой;
  19. Отсутствие полноценного сна.

Специалисты утверждают, что если опухоль обладает клинически незначимыми параметрами, то в большинстве случаев полностью отсутствуют какие-либо из множественных признаков заболевания. Однако при достижении полостью крупных объемов за короткий промежуток времени проявляется характерная клиническая картина, особенности которой определяются локализацией опухоли, силой сдавливания окружающих ее тканей и степенью ухудшения оттока церебральной мозговой жидкости.

Особенности диагностики

На сегодняшний день основными методами диагностики и последующего прогноза данной болезни являются МРТ (магнитно-резонансная томография) и КТ. Полученная томограмма показывает состояние всех составляющих мозга (эпифиза, мозжечка, гипофиза, нервных ганглий и других частей). С ее помощью можно увидеть место расположения перивентрикулярного глиозного очага и атрофических рубцовых следов внутри головного мозга без вскрытия черепной коробки, оценить их форму, размеры и интраселлярный рост.

Кроме того, данные способы обследования позволяют сделать дифференциальную диагностику промежуточного состояния между доброкачественной кистой и злокачественной опухолью. После внутривенного введения специального контрастного вещества его продукт накапливается в опухолевых тканях, а киста при этом не становится контрастной.

image

Также нередко проводится эндоскопия и доплеровское ультразвуковое сканирование кровеносных сосудов с целью исследования их состояния, кровоснабжения тканей мозга, выявления локализации ишемии, в которой и активизируется образование кист.

Для уточнения диагноза врач может назначить пациенту ЭКГ и Эхо-КГ, использующиеся для проверки наличия симптомов сердечной недостаточности, присутствия сбоев в работе сердца, приводящих к ухудшению кровоснабжения всех частей мозга и появлению зон ишемии.

Бывает, что пациентам назначаются и другие анализы:

  1. Проведение анализов крови для точного определения причины заболевания;
  2. Определение маркеров воспаления;
  3. Выявление различных аутоиммунных процессов, негативно сказывающихся на общем состоянии организма;
  4. Исследование степени свертываемости крови;
  5. Определение концентрации холестерина в крови;
  6. Наличие инфекций в организме пациента.

Лечение

Если у человека диагностирована киста головного мозга, необходимо подобрать лечение, которое будет максимально эффективным и позволит полностью вылечить данное заболевание, приостановить увеличения размеров кисты, а также предотвратить возникновение каких-либо осложнений.

Способ лечения болезни зависит от локализации образования и его размеров. Если параметры кисты соответствуют установленным нормам и не несут опасности для человеческой жизни, то, как правило, назначается традиционная терапия: гомеопатия с применением индивидуально подобранных препаратов, к которым у пациента нет никаких противопоказаний. Достаточно часто назначаются лекарства, содержащие железо. Такие медикаменты способствуют укреплению кровеносных сосудов и улучшению кровоснабжения.

image

Если киста постепенно увеличивается в размерах, оказывая повышенное давление на соседние части головного мозга, то не следует ждать, пока она рассосется самостоятельно. Подобный случай, как и заметное ухудшение самочувствия пациента, является показанием к хирургическому вмешательству и проведению операции с помощью лазера. Данная процедура позволяет полностью избавиться от полости, наполненной жидкостью.

Многие люди занимаются лечением народными средствами. Согласно результатам многочисленных исследований, положительно влияют на лечение заболевания средства, приготовленные на основе девясила и лопуха. Они замедляют рост кисты, улучшают кровообращение, нормализуют внутричерепное давление. Кроме того, часто врачи рекомендуют человеку, в головном мозге которого выявлена киста, соблюдать сбалансированное диетическое питание.

Киста головного мозга считается одним из достаточно распространенных заболеваний. Даже с учётом, что это доброкачественное образование, оно может привести к серьезным последствиям. Поэтому за кистой даже маленького объема требуется постоянное наблюдение. Чтобы вылечиться и забыть о данной проблеме, пациенту необходимо строго соблюдать все назначения лечащего врача. Таким образом, можно избежать хирургического вмешательства и обойтись только лекарственными препаратами и средствами народной медицины.

Читайте также:

Ссылка на основную публикацию
Похожее