Геморрагический ушиб головного мозга

Геморрагический ушиб головного мозга — вид интракраниального (внутричерепного) кровоизлияния часто встречающийся при выраженной черепно-мозговой травме.

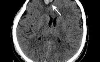
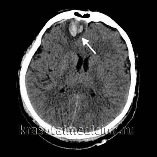
Геморрагические ушибы головного мозга при компьютерной томографии обычно проявляются зонами гиперденсивной плотности в основании лобных долей, прилежащих к дну передней черепной ямки, а так же в полюсах височных долей.

Эпидемиология

Ушиб, по определению, результат травмы головы, и таким образом чаще встречается у молодых мужчин. Типичные причины включают дорожно-транспортные проишествия или ситуации при которых происходит удар головы о твердую поверхность.

Патология

Большинство ушибов возникает за счет противоудара головного мозга о внутренние поверхности естественных выступов черепа.

Классификации

  • соответствует IV типу по классификации Корниенко
  • учитывается в оценке по классификации Marshall

Сопутствующая патология

  • внутрижелудочковое кровоизлияние в ~2.5% [7]

Диагностика

Ушибы головного мозга могут встречаться в любой части головного мозга, но чаще имеют склонность к определенным локализациям, обусловленным направлением удара и внутренней формой полости черепа.

  • дно передней черепной ямки
  • полюс височной доли
  • зона удара и противоудара

Кортикальные ушибы, обычно, лучше визуализируются на контрольных исследованиях за счет увеличения объёма и развития перифокального отека. Следовательно, на контрольном КТ исследовании, в первые несколько дней после травмы, может наблюдаться увеличение числа и размеров поражений, без ухудшения клинического состояния пациента. Дальнейшее проявление ушиба будет варьировать в зависимости от сроков получения изображений.

Как правило, они созревают в течение нескольких недель: в начале появляются лишь как геморрагические очаги, в последующем, как очаги с развитием перифокального отека, затем постепенно угасают, оставляя после себя более или менее отграниченные зоны глиоза.

Компьютерная томография

В большинстве клиник КТ является первым и единственным методом, используемым в оценке ушиба головного мозга. Чувствительность КТ в диагностике внутримозговых кровоизлияний составляет 100%.

Плотность крови, выраженная в единицах Хаусфилда, зависит от концентрации белков и гематокрита.

При гематокрите 45% плотность крови составляет ~56 HU, в то время как плотность серого вещества 37-41 HU, а белого вещества 30-34 HU. Таким образом, кровь должна быть гиперденсивна относительно серого или белого вещества. Обратите внимание, у пациентов с анемией (уровень гемоглобина < 8-10 g/dL) кровь может быть изоденсивной при остром кровоизлиянии.

Ушибы варьируют в размерах от мелких петехиальных гиперденсивных фокусов в сером и субкортикальном белом веществе до крупных кортикально/субкортикальных кровоизлияний.

Магнитно-резонансная томография

Не рутинно, МРТ полезно для диагностики кортикальных ушибов, поскольку имеет большую чувствительность к мелким ушибам, особенно при использовании T2* последовательностей, например SWI.

Интенсивность МР сигнала зависит от применяемой последовательности и времени прошедшего от начала кровоизлияния.

Диагностические сложности

Основная сложность заключается в диагностике малых ушибов рядом с основанием черепа, где их визуализация на КТ затруднена за счет артефактов от костей основания черепа.

Дифференциальный диагноз

  • диффузное аксональное повреждение
  • кавернозная венозная мальформация:
    • ушиб головного мозга и продукты крови с течением времени подвергается обратному развитию, в то время как кавернозная мальформация не изменяется с течением времени или даже наоборот, развивается повторное кровоизлияние
    • ищите связь с венозной аномалией
  • геморрагический инсульт
    • наличие отека на начальной стадии
    • значительно снижен ИКД
  • венозный инсульт
    • атипичная локализация кровоизлияния
    • наличие травмы в анамнезе

Литература

  1. Craig Hacking, Frank Gaillard et al. Cerebral haemorrhagic contusion Radiopaedia.org

Ушиб головного мозга

Ушиб головного мозга — вид черепно-мозговой травмы, сопровождающийся ограниченными морфологическими изменениями церебральных тканей. Проявляется утратой сознания, амнезией, рвотой, головокружением, анизокорией, различной очаговой симптоматикой, менингеальным симптомокомплексом, изменениями сердечного и дыхательного ритма. Основной метод диагностики — КТ головного мозга. Консервативное лечение: коррекция жизненно важных функций, нормализация внутричерепного давления, нейропротекторная терапия. Хирургическое лечение производится строго по показаниям, включает трепанацию черепа, декомпрессию и удаление очагов ушиба.

Общие сведения

Ушиб головного мозга (УГМ) составляет порядка 25-30% всех черепно-мозговых травм (ЧМТ). Отличием ушиба мозга от его сотрясения является наличие морфологических посттравматических изменений в церебральных тканях. Различают три степени тяжести ушиба. Первая, наряду с сотрясением головного мозга, относится к легким ЧМТ, вторая — к ЧМТ средней тяжести, третья — к тяжелым ЧМТ. Оценку тяжести ушиба осуществляют по степени расстройств сознания, тяжести состояния пострадавшего, выраженности неврологического дефицита, данным томографических исследований. По данным статистики, в России ушиб головного мозга распределяется по степеням тяжести следующим образом: легкий — 33%, средней тяжести — 49%, тяжелый — 18%.

Ушиб головного мозга в 2-3 раза чаще наблюдается у лиц мужского пола. По различным данным в 5-20% случаев этого вида ЧМТ выявляется алкогольное опьянение пострадавшего. В настоящее время тяжелый ушиб головного мозга выступает одной из ведущих причин летальности и инвалидизации среди лиц в возрасте до 45 лет. В связи с этим своевременность диагностики и поиск оптимальных способов лечения УГМ являются приоритетными задачами травматологии, нейрохирургии, неврологии и реабилитологии.

image

Ушиб головного мозга

Причины ушиба головного мозга

Ушиб головного мозга возможен в результате транспортной аварии, профессиональной, бытовой, криминальной или спортивной травмы. В детском дошкольном возрасте УГМ обусловлен преимущественно различного рода падениями. Ушиб мозга может произойти при внезапном падении пациентов во время пароксизма эпилепсии или дроп-атаки. Зачастую УГМ сопровождается переломом черепа, в половине случаев — внутричерепным кровотечением (субарахноидальным кровоизлиянием, образованием субдуральной или внутримозговой гематомы).

Патофизиология УГМ включает первичное и вторичное повреждение. Первичное повреждение происходит непосредственно при травме и обусловлено смещением мозга в черепной коробке, смещением полушарий по отношению к стволу мозга, гидродинамическим фактором. В результате возникают структурные повреждения нейронов и клеток глии, разрывы синаптических связей, сосудистые повреждения и тромбозы. Очаги УГМ могут иметь единичный и множественный характер, локализуются не только в зоне удара, но и в области противоудара. Вторичное повреждение является следствием деструктивных метаболических процессов, инициируемых первичным повреждением. В области ушиба развивается асептическое воспаление и отек, нарушается кровообращение и метаболизм нейронов. Все это приводит к расширению зоны ушиба. Исходом первичного и вторичного повреждения является некроз нейронов, который и обуславливает возникновение неврологического дефицита.

Симптомы ушиба головного мозга

УГМ легкой степени сопровождается утратой сознания до десятков минут. Затем наблюдается умеренная оглушенность, сонливость, может быть неполная ориентация во времени и в окружающем. Пострадавшие жалуются на постоянную цефалгию (головную боль), слабость, тошноту, головокружение. Отмечается не дающая облегчения рвота, возможно многократная. Наблюдается амнезия: пациент не помнит предшествовавшие ЧМТ события (ретроградная амнезия) и еще некоторое время после травмы не может запомнить того, что с ним происходит (антероградная амнезия). Зачастую развивается тахикардия или, наоборот, брадикардия, реже — артериальная гипертензия.

В неврологическом статусе: анизокория, нистагм, асимметричность сухожильных рефлексов, невыраженный менингеальный симптомокомплекс, может быть легкий гемипарез. Когда УГМ сопровождается субарахноидальным кровоизлиянием, менингеальный симптомокомплекс ярко выражен. При легкой степени ушиба все указанные проявления регрессируют в период от 2-х до 3-х недель.

УГМ средней степени проявляется бессознательным состоянием в течение от десятков минут до 4-5 ч. При восстановлении сознания наблюдается интенсивная цефалгия, повторная рвота, кон-, антеро- и ретроградная амнезия. Амнезия, умеренное или глубокое оглушение и дезориентация могут сохраняться до нескольких суток. Возможны психические отклонения. Зачастую имеет место субфебрилитет, бради- или тахикардия, артериальная гипертензия, учащенное дыхание. В неврологическом статусе выявляются очаговые симптомы, варьирующие в зависимости от локализации зоны ушиба. Как правило, отмечаются различной выраженности гемипарезы и гемигипестезия, нарушения речи (моторная афазия), анизокория и глазодвигательные расстройства. Обычно указанная симптоматика постепенно исчезает спустя 4-6 недель после ЧМТ.

УГМ тяжелой степени отличается большей длительностью бессознательного состояния (до нескольких недель). Зачастую имеет место моторное возбуждение. Тяжелый ушиб головного мозга протекает с дисфункцией жизненно важных систем: артериальной гипотонией или гипертензией, тахи- или брадиаритмией, нарушением дыхательного ритма на фоне тахипноэ. В начальном периоде после ЧМТ доминирует стволовая симптоматика: тонический нистагм, двусторонний птоз и мидриаз, децеребрационная ригидность, дисфагия, двусторонние стопные патологические рефлексы, симметричная гипо- или гиперрефлексия. На этом фоне выявляются признаки поражения полушарий: гемипарез, гемигипестезия, оральный автоматизм и др. Возможна гипертермия до 41°C, судорожные пароксизмы. Неврологическая симптоматика имеет длительное течение и не регрессирует в полной мере. Различной выраженности психические и/или неврологические изменения остаются в качестве стойких резидуальных следствий ЧМТ.

Диагностика ушиба головного мозга

Основным методом диагностики УГМ в современных условиях является КТ головного мозга. Томографическая картина отличается в зависимости от тяжести ушиба. При легкой степени очаги с уменьшенной плотностью выявляются лишь в 40-50% случаев. В зоне ушиба на томограммах отмечается отечность, петехиальные кровоизлияния. Отечность может распространяться на всю долю мозга или даже на целое полушарие, приводить к умеренному сужению ликворных пространств.

image

Аксиальная КТ головного мозга без контрастного усиления. Определяется контузионный очаг в правой лобной доле, представленный геморрагическим компонентом, зоной детрита и отека

Ушиб средней тяжести характеризуется наличием на томограммах очагов ушиба в виде зон пониженной плотности. При геморрагическом пропитывании очаг ушиба может иметь повышенную плотность. При тяжелом ушибе томография визуализирует очаги как повышенной, так и пониженной плотности. В первом случае речь идет о сгустках крови, во втором — об участках размозжения и отека. При крайне тяжелых поражениях зона деструкции церебральной ткани уходит вглубь к подкорковым структурам.

В ходе лечения КТ также проводят в динамике. Наблюдения показывают, что в случае легкой или средней тяжести ушиба с течением времени происходит полное исчезновение очаговых изменений. В случае тяжелого УГМ наблюдается уменьшение площади очагов деструкции, а затем их трансформация в кисты головного мозга или участки атрофии. Чем тяжелее ЧМТ, тем более медленно проходят указанные изменения, визуализируемые при помощи КТ.

Лечение ушиба головного мозга

Ушиб головного мозга является однозначным показанием к госпитализации пострадавшего. Лечение проводят неврологи и нейрохирурги, а затем реабилитологи. Консервативная терапия включает, прежде всего, нормализацию жизненно важных функций: коррекцию гемодинамики с постоянным мониторингом АД, дыхательную поддержку, мониторинг и коррекцию внутричерепного давления (фуросемид, ацетазоламид, маннитол). Проводится нейропротекторное лечение (эритропоэтин, цитиколин, прогестерон, статины) и симптоматическая терапия (коррекция гипертермии, противосудорожная терапия, купирование головной боли, противорвотные средства и т. п.).

В 15-20% УГМ осуществляется хирургическое лечение. Оно показано при развитии сдавления головного мозга и дислокационном синдроме, при наличии очага размозжения объемом более 30 см³, очага объемом 20-30 см³ с масс-эффектом и смещением срединных структур более 5 мм или при наличии более мелких очагов, сопровождающихся прогрессивным усугублением неврологической симптоматики.

Операция проводится путем трепанации черепа. При наличии объемного очага размозжения производится его удаление. Осуществляется костно-пластическая трепанация черепа, при которой после удаления очага костный и кожно-апоневротический лоскуты устанавливаются на место. При высоких цифрах внутричерепного давления операцию дополняют декомпрессионной трепанацией черепа. Если очаги размозжения имеют маленький объем, но сопровождаются выраженной отечностью мозговых тканей, показана декомпрессионная трепанация без удаления очагов.

Прогноз при ушибе головного мозга

Последствиями УГМ могут быть посттравматическая гидроцефалия; локальная церебральная атрофия; формирование субдуральной гигромы, хронической субдуральной гематомы, посттравматической церебральной кисты; возникновение посттравматического арахноидита, оболочечно-мозговых спаек, приводящих к возникновению эпилепсии или различных форм психопатии. В отдаленном будущем ушиб головного мозга может обуславливать развитие болезни Паркинсона или болезни Альцгеймера.

Легкий УГМ обычно имеет благоприятный исход с полным восстановлением неврологических и психических функций. УГМ средней тяжести при своевременном и адекватном лечении также приводит к выздоровлению. После него могут наблюдаться гидроцефалия, вегето-сосудистая дистония, астения, легкое нарушение координации движений. Тяжелый УГМ приводит к летальному исходу примерно в 30% случаев. Среди выживших большой процент инвалидов. Основными причинами инвалидизации выступают: эпилепсия, психические расстройства, парезы и параличи, нарушения речи.

​МРТ в диагностике черепно-мозговой травмы.

​МРТ в диагностике черепно-мозговой травмы.

Черепно-мозговая травма — важнейшая медико-социальная проблема настоящего времени.

В нашей стране статистика по количеству черепно-мозговых травм практически не публикуется, но в мире подсчитано — травмы головного мозга различной степени тяжести происходят от 229 до 1967 раз на 100 тысяч населения в год. Читать далее…

У взрослых ее главными причинами служат автомобильные аварии и несчастные случаи на производстве, у детей — подвижные игры и падения. Характерна высокая летальность, а также сохранение выраженных неврологических или психических расстройств, в том числе, даже после легких или среднетяжелых черепно-мозговых травм, что становится причиной нетрудоспособности пострадавших.

Усовершенствование диагностики черепно-мозговой травмы, появление таких высокоточных методов нейровизуализации, как МРТ головы, привело к возможности постановки достоверного диагноза на максимально ранних этапах патологического процесса, своевременности начатого лечения, что способствует снижению летальности и числа осложнений.

Записаться на МРТ-диагностику головного мозга можно здесь

Какие травмы головного мозга диагностируются при проведении МРТ-исследования?

Рассмотрим основные виды первичного повреждения головного мозга, выявляемые при МРТ исследовании:

1. Ушибы головного мозга

Что это такое? Ушиб головного мозга — это травма, при которой происходит поражение непосредственно тканей головного мозга, всегда сопровождающаяся наличием некроза нервной ткани.

Выделяют очаги нескольких типов:

Ушибы I типа — цитотоксический отек;

Ушибы II типа — инфильтративные глиальные изменения + мелкоточечные петехиальные геморрагии;

Ушибы III тип — чередование очагов отека и фокальных внутримозговых гематом (соотношение отека и геморрагического компонента в виде внутримозговых гематом — 50х50%);

Ушибы IV типа — внутримозговые гематомы

На рисунке — Т2-ВИ Т1-ВИ

Контузионный геморрагический очаг правой лобной доли III типа; пластинчатая субдуральная гематома (подострая стадия)

На рисунке — обширные множественные ушибы лобно-височной локализации с наличием внутримозговых и субдуральных гематом

На рисунке — контузионные очаги II-го (справа) и III-го (слева) типов

На рисунке — геморрагические контузионные очаги (ранняя подострая стадия)

На рисунке — контузионные очаги в левой лобной и левой затылочной: в левой лобной доле — подострая внутримозговая гематома, в левой затылочной доле — зона постгеморрагической кистозно-глиозной трансформации

Если МРТ головного мозга показало… Ответы на самые частые вопросы — здесь

2. Диффузные аксональные повреждения (ДАП)

Что это? Диффузные аксональные повреждения являются одним из наиболее частых первичных повреждений головного мозга у больных с тяжелой закрытой черепно-мозговой травмой. Повреждение вызывается ротационными силами сдвига, ускорения и торможения, которые смещают белое и серое вещество относительно друг друга, т.к. они имеют разную плотность, что ведет за собой разрыв аксонов, их отек и нарушение аксоноплазмического транспорта.

Каков прогноз при диффузных аксональных повреждениях головного мозга?

Тяжелое ДАП является причиной комы и неблагоприятных исходов у половины пациентов с такой травмой. Характерным для ДАП является распределение точек максимального повреждения вдоль трактов белого вещества. Около 2/3 повреждений выявляется в белом веществе на уровне кортикомедуллярного соединения, включая лобно-парасагиттальную область, височно-перивентрикулярную, менее часто теменную и затылочную области. Мозолистое тело вовлечено в патологический процесс практически всегда, особенно его валик и задние отделы корпуса.

На рисунке — ДАП. Очаговые поражения мозолистого тела и нижней лобной извилины слева

На рисунке — МР-картина контузионных смешанных очагов (I и III типа) правой височной доли. Множественные очаговые изменения мозолистого тела (более вероятно проявления негеморрагического диффузного аксонального повреждения). Ушиб мягких тканей правой лобно-теменной области

Почему КТ входит в неотложные обследования при черепно-мозговой травме? Узнать здесь

3. Внутричерепные кровоизлияния (эпидуральные, субдуральные, внутримозговые гематомы)

Что такое внутричерепные кровоизлияние и какими они бывают?

Гематома — это ограниченное скопление крови, возникающее при закрытых повреждениях, сопровождающихся разрывом сосуда и излитием крови в окружающие ткани.

Какие гематомы бывают?

По локализации посттравматические внутричерепные гематомы делятся на:

— субдуральные;

— эпидуральные;

— внутримозговые

Субдуральная гематома — это скопление крови между твердой оболочкой головного мозга (ТМО) и паутинной оболочкой, происходящее обычно вследствие разрыва сосуда на поверхности мозга. В большинстве случаев, субдуральные гематомы располагаются на обширной территории над лобными и теменными долями.

В противоположность эпидуральным гематомам, которые обычно не распространяются за пределы костных швов черепа, субдуральные гематомы могут быть очень протяженными по площади, распространяясь от серпа мозга до намета мозжечка.

Гематома головного мозга — это опасно?

Острые субдуральные гематомы вследствие травмы наиболее опасные из всех повреждений мозга, и если их вовремя не диагностировать и не провести хирургическое вмешательство, сопровождаются наибольшей летальностью.

Узнать стоимость исследования КТ головного мозга в вашем городе

На рисунке — субдуральная гематома левого полушария (подострая стадия)

На рисунке — подострая межполушарная оболочечная гематома (без смещения срединных структур на уровне falx cerebri)

На рисунке — хроническая субдуральная гематома

Эпидуральная гематома — это кровоизлияние, локализующееся между костями черепа и твердой мозговой оболочкой (ТМО).

Где локализуется эпидуральная гематома? Обычно эпидуральные гематомы локализуются в височных и теменных областях в зоне перелома кости черепа. Иногда эпидуральные гематомы встречаются в задней черепной ямке и на основании черепа.

На рисунке — подострая эпидуральная гематома правой лобной области

На рисунке — подострая эпидуральная гематома левой лобной области

На рисунке — ранняя подострая фаза эпидуральной гематомы левой височной области. Имеется противоударный очаг ушиба правой височной доли

Как образуются внутричерепные гематомы?

Внутримозговые гематомы чаще всего являются результатом проникающих ранений, либо образуются после закрытой ЧМТ. Подобно контузионным ушибам, они, как правило, локализуются в лобной и теменных областях, при этом кровоизлияние сопровождается образованием сгустка, который внедряется в глубинное белое вещество мозга, либо происходит травматический разрыв перфорирующих сосудов глубоко в веществе мозга. Возникшее кровотечение распространяется вдоль аксонов белого вещества, образуется гематома, формируется сгусток, происходит его ретракция.

На рисунке — острые внутримозговые гематомы правой лобной области (первые сутки после травмы)

На рисунке — подострая внутримозговая гематома правой лобной области в сочетании с подострой субдуральной гематомой справа

4. Травматические субарахноидальные кровоизлияния (САК)

Черепно-мозговая травма является частой причиной субарахноидальных кровоизлияний как следствие повреждения мелких сосудов арахноидальной оболочки.

Риск развития САК у очень молодых или пожилых пациентов выше, так как их субарахноидальные пространства относительно шире. Нередко кровь из внутримозговой гематомы через эпендиму может проникнуть в желудочковую систему, далее с диссеминацией ее через интравентрикулярный ликвор в субарахноидальные пространства — другой источник субарахноидальных кровоизлияний.

На рисунке — субарахноидальное кровоизлияние (6 сутки после ЧМТ)

Какие вторичные повреждения головного мозга выявляются при МРТ-исследовании?

1. Отек мозга

Что это? Отек головного мозга представляет собой увеличение объема мозга за счет повышения содержания в нем воды. При посттравматических нарушениях водно-электролитного баланса определяется закономерное перераспределение жидкости внутри глиальных и нервных клеток (набухание) и межклеточном пространстве (отек).

При очаговых ушибах чаще развивается локальный, перифокальный или полушарный отек мозга, значительно реже — диффузный. Для диффузно-аксональных повреждений (ДАП) более характерно развитие диффузного набухания мозга, что ведет к внутричерепной гипертензии и аксиальному смещению мозга, являясь одним из наиболее угрожающих жизни состояний.

На современном этапе развития диагностики МРТ является методом выбора в выявлении отека мозга, который может привести к тяжелым последствиям.

Узнать стоимость исследования и записаться на МРТ головного мозга можно здесь

Поэтому именно МРТ-исследование показано пациенту с ЧМТ при нарастающей отрицательной клинической симптоматике.

На рисунке — обширный вазогенный отек вокруг очага ушиба правой лобной области

На рисунке — обширная зона цитотоксического отека в правой височно-теменной области

2. Смещения и деформации мозга (вклинения)

Вторичные посттравматические повреждения мозга нередко ведут к усилению тяжести состояния больного и могут быть более серьезными и угрожающими жизни, чем первичная травма. К таковым относятся вклинения. Что это такое? Это деформации и смещения мозга вследствие нарастающего внутричерепного давления, перестройки церебральной гемо- и ликвородинамики, нарушения взаимоотношений внутри- и внеклеточной жидкости (отек, набухание).

К первичным повреждениям присоединяются компрессия паренхимы, нервов, сосудов к костям черепа и дуральным выступам. Компенсаторная роль резервных пространств относительно небольшая и при прогрессировании процесса возникают вклинения — смещения вещества головного мозга относительно различных анатомических структур.

На рисунке — нисходящее транстенториальное вклинение при тяжелой ЧМТ. На фоне посттравматических изменений в височной области выявляется грубое вклинение мозгового вещества в тенториальное отверстие со сдавлением ствола мозга и смещением желудочков в противоположную сторону

Хорошо визуализируются на МРТ и последствия черепно-мозговой травмы.

Чем поможет МРТ пациенту с черепно-мозговой травмой и её последствиями?

Рассказывает Подлевских Юрий Андреевич — исполнительный директору ООО «Клиника Эксперт Оренбург»

Какие именно последствия ЧМТ выявляет МРТ головного мозга?

1. Посттравматическая локальная и диффузная атрофия, энцефаломация, глиоз

Атрофия мозга у пациентов с ЧМТ может быть локальной и диффузной. В случае очаговых травматических повреждений в последующие 6-12 месяцев после травмы мозга некротические массы рассасываются, на их месте формируются ликворные полости с атрофией структур мозга различной степени выраженности. Локальная атрофия характеризуется уменьшением в размерах кортикальных извилин с компенсаторным увеличением ликворных пространств в области повреждения и расширением прилежащих отделов желудочков мозга. Кистозные полости окружены глиозом и гемосидериновыми рубцами.

Диффузная атрофия головного мозга чаще развивается в отдаленном периоде при диффузных аксональных повреждениях головного мозга, что характеризуется равномерно выраженным расширением кортикальных борозд и желудочковой системы в целом без признаков ее окклюзии.

На рисунке — локальная гидроцефалия с паравентрикулярными кистозно-глиозными изменениями

На рисунке — посттравматические кистозно-глиозные изменения

Чем опасна киста головного мозга? Узнать здесь

На рисунке — локальное расширение субарахноидальных конвекситальных пространств.

На рисунке — асимметричное расширение правой мостомозжековой цистерны

На рисунке — очаговый глиоз (левый гиппокамп)

На рисунке — единичный мелкий очаг глиоза (субкортикальной локализации) постцентральная извилина слева

На рисунке — зональный глиоз

2. Приобретенные (травматические) и послеоперационные энцефалоцеле, менингоэцефалоцеле

Что это такое? В случаях обширных дефектов черепа, особенно после хирургического вмешательства, прилежащие ткани мозга по тем или иным причинам могут смещаться вместе с оболочками и ликворными пространствами в костный дефект. Если в зону дефекта выходит мозговая ткань, то это энцефалоцеле. При пролабировании в костный дефект вещества мозга и его оболочек образуются менингоэнцефалоцеле.

На рисунке — последствия ЧМТ. Энцефалоцеле левой области слева (1 месяц после травмы)

3. Сосудистые осложнения черепно-мозговых травм (ЧМТ)

На рисунке — вторичная ишемия подкорковых ядер справа, как следствие тяжелой ЧМТ

Зачем назначают МРТ сосудов головного мозга? Рассказывает врач-рентгенолог ООО «МРТ Эксперт Елец»

Яворский Евгений Валериевич

На рисунке — частично тромбированная посттравматическая аневризма передней мозговой — передней соединительной артерий (2 года после ЧМТ)

Узнать стоимость МРТ сосудов головного мозга и записаться можно здесь

Литература:

  1. ОФС.1.2.1.2.0003.15 Тонкослойная хроматография // Государственная фармакопея, XIII изд.
  2. Мирский, «Медицина России X—XX веков» (Москва, РОССПЭН, 2005, 632 с.).
  3. З.С. Смирнова, Л.М. Борисова, М.П. Киселева и др. Противоопухолевая эффективность прототипа лекарственной формы соединения ЛХС-1208 для внутривенного введения // Российский биотерапевтический журнал. 2012. № 2. С. 49.
  4. https://radiographia.info/article/gemorragicheskiy-ushib-golovnogo-mozga.
  5. https://www.KrasotaiMedicina.ru/diseases/zabolevanija_neurology/brain-contusion.
  6. https://www.mrtexpert.ru/articles/226.
  7. З.С. Смирнова, Л.М. Борисова, М.П. Киселева и др. Противоопухолевая эффективность прототипа лекарственной формы соединения ЛХС-1208 для внутривенного введения // Российский биотерапевтический журнал. 2012. № 2. С. 49.
  8. Ковнер, «Очерки истории M.».
  9. Debjit B., Rishab B., Darsh G., Parshuram R., Sampath K. P. K. Gastroretentive drug delivery systems- a novel approaches of control drug delivery systems. Research Journal of Science and Technology;10(2): 145–156. DOI: 10.5958/2349-2988.2018.00022.0.
  10. Moustafine R. I., Bukhovets A. V., Sitenkov A. Y., Kemenova V. A., Rombaut P., Van den Mooter G. Eudragit® E PO as a complementary material for designing oral drug delivery systems with controlled release properties: comparative evaluation of new interpolyelectrolyte complexes with countercharged Eudragit® L 100 copolymers. Molecular Pharmaceutics. 2013; 10(7): 2630–2641. DOI: 10.1021/mp4000635.

Ссылка на основную публикацию
Похожее