Геморрагический инсульт

image

Геморрагический инсульт — что это такое? Симптомы, лечение и прогноз

Геморрагический инсульт, острое нарушение мозгового кровообращения (ОНМК) по геморрагическому типу — острый клинический синдром, который является следствием повреждения церебральных сосудов и кровоизлиянием в мозг. Первопричиной может быть повреждение как артерии, так и вены. Чем крупнее поврежденный сосуд, тем обильнее кровотечение, в тяжелых случаях в ткани изливается до 100 мл крови. Образующаяся гематома механически сдавливает и смещает нервную ткань, в зоне поражения быстро развивается отек.

Если в течение трех часов пострадавшему не будет оказана медицинская помощь, шансы выжить стремительно уменьшаются и стремятся к нулю. По статистике на долю геморрагических инсультов приходится чуть более 20% случаев инсульта.

image

Что это такое?

Геморрагический инсульт — это остро возникшее кровоизлияние в головной мозг вследствие разрыва или повышения проницаемости сосудов. Такое нарушение мозгового кровообращения отличается от классического (ишемического) инсульта, который встречается чаще (70% больных).

Характер изменений сосудов при ишемическом инсульте — закупорка их просвета тромбами, вследствие чего наступает постепенное омертвение клеток мозга, а при геморрагическом — нарушение целостности сосудистой стенки, вследствие чего мозговая ткань пропитывается и сдавливается излившейся кровью.

Инсульт головного мозга геморрагического типа — опасное и коварное заболевание. Для него характерны:

  1. Высокая смертность (60-70% больных умирают в течении первой недели после возникновения болезни).
  2. Внезапность (у 60-65% больных кровоизлияние возникает без каких-либо предшествующих симптомов).
  3. Глубокая инвалидность выживших больных — 70-80% людей прикованы к кровати и не могут обслуживать себя, остальные 20-30% имеют менее выраженный неврологический дефицит (нарушается работа конечностей, ходьба, речь, зрение, интеллект и пр.)

Более 80% кровоизлияний в головной мозг связаны с повышением артериального давления (гипертонией). Принимая антигипертензивные препараты (нормализующие давление) можно снизить риск возникновения инсульта, объем кровоизлияния и тяжесть поражения мозга. Если больные госпитализированы в лечебное учреждение в первые 3 часа, это увеличивает шансы на выживание. Специализированные реабилитационные центры помогают максимально восстановить утраченные функции головного мозга после инсульта. Полное излечение наступает редко, но возможно.

Классификация

Следует отметить, что инсульт ствола мозга приводит к практически мгновенной смерти. Лишь в редких случаях удается спасти жизнь пациента при таком диагнозе. При этом, вероятность возвращения к полноценной жизни отсутствует.

Ствол головного мозга является центром всех систем организма, и напрямую связан со спинным мозгом. Он служит связующим звеном между командами мозговых центров и нервами тела: именно благодаря ему мы способны двигаться, дышать, глотать, видеть, слышать и так далее. Ствол мозга также регулирует систему кровообращения, терморегуляцию, сердцебиение. Вот почему его повреждение при инсульте чаще всего приводит к летальному исходу.

По происхождению различают первичный и вторичный геморрагический инсульт:

Первичный спровоцирован гипертензионным кризом или истончением стенок артерий и вен, обусловленным длительной нагрузкой на них (например, в связи с повышенным давлением, физическими и нервными перегрузками и т.д.)
Вторичный спровоцирован разрывом аневризмы, гемангиомы и других сосудистых деформаций и аномалий (мальформаций), врожденных или образовавшихся в процессе жизнедеятельности.

В зависимости от зоны локализации различаю следующие виды геморрагического инсульта:

  1. Субарахноидальное — кровоизлияние в пространство между твердой, мягкой и паутинной оболочками мозга;
  2. Кровоизлияние на периферии мозга или в толще его ткани;
  3. Вентикулярное кровоизлияние — локализуется в боковых желудочках;
  4. Комбинированный тип: встречается при обширном кровоизлиянии, затрагивающем несколько участков мозга.

Периферическое кровоизлияние намного менее опасно, чем внутримозговое, которое в обязательном порядке провоцирует образование гематом, отека и последующее отмирание тканей мозга. Гематомы также различают по локализации:

  1. Лобарная — гематома локализуется в пределах одной доли мозга, не выходя за пределы коры мозга.
  2. Медиальная — кровоизлияние повреждает таламус.
  3. Латеральная — поражение подкорковых ядер, локализованных в белом веществе полушарий (ограда, миндалевидное, хвостатое, чечевицеобразное ядра).
  4. Смешанная — гематомы, затрагивающие сразу несколько зон мозга, встречаются чаще всего.

Клинические проявления

Симптомы геморрагического инсульта разнообразны и подразделяются на две большие группы: общемозговые и очаговые. Также симптоматика сильно зависит от локализации очага кровоизлияния, его размеров, соматического состояния больного и многих других факторов.

К общемозговым симптомам геморрагического инсульта относят следующие признаки:

  1. Нарушения сознания (оглушение, сопор, кома). Чем больше очаг — тем ниже уровень сознания. Однако, при поражении ствола мозга даже небольшой очаг кровоизлияния приводит к выраженному угнетению сознания.
  2. Головокружение.
  3. Тошнота, рвота.
  4. Головные боли.
  5. Общая слабость.
  6. Нарушения дыхания.
  7. Нарушения гемодинамики.

К преимущественно очаговой симптоматике относятся признаки:

  1. Парез или плегия в конечностях, чаще встречаются гемипарезы.
  2. Парез мимической мускулатуры.
  3. Нарушения речи, развиваются преимущественно при поражении левой височной доли.
  4. Нарушения зрения (в том числе развитие анизокории).
  5. Нарушения слуха.

Заподозрить инсульт следует при любых типах нарушения речи у больного, слабости в руке и ноге на одной стороне, развитии эпилептических припадков без провоцирующих факторов (например, к таким факторам относится употребление алкоголя), нарушение сознания вплоть до комы. В любых подозрительных случаях лучше перестраховаться и вызывать скорую помощь. Поведение и оценка ситуации при подозрении на инсульт следует рассматривать в отдельной статье.

Кома при геморрагическом инсульте

Приблизительно 90% пациентов с ГИ в состоянии сопора или комы погибают в первые пять суток, не смотря на интенсивную терапию. Расстройства сознания характерны для многих патологий, проявляющихся угнетением функций ретикулярной формации головного мозга.

Нарушения функций мозга развиваются под действием:

  1. Эндо- и экзотоксинов — производных конечных продуктов обмена веществ;
  2. Кислородного и энергетического голодания мозга;
  3. Нарушения обмена веществ в структурах мозга;
  4. Расширения объема вещества мозга.

Наибольшее значение в развитии комы имеют ацидоз, отек мозга, повышение внутричерепного давления, нарушение микроциркуляции жидкостей мозга и крови.

Состояние комы влияет на функционирование органов дыхания, выделения (почки) пищеварения (печень, кишечник). Выведение из комы в домашних условиях невозможно, и весьма затруднительно даже в условиях реанимации.

Клиническое определение комы проводят по ШКГ (шкале комы Глазго), используют некоторые другие методики, имеющие значение для клиницистов. Выделяют прекому и четыре стадии комы. Самая легкая первая, а безнадежное состояние больного соответствует четвертой стадии комы.

Лечение

Терапия инсульта в острый период может включать:

  • Купирование боли, коррекция температуры тела (парацетамол, эффералган, напроксен, диклофенак, нередко — опиаты, пропафол). Внутривенно ставят аспизол, дантролен, капельно — магния сульфат.
  • Снижение артериального давления, что способствует остановке кровотечения в головном мозге. С этой целью внутривенно вводятся препараты: лабеталол, никардипин, эсмолол, гидралазин. Тем не менее, резкого снижения давления в первые дни не допускают. Далее назначаются таблетированные препараты — каптоприл, эналаприл, капотен (в качестве базисной терапии перорально или через зонд).
  • Диуретики при стойком повышении давления (хлоротиазид, андапамид, лазикс), антагонисты кальция (нимотоп, нифедипин).
  • В случае резкой гипотензии назначаются вазопрессоры капельно (норадреналин, мезатон, допамин).
  • Нередко применяют постоянную внутривенную инфузию для введения вышеперечисленных препаратов с контролем уровня давления каждые 15 минут.
  • Для уменьшения отека мозга рекомендуется дексаметазон в течение 3-х дней (внутривенно). Если отек прогрессирует, капельно вводят глицерин, манит, альбумин, рефортан.
  • Нередко применяют постоянную внутривенную инфузию для введения вышеперечисленных препаратов с контролем уровня давления каждые 15 минут.
  • Препараты для коррекции неврологических симптомов (седативные — диазепам, миорелаксанты — векурониум).
  • Местная терапия направлена на устранение пролежней и включает обработку кожи камфарным спиртом, присыпание тальком.
  • Симптоматическая терапия — противосудорожные средства (лоразепам, тиопентал или наркоз на 1-2 часа), лекарства от рвоты и тошноты (метоклопрамид, торекан), против психомоторного возбуждения (галоперидол). При пневмонии и урологических инфекциях проводится курс антибактериального лечения.

При наличии крупных гематом (более 50 мл.) выполняется оперативное вмешательство. Иссечение участка кровоизлияния может быть проведено, если она локализована в доступной части головного мозга, а также, если больной не находится в коматозном состоянии. Чаще всего, применяется клипирование шейки аневризмы, пункционно-аспирационное устранение гематомы, прямое ее удаление, а также дренирование желудочков.

image

Последствия

Если больных удается спасти, они сталкиваются с неврологическим дефицитом — симптомами, обусловленными повреждением той зоны головного мозга, в которую произошло кровоизлияние.

Это могут быть таки последвия геморрагического инсульта:

  • парезы и параличи — нарушение движений конечностями на одной половине тела, так как они постоянно находятся в полусогнутом положении и разогнуть их невозможно;
  • нарушение речи и ее полное отсутствие;
  • психические расстройства и раздражительность;
  • постоянные головные боли;
  • расстройства координации движений;
  • невозможность самостоятельно ходить и даже сидеть;
  • нарушения зрения вплоть до полной слепоты;
  • перекошенность лица;
  • вегетативное состояние — отсутствие любых признаков мозговой деятельности (сознания, памяти, речи, движений) при сохраненном дыхании и сердцебиении.

Симптомы болезни и их продолжительность зависят от локализации кровоизлияния и его объема. Первые 3 дня самые опасные, так как в это время в мозге происходят тяжелые нарушения. Большинство смертей (80-90%) происходят именно в этот период. Остальные 10-20% больных умирают в течении одной-двух недель. Выжившие пациенты постепенно восстанавливаются от нескольких недель до 9-10 месяцев.

Левая сторона

Если поражена левая сторона, последствия характеризуются нарушением работы правой части тела. У больного наблюдается полный или частичный паралич, причем страдает не только нога и рука, но и половина языка, гортани. У таких пациентов появляются нарушения походки, характерная поза правой руки (сложена лодочкой).

У пострадавшего отмечается ухудшение памяти и речи, нарушается возможность внятно высказывать мысли. Для поражения левого полушария головного мозга характерны проблемы с распознаванием временной последовательности, он не может разложить сложные элементы на составляющие. Появляются нарушения письменной и устной речи.

image

Правая сторона

Если поражена правая сторона, амым опасным последствием является повреждение ствола головного мозга, при котором шансы человека выжить приближаются к нулю. Этот отдел отвечает за работу сердца и дыхательной системы.

Диагностировать геморрагический инсульт справа достаточно сложно, так как в этой части находятся центры ориентации в пространстве и чувствительности. Определяется данное поражение по нарушению речи у правшей (у левшей речевой центр находится в левом полушарии). Кроме того, прослеживается четкая взаимосвязь: так при нарушении функциональности правой половины головного мозга страдает левая сторона и наоборот.

Сколько живут после геморрагического инсульта?

Прогноз геморрагического инсульта неблагоприятен. Он зависит от места и степени поражения. Опасно кровоизлияние в ствол мозга, что сопровождается нарушением дыхания и резким, плохо корректируемым препаратами, снижением артериального давления до критических цифр. Тяжело протекает и часто заканчивается летально кровоизлияние в желудочки с их прорывом.

Сколько живут при геморрагическом инсульте? Эта патология заканчивается летально в 50-90% случаев. Возможно наступление смерти в первые же сутки — на фоне генерализованных судорог, когда происходит нарушение дыхания. Чаще смерть наступает позже, ко 2 неделе. Связано это с каскадом биохимических реакций, запускаемых излитием крови в полость черепа и приводящих к гибели клеток мозга. Если же не произошло ни смещения мозга, ни его вклинения (попадания в костное отверстие), ни прорыва крови в желудочки, и компенсаторные возможности мозга достаточно велики (это более характерно для детей и лиц молодого возраста), то человек имеет большой шанс выжить.

На 1-2 неделе, помимо неврологических нарушений, присоединяются осложнения, связанные с обездвиженностью больного, обострением хронических его болезней или подключением его к аппарату искусственного дыхания (пневмония, пролежни, печеночная, почечная, сердечно-сосудистая недостаточность). И если они не приведут к гибели, то к концу 2-3 недели отек мозга купируется. К 3 неделе становится ясно, какие последствия геморрагического инсульта в данном случае.

image

Восстановление после инсульта

Реабилитационный период после геморрагического инсульта длительный,особенно в пожилом возрасте. Он зависит от утраченных функций и не гарантирует их полной реабилитации. Быстрее всего потерянные способности восстанавливаются в первый год после инсульта, потом этот процесс идет медленнее. Тот неврологический дефицит, который остался после трех лет, скорее всего, останется на всю жизнь.

Врачи-неврологи и реабилитологи готовы максимально помочь восстановить утраченные функции. Для этого:

  • проводятся занятия с психологом или психотерапевтом;
  • при утрате навыков чтения/письма проводятся занятия по их возобновлению;
  • проводится гидротерапия (массаж в бассейне, легкие упражнения в воде);
  • занятия на особых тренажерах;
  • при нарушениях воспроизведения речи человеку придется заниматься с логопедом; при парезах или параличах проводятся физиопроцедуры (например, на аппарате «Миотон»), выполняются массаж и ЛФК с инструктором;
  • назначаются препараты, которые будут помогать возобновлять утраченные нейронные связи («Цераксон», «Сомазина»), снижающие повышенное артериальное давление («Эналаприл», «Нифедипин»), антидепрессанты и успокоительные средства;
  • цветотерапия — лечение зрительными образами.

Прогноз выздоровления зависит от того, насколько большую область охватило кровоизлияние, а также от того, насколько квалифицированными были действия врачей и реабилитологов. Геморрагический инсульт — это очень сложная патология, от последствий которой полностью избавиться вряд ли удастся. Поддерживающее лечение и реабилитация продолжаются очень долго.

Что такое геморрагический инсульт и в чем его опасность?

Доброго времени суток, гости и читатели нашего блога о нейрореабилитации. Сегодня я расскажу об одном из самых серьезных осложнений сосудистых заболеваний головного мозга- о геморрагическом инсульте (ГИ).

В структуре всех инсультов ГИ составляет 15-20%

Геморрагический инсульт= ОНМК по геморрагическому типу

Геморрагический инсульт- это острое нарушение кровообращения головного мозга, причиной которого послужило кровоизлияние в вещество и пространства головного мозга нетравматического характера.

В клинической практике ГИ сокращается аббревиатурой «ОНМК по геморрагическому типу»

В результате кровоизлияния, отдел головного мозга, который питает этот сосуд перестает получать достаточный кровоток и нервная ткань этой зоны гибнет. Кровь излившаяся из повреждённого сосуда сдавливает ткани головного мозга, что приводит к отёку и смещению отделов головного мозга.

Отек и сдавление ткани головного мозга гематомой- одно из самых опасных осложнений такого нарушения мозгового кровообращения, а высокий уровень инвалидизации и летальности связан именно с этим осложнением.

Само кровоизлияние протекает по-разному. Дело в том, что объем излившейся крови зависит от диаметра сосуда и его расположения.

Объем излившейся крови и расположение гематомы определяет тяжесть течения инсульта

Кровоизлияния из крупных сосудов протекают очень быстро и объемы внутримозговой гематомы бывают достаточно велики- такой геморрагический инсульт головного мозга нередко бывает фатальным для человека и способен уже в первые часы после кровоизлияния привести к гибели.

Такое состояние происходит, зачастую, внезапно и человек очень быстро может впасть в кому и состояние человека в этот момент будет являться тяжелым, иногда, угрожающем жизни. Причиной комы в данном случае часто является отек головного мозга.

Геморрагический инсульт- это в большинстве своем результат уже имеющихся фоновых заболеваний у человека, предрасполагающих к развитию нарушения кровообращения с развитием гематомы головного мозга.

Самым распространенным таким заболеванием является гипертоническая болезнь. При гипертонии и, особенно, гипертоническом кризе очень велик риск кровоизлияния. Даже минимальные изменения сосудистой стенки в виде атеросклероза в купе с гипертоническим кризом увеличивают риск разрыва мозговой артерии.

В ряде случаев, это происходит при ухудшении течения гипертонии. Когда артериальное давление становится неконтроллируемым- с колебаниями до высоких цифр. На высоте одного из таких подъемов и происходит нередко внутримозговое кровоизлияние.

Очень важно где располагается этот сосуд, от него зависит куда будет «устремляться» излившаяся кровь и чем, в последствии, внутримозговая гематома ограничится.

Если это кровоизлияние в мозговую ткань- это одно, если в полости мозга и ликворные пространства- это другое. Про ликвор подробнее читайте вот здесь

Кровь, излившаяся из поврежденного сосуда может скапливаться в тканях головного мозга или «изливаться» в окружающее пространство, которое называется субарахноидальным, а так же с прорывом в систему желудочков- внутренних полостей головного мозга. Такое состояние, нередко, имеет угрожающий для жизни характер.

Симптомы

ГИ сопровождается бурной картиной симптомов, к которым относятся:

  • резкая (невыносимая) внезапная головная боль
  • рвота, тошнота
  • внезапная потеря сознания
  • нарастание слабости в конечностях
  • нарушение или потеря чувствительности
  • головокружение и нарушение координации движений
  • нарушение зрения, нарушение аккомодации, двоение в глазах
  • психо- эмоциональное возбуждение

Что ухудшает прогноз течения ГИ

Особенно опасность для жизни увеличивается в случае:

  1. Образования в результате инсульта внутримозговой гематомы со сдавлением головного мозга и смещением его срединных структур.
  2. Сопутствующего отека головного мозга.
  3. Прорыва кровоизлияния в ликворные пути, с заполнением кровью желудочков мозга (тампонадой).
  4. Локализацией внутримозговой гематомы близ жизнено важных нервных центров головного мозга.

Самым тяжелым внутримозговым кровоизлиянием считается то, которое сопровождается прорывом гематомы и кровоизлияния в систему сообщающихся между собой желудочков, с заполнением их кровью- так называемая тампонада желудочков. Почему самое тяжелое…- потому что в этом случае объем излившейся крови может быть очень большим, так как нет практически ничего, что ограничивало бы .

Кровоизлияние в наружное окружающее головной мозг пространство- это субарахноидальное кровоизлияние, подробнее об этом виде кровоизлияния читайте в статье «САК». А изолированное внутримозговое кровоизлияние- это в случае образования гематомы в тканях головного мозга, без прорыва во внутреннее и наружное пространство.

Диагностика

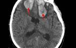
Диагностируется внутримозговое кровоизлияние в стационаре — врачами неврологами и нейрохирургами, установить диагноз или заподозрить геморрагический инсульт головного мозга им позволяет картина начала заболевания и дополнительные методы исследования. О том, как начинается это нарушение мозгового кровообращения подробнее описано в статье как начинается инсульт.

С точностью распознать геморрагический инсульт помогают информативные спиральная (СКТ) или мультиспиральная (МСКТ)

Суть её заключается в послойных рентгеновских снимках головного мозга, на которых кровоизлияние достаточно хорошо видно см. рисунок.

кровоизлияние на КТ головного мозга

Другой метод, позволяющий диагностировать ГИ магнитно-резонансная томография или МРТ. Этот метод диагностики более точен, в сравнении с компьютерной томографией.

У МРТ есть существенные минусы по сравнению с КТ: исследование занимает больше времени-около 30 минут, КТ- до 5 минут (в это время не входит включение и подготовка аппарата к исследованию), а это в свою очередь большое упущение важного времени.

МРТ более дорогостоящее исследование, чем КТ. В редкой больнице есть МРТ, КТ-все таки более распространено.

МРТ-диагностикой, как правило, занимаются коммерческие центры, где доступно выполнение этого исследования за свои деньги или за счет полиса ДМС- дополнительного медицинского страхования, а есть он далеко не у всех.

Лечение пациентов с ОНМК по геморрагическому типу- это прерогатива отделений неврологии, реанимации и нейрохирургии- если потребуется. При наличии показаний- возможно проведение оперативного лечения нейрохирургом, однако, это не всегда возможно по тем или иным причинам и не всегда обосновано.

Хирургическое вмешательство- тоже «удар» по головному мозгу и решение о его проведении должно быть обусловлено учётом всех «за и против», которое оценивают врач нейрохирург, невролог и реаниматолог.

Лечение

При подтвержденном диагнозе, лечение в больнице может длится общим курсом от недель до месяцев, после чего, зачастую необходима бывает реабилитация.

Геморрагический инсульт головного мозга самый опасный и угрожаюший жизни вид инсульта, приводит к высокой инвалидизации людей, выживших после него, что обусловлено стойкими нарушениями функций тела, подробнее о которых читайте в статье последствия инсульта .

Еще он опасен и частым возникновением тяжёлых осложнений, таких как застойная- гипостатическая пневмония, причиной которой зачастую является внутрибольничная инфекция.

Такая внутрибольничная пневмония бывает невосприимчива к основным используемым в таком случае антибактериальным препаратам, поэтому течение её часто более тяжелое, а лечение долгое и рутинное.

Другим опасным осложнением является возможное возникновение пролежней, которые возникают у больных, долго находящихся в лежачем положении, подробнее о причинах возникновения и мерах их профилактики таких осложнений читайте в статье пролежни.

Таким образом, внутримозговое кровоизлияние, лечение которого, в итоге, сводится не только к предотвращению роста гематомы, возникновению отека головного мозга, но и развитию осложнений (внутрибольничной пневмонии, инфекций мочевыводящих путей и пролежней).

Клиническое течение

Развитие заболевания бурное и внезапное. Высокий риск осложнений и опасность летального исхода наблюдается в течение первой недели со дня инсульта. После несколько снижается, но все равно остается высоким в течение месяца.

Бурное начало этого инсульта обусловлено внезапным эпизодом кровоизлияния.

Все происходит быстро. Как правило, людей с подозрением на геморрагический инсульт доставляет скорая помощь уже с нарушенным сознанием, иногда в коме- без возможности речевого контакта. К категории лиц с повышенным риском такого инсульта относятся:

  • страдающие гипертонической болезнью с артериальной гипертензией (повышением артериального давления) 3 степени- выше 180/100 мм.рт.ст.
  • с сопутствующим атеросклерозом мозговых сосудов, а также те, у кого среди близких родственников были случаи внутримозговых кровоизлияний
  • нарушением процессов свертывания крови (коагулопатии),в том числе вызванные приемом антикоагулянтов (варфарин, гепарин)
  • лица с аномалиями строения мозговых сосудов (сосудистые мальформации)
  • лица, страдающие алкоголизмом и/или наркоманией- длительный прием токсических веществ также оказывает негативное влияние на стенку сосуда, меняется её проницаемость и особенности регуляции сосудистого тонуса
  • лица, с диагностированными онкологическими заболеваниями центральной нервной системы

Факторы риска

  1. Малоподвижный образ жизни
  2. Избыточная масса тела
  3. Гипертоническая болезнь
  4. Курение и злоупотребление алкоголем
  5. Возраст старше 50 лет
  6. Если в роду у близких родственников были эпизоды летальных случаев после инсульта (не дифференцированного) или достоверно известна причина- кровоизлияние в головной мозг

Пациенты с подозрением на ОНМК по геморрагическому типу, зачастую, прямиком едут в отделение реанимации для прохождения курса интенсивной терапии.

Их обязательно должен консультировать нейрохирург, допускается телефонная консультация с докладом подробного анамнеза, результатов осмотра и данными нейровизуализации (СКТ, МРТ головного мозга) дежурным врачом неврологом или реаниматологом. Согласовывается тактика что делать дальше- план обследования и лечения.

В части случаев лечение нейрохирургическое- удалением гематомы, если это доступно и клинически обосновано. Порой, операция выполняется как крайняя мера для спасения жизни человека.

Тяжесть состояния при ГИ обусловлена повышенной частотой таких осложнений как:

  • отек головного мозга, риск дислокации и вклинения ствола мозга
  • повторное внутримозговое кровоизлияние
  • вторичные инфекционные осложнения дыхательных и мочевыводящих путей
  • тромбоэмболические осложнения (тромбоэмболия легочной артерии и ее ветвей, инфаркт миокарда, ишемический инсульт)

Длительность прохождения лечения в больнице от 3х недель до нескольких месяцев

Длительное пребывание в бессознательном состоянии (комы) увеличивает срок лечения и реабилитации.

Кома

Кома- это глубокая степень утраты сознания. Кома имеет разные причины и ОНМК- одна из наиболее частых причин нарушения сознания разной степени.

Из-за чего возникает кома при геморрагическом инсульте? Из-за величины гематомы и степени отека головного мозга.

Гипоксия (нарушение дыхания в клетках головного мозга), которая является следствием этих процессов нарушает работу всего головного мозга.

Клетки коры больших полушарий, отвечающие за бодрствование и ясное сознание, в конечном итоге, перестают выполнять свою функцию.

Утрачивается их связь с другими структурами мозга, отвечающими за сохранение ясного сознания (ретикулярная формация, лимбическая система).

Стабилизация общего состояния пациента и его улучшение находится в прямой связи с уровнем сознания. Кома- это индикатор степени нарушения мозговой функции.

Чем глубже кома, в которой находится человек после внутримозгового кровоизлияния- тем тяжелее он из нее выходит и тем длительнее будет интенсивная терапия при этом

В состоянии комы человек нуждается в респираторной поддержке- помощи при дыхании. Эта функция возложена на аппараты ИВЛ (искусственной вентиляции легких).

Насколько долго человеку потребуется помощь при дыхании аппарата ИВЛ зависит от времени нахождения в бессознательном состоянии.

После возвращения сознания, как правило, возвращается и способность самостоятельно дышать. Исключения составляют случаи грубого повреждения дыхательного центра и проводящих нервных путей, ответственных за передачу нервных импульсов для осуществления акта вдоха и выдоха.

Нарушение сознания, в некоторых случаях, может затянуться на месяцы и, даже, годы.

В таких случаях человека могут переводить на длительный уход, не проводя реабилитацию- до возвращения сознания.

О прогнозе для жизни после внутримозгового кровоизлияния я записал видеоролик на моем канале. Смотрите вот:

Реабилитация

Реабилитация после геморрагического инсульта головного мозга мало чем отличается от других видов ОНМК.

Последствия, нуждающиеся в восстановлении после внутримозгового кровоизлияния бывают более грубыми. Обусловлено это более тяжелым течением ГИ.

Последствия ОНМК по геморрагическому типу, нуждающиеся в реабилитации:

  • Снижение мышечной силы в половине тела- гемипарез
  • Нарушения речи
  • Нарушения чувствительности
  • Вестибулярные нарушения и нарушение координации движений
  • Когнитивный дефицит- затруднение при выполнении высших умственных функции (мышление, память, внимание и т.д)
  • Нарушения глотания- дисфагия
  • Постинсультная эпилепсия- судорожные припадки (генерализованные- во всем теле и парциальные- в отдельных частях тела)
  • Постинсультная депрессия

После внутримозгового кровоизлияния бывает более выраженное повышение мышечного тонуса (спастика),иногда, снимающаяся только применением ботулинотерапии.

Реабилитации должна начинаться уже в первые недели лечения в стационаре, наряду с курсом лекарственной терапии. Справедливо это при сохранении ясного сознания и стабильном общем состоянии. Важно не упустить время.

Максимально эффективный для восстановления период-в первый годом со дня возникновения нарушений неврологических функций, при этом самый плодотворный для реабилитации период- первые 6 месяцев с момента ГИ.

Это время нужно максимально полезно использовать для восстановления, а её, нередко, нужно начинать у постели человека. Первые движения, первые упражнения лечебной физкультуры, а также физиотерапия и занятия с логопедом (если есть нарушения речи- все это проводится спустя первые недели с момента заболевания).

Подробнее о мерах восстановления кровоизлияния в мозг, и других ключевых и важных вопросов, таких как геморрагический инсульт- реабилитация, методы восстановления и главные проблемы, с которыми сталкиваются близкие и родные человека, перенесшего ОНМК по геморрагическому типу читайте на странице реабилитация после инсульта.

«После инсульта»- приложение для Android, в помощь ухаживающим за больным в домашних условиях.

Литература:

  1. Renouard, «Histoire de la medicine» (П., 1948).
  2. Guardia, «La Médecine à travers les âges».
  3. Мирский, «Хирургия от древности до современности. Очерки истории.» (Москва, Наука, 2000, 798 с.).
  4. https://gb21perm.ru/gemorragicheskij-insult/.
  5. https://insultu-net.ru/%D0%B3%D0%B5%D0%BC%D0%BE%D1%80%D1%80%D0%B0%D0%B3%D0%B8%D1%87%D0%B5%D1%81%D0%BA%D0%B8%D0%B9-%D0%B8%D0%BD%D1%81%D1%83%D0%BB%D1%8C%D1%82/.
  6. З.С. Смирнова, Л.М. Борисова, М.П. Киселева и др. Противоопухолевая активность соединения ЛХС-1208 (N-гликозилированные производные индоло[2,3-а]карбазола) // Российский биотерапевтический журнал 2010. № 1. С. 80.
  7. Мирский, «Хирургия от древности до современности. Очерки истории.» (Москва, Наука, 2000, 798 с.).
  8. Харенко Е. А., Ларионова Н. И., Демина Н. Б. Мукоадгезивные лекарственные формы. Химико-фармацевтический журнал. 2009; 43(4): 21–29. DOI: 10.30906/0023-1134-2009-43-4-21-29.
  9. М.П. Киселева, З.С. Смирнова, Л.М. Борисова и др. Поиск новых противоопухолевых соединений среди производных N-гликозидов индоло[2,3-а] карбазолов // Российский онкологический журнал. 2015. № 1. С. 33-37.

Ссылка на основную публикацию
Похожее