Гематома почки

1.Общие сведения

Гематомой в медицине называют кровоподтек (образовавшийся вследствие травматического повреждения мелких сосудов), подкожное объемное кровоизлияние или, говоря совсем просто, обыкновенный синяк. Однако очень многое зависит от того, в каком именно участке образовалось такое скопление и какова его дальнейшая динамика.

Тенденция к кровоизлияниям в смежные ткани — одна из отличительных особенностей травмы органов мочевыделительной системы. К специфическим особенностям нефротравмы относятся также выраженный болевой синдром (который при ушибе почки отмечается практически всегда), те или иные затруднения с мочеиспусканием, ухудшение общего состояния пострадавшего. Организм словно бьет в набат: повреждены органы, которые должны оставаться неприкосновенными при любых обстоятельствах.

Травмы почки, вместе с тем, среди всех документированных травм занимают третье место по частоте встречаемости. Механические повреждения этого естественного и незаменимого фильтра крови в значительном проценте случаев результируют летально. И гематома почки, таким образом, — совсем не то же самое, что «обычный» синяк.

2.Причины

Причиной кровоизлияния является хрупкость, сложность и уязвимость функциональной ткани почки и околопочечных структур. При резком ударе о ребра или позвоночник (а именно такова механика нефротравмы) создается локальное давление такой силы, что мелкие кровоснабжающие сосуды буквально разрываются. В наиболее тяжелых случаях окружающие ткани пропитываются не только кровью, но и мочой (урогематома), что в итоге может привести к самым неблагоприятным последствиям (например, при развитии острого и агрессивно протекающего инфекционно-воспалительного процесса).

Наиболее типичные ситуации, при которых современный человек получает непроникающую травму почки с последующим образованием гематомы — это дорожно-транспортные происшествия, падения на спину (с высоты, на скользком тротуаре и т.п.), драки, занятия спортом, нарушения техники безопасности и прочие производственные инциденты. К образованию гематомы почки может привести также развитие злокачественной опухоли, смещение конкрементов (камней), собственно сосудистая патология и т.д.

3.Симптоматика, диагностика

Наиболее характерный симптом ушиба почки — интенсивная специфическая боль, зачастую иррадиирующая в смежные зоны (паховые органы, кишечник, грудная клетка) и обусловленная растяжением почечной капсулы, острым локальным дефицитом кровоснабжения (ишемия), механическим давлением скопившего объема крови, блокированием просвета мочеточника свернувшимися кровяными сгустками. Наблюдаемая при внешнем осмотре багрово-синюшная окраска кожи в области поясницы, отечность, припухлость — встречаются не всегда, и отсутствие таких видимых признаков не исключает наличия внутреннего околопочечного кровоизлияния. Более характерный симптом, — он же один из главных критериев тяжести травмы, — гематурия, т.е. присутствие в моче примеси крови (особенно в виде червеобразных сгустков).

В клинико-диагностическом плане очень важна динамика общего состояния: в первые 1-2 суток симптоматика может как постепенно редуцироваться, так и утяжелиться в жизнеугрожающий статус с признаками сепсиса и/или тяжелой почечной недостаточности, нестерпимым болевым синдромом, прогрессирующей гематурией, шоком.

Помимо сбора анамнестических сведений и жалоб, осмотра и пальпации (существует ряд диагностически значимых реакций), при подозрении на гематому почки применяются различные методы «осмотра изнутри»: цистоскопия, пиелография, ангиография и другие эндоскопические, рентгенографические, ультразвуковые и томографические исследования, выбор которых определяется конкретной клинической ситуацией.

4.Лечение

Как показано выше, варианты клинического развития и исхода почечной гематомы настолько многообразны, что обрисовать хотя бы контуры универсального терапевтического подхода не представляется возможным. Результатами диагностики и динамическими факторами (сокращение/нарастание гематурии, улучшение/отягощение общего состояния, наличие/отсутствие признаков вторичного инфицирования, повышение/понижение АД и мн.др.) определяется выбор протокола в каждом конкретном случае со всеми его анамнестическими и клиническими нюансами. В относительно легких случаях ситуация может разрешиться благополучно на фоне щадящего или постельного режима (в течение 7-10 дней) с исключением физических нагрузок и постоянным мониторингом состояния, контролем мочеиспускания, давления, температуры тела и других показателей. Для профилактики инфекционно-воспалительных процессов назначаются антибиотики; могут быть показаны кровоостанавливающие средства, локальная гипотермия (холод на травмированную зону). При менее благоприятном развитии событий действуют по тому или иному протоколу хирургического вмешательства (иногда в неотложном или экстренном порядке), вариантов и методических модификаций которого также насчитывается множество — от различных органосохраняющих операций до удаления почки.

Почечные гематомы, в целом, опасны не только выраженной полиморфной клиникой и малопредсказуемой динамикой, но и отдаленными осложнениями: образованием камней, хронической нефрогенной артериальной гипертензией, пиелонефритами и т.п. Поэтому даже при незначительном, казалось бы, ушибе почки, — особенно если он сопровождается заметной припухлостью, отеком, непреходящей резкой болью, помутнением или покраснением мочи, высокой температурой, общим недомоганием — следует как можно быстрее показаться нефрологу, урологу или терапевту. Фактор времени в прогностическом плане может оказаться критически важным.

Повреждения почек — опасные последствия зимних травм. Упали и ударились спиной – сделайте УЗИ

Мягкая зимняя погода, характерная для последних лет, словно создана для занятий зимними видами спорта и пеших прогулок. Однако у всей этой прелести есть обратная сторона — резко возросшее количество травм, вызванных падениями. Чаще других внутренних органов в этом случае травмируются почки, хоть они и защищены прочным «корсетом» из ребер и мышц. Своевременно выявить проблемы, приводящие к тяжелым осложнениям, можно пройдя УЗИ почек.

image

Повреждение почки

Причины

В мирное время превалируют закрытые повреждения почки в результате криминального инцидента (драки) или падения с высоты. Причиной закрытой травмы почки становится ушиб, падение, сдавление и другие воздействия, в результате которых возникает повышение давления жидкости (мочи и крови) в почке либо почка сдавливается между поперечными отростками позвонков и ребрами. Реже встречаются открытые травмы, которые являются следствием колотых и колото-резаных ран. В период военных действий резко увеличивается доля огнестрельных ранений почек.

Патанатомия

Тяжесть закрытой травмы зависит от таких факторов, как место приложения, направление и сила удара, индивидуальные особенности расположения почки по отношению к позвоночнику и нижним ребрам, степень развития мускулатуры, степень наполнения кишечника, количество паранефральной и подкожной жировой клетчатки, величина забрюшинного и внутрибрюшного давления. При предшествующих патологических изменениях (хроническом пиелонефрите, аномалиях развития, пионефрозе и гидронефрозе) целостность почки может нарушаться даже при незначительном закрытом травматическом воздействии. Степень повреждения может варьироваться от мелких кровоизлияний в ткань почки до тотального разрушения органа.

Особенно тяжелые травмы почек наблюдаются при огнестрельных ранениях, что обусловлено обширностью поражения, сложной конфигурацией раневого канала и высокой частотой одновременного повреждения различных органов и анатомических областей. Тяжесть ножевых ран почки зависит от направления раневого канала и расположения раны по отношению к почечным сосудам.

Классификация

В травматологии и клинической урологии выделяют закрытые (подкожные, тупые) и открытые (проникающие) травмы почки. Различают следующие виды закрытых повреждений:

  • Ушиб. В почечной паренхиме возникают множественные кровоизлияния, макроскопический разрыв субкапсулярной гематомы отсутствует.
  • Субкапсульный разрыв без контакта с чашечно-лоханочной системой. Характеризуется наличием крупной субкапсулярной гематомы.
  • Разрыв ткани и фиброзной капсулы почки с повреждением чашечно-лоханочной системы.
  • Размозжение.
  • Отрыв мочеточника, полное либо частичное повреждение сосудистой ножки.
  • Контузия.

Открытые травмы почки подразделяются на:

  • Резаные раны.
  • Колотые раны.
  • Осколочные ранения.
  • Пулевые ранения и т. д.

При постановке диагноза уточняют зону повреждения почки:

  • Повреждение сосудистой ножки.
  • Повреждение тела.
  • Повреждение нижнего сегмента.
  • Повреждение верхнего сегмента.

Кроме того, указывают характер травмы (сочетанная, изолированная), наличие или отсутствие осложнений (осложненная, неосложненная).

Симптомы повреждения почки

Ведущими симптомами закрытой травмы почки являются боль и отек в поясничной области в сочетании с микро- или макрогематурией. Боли могут быть острыми, тупыми или коликообразными, нередко иррадиируют в паховую область. При тяжелых повреждениях наблюдается вздутие живота, повышение температуры, тошнота, рвота и симптомы раздражения брюшины, что может симулировать тупую травму живота. Кроме того, при травме почки может выявляться дизурия, боли внизу живота и признаки внутреннего кровотечения.

Различают 3 степени тяжести закрытого повреждения почки. При повреждениях легкой степени (ушибе) наблюдается незначительная кратковременная гематурия. Болевой синдром выражен умеренно. Общее состояние пациента ближе к удовлетворительному, признаки раздражения брюшины отсутствуют, околопочечная гематома не выявляется. При повреждениях средней степени тяжести боли умеренные, отмечается иррадиация в половые органы, паховую область и нижнюю часть живота. АД снижено, пульс учащен. Под кожей в поясничной области видна гематома. Нередко выявляется дизурия, в отдельных случаях — анурия. Урогематома может вызывать симптомы раздражения брюшины. При тяжелых повреждениях развивается шок. Боли сильные, макрогематурия профузная, длительная. Отмечаются нарастающие признаки внутреннего кровотечения.

Симптомы открытого повреждения почки во многом совпадают с признаками закрытой травмы. Есть боль и гематурия, нередко присутствует припухлость вокруг места повреждения. Кроме того, в области поясницы имеется огнестрельная, колотая или резаная рана. Самым достоверным признаком открытой травмы почки является истечение мочи из раневого канала, однако, этот симптом редко бывает явным в первые часы. Для выявления незначительных примесей мочи в кровянистом раневом отделяемом применяют специальный реактив Несслера.

Боль в области поясницы вызывает защитное напряжение мышц передней брюшной стенки. Раннее появление и значительная выраженность данного симптома могут свидетельствовать об одновременном повреждении органов брюшной полости. Гематурия при открытых травмах почки возникает практически сразу, однако, ее выраженность не всегда коррелирует с тяжестью поражения. Встречаются как небольшие надрывы, сопровождающиеся профузной гематурией, так и тяжелые повреждения с незначительным количеством крови в моче.

Осложнения

При открытых повреждениях чем рана ближе к почечной ножке, тем выше риск нарушения целостности крупных сосудов и тем больше область инфаркта почки с последующим нагноением почечной ткани. Повреждение мочеточника и чашечно-лоханочной системы в отсутствие операции влечет за собой мочевую инфильтрацию и флегмону забрюшинного пространства, при сопутствующем повреждении брюшной полости развивается перитонит.

Диагностика

Диагноз устанавливается врачом-урологом, подтверждается на основании клинических признаков, анализа мочи, МРТ, КТ, УЗИ, внутривенной урографии, нефросцинтиграфии и почечной ангиографии. Для оценки тяжести кровопотери осуществляется контроль уровня гемоглобина и гематокрита. При подозрении на сочетанную травму назначаются консультации различных специалистов: травматолога, абдоминального хирурга и пр.

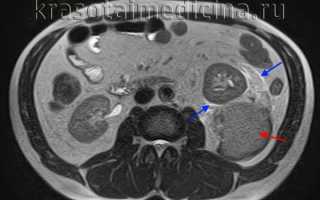
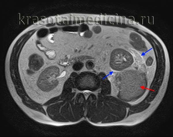
image

МРТ ОБП. Повреждение левой почки. Забрюшинная гематома (красная стрелка), отек перинефральной клетчатки (синяя стрелка).

Лечение повреждения почки

При закрытых травмах, не сопровождающихся гемодинамическими нарушениями, обычно проводятся консервативные мероприятия. При открытых повреждениях консервативная терапия возможна лишь при изолированных ранах, нанесенных холодным оружием, в случае, если состояние пациента остается удовлетворительным, а гематурия незначительна и носит кратковременный характер. Пациентам назначают антибиотики, противовоспалительные и кровоостанавливающие препараты.

Абсолютными показаниями к хирургическому лечению при открытых и закрытых травмах почки являются нестабильная гемодинамика, пульсирующая и нарастающая гематома. К числу относительных показаний к операции относятся тяжелые повреждения, экстравазация больших количеств мочи, выявление крупного нежизнеспособного участка почки, сочетанные травмы, предшествующие заболевания травмированной почки и отсутствие эффекта от консервативной терапии. В зависимости от тяжести и характера повреждения выполняют нефрэктомию, удаление части почки или ушивание разрыва почки. В отдельных случаях возможна малоинвазивная операция — эмболизация поврежденного сосуда с использованием катетера, введенного через бедренную артерию.

Литература:

  1. З.С. Смирнова, Л.М. Борисова, М.П. Киселева и др. Противоопухолевая активность соединения ЛХС-1208 (N-гликозилированные производные индоло[2,3-а]карбазола) // Российский биотерапевтический журнал 2010. № 1. С. 80.
  2. Wunderlich, «Geschichte der Medicin» (Штуттгардт, 1958).
  3. https://medintercom.ru/articles/gematoma-pochki.
  4. https://medcentr-diana-spb.ru/urologiya/povrezhdeniya-pochek-opasnyie-posledstviya-zimnih-travm-upali-i-udarilis-spinoy-sdelayte-uzi/.
  5. https://www.KrasotaiMedicina.ru/diseases/traumatology/kidney-injury.
  6. Debjit B., Rishab B., Darsh G., Parshuram R., Sampath K. P. K. Gastroretentive drug delivery systems- a novel approaches of control drug delivery systems. Research Journal of Science and Technology;10(2): 145–156. DOI: 10.5958/2349-2988.2018.00022.0.

Ссылка на основную публикацию
Похожее