Эпидуральная гематома — это скопление крови, заполняющее образовавшееся в результате травмы пространство между костями черепа и твердой церебральной оболочкой. В типичных случаях характеризуется нарушением сознания с наличием светлого периода, признаками внутричерепной гипертензии и компрессии головного мозга, очаговыми проявлениями, соответствующими расположению гематомы. Диагностика осуществляется на основании клиники при помощи краниографии, Эхо-ЭГ, церебральной ангиографии, КТ и МРТ. Лечение преимущественно хирургическое — трепанация черепа, удаление гематомы, поиск и ликвидация источника кровотечения.
Общие сведения
Эпидуральная гематома формируется при скоплении крови над твердой церебральной оболочкой, что сопровождается отслоением последней от внутренней поверхности костей черепа. Поскольку в возрасте до 2-х лет и после 60-ти лет твердая оболочка плотно спаяна с костями черепа, то в эти возрастные периоды гематомы эпидуральной локализации наблюдаются крайне редко. В среднем эпидуральная гематома составляет около 1-1,5% от всех черепно-мозговых травм, однако при тяжелых ЧМТ она встречается у 9% пострадавших. В таких случаях эпидуральная гематома может сочетаться с ушибом головного мозга и субдуральной гематомой.
Наиболее часто эпидуральная гематома встречается среди молодых людей 16-25 лет. В этой возрастной категории 75% случаев составляют лица мужского пола. Среди детей младшего возраста и пожилых эпидуральное кровоизлияние у мальчиков и мужчин отмечается в 2 раза чаще, чем у девочек и женщин. Пациенты с посттравматическими гематомами совместно курируются специалистами в области травматологии и неврологии.
Эпидуральная гематома
Причины
Эпидуральная гематома имеет травматический генез. Наиболее типичны два механизма травмы. В первом случае предмет небольшой площади (молоток, палка, камень, бутылка и пр.) наносит удар по малоподвижной голове, во втором — происходит удар головой о неподвижный предмет (падение с велосипеда, удар об угол полки или ступеньки и т. п.). При этом зоной непосредственного приложения травмирующего фактора чаще всего выступает височная или нижнетеменная области черепа.
Источником кровотечения может являться средняя менингеальная артерия и ее ветви, менингеальные вены, венозные синусы и диплоические вены — расположенные в толще костей черепа венозные каналы. Повреждение сосудов зачастую обусловлено вдавленным переломом черепа.
Патогенез
До сих пор нет однозначного мнения о механизме формирования гематомы при эпидуральном кровотечении. Одни авторы утверждают, что вначале в результате травмы возникает отслойка твердой церебральной оболочка, а затем в образовавшейся полости скапливается кровь. Другие специалисты считают, что отслойка оболочки происходит по мере излития и накопления крови.
Обычно эпидуральная гематома в диаметре не превышает 8 см, а ее объем составляет от 80 до 120 мл, хотя может варьировать в диапазоне 30-250 мл. Отличительной особенностью гематомы эпидуральной локализации является уменьшение ее толщины от центра к периферии. Вследствие ограниченного объема полости черепа скопление крови над твердой оболочкой приводит к внутричерепной гипертензии и сдавлению подлежащих тканей мозга.
Симптомы эпидуральной гематомы
Наиболее частой является классическая клиническая картина эпидурального кровоизлияния, характеризующаяся выраженным светлым промежутком. Типична непродолжительная утрата сознания с его последующим восстановлением или сохранением некоторой оглушенности. Пострадавший жалуется на головокружение, слабость, умеренную головную боль. Наблюдается ретро- и конградная амнезия, невыраженная анизорефлексия, некоторая асимметрия носогубных складок, легкие менингеальные знаки, спонтанный нистагм. Состояние первоначально расценивается как легкая или средней тяжести ЧМТ. Длительность светлого промежутка варьирует от 30-40 мин до нескольких часов.
По прошествии светлого периода состояние пострадавшего резко ухудшается. Нарастает головная боль, появляются тошнота и рвота, психомоторное возбуждение сменяется быстро прогрессирующим расстройством сознания: от оглушенности до сопора и комы. Иногда наблюдается стремительное угасание сознания с переходом сразу в кому. Отмечается брадикардия, артериальная гипертензия; в неврологическом статусе — нарастающий брахиоцефальный парез (парез лицевого нерва и мышечная слабость в верхней конечности) с противоположной гематоме стороны. На стороне гематомы наблюдается расширение зрачка, а затем и отсутствие реакции на свет. В отдельных случаях эпидуральной гематомы на первый план выходит очаговая симптоматика (парез, анизокория), опережающая развитие симптомов сдавления головного мозга.
Нередко эпидуральная гематома протекает со стертым светлым периодом. Как правило, в таких случаях первоначально происходит глубокое нарушение сознания (кома), и ЧМТ расценивается как тяжелая. Спустя несколько часов кома сменяется сопором, становиться возможен некоторый словесный контакт с пациентом. По поведению пострадавшего становиться понятно, что у него интенсивная головная боль. Обычно отмечается легкий или умеренный гемипарез. Такой не ярко выраженный светлый период может продолжаться от нескольких минут до суток.
Вслед за этим состояние ухудшается: нарастает возбуждение, которое затем переходит в кому, усугубляется парез вплоть до полной плегии контралатеральных гематоме конечностей. Возможна горметония (тонические сокращения мышц паретичных конечностей), тяжелые вестибулярные и глазодвигательные расстройства, прочие проявления поражения ствола мозга. Возникают нарушения со стороны витальных функций.
Относительно редко встречается эпидуральная гематома без светлого периода. Наблюдается обычно при тяжелой ЧМТ с множественным повреждением головного мозга. Коматозное состояние развивается сразу же после травмы и остается без изменений.
Подострая эпидуральная гематома отличается большой продолжительностью светлого периода (до 10-12 суток). В этот промежуток сознание пострадавшего преимущественно ясное, отмечается склонность к брадикардии, отдельные легкие очаговые симптомы. В последующем происходит постепенное, иногда волнообразное, усугубление нарушений сознания до глубокого оглушения, которому предшествует сильная головная боль и возбуждение. На глазном дне при офтальмоскопии могут выявляться застойные диски зрительного нерва, свидетельствующие о церебральной компрессии.
Очаговые проявления, которыми сопровождается эпидуральная гематома, зависят от ее расположения. При кровоизлиянии в парасагиттальной области доминируют пирамидные расстройства с наибольшей выраженностью пареза в стопе. Эпидуральная гематома лобной доли сопровождается нарушениями психики с лобной окраской при малой выраженности прочей очаговой симптоматики. Эпидуральная гематома затылочной области проявляется выпадением одноименных полей зрения — гомонимной гемианопсией.
Диагностика
Эпидуральная гематома диагностируется неврологом или нейрохирургом при участии травматолога по данным анамнеза и типичным клиническим проявлениям: расстройство сознания, односторонний мидриаз и контралатеральный ему гемипарез, брадикардия и т. д. Диагностический минимум:
- Рентгенография. По данным рентгенографии черепа устанавливают наличие перелома, который пересекает борозды менингеальных сосудов. В 90% случаев эпидуральная гематома локализуется соответственно месту перелома. Эпидуральная гематома может быть подтверждена при проведении церебральной ангиографии, которая выявляет бессосудистую область в форме выпуклой линзы.
- Эхоэнцефалография. Обычно диагностирует прогрессирующее смещение серединного эхо. Эхо-ЭГ сохранила свое значение в диагностике внутричерепных гематом при отсутствии таких современных методов как МРТ или КТ.
- Томография. Более точные данные об объеме и месте расположения гематомы, а также о других внутричерепных повреждениях, может дать КТ головного мозга. Изоденсивная и малая по размеру эпидуральная гематома визуализируется при помощи МРТ головного мозга. МРТ также применяется для дифференциации эпи- и субдуральных гематом, для оценки состояния базальных структур и ствола мозга.
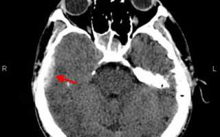
КТ головного мозга. Эпидуральная гематома в височной области справа
Лечение эпидуральной гематомы
Консервативное лечение под постоянным динамическим контролем объема гематомы возможно в случаях, когда эпидуральная гематома не превышает в размере 30-50 мл, не вызывает грубой и прогрессирующей симптоматики, не сопровождается признаками компрессии мозга.
В большинстве случаев проводится хирургическое лечение. Над местом предполагаемой локализации гематомы делают фрезевое отверстие в черепе. При быстром нарастании церебральной компрессии через отверстие аспирируют часть гематомы, а потом производят полноценную трепанацию черепа с полным удалением эпидуральной гематомы, поиском и перевязкой поврежденного сосуда. При кровотечении из вен их коагулируют и тампонируют гемостатической губкой. При повреждении синусов производят их пластику и тампонаду. При кровотечении из диплоических вен применяют хирургический воск.
Операция проводится на фоне противоотечной, гемостатической и симптоматической терапии. В восстановительном периоде применяют рассасывающие и нейрометаболические препараты, для скорейшего восстановления силы в мышцах паретичных конечностях проводят массаж и лечебную физкультуру.
Прогноз
Около четверти эпидуральных кровоизлияний оканчиваются летальным исходом. Прогноз зависит от объема гематомы, возраста пострадавшего, сроков проведения хирургического лечения. При проведении операции на этапе умеренной декомпенсации смертность минимальная, преимущественно отмечается хорошее восстановление утраченных неврологических функций. Благоприятный исход также имеет проведенное в соответствии со строгими показаниями консервативное лечение подострых гематом малого размера. Тревожный прогноз имеют гематомы, прооперированные на этапе декомпенсации. В таких случаях смертность доходит до 40%, у выживших зачастую отмечается значительный неврологический дефицит.
Родовые кровоизлияния новорожденных
Родовые кровоизлияния новорожденных.
Кефалогематома наблюдается у порядка 0,5% новорожденных. Характеризуется кровоизлиянием между плоскими костями черепа и соединительной тканью, выражена в виде припухлости на голове. Покраснения могут отсутствовать вовсе.
Происходит она по следующим причинам: при прохождении головки малыша по родовому каналу при некотором нарушении сократительных действий матки матери и процесса выталкивания сдавливаются кости черепа ребенка, кожа смещается вслед за надкостницей и происходит разрыв сосудов. Далее на месте разрыва скапливается некоторое количество крови.. Объем крови в кефалогематоме колеблется от 5 до 150мл. Обычно кефалогематома новорожденного расположена на одной или двух теменных костях, редко на лобной и затылочной, практически никогда — на височной части.
Если размеры кефалогематомы новорожденного больше 8 см3 — её необходимо эвакуировть.
Внутричерепные кровоизлияния.
Субдуральные гематиомы чаще возникают при стремительных родах, когда имеет место резкое смещение костей черепа. Наиболее часто травмируются сосуды, впадающие в верхний сагиттальный и поперечный синусы и сосуды намета мозжечка. Субдуральные гематомы могут быть одно- или двусторонними. Непосредственно после рождения неврологические нарушения выражены не резко, и это состояние обычно диагностируют как нарушение мозгового кровообращения I-II степени. Состояние ребенка постепенно ухудшается. Образовавшаяся гематома вызывает сдавление жизненно важных центров мозга, вызывает дислокацию ликворных путей. Кожные покровы бледные, холодные, дыхание учащенное, нерегулярное, пульс аритмичный. Мышечный тонус снижен. Безусловные рефлексы отсутствуют или угнетены. Корнеальный и конъюнктивальный рефлексы отсутствуют. Ребенок не сосет, не глотает. Постепенно нарастают симптомы внутричерепной гипертензии, набухают роднички, может возникнуть расхождение черепных швов. Могут быть очаговые или генерализованные клонико-тонические судорожные приступы. При нераспознанной гематоме через 7-10 дней происходит ее инкапсуляция с последующей атрофией мозговой ткани. Лечение нейрохирургическое. Субтенториальные субдуральные кровоизлияния (кровоизлияния в заднюю черепную ямку) характеризуются особой тяжестью. С момента рождения нарастают симптомы сдавления ствола мозга: ригидность затылочных мышц, анизокория, стойкое отведение глаз в сторону, грубый нистагм, тонические судороги. Прогрессируют брадикардия, расстройство дыхания, вялость, гипо- и арефлексия, расстройство сосания и глотания.
Тяжесть и прогноз определяются своевременностью диагностики и нейрохирургического лечения. Возможен благоприятный исход, но с последующим появлением гидроцефалии, минимальной мозговой дисфункции.
Лечение: при поверхностной субдуральной гематоме исход благоприятный, если своевременно проведено хирургическое лечение.
Эпидуральные кровоизлияния
Эпидуральные кровоизлияния возникают из сосудов надкостницы вследствие перелома или трещины костей свода черепа. Располагаются между внутренней поверхностью костей черепа и твердой мозговой оболочкой, как правило, сочетаются с наружной кефалогематомой. В клинике после «светлого промежутка» от 3 до 6 часов развивается синдром сдавления мозга — резкое беспокойство, мидриаз на пораженной стороне, судороги чаще клонико-тонического характера, гемипарез на противоположной стороне, брадикардия, брадипноэ вплоть до асфиксии, снижение артериального давления. Лечение нейрохирургическое.
Если гематома не прооперирована, то ребенок может умереть.
Субарахноидальные кровоизлияния — один из наиболее часто встречающихся видов нарушений мозгового кровообращения у новорожденных. В 75% случаев субарахноидальные кровоизлияния отмечаются у недоношенных детей. Причиной этих кровоизлияний могут быть асфиксия, повышающая сосудистую проницаемость, наложение щипцов, вакуум-экстрактора. Происходит разрыв капилляров и мелких сосудов. Возникают частые срыгивания, рвота. Мышечный тонус высокий. Появляются симптомы повышения внутричерепного давления — расхождение черепных швов, напряжение большого родничка, косоглазие. Наблюдаются выраженная общая гиперестезия, тремор, ригидности мышц затылка. При люмбальной пункции в спинномозговой жидкости обнаруживают приместь крови.
Мелкие множественные кровоизлияния чаще встречаются при затяжных родах, преждевременном отхождении вод, слабости родовой деятельности; их можно обнаружить в полушариях, мозжечке, стволе мозга. Причиной множественных петехиальных кровоизлияний является кислородное голодание мозга. Новорожденные беспокойны, выражение лица у них болезненное, отмечаются судороги мышц лица и конечностей, рвота, угнетение безусловных рефлексов. Такое состояние может длиться несколько недель. В последующем не редко обнаруживаются двигательные расстройства, эпилептические припадки, задержка умственного развития.
Субэпендимарные кровоизлияния чаще являются результатом разрыва мелких вен между хвостатым ядром и зрительным бугром. Кровоизлияние нередко разрушает головку хвостатого ядра. Отмечаются глубокие расстройства функций центральной нервной системы, нарушение регуляции вегетативно-трофических функций. При прорыве крови в боковой желудочек развивается картина внутрижелудочкового кровоизлияния.
Внутрижелудочковые кровоизлияния типичны для недоношенных, но встречаются и у доношенных новорожденных. Клиническая картина характеризуется угнетенем сознания, расстройством дыхания, тоническими судорогами, Дети не сосут, не глотают. Большой родничок напряжен. Характерны гипертермия, центральные нарушения вегетативно- трофических функций. Эти кровоизлияния могут быть острыми и подострыми. Для первых характерны нарастающие в сроки от нескольких минут до 2-3 суток анемия, диффузная мышечная гипотония, тремор, тонические судороги, пронзительный крик, угнетение сосания и глотания, глазодвигательные расстройства (открытые глаза, парез взора, вертикальный нистагм). При перемене положения тела отмечается резкое ухудшение состояния. Подострое течение внутрижелудочкового и перивентрикулярных кровоизлияний наблюдается при наличии постнатальных причин гипоксии Для них характерны повторные апное, мышечная гипер- или гипотония, гипорефлексия, стойкие «глазные» симптомы (нистагм, Грефе, «заходящего солнца», косоглазие), псевдобульбарные расстройства. Судорожный синдром наблюдается реже, чем при остром течении. Избыточное кровенаполнение мозга с увеличением венозного давления характеризуется выбуханием и напряжением родничков.
У новорожденных не редко встречаются комбинации различных видов кровоизлияний.
Диагностика родовых кровоизличяний основывается на тщательном изучении акушерского анамнеза, течения родов, детальном неврологическом обследовании и применении специальных методов исследования УЗИ, КТ, МРТ головного мозга
Лечение ребенка, перенесшего родовое кровоизлияние, должно быть комплексным и непрерывным с первых дней жизни. Эффективность лечебных мероприятий зависит от ранней диагностики неврологических нарушений. Лечение родовых кровоизлияний в остром периоде должно быть безотлагательном и активным и проводится в специализированном стационаре. Очень важной, определяющей тактику лечения, является консультация детского нейрохирурга проведенная в первые недели после кровоизлияния.
Проводится интенсивная терапия включающая дегидратационную, сосудистую, противосудорожную терапию, рассасывающую терапию иногда наружное дренирование боковых желудочков мозга с проведением фибринолиза. При нарастании размеров желудочковой системы на фоне проводимой консервативной проводится ликворошунтирующие операции. Раннее и адекватное проведение хирургического лечения обеспечит Вашему ребенку высокие шансы на нормальное интеллектуальное и физическое развитие.
Что такое Эпидуральное кровоизлияние —
Эпидуральное кровоизлияние (син.: гематома экстрадуральная, гематома внутричерепная надоболочечная) представляет собой скопление крови между твердой мозговой оболочкой и костями черепа.
Эпидуральную гематому выявляют у 1% пациентов, госпитализированных по поводу черепно-мозговой травмы (что в два раза меньше частоты острой субдуральной гематомы). У мужчин развивается в 4 раза чаще, чем у женщин. Чаще всего развивается у молодых мужчин, крайне редко возникает в возрасте до 2 и после 60 лет.
Примерно в 5% случаев эпидуральная гематома возникает в задней черепной ямке (чаще у больных в возрасте до 20 лет). Более чем в 80% случаев у больных имеется перелом затылочной кости. Клинические проявления гематомы обусловлены компрессией структур задней черепной ямки с развитием окклюзионной гидроцефалии на уровне IV желудочка. Оперативное лечение показано в симптоматических случаях. Общая летальность составляет около 26%.
Что провоцирует / Причины Эпидурального кровоизлияния :
Согласно «классическим» представлением возникновение эпидуральной гематомы обусловлено переломом височной кости с повреждением средней оболочечной артерии в месте её прохождения в костном желобке в области птериона. Возникающее кровотечение приводит к отслоению твёрдой мозговой оболочки от кости с формированием гематомы. Альтернативная точка зрения — отслоение твёрдой мозговой оболочки происходит первично, а кровотечение возникает вторично.
Патогенез (что происходит?) во время Эпидурального кровоизлияния :
Источником кровоизлияния в эпидуральное пространство являются ветви средней менингеальной артерии, крупные вены и венозные синусы. Нередко эпидуральное кровоизлияние сочетается с кефалогематомой, особенно при линейных переломах костей черепа.
Симптомы Эпидурального кровоизлияния :
Классический вариант течения эпидуральных гематом (с чётким «светлым промежутком») наблюдают менее, чем у 25% больных, характерна чёткая фазность клинических проявлений: непродолжительная утрата сознания сменяется «светлым промежутком» длительностью до нескольких часов, после чего происходит угнетение сознания, развиваются контралатеральный гемипарез и ипсилатеральный мидриаз. При отсутствии оперативного лечения ситуация прогрессирует, последовательно наступают децеребрация, атоническая кома и смерть больного. Другие симптомы, возникающие у больного с эпидуральной гематомой неспецифичны и отражают повышение внутричерепного давления (гипертензия, судороги, головная боль, рвота). Следует помнить, что у некоторых больных с эпидуральной гематомой гемипарез может быть ипсилатеральным.
Диагностика Эпидурального кровоизлияния :
При КТ выявляют линзовидное гиперплотностное объёмное образование, прилежащее к костям свода черепа. Чувствительность КТ — 100%, специфичность — 84% (в остальных 16% эпидуральная гематома может быть похожа на субдуральную). Перелом височной кости на краниограммах выявляют только у 60% больных.
Лечение Эпидурального кровоизлияния :
В большинстве случаев наличие эпидуральной гематомы — показание к срочному оперативному вмешательству.
Прогноз. При своевременной диагностике и лечении (в «светлом промежутке») летальность составляет 5-10%. Если эпидуральная гематома протекает без «светлого промежутка» летальность повышается до 20-25%. Примерно у 20% пациентов с эпидуральной гематомой также выявляют сопутствующую субдуральную гематому, в таких случаях прогноз значительно хуже, летальность может достигать 90% (как и при запоздалом оперативном вмешательстве).
К каким докторам следует обращаться если у Вас Эпидуральное кровоизлияние :
Нейрохирург
Вас что-то беспокоит? Вы хотите узнать более детальную информацию о Эпидурального кровоизлияния , ее причинах, симптомах, методах лечения и профилактики, ходе течения болезни и соблюдении диеты после нее? Или же Вам необходим осмотр? Вы можете записаться на прием к доктору — клиника Eurolab всегда к Вашим услугам! Лучшие врачи осмотрят Вас, изучат внешние признаки и помогут определить болезнь по симптомам, проконсультируют Вас и окажут необходимую помощь и поставят диагноз. Вы также можете вызвать врача на дом. Клиника Eurolab открыта для Вас круглосуточно.
Как обратиться в клинику:
Телефон нашей клиники в Киеве: (+38 044) 206-20-00 (многоканальный). Секретарь клиники подберет Вам удобный день и час визита к врачу. Наши координаты и схема проезда указаны здесь. Посмотрите детальнее о всех услугах клиники на ее персональной странице.
Если Вами ранее были выполнены какие-либо исследования, обязательно возьмите их результаты на консультацию к врачу. Если исследования выполнены не были, мы сделаем все необходимое в нашей клинике или у наших коллег в других клиниках.
У Вас ? Необходимо очень тщательно подходить к состоянию Вашего здоровья в целом. Люди уделяют недостаточно внимания симптомам заболеваний и не осознают, что эти болезни могут быть жизненно опасными. Есть много болезней, которые по началу никак не проявляют себя в нашем организме, но в итоге оказывается, что, к сожалению, их уже лечить слишком поздно. Каждое заболевание имеет свои определенные признаки, характерные внешние проявления — так называемые симптомы болезни. Определение симптомов — первый шаг в диагностике заболеваний в целом. Для этого просто необходимо по несколько раз в год проходить обследование у врача, чтобы не только предотвратить страшную болезнь, но и поддерживать здоровый дух в теле и организме в целом.
Если Вы хотите задать вопрос врачу — воспользуйтесь разделом онлайн консультации, возможно Вы найдете там ответы на свои вопросы и прочитаете советы по уходу за собой. Если Вас интересуют отзывы о клиниках и врачах — попробуйте найти нужную Вам информацию в разделе Вся медицина. Также зарегистрируйтесь на медицинском портале Eurolab, чтобы быть постоянно в курсе последних новостей и обновлений информации на сайте, которые будут автоматически высылаться Вам на почту.
Другие заболевания из группы Травмы, отравления и некоторые другие последствия воздействия внешних причин:
Аритмии и блокады сердца при кардиотропных отравлениях |
Вдавленные переломы черепа |
Внутри- и околосуставные переломы бедра и голени |
Врожденная мышечная кривошея |
Врожденные пороки развития скелета. Дисплазия |
Вывих полулунной кости |
Вывих полулунной кости и проксимальной половины ладьевидной кости (переломовывих де Кервена) |
Вывих зуба |
Вывих ладьевидной кости |
Вывихи верхней конечности |
Вывихи верхней конечности |
Вывихи и подвывихи головки лучевой кости |
Вывихи кисти |
Вывихи костей стопы |
Вывихи плеча |
Вывихи позвонков |
Вывихи предплечья |
Вывихи пястных костей |
Вывихи стопы в суставе Шопара |
Вывихи фаланг пальцев стопы |
Диафизарные переломы костей голени |
Диафизарные переломы костей голени |
Застарелые вывихи и подвывихи предплечья |
Изолированный перелом диафиза локтевой кости |
Искривление носовой перегородки |
Клещевой паралич |
Комбинированные повреждения |
Костные формы кривошеи |
Нарушения осанки |
Нестабильность коленного сустава |
Огнестрельные переломы в сочетании с дефектами мягких тканей конечности |
Огнестрельные повреждения костей и суставов |
Огнестрельные повреждения таза |
Огнестрельные повреждения таза |
Огнестрельные ранения верхней конечности |
Огнестрельные ранения нижней конечности |
Огнестрельные ранения суставов |
Огнестрельные раны |
Ожоги от контакта с португальским корабликом и медузой |
Осложненные переломы грудного и поясничного отделов позвоночника |
Открытые повреждения диафиза голени |
Открытые повреждения диафиза голени |
Открытые повреждения костей кисти и пальцев |
Открытые повреждения костей кисти и пальцев |
Открытые повреждения локтевого сустава |
Открытые повреждения стопы |
Открытые повреждения стопы |
Отморожения |
Отравление аконитом |
Отравление анилином |
Отравление антигистаминными средствами |
Отравление антимускариновыми средствами |
Отравление ацетаминофеном |
Отравление ацетоном |
Отравление бензолом, толуолом |
Отравление бледной поганкой |
Отравление вехом ядовитым (цикута) |
Отравление галогенированными углеводородами |
Отравление гликолем |
Отравление грибами |
Отравление дихлорэтаном |
Отравление дымом |
Отравление железом |
Отравление изопропиловым спиртом |
Отравление инсектицидами |
Отравление йодом |
Отравление кадмием |
Отравление кислотами |
Отравление кокаином |
Отравление красавкой, беленой, дурманом, крестовиком, мандрагором |
Отравление магнием |
Отравление метанолом |
Отравление метиловым спиртом |
Отравление мышьяком |
Отравление наркотиками индийской конопли |
Отравление настойкой чемерицы |
Отравление никотином |
Отравление окисью углерода |
Отравление паракватом |
Отравление парами дыма концентрированных кислот и щелочей |
Отравление продуктами перегонки нефти |
Отравление противодепрессивными препаратами |
Отравление салицилатами |
Отравление свинцом |
Отравление сероводородом |
Отравление сероуглеродом |
Отравление снотворными средствами (барбитуратами) |
Отравление солями фтора |
Отравление стимуляторами центральной нервной системы |
Отравление стрихнином |
Отравление табачным дымом |
Отравление таллием |
Отравление транквилизаторами |
Отравление уксусной кислотой |
Отравление фенолом |
Отравление фенотиазинами |
Отравление фосфором |
Отравление хлорсодержащими инсектицидами |
Отравление хлорсодержащими инсектицидами |
Отравление цианидом |
Отравление этиленгликолем |
Отравление эфирами этиленгликоля |
Отравления антагонистами ионов кальция |
Отравления барбитуратами |
Отравления бета-адреноблокаторами |
Отравления метгемоглобинобразователями |
Отравления опиатами и наркотическими анальгетиками |
Отравления ртутью |
Отравления хинидиновыми препаратами |
Патологические переломы |
Перелом верхней челюсти |
Перелом дистального отдела лучевой кости |
Перелом зуба |
Перелом костей носа |
Перелом ладьевидной кости |
Перелом лучевой кости в нижней трети и вывих в дистальном луче-локтевом суставе (повреждение Галеацци) |
Перелом нижней челюсти |
Перелом основания черепа |
Перелом проксимального отдела бедренной кости |
Перелом свода черепа |
Перелом челюстей |
Перелом челюсти в области альвеолярного отростка |
Перелом черепа |
Переломовывихи в суставе Лисфранка |
Переломовывихи таранной кости |
Переломовывихи шейных позвонков |
Переломы II-V пястных костей |
Переломы бедра в области коленного сустава |
Переломы бедренной кости |
Переломы в вертельной области |
Переломы венечного отростка локтевой кости |
Переломы вертлужной впадины |
Переломы вертлужной впадины |
Переломы головки и шейки лучевой кости |
Переломы грудины |
Переломы диафиза бедренной кости |
Переломы диафиза плечевой кости |
Переломы диафизов обеих костей предплечья |
Переломы диафизов обеих костей предплечья |
Переломы дистального конца плечевой кости |
Переломы ключици |
Переломы костей |
Переломы костей голени |
Переломы костей заднего отдела стопы |
Переломы костей кисти |
Переломы костей переднего отдела стопы |
Переломы костей предплечья |
Переломы костей среднего отдела стопы |
Переломы костей среднего отдела стопы |
Переломы костей стопы и пальцев |
Переломы костей таза |
Переломы костей у детей |
Переломы локтевого отростка локтевой кости |
Переломы лопатки |
Переломы мыщелка плеча |
Переломы надколенника |
Переломы основания I пястной кости |
Переломы плечевой кости |
Переломы плюсневых костей |
Переломы позвоночника |
Переломы проксимального конца большеберцовой кости |
Переломы проксимального конца плечевой кости |
Переломы пяточной кости |
Переломы ребер |
Переломы таза, осложненные повреждением тазовых органов |
Переломы таза, осложненные повреждением тазовых органов |
Переломы таранной кости |
Переломы фаланг пальцев кисти |
Переломы фаланг пальцев стопы |
Повреждение менисков коленного сустава |
Повреждение переферических нервов |
Повреждения связок кистевого сустава |
Повреждения боковых связок, нестабильность локтевого сустава |
Повреждения голеностопного сустава |
Повреждения голеностопного сустава |
Повреждения грудного и поясничного отделов позвоночника |
Повреждения коленного сустава |
Повреждения коленного сустава |
Повреждения копчика |
Повреждения крестца |
Повреждения лопатки |
Повреждения магистральных кровеносных сосудов |
Повреждения магистральных кровеносных сосудов |
Повреждения периферических нервов |
Повреждения пояса верхней конечности |
Повреждения таза |
Повреждения, обусловленные ядовитыми рыбами |
Подвертельные переломы |
Подвывихи позвонков |
Подтаранные вывихи стопы |
Поражение электрическим током |
Привычный вывих в локтевом суставе |
Разрыв вращательной «манжеты» плеча |
Разрыв сухожилия длинной головки двуглавой мышцы |
Разрывы боковых связок пястнофалангового и проксимального межфалангового суставов |
Разрывы межпозвоночных дисков |
Раны и ожоги, вызываемые кораллами |
Родовые повреждения |
Сдавление головного мозга |
Синдром длительного сдавления |
Синдром Клиппеля-Фейля |
Синовиты коленного сустава |
Сотрясение головного мозга |
Субарахноидальное кровоизлияние |
Субдуральное кровоизлияние |
Термические ожоги |
Токсическая гепатопатия |
Токсическая нефропатия |
Токсическое поражение нервной системы |
Травма глаза |
Травма глазницы |
Травма головы |
Травма губы |
Травма конъюнктивы |
Травма носа |
Травма слизистой оболочки рта |
Травма уха |
Травматическая болезнь |
Травматический вывих головки бедренной кости |
Травмы связок шейного отдела позвоночника |
Укус змеи |
Укус клеща |
Укус клопов-хищнецов |
Укус паука Черная вдова |
Укус паука-отшельника |
Укус скорпиона |
Укус ядовитой ящерицы |
Укусы перепончатокрылых насекомых |
Утопление и состояние, близкое к утоплению |
Ушиб локтевого сустава |
Ушиб глазного яблока |
Ушиб головного мозга |
Ушиб зуба |
Ушибы кистевого сустава |
Ушибы суставов пальцев кисти |
Химические отравления |
Химический ожог |
Черепно-мозговая травма |
Шейные ребра |
Экзотоксический шок и токсикогенный коллапс |
Электротравма и электроожоги |
Эрозия (ссадина) роговицы |
Если Вас интересуют еще какие-нибудь виды болезней и группы заболеваний человека или у Вас есть какие-либо другие вопросы и предложения — напишите нам, мы обязательно постараемся Вам помочь.
Литература:
- Мирский, «Хирургия от древности до современности. Очерки истории.» (Москва, Наука, 2000, 798 с.).
- Haeser, «Handbuch der Gesch. d. Medicin».
- Moustafine R. I., Bukhovets A. V., Sitenkov A. Y., Kemenova V. A., Rombaut P., Van den Mooter G. Eudragit® E PO as a complementary material for designing oral drug delivery systems with controlled release properties: comparative evaluation of new interpolyelectrolyte complexes with countercharged Eudragit® L 100 copolymers. Molecular Pharmaceutics. 2013; 10(7): 2630–2641. DOI: 10.1021/mp4000635.
- https://www.KrasotaiMedicina.ru/diseases/zabolevanija_neurology/epidural-hematoma.
- https://neurodet.ru/gidrotsefaliya/rodovye-krovoizliyaniya-novorozhdennyh/.
- https://www.eurolab-portal.ru/diseases/345/.
- Moustafine R. I., Bukhovets A. V., Sitenkov A. Y., Kemenova V. A., Rombaut P., Van den Mooter G. Eudragit® E PO as a complementary material for designing oral drug delivery systems with controlled release properties: comparative evaluation of new interpolyelectrolyte complexes with countercharged Eudragit® L 100 copolymers. Molecular Pharmaceutics. 2013; 10(7): 2630–2641. DOI: 10.1021/mp4000635.
- Guardia, «La Médecine à travers les âges».