На седьмой неделе беременности происходят значительные изменения в организме матери и развитии плода. Сердце малыша принимает полноценную четырехкамерную форму, что позволяет ему самостоятельно перекачивать кровь. Родителям стоит обратить внимание на анализы, например, определение резус-антител, чтобы минимизировать риски резус-конфликта. В статье мы рассмотрим, что происходит с малышом на седьмой неделе, как развивается беременность и какие ощущения могут испытывать будущие родители. Эта информация поможет лучше понять ключевые этапы развития и подготовиться к изменениям.
Спасательный круг ребенка
Пуповина, приветствуем тебя в утробе! Эта структура связывает малыша с плацентой, обеспечивая его кислородом и питательными веществами, а также способствуя выведению отходов в кровоток.
На седьмой неделе беременности врачи отмечают важные изменения как у матери, так и у плода. В этот период формируются основные органы и системы будущего ребенка, что делает его развитие особенно уязвимым. Специалисты подчеркивают, что женщинам следует уделять внимание своему самочувствию и соблюдать режим дня. Важно избегать стрессов и физических перегрузок, а также следить за питанием, включая в рацион больше витаминов и минералов. Врачи рекомендуют регулярно посещать акушера-гинеколога для контроля за развитием беременности и своевременного выявления возможных осложнений. На этом этапе также может проявляться токсикоз, и специалисты советуют не игнорировать его симптомы, а обращаться за помощью при необходимости.
https://youtube.com/watch?v=MnTVv92ElEA
Перепончатые руки и ноги эмбрион 7 недель
На УЗИ на седьмой неделе беременности можно увидеть, что у вашего малыша начинают формироваться зачатки рук и ног, которые напоминают паутинку. В ближайшее время они будут развиваться и трансформироваться, чтобы стать полноценными пальцами, но на данный момент руки выглядят как крошечные весла.
| Что происходит с мамой | Что происходит с малышом | Важные советы и рекомендации |
|---|---|---|
| Физические изменения: | Развитие плода: | Для будущей мамы: |
| Усиливается токсикоз (тошнота, рвота). | Размер: около 10-13 мм (как черника). | Продолжайте принимать фолиевую кислоту и витамины для беременных. |
| Повышенная утомляемость, сонливость. | Формируются зачатки рук и ног, появляются пальчики. | Отдыхайте как можно больше, избегайте переутомления. |
| Частые позывы к мочеиспусканию. | Развивается головной мозг, формируются полушария. | Пейте достаточно воды, чтобы избежать обезвоживания. |
| Изменения в груди (чувствительность, увеличение). | Сердцебиение становится более отчетливым. | Носите удобное белье, поддерживающее грудь. |
| Могут появиться перепады настроения. | Начинают формироваться внутренние органы (печень, почки). | Избегайте стрессов, старайтесь сохранять спокойствие. |
| Усиливается обоняние. | Появляются зачатки глаз и ушей. | Избегайте резких запахов, которые могут спровоцировать тошноту. |
| Эмоциональные изменения: | Ощущения малыша: | Для партнера: |
| Волнение, тревога, радость. | Пока не ощущает внешних воздействий. | Будьте внимательны и терпеливы к изменениям настроения. |
| Повышенная чувствительность. | Активно растет и развивается. | Поддерживайте и помогайте в бытовых делах. |
| Помогайте справляться с токсикозом (например, готовьте легкую еду). | ||
| Изучайте информацию о беременности вместе. |
Новые клетки мозга быстро образуются
Ваш малыш сейчас примерно размером с чернику. Звучит довольно миниатюрно, не правда ли? Однако, если взглянуть на это с другой стороны, ваш ребенок уже в 10 000 раз больше, чем в момент зачатия месяц назад.
На седьмой неделе беременности основная часть этого роста сосредоточена в голове, так как новые клетки мозга образуются со скоростью 100 штук в минуту. Как вам такая перспектива для будущего гения?
7 недель беременности это сколько месяцев
На седьмой неделе беременности вы уже находитесь во втором месяце. Осталось всего 7 месяцев до встречи с вашим малышом! Однако стоит отметить, что 7 акушерская неделя имеет свои особенности, так как врачи отсчитывают срок с момента последней менструации. Если вас интересует, сколько недель составляет 7 месяцев беременности, то это примерно 25-28 недель.
Руки и ноги ребенка начинают развиваться
На седьмой неделе беременности, что происходит с вашим малышом? В этот период начинают формироваться и развиваться руки и ноги, которые становятся длиннее и крепче. Конечности делятся на сегменты, образуя руки, плечи и предплечья, а также ноги, колени и ступни. Однако на этом раннем этапе они больше напоминают весла, чем полноценные руки или ноги.
У ребенка есть почки
На седьмой неделе беременности у вашего малыша начинают развиваться рот и язык. Почки уже находятся на своем месте и готовы приступить к важной функции по выведению отходов. В ближайшее время ваш ребенок начнет производить мочу. К счастью, вам пока не понадобятся подгузники.
https://youtube.com/watch?v=d-RcFuJSd-E
Ваше тело на 7 неделе
Итак, какие изменения происходят у мамы на седьмой неделе беременности, и какие ощущения она испытывает? Даже если вы еще не поделились своей радостной новостью с окружающими, ваш малыш уже дает о себе знать. Не так много слов, но столько симптомов, связанных с беременностью. Например, тошнота, которая может преследовать вас как днем, так и ночью, или же избыточное слюноотделение, которое порой становится настоящей проблемой.
Кроме того, существует еще один явный признак ранней беременности, который вы точно не сможете игнорировать, особенно когда вам становится сложно застегнуть блузку из-за увеличившейся груди.
Ниже представлены фотографии седьмой недели беременности:
Ваши опухшие груди
Беременность на 6-7 неделе: хотя ваш малыш по размеру напоминает чернику, ваша грудь может выглядеть как дыня. Некоторые женщины замечают увеличение груди на один размер к 7 неделе беременности — это может быть приятной новостью, если бы не ощущение неловкости, покалывания и болезненности. Причиной этих изменений являются гормоны беременности: эстроген и прогестерон.
В вашей груди также происходит накопление жира, а приток крови к этой области усиливается. Соски могут немного выступать больше, чем обычно, но они становятся очень чувствительными и нежными.
Ареола, темная зона вокруг соска, уже начала темнеть и увеличиваться в размерах — и этот процесс будет продолжаться в течение следующих месяцев.
Вы также можете заметить небольшие бугорки на ареоле. Эти образования, известные как бугорки Монтгомери, представляют собой сальные железы, которые помогают смазывать ареолу.
Если вам интересно, почему происходят все эти изменения, вот объяснение: все они необходимы для подготовки к важной задаче — грудному вскармливанию вашего новорожденного примерно через 33 недели!
Справиться с отвращением пищи
Седьмая неделя беременности: что происходит с пищеварением? Отвращение к пище в этот период — явление довольно распространенное и в то же время запутанное. Особенно это ощущается, когда ваши любимые блюда вдруг начинают вызывать неприязнь и даже тошноту.
Лучший совет: постарайтесь удовлетворить свои новые вкусовые предпочтения. Важно, чтобы ваше меню не было однообразным. Найдите альтернативы тем продуктам, которые вызывают у вас отвращение — например, киноа может стать отличной заменой. И радуйтесь, если ваши неприязни касаются тех продуктов, которые вам и не следовало бы употреблять.
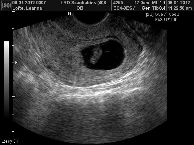
Ниже представлены фото УЗИ плода на седьмой неделе беременности:
Симптомы беременности неделя 7
Частое мочеиспуск ание
На седьмой неделе беременности вы можете заметить, что проводите много времени в ванной из-за тошноты и частых позывов к туалету. Гормон ХГЧ, вырабатываемый во время беременности, способствует увеличению кровообращения в области таза. Хотя стоит обратить внимание на потребление жидкости, не стоит полностью отказываться от воды. Однако, возможно, стоит уменьшить количество кофе, так как он обладает мочегонным эффектом. Вашему организму и развивающемуся ребенку крайне важно поддерживать достаточный уровень гидратации на протяжении всей беременности.
Изменения в груди
На вашей груди появляются голубые вены, напоминающие карту дорог? На самом деле, эти вены выполняют функцию транспортировки: они переносят питательные вещества и жидкости от вашего организма к вашему малышу. Чтобы уменьшить риск провисания и растяжек в будущем, стоит приобрести качественный бюстгальтер уже сейчас — возможно, даже специальный для беременных, который обеспечит вам дополнительную поддержку.
Устало сть
Безусловно, вы чувствуете усталость — вы по-прежнему сосредоточены на важной задаче создания плаценты, жизненно важной системы для вашего малыша, а также на адаптации к всем этим противоречивым эмоциям, которые вас переполняют. Один из эффективных способов справиться с усталостью — это регулярное употребление небольших порций пищи. Это также поможет уменьшить чувство тошноты. Питание шести мини-блюдами поможет поддерживать стабильный уровень сахара в крови, что, в свою очередь, способствует повышению энергии. Просто старайтесь, чтобы большинство из этих мини-блюд были полезными!
Пищевая тяга и отвращение
Устали от однообразия в питании, когда ваш капризный вкус не позволяет наслаждаться разнообразными продуктами? Не переживайте — вы не лишаете своего ребенка необходимых питательных веществ, даже если предпочитаете есть одно и то же. Если сильное желание заставляет вас терять голову, иногда стоит ему поддаться, а затем продолжить правильно питаться в течение дня.
Изжога и расстройство желудка
Если после приема пищи у вас возникает жжение в области живота, это может свидетельствовать о расстройстве желудка и изжоге, вызванных беременностью. Рекомендуется избегать острой и жирной пищи, а также напитков, содержащих кофеин. Употребление достаточного количества жидкости до или после еды поможет снизить проявления изжоги.
Чрезмерная слюна
Помимо неприятного ощущения тошноты, вы можете столкнуться с избыточным выделением слюны. Это состояние, как правило, проходит к концу первого триместра — осталось всего шесть недель! — но пока вы ждете, попробуйте жевать много жевательной резинки без сахара.
Советы для вас на этой неделе
Набор веса
На седьмой неделе беременности твой живот еще не демонстрирует явных признаков того, что внутри тебя развивается малыш, но, возможно, ты заметила небольшое увеличение веса. Это абсолютно нормально! На самом деле, женщины с нормальным индексом массы тела (ИМТ) в диапазоне от 18,5 до 24,9 должны прибавить в весе от 11 до 16 килограммов в течение всей беременности.
В первом триместре твой ребенок все еще очень маленький, поэтому не стоит ожидать значительного увеличения веса — в целом достаточно набрать от 1 до 2 килограммов.
Если же ты испытываешь утреннее недомогание, вполне возможно, что твой вес останется на прежнем уровне или даже немного снизится. Это тоже нормально, и не стоит переживать. Просто дождись, когда аппетит вернется, и ты сможешь восполнить недостающие килограммы во втором триместре.
Спазмы
Спазмы в области живота и болезненные ощущения не всегда должны вызывать тревогу. В первом триместре такие спазмы считаются нормальными. Однако если они сопровождаются болями в области плеча или шеи, а также головокружением или выделениями, рекомендуется обратиться в медицинское учреждение и пройти ультразвуковое исследование на 7-й неделе беременности для подтверждения нормального состояния. Выделения на этом сроке также не должны вызывать беспокойства, так как имплантационное кровотечение уже завершилось.
Проблемы с кожей
Беременность на седьмом месяце может привести к различным, порой довольно странным, изменениям в цвете кожи (благодаря гормонам!). Это может проявляться как в виде избыточной жирности, так и чрезмерной сухости (или даже сочетания обоих состояний), а также высыпаний и пигментных пятен, включая хлоазму — пятнистое обесцвечивание кожи.
Если вы сталкиваетесь с проблемой акне, важно умывать лицо два-три раза в день, используя мягкое, но эффективное очищающее средство, чтобы избежать раздражения. Проводите легкое отшелушивание примерно раз в неделю и завершайте уход с помощью безмасляного увлажняющего крема.
Тренировка
Вот небольшой перечень рекомендаций по тренировкам, которые помогут избежать проблем: избегайте упражнений на спине после первого триместра (не переживайте — мы напомним вам об этом, когда вы перейдете ко второму триместру). Не задерживайте дыхание во время занятий. Избегайте резких движений и скручиваний, которые могут привести к дополнительному напряжению в уже нагруженных суставах. Также не ставьте под угрозу свое равновесие и не рискуйте травмами живота.
Кроме того, помните, что с течением времени у вас будет меньше кислорода для физических нагрузок, поэтому останавливайтесь, когда почувствуете усталость — и не допускайте перегрева.
Потребление фруктов
Существует полезное правило, касающееся фруктов и овощей: чем ярче их цвет, тем больше в них полезных веществ. Однако зачастую важнее то, что скрыто внутри. К примеру, насыщенно окрашенная мякоть дыни значительно богаче витаминами А и С, а также минералами, чем белое яблоко.
При выборе продуктов обращайте внимание на их внутренний цвет, и вы сможете обнаружить настоящие сокровища питательных веществ.
Вкусовые рецепторы
Что делать, когда возникает сильное желание чего-то? Ответ на этот вопрос зависит от того, что именно вы хотите. Если вам хочется фруктов или овощей, не стоит сдерживаться. Однако стоит проявить силу воли, если вас тянет к менее полезным продуктам, таким как сладости или картофельные чипсы.
Если вы заметили, что испытываете тягу к веществам, не относящимся к пище, например, к глине, пеплу или стиральному крахмалу, обязательно проконсультируйтесь с врачом. Подобные желания могут сигнализировать о состоянии, известном как пика, которое может быть связано с нехваткой определенных питательных веществ.
Удовлетворить ваши отвращения
Если вам трудно смириться с идеей куриной грудки, знайте, что вы не одиноки. Неприязнь к курице встречается довольно часто.
Просто поищите альтернативы тем продуктам, которые вызывают у вас отвращение — например, если вам не нравятся овощи, обратите внимание на фрукты. И радуйтесь, если ваши предпочтения помогают вам избегать нежелательных продуктов.
https://youtube.com/watch?v=3_FtT8Lj_Gg
Развитие органов чувств
На седьмой неделе беременности происходит значительное развитие органов чувств плода. В этот период формируются основы для дальнейшего восприятия окружающего мира. Хотя плод еще очень мал и его размеры составляют всего около 1,2 см, уже начинаются важные процессы, которые будут иметь решающее значение для его дальнейшего развития.
Одним из первых органов чувств, который начинает развиваться, является слух. Внутреннее ухо, отвечающее за восприятие звуков, начинает формироваться, и к концу седьмой недели у плода уже есть зачатки слухового аппарата. Хотя на этом этапе он еще не способен слышать звуки извне, его нервная система начинает реагировать на вибрации и шумы, которые могут доходить до него из окружающей среды.
Также в этот период начинается развитие зрительных органов. Формируются зачатки глаз, и хотя они еще не функционируют, уже можно наблюдать, как начинают развиваться сетчатка и хрусталик. Это важный этап, так как зрение будет одним из ключевых органов чувств, которые помогут ребенку воспринимать мир после рождения.
Обоняние и вкус также начинают развиваться на седьмой неделе. Формируются зачатки обонятельных рецепторов, которые будут отвечать за восприятие запахов. Это важно не только для дальнейшего развития, но и для формирования связи между матерью и ребенком, так как запахи пищи, которую употребает беременная женщина, могут влиять на предпочтения ребенка в будущем.
Касательно осязания, на этой неделе у плода начинают развиваться нервные окончания, что позволяет ему чувствовать прикосновения. Это важный этап, так как осязание будет способствовать формированию эмоциональной связи между матерью и ребенком. Плод может реагировать на прикосновения к животу, что является первым шагом к его взаимодействию с окружающим миром.
Таким образом, седьмая неделя беременности является критически важным периодом для развития органов чувств плода. Эти процессы закладывают основу для его дальнейшего восприятия мира и формирования эмоциональной связи с матерью. Каждое из этих чувств будет играть важную роль в жизни ребенка после рождения, помогая ему адаптироваться к новой среде и взаимодействовать с ней.
Эмоциональные изменения на 7 неделе
На седьмой неделе беременности многие женщины начинают испытывать значительные эмоциональные изменения. Это связано как с гормональными колебаниями, так и с физическими изменениями в организме. Гормоны, такие как прогестерон и эстроген, достигают своего пика, что может вызывать перепады настроения, повышенную чувствительность и даже раздражительность.
Женщины могут ощущать радость и волнение от предстоящего материнства, но одновременно могут возникать и страхи, связанные с будущими изменениями в жизни. Эти чувства могут быть особенно острыми, если беременность была неожиданной или если есть сомнения в готовности к родительству. Важно понимать, что такие эмоции нормальны и испытывают многие будущие мамы.
На этом этапе беременности также может возникнуть чувство тревоги по поводу здоровья плода. Женщины могут беспокоиться о том, как они справятся с беременностью, родами и последующим уходом за ребенком. Поддержка со стороны партнера, семьи и друзей может сыграть ключевую роль в снижении уровня стресса и тревоги.
Кроме того, на седьмой неделе беременности женщины могут испытывать физическую усталость, что также влияет на эмоциональное состояние. Усталость может привести к раздражительности и снижению настроения. Важно уделять внимание своему состоянию, отдыхать и находить время для расслабления.
Некоторые женщины могут также столкнуться с изменениями в восприятии себя. Беременность может вызывать как положительные, так и отрицательные чувства по поводу собственного тела. Изменения в фигуре и появление новых ощущений могут вызывать как радость, так и неуверенность. Поддержка и понимание со стороны близких могут помочь справиться с этими эмоциями.
В целом, эмоциональные изменения на седьмой неделе беременности являются нормальной частью процесса. Важно помнить, что каждая женщина уникальна, и ее переживания могут отличаться. Открытое общение о своих чувствах и переживаниях с партнером или специалистом в области психического здоровья может помочь справиться с эмоциональными трудностями и сделать этот период более комфортным.
Посещение врача: что ожидать на первом УЗИ
На седьмой неделе беременности многие женщины впервые посещают врача для проведения ультразвукового исследования (УЗИ). Это важный этап, который позволяет не только подтвердить факт беременности, но и оценить состояние плода и здоровье матери.
Первое УЗИ обычно проводится в период с 6 по 8 неделю беременности. На этом этапе врач сможет увидеть эмбрион и его сердцебиение, что является важным показателем нормального развития. Во время процедуры используется специальный датчик, который излучает ультразвуковые волны, отражающиеся от тканей и создающие изображение на экране.
Перед проведением УЗИ женщине может быть предложено выпить воду, чтобы наполнить мочевой пузырь. Это помогает улучшить качество изображения, так как полный мочевой пузырь поднимает матку и делает её более доступной для исследования.
Во время УЗИ врач будет обращать внимание на несколько ключевых аспектов:
- Размеры эмбриона: На седьмой неделе эмбрион обычно достигает длины около 1-2 см. Врач измерит его размеры, чтобы убедиться, что они соответствуют сроку беременности.
- Сердцебиение: Одним из самых волнующих моментов является возможность услышать сердцебиение эмбриона. Это свидетельствует о том, что он развивается и получает необходимое количество кислорода.
- Количество эмбрионов: УЗИ также позволяет определить, сколько эмбрионов развивается в матке. Это важно для женщин, которые прошли процедуру ЭКО или имеют в анамнезе многоплодную беременность.
- Состояние матки: Врач оценит состояние матки и яичников, чтобы исключить возможные осложнения, такие как внематочная беременность или кисты.
После завершения процедуры врач обсудит результаты УЗИ и ответит на все вопросы. Важно помнить, что на этом этапе беременности могут возникать различные ощущения и изменения в организме, и не стоит стесняться задавать вопросы о том, что вас беспокоит.
Также на первом УЗИ врач может назначить дополнительные анализы или обследования, если это необходимо. Например, могут быть рекомендованы анализы на гормоны или инфекции, которые могут повлиять на течение беременности.
Первое УЗИ — это не только медицинская процедура, но и эмоциональный момент для будущих родителей. Многие женщины и их партнеры испытывают радость и волнение, видя своего малыша на экране. Это помогает установить более глубокую связь с будущим ребенком и осознать важность предстоящих изменений в жизни.
В заключение, первое УЗИ на седьмой неделе беременности является важным шагом в мониторинге здоровья как матери, так и плода. Подготовьтесь к визиту к врачу, соберите все необходимые документы и не забудьте задать все интересующие вас вопросы. Это поможет вам чувствовать себя более уверенно и спокойно в этот важный период вашей жизни.

